USP13 Recombinant Monoclonal Antibody
-
中文名稱:USP13 Recombinant Monoclonal Antibody
-
貨號:CSB-RA118372A0HU
-
規格:¥1320
-
圖片:
-
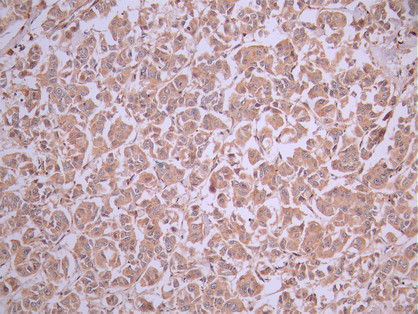
IHC image of CSB-RA118372A0HU diluted at 1:100 and staining in paraffin-embedded human breast cancer performed on a Leica BondTM system. After dewaxing and hydration, antigen retrieval was mediated by high pressure in a citrate buffer (pH 6.0). Section was blocked with 10% normal goat serum 30min at RT. Then primary antibody (1% BSA) was incubated at 4°C overnight. The primary is detected by a Goat anti-rabbit polymer IgG labeled by HRP and visualized using 0.05% DAB.
-
Immunofluorescence staining of HeLa cell with CSB-RA118372A0HU at 1:50 , counter-stained with DAPI. The cells were fixed in 4% formaldehyde, permeabilized using 0.2% Triton X-100 and blocked in 10% normal Goat Serum. The cells were then incubated with the antibody overnight at 4°C. The secondary antibody was Alexa Fluor 488-congugated AffiniPure Goat Anti-Rabbit IgG(H+L).
-
Overlay Peak curve showing Hela cells stained with CSB-RA118372A0HU (red line) at 1:100. The cells were fixed in 4% formaldehyde and permeated by 0.2% TritonX-100 for 10min. Then 10% normal goat serum to block non-specific protein-protein interactions followed by the antibody (1ug/1*106cells) for 45min at 4℃. The secondary antibody used was FITC-conjugated goat anti-rabbit IgG (H+L) at 1/200 dilution for 35min at 4℃.Control antibody (green line) was Rabbit IgG (1ug/1*106cells) used under the same conditions. Acquisition of >10, 000 events was performed.
-
-
其他:
產品詳情
-
Uniprot No.:
-
基因名:
-
別名:Deubiquitinating enzyme 13 antibody; Isopeptidase T 3 antibody; Isopeptidase T-3 antibody; Isopeptidase T3 antibody; ISOT 3 antibody; ISOT-3 antibody; ISOT3 antibody; Ubiquitin carboxyl terminal hydrolase 13 antibody; Ubiquitin carboxyl-terminal hydrolase 13 antibody; Ubiquitin specific peptidase 13 (isopeptidase T3) antibody; Ubiquitin specific peptidase 13 antibody; Ubiquitin specific processing protease 13 antibody; Ubiquitin specific protease 13 antibody; Ubiquitin thioesterase 13 antibody; Ubiquitin thiolesterase 13 antibody; Ubiquitin-specific-processing protease 13 antibody; UBP13 antibody; UBP13_HUMAN antibody; USP 13 antibody; USP13 antibody
-
反應種屬:Human
-
免疫原:A synthesized peptide from human USP13 protein
-
免疫原種屬:Homo sapiens (Human)
-
標記方式:Non-conjugated
-
克隆類型:Monoclonal
-
抗體亞型:Rabbit IgG
-
純化方式:Affinity-chromatography
-
克隆號:11H3
-
濃度:It differs from different batches. Please contact us to confirm it.
-
保存緩沖液:Rabbit IgG in 10mM phosphate buffered saline , pH 7.4, 150mM sodium chloride, 0.05% BSA, 0.02% sodium azide and 50% glycerol.
-
產品提供形式:Liquid
-
應用范圍:ELISA, IHC, IF, FC
-
推薦稀釋比:
Application Recommended Dilution IHC 1:50-1:200 IF 1:50-1:200 FC 1:50-1:200 -
Protocols:
-
儲存條件:Upon receipt, store at -20°C or -80°C. Avoid repeated freeze.
-
貨期:Basically, we can dispatch the products out in 1-3 working days after receiving your orders. Delivery time maybe differs from different purchasing way or location, please kindly consult your local distributors for specific delivery time.
-
用途:For Research Use Only. Not for use in diagnostic or therapeutic procedures.
相關產品
靶點詳情
-
功能:Deubiquitinase that mediates deubiquitination of target proteins such as BECN1, MITF, SKP2 and USP10 and is involved in various processes such as autophagy and endoplasmic reticulum-associated degradation (ERAD). Component of a regulatory loop that controls autophagy and p53/TP53 levels: mediates deubiquitination of BECN1, a key regulator of autophagy, leading to stabilize the PIK3C3/VPS34-containing complexes. Also deubiquitinates USP10, an essential regulator of p53/TP53 stability. In turn, PIK3C3/VPS34-containing complexes regulate USP13 stability, suggesting the existence of a regulatory system by which PIK3C3/VPS34-containing complexes regulate p53/TP53 protein levels via USP10 and USP13. Recruited by nuclear UFD1 and mediates deubiquitination of SKP2, thereby regulating endoplasmic reticulum-associated degradation (ERAD). Also regulates ERAD through the deubiquitination of UBL4A a component of the BAG6/BAT3 complex. Mediates stabilization of SIAH2 independently of deubiquitinase activity: binds ubiquitinated SIAH2 and acts by impairing SIAH2 autoubiquitination. Has a weak deubiquitinase activity in vitro and preferentially cleaves 'Lys-63'-linked polyubiquitin chains. In contrast to USP5, it is not able to mediate unanchored polyubiquitin disassembly. Able to cleave ISG15 in vitro; however, additional experiments are required to confirm such data.
-
基因功能參考文獻:
- USP13 is a regulator of DNA repair.USP13 regulates RAP80-BRCA1 complex foci formation.The role of USP13 in the neoplasm drug resistance. PMID: 28569838
- These results reveal an important metabolism-centric role of USP13, which may lead to potential therapeutics targeting USP13 in ovarian cancers. PMID: 27892457
- in the samples of 293T cell lines after the overexpression of USP13 and USP13 C345S, vinculin exhibited an increased expression, suggesting that it may be a candidate substrate of USP13. PMID: 28498477
- Deubiquitinating enzyme 13 (USP13) regulates myeloid cell leukemia sequence 1 protein (MCL1) stability in lung and ovarian cancer cells. PMID: 29335437
- our results demonstrate that AR can promote melanoma metastasis via altering the miRNA-539-3p/USP13/MITF/AXL signal and targeting this newly identified signal with AR degradation enhancer ASC-J9 may help us to better suppress the melanoma metastasis. PMID: 27869170
- USP13 and FBXL14 play opposing roles in the regulation of glioma stem cells (GSCs) through reversible ubiquitination of c-Myc. PMID: 27923907
- Down-regulation of USP13 mediates PTEN protein loss and fibroblast phenotypic change, and thereby plays a crucial role in idiopathic pulmonary fibrosis pathogenesis. PMID: 26453058
- USP13 is a tumour-suppressing protein that functions through deubiquitylation and stabilization of PTEN. PMID: 24270891
- to our knowledge, USP13 is the first deubiquitinating enzymes identified to modulate STAT1 and play a role in the antiviral activity of IFN against DEN-2 replication. PMID: 23940278
- USP10 mediates the deubiquitination of p53, regulating deubiquitination activity of USP10 and USP13 by Beclin1 provides a mechanism for Beclin1 to control the levels of p53. PMID: 21962518
- Through deubiquitination, USP13 stabilizes and upregulates MITF protein levels. PMID: 21811243
- study identifies a new layer of Siah2 regulation mediated by USP13 binding to ubiquitinated Siah2 protein with a concomitant inhibitory effect on its activity under normoxia PMID: 21659512
顯示更多
收起更多
-
蛋白家族:Peptidase C19 family
-
組織特異性:Highly expressed in ovary and testes.
-
數據庫鏈接:
Most popular with customers
-
-
Phospho-YAP1 (S127) Recombinant Monoclonal Antibody
Applications: ELISA, WB, IHC
Species Reactivity: Human
-
-
-
-
-
-















