-
中文名稱:TUBB4A兔多克隆抗體
-
貨號:CSB-PA025324LA01HU
-
規格:¥440
-
圖片:
-
Western blot
All lanes: TUBB4A antibody at 2 μg/ml
Lane 1: 293T whole cell lysate
Lane 2: Hela whole cell lysate
Secondary
Goat polyclonal to rabbit IgG at 1/10000 dilution
Predicted band size: 50 kDa
Observed band size: 50, 58 kDa -
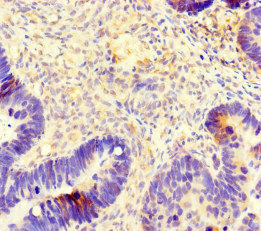
Immunohistochemistry of paraffin-embedded human ovarian cancer using CSB-PA025324LA01HU at dilution of 1:100
-
Immunofluorescent analysis of MCF-7 cells using CSB-PA025324LA01HU at dilution of 1:100 and Alexa Fluor 488-congugated AffiniPure Goat Anti-Rabbit IgG(H+L)
-
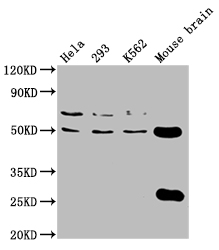
Western Blot
Positive WB detected in: Hela whole cell lysate, 293 whole cell lysate, K562 whole cell lysate, Mouse brain tissue
All lanes: TUBB4A antibody at 1:2000
Secondary
Goat polyclonal to rabbit IgG at 1/50000 dilution
Predicted band size: 50 kDa
Observed band size: 50 kDa
-
-
其他:
產品詳情
-
產品名稱:Rabbit anti-Homo sapiens (Human) TUBB4A Polyclonal antibody
-
Uniprot No.:
-
基因名:
-
別名:Beta 4 antibody; Beta 4 tubulin antibody; beta 5 antibody; beta four tubulin antibody; Dystonia 4 torsion (autosomal dominant) antibody; MC1R antibody; TBB4_HUMAN antibody; TUB B4 antibody; TUBB 4 antibody; tubb4 antibody; TUBB4A antibody; TUBB5 antibody; Tubulin 5 beta antibody; Tubulin beta 3 antibody; Tubulin beta 4 antibody; Tubulin beta 4 chain antibody; Tubulin beta 4A class IVa antibody; Tubulin beta 5 antibody; Tubulin beta IV antibody; Tubulin beta-4 chain antibody
-
宿主:Rabbit
-
反應種屬:Human, Mouse
-
免疫原:Recombinant Human Tubulin beta-4A chain protein (1-444AA)
-
免疫原種屬:Homo sapiens (Human)
-
標記方式:Non-conjugated
本頁面中的產品,TUBB4A Antibody (CSB-PA025324LA01HU),的標記方式是Non-conjugated。對于TUBB4A Antibody,我們還提供其他標記。見下表:
-
克隆類型:Polyclonal
-
抗體亞型:IgG
-
純化方式:>95%, Protein G purified
-
濃度:It differs from different batches. Please contact us to confirm it.
-
保存緩沖液:Preservative: 0.03% Proclin 300
Constituents: 50% Glycerol, 0.01M PBS, PH 7.4 -
產品提供形式:Liquid
-
應用范圍:ELISA, WB, IHC, IF
-
推薦稀釋比:
Application Recommended Dilution WB 1:500-1:5000 IHC 1:20-1:200 IF 1:50-1:200 -
Protocols:
-
儲存條件:Upon receipt, store at -20°C or -80°C. Avoid repeated freeze.
-
貨期:Basically, we can dispatch the products out in 1-3 working days after receiving your orders. Delivery time maybe differs from different purchasing way or location, please kindly consult your local distributors for specific delivery time.
-
用途:For Research Use Only. Not for use in diagnostic or therapeutic procedures.
引用文獻
相關產品
靶點詳情
-
功能:Tubulin is the major constituent of microtubules. It binds two moles of GTP, one at an exchangeable site on the beta chain and one at a non-exchangeable site on the alpha chain.
-
基因功能參考文獻:
- The data of this studies suggest that mutations in TUBB4A exceedingly rarely contribute to the etiology of isolated dystonia. PMID: 28655586
- The different clinical phenotypes associated with TUBB4A reflect the selective and specific cellular effects of the causative mutations. Cellular specificity of disease pathogenesis is relevant to developing targeted treatments for this disabling condition. PMID: 28973395
- Together, DYT4-associated TUBB4A mutants themselves form aberrant tubulin networks and inhibit neuronal process growth, possibly explaining progress through the pathological states at cellular levels. PMID: 29127012
- Genetic screening targeted at currently known disease-causing mutations in TOR1A, THAP1, and TUBB4 appears to have low diagnostic yield in sporadic spasmodic dysphonia. In our cohort, only 2 patients tested positive for novel/rare variants in THAP1. PMID: 27188707
- TUBB4A-mutated patients manifest a comparable clinical and neuroimaging picture but they can differ from each other in terms of rate of disease progression PMID: 26643067
- our data indicate that TUBB4A coding mutations do not play a critical role in the broad population of isolated dystonia patients PMID: 26318963
- a paclitaxel-resistant beta-tubulin isotype, betaIVa-tubulin, was the most up-regulated gene compared with other beta-tubulin isotypes in H460 floating cells, concomitant with elevated ERK activation PMID: 26375501
- The study adds complicated hereditary spastic paraplegia to the clinical spectrum of TUBB4A-associated neurological disorders. PMID: 25772097
- Data suggested H-ABC and DYT4 belong to a continuous phenotypic spectrum associated with TUBB4A mutations. PMID: 25545912
- Novel TUBB4A mutations and expansion of the neuroimaging phenotype of hypomyelination with atrophy of the basal ganglia and cerebellum (H-ABC). PMID: 24706558
- Novel TUBB4A mutations expands the phenotype of TUBB4A-related hypomyelinating conditions beyond hypomyelination with atrophy of the basal ganglia and cerebellum. PMID: 25085639
- This study demonistrated that Hypomyelination with atrophy of the basal ganglia and cerebellum with TUBB4A mutation. PMID: 24785942
- TUBB4A mutations cause typical hypomyelinating leukoencephalopathies. PMID: 24850488
- The c.4C>G DYT4 mutation appears to be private, and clinical testing for TUBB4A mutations is not justified in spasmodic dysphonia or other forms of primary dystonia PMID: 24598712
- This study demonistrated that TUBB4A mutation in the autoregulatory domain cause hereditary dystonia. PMID: 23424103
- This study provided strong evidence supporting the causative role of a mutation in TUBB4, altering a highly conserved and functionally important amino acid, in DYT4 dystonia. PMID: 23595291
- Data indicate that leucine-rich repeat kinase 2 (LRRK2) selectively interacts with three beta-tubulin isoforms: TUBB, TUBB4, and TUBB6. PMID: 24275654
- DYT4 is a familial form of dystonia unrelated to known dystonia genes and loci. Phenotypic expression is variable, ranging from isolated spasmodic dysphonia (often with mild craniocervical dystonia) to severe generalized dystonia. PMID: 21956287
- A de novo mutation in the beta-tubulin gene TUBB4A results in the leukoencephalopathy hypomyelination with atrophy of the basal ganglia and cerebellum. PMID: 23582646
- Destruction of the beta-tubulin:CCT-beta complex provokes Hsp90-dependent protein ubiquitination and degradation. PMID: 23190606
- Data show six differentially expressed proteins were identified as HSP70, PPIA and alpha-Enolase (up-regulated) S100-A9, PIMT and beta-5 tubulin (down-regulated), most of which had been shown to play a potential role in the pathogenesis of atherosclerosis. PMID: 21839816
- The results provide the first evidence that a specific isoform of beta-tubulin is required for mitosis. PMID: 18553364
- Suggest that nuclear accumulation of soluble tubulin is part of an intrinsic defense mechanism, which tends to limit cell proliferation under pathological conditions. PMID: 19299461
顯示更多
收起更多
-
相關疾病:Dystonia 4, torsion, autosomal dominant (DYT4); Leukodystrophy, hypomyelinating, 6 (HLD)
-
亞細胞定位:Cytoplasm, cytoskeleton.
-
蛋白家族:Tubulin family
-
組織特異性:Major isotype in brain, where it represents 46% of all beta-tubulins. In the brain, highest expression levels in the cerebellum, followed by putamen and white matter. Moderate levels in testis. Very low levels, if any, in other tissues.
-
數據庫鏈接:
Most popular with customers
-
Phospho-YAP1 (S127) Recombinant Monoclonal Antibody
Applications: ELISA, WB, IHC
Species Reactivity: Human
-
-
-
-
-
-
-















