TNFSF15 Antibody
-
中文名稱:TNFSF15兔多克隆抗體
-
貨號:CSB-PA023992ESR2HU
-
規格:¥440
-
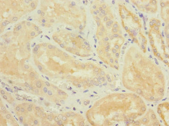
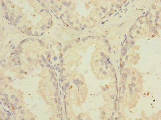
圖片:
-
其他:
產品詳情
-
產品名稱:Rabbit anti-Homo sapiens (Human) TNFSF15 Polyclonal antibody
-
Uniprot No.:
-
基因名:
-
別名:TNFSF15; TL1; VEGI; Tumor necrosis factor ligand superfamily member 15; TNF ligand-related molecule 1; Vascular endothelial cell growth inhibitor
-
宿主:Rabbit
-
反應種屬:Human
-
免疫原:Recombinant Human Tumor necrosis factor ligand superfamily member 15 protein (72-251AA)
-
免疫原種屬:Homo sapiens (Human)
-
標記方式:Non-conjugated
-
克隆類型:Polyclonal
-
抗體亞型:IgG
-
純化方式:Antigen Affinity Purified
-
濃度:It differs from different batches. Please contact us to confirm it.
-
保存緩沖液:PBS with 0.02% sodium azide, 50% glycerol, pH7.3.
-
產品提供形式:Liquid
-
應用范圍:ELISA, IHC
-
推薦稀釋比:
Application Recommended Dilution IHC 1:20-1:200 -
Protocols:
-
儲存條件:Upon receipt, store at -20°C or -80°C. Avoid repeated freeze.
-
貨期:Basically, we can dispatch the products out in 1-3 working days after receiving your orders. Delivery time maybe differs from different purchasing way or location, please kindly consult your local distributors for specific delivery time.
-
用途:For Research Use Only. Not for use in diagnostic or therapeutic procedures.
相關產品
靶點詳情
-
功能:Receptor for TNFRSF25 and TNFRSF6B. Mediates activation of NF-kappa-B. Inhibits vascular endothelial growth and angiogenesis (in vitro). Promotes activation of caspases and apoptosis.
-
基因功能參考文獻:
- TNFSF15 polymorphisms may contribute to genetic susceptibility of inflammatory bowel disease (Meta-Analysis) PMID: 29873318
- TL1A modulated Rheumatoid arthritis-fibroblast-like synoviocytes migration and Indian hedgehog signaling pathway using TNFR2. PMID: 29748156
- TL1A can induce tumor cell proliferation and promote the occurrence of colitis-associated colorectal cancer by activating Wnt/beta-catenin pathway. PMID: 29796912
- TNFSF15, a cytokine mainly produced by blood endothelial cells, facilitates tumor lymphangiogenesis by upregulating VEGFC expression in A549 cells. PMID: 29890027
- Results suggested that TNFSF15 (rs3810936 and rs4979462) SNPs may confer susceptibility to systemic lupus erythematosus (SLE) risk, which were significantly associated with the clinical phenotypes of SLE. PMID: 29803925
- Three alternatively spliced isoforms of VEGI, VEGI174, VEGI192 and VEGI251 have been documented. This study investigated the effects of VEGI174 and its functional domains (V7 and V8) on epithelialmesenchymal transition (EMT) in renal cell carcinoma (RCC) cells in vitro. Overexpression of VEGI174, V7 or V8 inhibited EMT. PMID: 28656288
- Results provide evidence that variance within TNFSF15 has the potential to affect cytokine expression across a range of tissues and thereby contribute to protection from infectious diseases such as leprosy, while increasing the risk of immune-mediated diseases including Crohn's disease and primary biliary cholangitis. PMID: 27507062
- single variant analysis detected a previously unreported psoriasis risk locus at TNFSF15 (rs6478108) PMID: 28973304
- play a role in the development of systemic sclerosis PMID: 28397078
- the DR3/TL1A pathway directly enhances human OC formation and resorptive activity, controlling expression and activation of CCL3 and MMP-9. PMID: 28062298
- the blocking of tumor necrosis factor receptor 2 (TNFR2) decreased TL1A-stimulated IL-6 production by rheumatoid arthritis fibroblast-like synoviocytes. PMID: 27081759
- Distinct but overlapping TNFSF15 haplotypes were demonstrated in diverticulitis patients versus healthy controls when compared with the known Crohn's risk haplotype suggesting similar but distinct genetic predispositions. This study strengthens the role for a genetic predisposition to diverticulitis that involves the TNFSF15 gene. PMID: 28624054
- TL1A differentially induces expression of TH17 effector cytokines IL-17, -9, and -22 and provides a potential target for therapeutic intervention in TH17-driven chronic inflammatory diseases. PMID: 27733581
- Our findings indicate that VEGI174 prevents progression and tumor metastasis through inhibiting epithelial-mesenchymal transition (EMT) in renal cell carcinoma (RCC) in vivo. This may provide a new approach for the treatment of RCC PMID: 28739718
- Data suggest that human regulatory T-lymphocytes express DR3 and demonstrate DR3/TL1A-mediated activation of signaling via MAP kinases and NFkappaB. (DR3 = death receptor 3; TL1A/TNFSF15 = tumor necrosis factor [ligand] superfamily, member 15) PMID: 28337757
- These results raise the possibility for involvement of TL1A/DR3/DR3-mediated mechanisms in epithelial-mesenchymal interactions and the development of inflammation-induced intestinal fibrosis in Crohn's disease. PMID: 27665176
- rs1250569 (ZMIZ1) and rs10114470 (TL1A) are two novel loci that indicate susceptibility to Inflammatory Bowel Disease in Han-Chinese patients. PMID: 28456797
- results support an idea that the genetic susceptibility of TNFSF15 to CD may be confounded, in part, by the increase of Prevotella PMID: 28197769
- (188)Re-NGR-VEGI has the potential as a theranostic agent. PMID: 26768609
- miRNA-31 can directly bind to the 3-UTR of TNFSF15, thereafter negatively regulating its expression in Caco2 cells. PMID: 27188743
- There were significant associations of rs3810936, rs6478108, rs6478109, rs7848647 with CD in Korean pediatric patients (P = 6.5x10(-8), P = 1.3x10(-8), P = 3.7x10(-8), P = 2.9x10(-8), respectively). PMID: 25998826
- Patients with mild traumatic brain injury (TBI) exhibited higher VEGI levels than those with moderate and severe TBI. PMID: 26945876
- Biologics beyond TNF-alpha inhibitors and the effect of targeting the homologues TL1A-DR3 pathway in chronic inflammatory disorders. PMID: 26810853
- Rs3810936 of TNFSF15 were related to the risk of ankylosing spondylitis PMID: 26823868
- Higher TL1A levels were associated with early stage chronic lymphocytic leukemia. PMID: 26393680
- TL1A-induced cell death is directly mediated through DR3. PMID: 26509650
- Plasma levels of TL1A were significantly higher in newly diagnosed SLE patients compared with controls, and were positively associated with SLE disease activity index. PMID: 25929716
- This study indicates that the HDAC inhibitor may be exploited as a therapeutic strategy modulating the soluble VEGI/DR3 pathway in osteosarcoma patients PMID: 25778932
- Results show that subjects with TNFSF15 -358CC genotype were at higher risks for developing gastric adenocarcinoma in the Helicobacter pylori infected group. PMID: 25251497
- The data indicate that TL1A may contribute to pathogenesis of inflammatory bowel diseases via local but not systemic induction of IL-17A but not IL-4, IL-13 or IFN-gamma. PMID: 26072972
- study has defined the increased serum and SF samples levels of TL1A and DcR3 in patients with rheumatoid arthritis (RA); findings support the hypothesis that TL1A and DcR3 may contribute to the pathogenesis of RA PMID: 25647275
- TNFSF15 SNPs, rs6478108 and rs4574921, may be independent genetic predictive factors for the development of stricture/non-perianal penetrating complications and perianal fistula, respectively. PMID: 24835165
- TL1A increases expression of CD25, LFA-1, CD134 and CD154, and induces IL-22 and GM-CSF production from effector CD4 T-cells PMID: 25148371
- Addition of TL1A to IL-1beta + IL-23 also augmented ILC3 proliferation PMID: 26046454
- This study shows an association between TNFSF15-rs3810936 and AAU and suggests that the TL1A/DR3 pathway may be implicated in the pathogenesis of this disease. PMID: 26200500
- associations exist between TNFSF15 gene polymorphisms and IBD (both CD and UC) in the Indian population PMID: 25501099
- These results suggested that TL1A could promote Th17 differentiation in rheumatoid arthritis via the activation of RORc, and this effect may be mediated by the binding of TL1A with DR3. PMID: 24832108
- TL1A blood levels are elevated in psoriasis patients; TL1A expression is higher in psoriatic lesions than in normal skin PMID: 25908025
- Human primary biliary cirrhosis-susceptible allele of rs4979462 enhances TNFSF15 expression by binding NF-1. PMID: 25899471
- Soluble TL1A synergized with IL-23 to stimulate peripheral blood mononuclear cells from patients with psoriasis vulgaris to produce IL-17. PMID: 25200589
- This meta-analysis indicated that most of the seven TNFSF15 polymorphisms (except for rs4263839) were risk factors contributed to CD and UC susceptibility. The differences in ethnicity did not influence the risk obviously. PMID: 25028192
- DR3 is expressed in some interstitial vascular endothelial cells (EC) in human kidney in situ; these EC also respond to its ligand TL1A by activating NF-kappaB. PMID: 25399326
- Mechanisms mediating TNFSF15:DR3 contributions to pattern recognition receptor outcomes included TACE-induced TNFSF15 cleavage to soluble TNFSF15; soluble TNFSF15 then led to TRADD/FADD/MALT-1- and caspase-8-mediated autocrine IL-1 secretion. PMID: 25197060
- This is the first report of the association between early Crohn's disease and the TNFSF15 single nucleotide polymorphisms. PMID: 25664710
- Tumor-infiltrating natural killer and CD4(+) T cells under the influence of cancer cells significantly increase the production of IFNgamma, which in turn inhibits TNFSF15 expression in vascular endothelial cells. PMID: 24141405
- may play an important role in the pathogenesis of primary biliary cirrhosis PMID: 24016146
- Our data demonstrate a key role for TL1A in promoting ILC2s at mucosal barriers. PMID: 24220298
- Combining the genetic marker TNFSF15 with ASCA IgA increased the power of predicting stenosis/perforating phenotype in Crohn's disease patients with TNFSF15 but not with a NOD2 genetic background PMID: 24783249
- genetic polymorphism is associated with psoriasis and psoriatic arthritis in Hungarians PMID: 24269700
- attenuated S. typhimurium carrying the dual function plasmid VEGI151/survivin cannot only be specifically enriched in the tumor tissue, but also showed a synergistic antitumor effect in vivo. PMID: 23404494
顯示更多
收起更多
-
亞細胞定位:Membrane; Single-pass type II membrane protein.; [Tumor necrosis factor ligand superfamily member 15, secreted form]: Secreted.
-
蛋白家族:Tumor necrosis factor family
-
組織特異性:Specifically expressed in endothelial cells. Detected in monocytes, placenta, lung, liver, kidney, skeletal muscle, pancreas, spleen, prostate, small intestine and colon.
-
數據庫鏈接:
Most popular with customers
-
-
Phospho-YAP1 (S127) Recombinant Monoclonal Antibody
Applications: ELISA, WB, IHC
Species Reactivity: Human
-
-
-
-
-
-















