MCM6 Recombinant Monoclonal Antibody
-
中文名稱:MCM6 Recombinant Monoclonal Antibody
-
貨號:CSB-RA916419A0HU
-
規格:¥1320
-
圖片:
-
Flow cytometric analysis of MCM6 expression in C2C12 cells using MCM6 antibody. Green, isotype control; red, MCM6.
-
Immunocytochemical staining of C2C12 cells with MCM6 antibody. Nuclei were stained blue with DAPI; MCM6 was stained magenta with Alexa Fluor? 647. Images were taken using Leica stellaris 5. Protein abundance based on laser Intensity and smart gain: Medium. Scale bar, 20 μm.
-
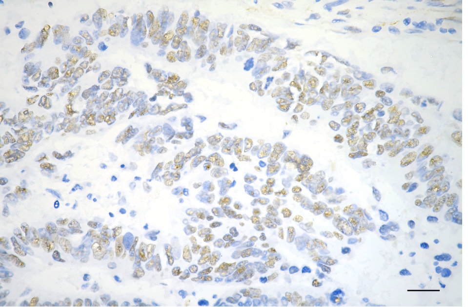
Immunohistochemistry was performed on paraffin-embedded human sigmoid colon carcinoma using MCM6 antibody. Antigen retrieval was done in sodium citrate buffer (pH 6.0). DAB was used for detection, with hematoxylin counterstaining. Images were acquired using a Nikon Ci-L Plus microscope (40× objective). Scale bar: 25 μm.
-
Western blotting analysis using MCM6 antibody. Total cell lysates (30 μg) from various cell lines were loaded and separated by SDS-PAGE. The blot was incubated with MCM6 antibody and HRP-conjugated goat anti-rabbit secondary antibody respectively.
-
-
其他:
產品詳情
-
Uniprot No.:
-
基因名:
-
別名:MCM6; Minichromosome Maintenance Complex Component 6; Minichromosome Maintenance Deficient (Mis5, S. Pombe) 6; DNA Replication Licensing Factor MCM6; P105MCM; Mis5; MCM6 Minichromosome Maintenance Deficient 6 (MIS5 Homolog, S. Pombe) (S. Cerevisiae); MCM6 Minichromosome Maintenance Deficient 6 (MIS5 Homolog, S. Pombe); Minichromosome Maintenance Deficient 6 Homolog (S. Cerevisiae); MIS5 Homolog (S.Pombe); EC 3.6.4.12; MCG40308; MIS5
-
反應種屬:Human, Mouse, Rat
-
免疫原:Recombinant Human MCM6 protein
-
免疫原種屬:Homo sapiens (Human)
-
標記方式:Non-conjugated
-
克隆類型:Monoclonal
-
抗體亞型:Rabbit IgG
-
純化方式:Affinity-chromatography
-
克隆號:6B10
-
濃度:It differs from different batches. Please contact us to confirm it.
-
保存緩沖液:Rabbit IgG in PBS (pH 7.4) containing 50% glycerol, and 0.02% sodium azide.
-
產品提供形式:Liquid
-
應用范圍:ELISA, WB, FC, ICC, IHC
-
推薦稀釋比:
Application Recommended Dilution WB 1:1000-1:5000 FC 1:200-1:2000 ICC 1:100-1:1000 IHC 1:100-1:200 -
Protocols:
-
儲存條件:Upon receipt, store at -20°C or -80°C. Avoid repeated freeze.
-
貨期:Basically, we can dispatch the products out in 1-3 working days after receiving your orders. Delivery time maybe differs from different purchasing way or location, please kindly consult your local distributors for specific delivery time.
-
用途:For Research Use Only. Not for use in diagnostic or therapeutic procedures.
相關產品
靶點詳情
-
功能:Acts as component of the MCM2-7 complex (MCM complex) which is the putative replicative helicase essential for 'once per cell cycle' DNA replication initiation and elongation in eukaryotic cells. The active ATPase sites in the MCM2-7 ring are formed through the interaction surfaces of two neighboring subunits such that a critical structure of a conserved arginine finger motif is provided in trans relative to the ATP-binding site of the Walker A box of the adjacent subunit. The six ATPase active sites, however, are likely to contribute differentially to the complex helicase activity.
-
基因功能參考文獻:
- Associations of the MCM6-rs3754686 proxy for milk intake in Mediterranean and American populations with cardiovascular biomarkers, disease and mortality: Mendelian randomization. PMID: 27624874
- MCM6 is a highly reproducible marker of poor prognosis in endometrial cancer PMID: 29243125
- genetic association studies in population in Western Europe: Data confirm an SNP in MCM6 (rs4988235) is predictive of milk consumption; lack of association of genetically predicted milk consumption with prevention of osteoporosis, ischemic heart disease, or type 2 diabetes suggests few beneficial effects of milk consumption but is more consistent with milk promoting adiposity/overweight. PMID: 28225053
- Methyl(R217)HuR and MCM6 are inversely correlated and are prognostic markers in non small cell lung carcinoma PMID: 26013954
- Report presence of homozygous--13910CC genetic variant in the MCM-6 gene upstream from the lactase gene in lactose intolerant patients treated with lactose-restricted diet. PMID: 25651706
- Results indicate that the interaction between hCdt1 and hMcm6 through their interacting domains is key for hCdt1 in facilitating the MCM hetero-hexamer to load onto chromatin for replication licensing. PMID: 21099365
- The subtype and MCM6 protein expression in craniopharyngiomas are related to the prognosis of tumor. PMID: 17294730
- the molecular mechanism of Mcm2-7 chromatin loading and prereplicative complex assembly. PMID: 20202939
- The numbers of the three genotypic combinations reveal that the percentage of this population that is genetically lactose intolerant is 8.23% and that the allele frequencies found are consistent with the expected Mendelian distribution. PMID: 20173814
- Data show that cells subjected to chronic hypoxia the replicative restart was inhibited along with numerous replication factors including MCM6 and RPA, and cells reoxygenated after acute hypoxia underwent rapid p53-dependent apoptosis. PMID: 20103649
- It was found that the MCM6 label index (LI) was significantly higher in adamantine epithelioma than squamous papillary tumor, and in both primary tumor subtypes the LIs of tumors with recurrence were higher than those without recurrence. PMID: 17410335
顯示更多
收起更多
-
亞細胞定位:Nucleus. Chromosome.
-
蛋白家族:MCM family
-
數據庫鏈接:
Most popular with customers
-
-
Phospho-YAP1 (S127) Recombinant Monoclonal Antibody
Applications: ELISA, WB, IHC
Species Reactivity: Human
-
-
-
-
-
-















