HSPB1 Recombinant Monoclonal Antibody
-
中文名稱:HSPB1重組抗體
-
貨號:CSB-RA010833MA1HU
-
規格:¥1320
-
圖片:
-
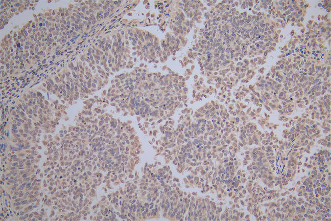
IHC image of CSB-RA010833MA1HU diluted at 1:100 and staining in paraffin-embedded human cervical cancer performed on a Leica BondTM system. After dewaxing and hydration, antigen retrieval was mediated by high pressure in a citrate buffer (pH 6.0). Section was blocked with 10% normal goat serum 30min at RT. Then primary antibody (1% BSA) was incubated at 4°C overnight. The primary is detected by a Goat anti-Mouse IgG labeled by HRP and visualized using 0.05% DAB.
-
IHC image of CSB-RA010833MA1HU diluted at 1:100 and staining in paraffin-embedded human pancreatic tissue performed on a Leica BondTM system. After dewaxing and hydration, antigen retrieval was mediated by high pressure in a citrate buffer (pH 6.0). Section was blocked with 10% normal goat serum 30min at RT. Then primary antibody (1% BSA) was incubated at 4°C overnight. The primary is detected by a Goat anti-Mouse IgG labeled by HRP and visualized using 0.05% DAB.
-
Overlay Peak curve showing Hela cells stained with CSB-RA010833MA1HU (red line) at 1:100. The cells were fixed in 4% formaldehyde (15min) and permeated by 0.2% TritonX-100 for 10min. Then 10% normal goat serum was Incubated to block non-specific protein-protein interactions followed by the antibody (1μg/1*106cells) for 45 min at 4°C. The secondary antibody used was FITC-conjugated Goat Anti-Mouse IgG(H+L) at 1/200 dilution for 35 min at 4°C. Isotype control antibody (green line) was mouse IgG1 (1μg/1*106cells) used under the same conditions. Acquisition of >10,004 events was performed.
-
-
其他:
產品詳情
-
產品描述:CSB-RA010833MA1HU重組單克隆抗體是針對HSPB1(熱休克蛋白β1)研發的高特異性檢測工具。HSPB1作為分子伴侶蛋白家族成員,參與細胞應激保護、氧化損傷修復及微管動態調控,在腫瘤發生、神經退行性疾病中具有關鍵調控作用。該抗體經ELISA、免疫組化(IHC)和流式細胞術(FC)嚴格驗證,在IHC應用中可清晰定位細胞質內HSPB1表達,推薦稀釋比例1:20-1:200;FC檢測顯示其能精準識別膜通透處理后的細胞內靶蛋白,推薦相同稀釋范圍。其重組單抗特性確保批次間高一致性,適用于體外研究HSPB1在熱休克反應中的分子機制、癌癥細胞耐藥性模型構建,以及神經細胞應激通路的動態分析。該產品為研究蛋白質錯誤折疊相關疾病、細胞保護機制及藥物靶點篩選提供可靠工具,特別適用于病理切片蛋白定位、原代細胞或腫瘤細胞系的表型分析等科研場景。
-
Uniprot No.:
-
基因名:
-
別名:Heat shock 27kDa protein antibody; 28 kDa heat shock protein antibody; CMT2F antibody; DKFZp586P1322 antibody; epididymis secretory protein Li 102 antibody; Estrogen regulated 24 kDa protein antibody; Estrogen-regulated 24 kDa protein antibody; Heat shock 25kDa protein 1 antibody; Heat shock 27 kDa protein antibody; Heat shock 27kD protein 1 antibody; Heat shock 27kDa protein 1 antibody; Heat shock 28kDa protein 1 antibody; Heat Shock Protein 27 antibody; Heat shock protein beta 1 antibody; Heat shock protein beta-1 antibody; heat shock protein family B (small) member 1 antibody; HEL-S-102 antibody; HMN2B antibody; HS.76067 antibody; Hsp 25 antibody; HSP 27 antibody; Hsp 28 antibody; Hsp B1 antibody; Hsp25 antibody; HSP27 antibody; Hsp28 antibody; HspB1 antibody; HSPB1_HUMAN antibody; SRP27 antibody; Stress responsive protein 27 antibody; Stress-responsive protein 27 antibody
-
反應種屬:Human
-
免疫原:Recombinant Human HSPB1 protein
-
免疫原種屬:Homo sapiens (Human)
-
標記方式:Non-conjugated
-
克隆類型:Monoclonal
-
抗體亞型:Mouse IgG
-
純化方式:Affinity-chromatography
-
克隆號:26H9
-
濃度:It differs from different batches. Please contact us to confirm it.
-
保存緩沖液:Preservative: 0.03% Proclin 300
Constituents: 50% Glycerol, 0.01M PBS, PH 7.4 -
產品提供形式:Liquid
-
應用范圍:ELISA, IHC, FC
-
推薦稀釋比:
Application Recommended Dilution IHC 1:20-1:200 FC 1:20-1:200 -
Protocols:
-
儲存條件:Upon receipt, store at -20°C or -80°C. Avoid repeated freeze.
-
貨期:Basically, we can dispatch the products out in 1-3 working days after receiving your orders. Delivery time maybe differs from different purchasing way or location, please kindly consult your local distributors for specific delivery time.
-
用途:For Research Use Only. Not for use in diagnostic or therapeutic procedures.
相關產品
靶點詳情
-
功能:Small heat shock protein which functions as a molecular chaperone probably maintaining denatured proteins in a folding-competent state. Plays a role in stress resistance and actin organization. Through its molecular chaperone activity may regulate numerous biological processes including the phosphorylation and the axonal transport of neurofilament proteins.
-
基因功能參考文獻:
- Data suggest that both the small heat shock protein HspB1/Hsp27 and the constitutive chaperone Hsc70/HspA8 interact with tau to prevent tau-fibril/amyloid formation. HspB1 delays tau-fibril formation by weakly interacting with early species in aggregation process. (HspB1 = heat shock protein family B small member 1; Hsc70 = heat shock protein family A Hsp70) PMID: 29298892
- HSP27 is a partner of JAK2-STAT5 and a potential therapeutic target in myelofibrosis. PMID: 29650953
- Results show that HSP27 expression is significantly increased in metastatic prostate cancer and represents a strong marker predicting survival, along with ALDH6A1 and prohibitin. PMID: 30396985
- High HSP27 expression is associated with breast cancer. PMID: 30106436
- our data suggest that overexpression of peroxiredoxin-2, annexin A2, and heat shock protein beta-1 was correlated with tumor invasion, metastasis, and poor prognosis, and therefore, these proteins may serve as potential diagnostic and therapeutic biomarkers. PMID: 29332450
- ETAS down-regulated HSP27 and pHSP27 (serine 78) in KLM1-R cells, but, HSP70 and GRP78 levels were not altered. This study suggests the potential therapeutic benefit of ETAS in enhancing anticancer effects by its combination with gemcitabine for patients with pancreatic cancer PMID: 29936456
- Silencing of HSP27 increases curcumin resistance by reducing apoptosis and reactive oxidative stress production in colon cancer. PMID: 30056019
- The expression of type I and III collagen in the TGF-beta1induced transition of A549 cells to myofibroblasts was significantly downregulated by transfection of A549 cells with HSP27 plasmid Dinterfering sequence and optimal ratio of Lipofectamine(R) 2000 and HSP27 plasmid. PMID: 29568951
- It was suggested that the HSP27 expression in EUS-FNA samples was useful for predicting GEM sensitivity. PMID: 29695571
- High hsp27 expression is associated with leukemia. PMID: 29328466
- p-Hsp27 is a novel biomarker of glioma and might have important clinical value for further classification of patients with wild-type IDH1 and normal ATRX expression and for evaluating prognosis. PMID: 29550762
- Dimer-monomer equilibrium of human HSP27 is influenced by the in-cell macromolecular crowding environment and is controlled by fatty acids and heat. PMID: 29635040
- HSP27 expression promotes vascular smooth muscle cell viability, suppresses cell apoptosis, and confers protection against oxidative stress in Thoracic aortic dissection. PMID: 29209372
- Hsp27 and P38MAPK could be used as prognostic factors in Esophageal squamous cell carcinoma. PMID: 29099815
- Addition of apatorsen to chemotherapy does not improve outcomes in unselected patients with metastatic pancreatic cancer in the first-line setting, although a trend toward prolonged PFS and OS in patients with high baseline serum Hsp27 suggests this therapy may warrant further evaluation in this subgroup PMID: 28935773
- High HSP27 expression is associated with non-small cell lung cancer metastasis. PMID: 28656293
- Knockdown of HSP27 blocked TGF-beta-induced cisplatin resistance. PMID: 28848138
- The expression of HSP27 was approximately 2-fold higher in apical periodontitis. Next, an increased expression of HSP27 was detected in epithelial cells PMID: 28673495
- Findings indicate the heat-shock protein 27 (Hsp27) pathway as a therapeutic target for the management of conditions featuring dysregulated interleukin 1 beta (IL-1beta) production. PMID: 27976724
- Increased protein level of HSP27 through SUMO2/3-mediated SUMOylation plays crucial roles in the progression of primary hepatocellular carcinoma. PMID: 28665748
- When the correlations of the markers with the response to neoadjuvant chemotherapy were examined, only high pre-chemotherapy levels of cytoplasmic HSPB1/p correlated with a poor clinical and pathological response to neoadjuvant cisplatin chemotherapy (p = 0.056) suggesting that this marker could be useful opening its study in a larger number of cases. PMID: 28608263
- Exposure to cetuximab and various concentration of AG490, an inhibitor of JAK2, STAT3 and HSP27 protein levels, except in the KRAS G12V mutant line, SW620...cetuximab may promote SN38 sensitivity via suppression of HSP27, through blocking the JAK/STAT signaling pathway, and shows synergistic effects when combined with SN38 in wild-type RAS CRC cells. PMID: 28656305
- we concluded that HSP27-silenced placenta-derived multipotent cells differentiated into neurons possessing the characteristics of functional glutamatergic neurons. PMID: 27444754
- Data show that Hsp27increases degradation rate of ubiquitinated MST1 and therefore interrupts the Hippo pathway kinase cascade. Consequently YAP and TAZ are less phosphorylated, free to translocate into the nucleus promoting a malignant phenotype. These findings underscore the central importance of Hsp27 in regulating multiple signaling pathways that promote tumor aggressiveness. PMID: 27555231
- upregulation of Hsp27 is a common phenomenon shared between pregnancies in patients with preterm prelabor rupture of membranes and spontaneous preterm labor with intact membranes PMID: 28497897
- HSP27 is an independent predictor of prognosis in chronic HF PMID: 28844461
- Hsp27 may up-regulate the expression of ABCA1 and promotes cholesterol efflux through activation of the PI3K/PKCzeta/Sp1 signal pathway in THP-1 macrophage-derived foam cells PMID: 28610841
- This study reports solution-state nuclear magnetic resonance spectroscopy investigations of the conformation and dynamics of the disordered and flexible C-terminal region of human HSP27. These data indicate a potential role for cis-trans proline isomerization in regulating the oligomerization. PMID: 28547731
- Overexpression of both HSPB5 and Hsp27 significantly reduced the intracellular aggregation of alpha-synuclein. PMID: 28337642
- HspB1 structural organization displays dynamic and complex rearrangements in response to changes in the cellular environment or when the cell physiology is modified. [review] PMID: 28144778
- Glutathione-S-transferase - HspB1 fusion protein prevents more aggregation of malate dehydrogenase compared to glutathione-S-transferase -HspB5 fusion protein and wild type HspB1. PMID: 28130664
- The data suggest that oncogene-addicted cells require the small heat-shock protein of 27 kDa (HSP27) for survival and that HSP27 might interfere with the effectiveness of targeted agents. PMID: 28182330
- Data indocate six cytostatic drugs which inhibit heat shock 27 kDa protein (HSP27) and tackle drug resistance by computational drug repositioning approach. PMID: 27626687
- Different from C-M-T phenotype in hereditary neuropathies caused by mutations in the HSPB1 gene. PMID: 27816334
- found knock down of HSPB1 further increased the proportion of apoptotic cells in hyperthermic treated melanoma cells when compared with either single agent alone, and both agents leaded to cell cycle arrest at G0/G1 or G2/M phases PMID: 27626679
- Data suggest that altered dimerization of HSP27 represents a good strategy for anticancer therapy in HSP27-overexpressing cancer cells. PMID: 27449291
- Apatorsen ( 2'-methoxyethyl-modified antisense oligonucleotide that inhibits Hsp27 expression)was tolerated at the highest dose evaluated (1000 mg). Single-agent activity was suggested by changes in tumor markers, circulating tumor cells , and stable measurable disease PMID: 27022067
- this results show the central role of Hsp27 in RACK1 pseudosubstrate or LPS-induced cell activation of primary leukocytes PMID: 27178349
- High p-Hsp27 expression is associated with cisplatin resistance in lung cancer. PMID: 26872057
- Low p-Hsp27 expression is associated with pancreatic cancer. PMID: 26895107
- The up-regulation of Hsp27 by E2 is mediated by ERalpha/Sp1. PMID: 27179757
- Study report a novel interaction between mutant HSPB1-P182L and the RNA binding protein PCBP1, leading to a reduction in its translational repression activity. Identifying PCBP1 mRNA targets revealed a marked prevalence for an RNA recognition motif, preferably seen in their 5' and 3'UTRs. Findings further support a role for mutant HSPB1 in neurodegenerative diseases. PMID: 28077174
- Hsp 70 and Hsp 27 were expressed in middle ear effusions PMID: 28964286
- High Hsp27 expression is associated with Thyroid Tumors. PMID: 26970173
- Bradykinin stimulates myofibroblast migration through protein kinase D-mediated activation of COX-2 and Hsp27. PMID: 28032559
- Data suggest that HSPB6 forms hetero-oligomers with HSPB1 under the following rules: (1) highly conserved motif RLFDQXFG is necessary for subunit exchange among oligomers, (2) a site about 20 residues downstream of this motif determines size of resultant hetero-oligomers, and (3) a region in the N-terminal domain that is unique to HSPB6 dictates preferential formation of heterodimers. (HSP = heat shock protein) PMID: 28487364
- TNF-alpha stimulates colonic myofibroblast migration through P38 MAPK-mediated activation of COX-2 and Hsp27. PMID: 27451881
- The potency of the sHsps to suppress aggregation of model substrates is correlated with their ability to form stable substrate complexes; especially HspB1 and HspB5, but also B3, bind tightly to a variety of proteins PMID: 27909051
- This work examines the molecular mechanism by which two canonical sHsps, alphaB-crystallin (alphaB-c) and Hsp27, interact with aggregation-prone alpha-syn to prevent its aggregation in vitro Both sHsps are very effective inhibitors of alpha-syn aggregation PMID: 27587396
- This study highlights a novel relation between serum pHSP27 and BMD in Indian women however, these findings need to be confirmed in larger studies PMID: 27241641
顯示更多
收起更多
-
相關疾病:Charcot-Marie-Tooth disease 2F (CMT2F); Neuronopathy, distal hereditary motor, 2B (HMN2B)
-
亞細胞定位:Cytoplasm. Nucleus. Cytoplasm, cytoskeleton, spindle.
-
蛋白家族:Small heat shock protein (HSP20) family
-
組織特異性:Detected in all tissues tested: skeletal muscle, heart, aorta, large intestine, small intestine, stomach, esophagus, bladder, adrenal gland, thyroid, pancreas, testis, adipose tissue, kidney, liver, spleen, cerebral cortex, blood serum and cerebrospinal f
-
數據庫鏈接:
Most popular with customers
-
-
Phospho-YAP1 (S127) Recombinant Monoclonal Antibody
Applications: ELISA, WB, IHC
Species Reactivity: Human
-
-
-
-
-
-















