TBXA2R Antibody
-
中文名稱:TBXA2R兔多克隆抗體
-
貨號:CSB-PA550037
-
規格:¥1100
-
圖片:
-
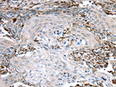
The image on the left is immunohistochemistry of paraffin-embedded Human cervical cancer tissue using CSB-PA550037(TBXA2R Antibody) at dilution 1/40, on the right is treated with synthetic peptide. (Original magnification: ×200)
-
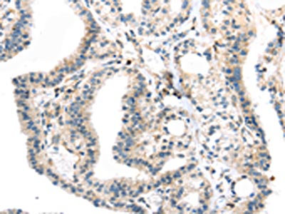
The image on the left is immunohistochemistry of paraffin-embedded Human thyroid cancer tissue using CSB-PA550037(TBXA2R Antibody) at dilution 1/40, on the right is treated with synthetic peptide. (Original magnification: ×200)
-
Gel: 8%SDS-PAGE,Lysate: 40 μg,Lane 1-2: Raji cells, Jurkat cells,Primary antibody: CSB-PA550037(TBXA2R Antibody) at dilution 1/200 dilution,Secondary antibody: Goat anti rabbit IgG at 1/8000 dilution,Exposure time: 40 seconds
-
-
其他:
產品詳情
-
Uniprot No.:
-
基因名:
-
別名:TBXA2R; Thromboxane A2 receptor; TXA2-R; Prostanoid TP receptor
-
宿主:Rabbit
-
反應種屬:Human
-
免疫原:Synthetic peptide of Human TBXA2R
-
免疫原種屬:Homo sapiens (Human)
-
標記方式:Non-conjugated
-
抗體亞型:IgG
-
純化方式:Antigen affinity purification
-
濃度:It differs from different batches. Please contact us to confirm it.
-
保存緩沖液:-20°C, pH7.4 PBS, 0.05% NaN3, 40% Glycerol
-
產品提供形式:Liquid
-
應用范圍:ELISA,WB,IHC
-
推薦稀釋比:
Application Recommended Dilution ELISA 1:2000-1:5000 WB 1:500-1:2000 IHC 1:30-1:150 -
Protocols:
-
儲存條件:Upon receipt, store at -20°C or -80°C. Avoid repeated freeze.
-
貨期:Basically, we can dispatch the products out in 1-3 working days after receiving your orders. Delivery time maybe differs from different purchasing way or location, please kindly consult your local distributors for specific delivery time.
-
用途:For Research Use Only. Not for use in diagnostic or therapeutic procedures.
相關產品
靶點詳情
-
功能:Receptor for thromboxane A2 (TXA2), a potent stimulator of platelet aggregation. The activity of this receptor is mediated by a G-protein that activates a phosphatidylinositol-calcium second messenger system. In the kidney, the binding of TXA2 to glomerular TP receptors causes intense vasoconstriction. Activates phospholipase C.; Activates adenylyl cyclase.; Inhibits adenylyl cyclase.
-
基因功能參考文獻:
- Differential TBXA2 receptor transcript stability is dependent on the C924T polymorphism PMID: 28709878
- The tumour suppressors FOXP1 and NKX3.1, strongly implicated in PCa development, were identified as key transcription factors regulating TPbeta expression through Prm3 in both PCa cell lines. PMID: 28890397
- The study of patients with naturally occurring variants within TBXA2R associated with bleeding and abnormal TPalpha receptor function has provided a powerful insight in defining the critical role of TPalpha in thrombus formation. PMID: 30089223
- these data demonstrate that TPalpha/TPbeta can act as neoplastic and epigenetic regulators by mimicking and/or enhancing the actions of androgens within the prostate and provides further mechanistic insights into the role of the TXA2/TP signalling axis in prostate cancer, including potentially in CRPC. PMID: 28108419
- Data show that thromboxane A2 receptor beta-isoform (TPbeta) is highly expressed in intrauterine growth restriction (IUGR) placentae but is absent from healthy placentae. PMID: 27363493
- We conclude that hyperglycemia activates thromboxane A2 receptor to impair the integrity and function of blood-brain barrier via the ROCK-PTEN-Akt-eNOS pathway. PMID: 28415790
- data presented herein propose a novel diagnostic and prognostic potential for TPalpha and TPbeta in the histopathological assessment of PCa. While TPalpha and TPbeta are differentially expressed and independently regulated, increased levels of TPbeta, TPalpha or both correlated with increased risk of recurrence and reduced disease-free survival time. PMID: 27689401
- TBXA2R is a novel breast cancer-associated gene required for the survival and migratory behaviour of a subset of Triple Negative Breast Cancer (TNBC). PMID: 27487152
- TXA2R rs1131882TT genotype is associated with carotid plaque vulnerability, platelet activation and TXA2 levels in ischemic stroke patients. PMID: 28704403
- We demonstrate that Trp334 in the TPbeta C-terminus is critical for the CCT7 interaction and plays an important role in TPbeta maturation and cell-surface expression. PMID: 27708139
- TBXA2R +924C/T polymorphism is associated with asthma risk PMID: 27058349
- A considerable portion of Chinese ischemic stroke patients are insensitive to aspirin treatment, which may be correlated with the MDR1 C3435T, TBXA2R (rs1131882), and PLA2G7 (rs1051931-rs7756935) polymorphisms. PMID: 27641736
- Data suggest that thromboxane A2/TBXA2R signaling promotes multiple myeloma cell proliferation by reducing delay at G2/M phase via up-regulation of MAP kinase pathway, up-regulation of cyclin B1/CDK1 expression, and down-regulation of apoptosis. PMID: 26724804
- The results of this study show that TXA2R polymorphisms may affect platelet function and the risk of developing cerebral ischemia. PMID: 25557379
- Which could be attenuated by treatment with a TP antagonist (PTXA2). PMID: 25202904
- TXA2 receptor associated with lipid rafts in platelets is important for functional platelet responses to TXA2 PMID: 24996187
- Data suggest TBXA2R requires Ser324 for normal activity; Ser324A mutant is insensitive to activation by protein kinase A/cell hypoxia, has high affinity for agonists (thromboxane A2/analogs), and participates in agonist-induced calcium mobilization. PMID: 24490858
- There was no significant association between rs4523 variants and CI. However, there was a significant difference in the overall distribution of genotypes and dominant/recessive models of rs768963 between CI and control groups PMID: 23456445
- TXA2 should be regarded as a critical molecule in COX-2-mediated tumor growth and a valuable target against lung cancer. PMID: 24384873
- Human thromboxane A2 receptor genetic variant V80E exhibited reduced platelet activation whereas A160T demonstrated platelet hyperactivity. PMID: 23840660
- Targeting the TPalpha-TM5 GxxxGxxxL domain may allow development of biased TPalpha homodimer antagonists that avoid suppression of IP-TPalpha heterodimer function. PMID: 23493750
- Non-conservative substitution of E3.49 and E6.30 in prostanoid TP receptor results in superactive mutants that are more efficient in G protein coupling and activation. PMID: 23555978
- Genetic variants were identified in the TBXA2R gene that influenced transcriptional activity and were associated with asthma-related phenotypes. PMID: 23517037
- In the very rare disorder TP receptor deficiency the W29C substitution reduces TP receptor function by reducing surface receptor expression and by disrupting ligand binding. PMID: 23279270
- These results do not support that thromboxane prostanoid receptor activation could exert a moderating influence on reactive hyperemia in human skin and skeletal muscle, at least in young subjects PMID: 23107873
- Data show that TXA(2) mimetic, I-BOP, induced monocyte chemoattractant protein -1(MCP-1)/chemokine (C-C motif) ligand 2 (CCL2) expression at both mRNA and protein levels in lung adenocarcinoma A549 cells. PMID: 23349788
- The results indicate that the beta1-subunit can form a tripartite complex with TP and MaxiKalpha, has the ability to associate with each protein independently. PMID: 23255603
- IP receptor heteridimerization with thromboxane receptor facilitates receptor trafficking to membrane lipid rafts. PMID: 23162015
- Data show that that Ala160(4.53) and Gly164(4.57) in the thromboxane A2 receptor (TP)play critical structural roles in packing of TM3 and TM4 helices. PMID: 22272267
- The frequencies of the CC/CT genotype of TBXA2R +795T>C were higher than those of the TT genotype in AERD patients compared to aspirin-tolerant asthma patients. PMID: 22101342
- A unique megakaryocytic cell line UT-7/TPO could respond to one of the primary platelet signals through GP (glycoprotein) VI and a secondary signal of the AA (arachidonic acid) cascade. PMID: 20522022
- Studies indicate that RAD50 and PTPRE of crude associations with asthma at a Bonferroni-corrected level of significance, while IL4R, CCL5 and TBXA2R of nominal significance. PMID: 21734400
- The carboxyl-terminal segment of thromboxane A2 receptor second extracellular loop plays a critical role in platelet activation. PMID: 22008592
- TBXA2R-924T allele was involved in AR. Diabetes was an independent risk factor of aspirin resistance. PMID: 21740787
- The results suggest that the TBXA2R-4684T allele may be associated with lower TBXA2R expression, which may contribute to the development of the aspirin-intolerant acute urticaria phenotype. PMID: 21070398
- the impaired platelet activation in response to U46619 in the heterozygous subject for the TXA(2)R mutation is, at least in part, as a result of the decrease in ADP secretion PMID: 21342433
- angio-associated migratory cell protein was identified as a novel interacting partner of both TPalpha and TPbeta isoforms of the thromboxane A2 receptor PMID: 21172430
- TBXA2R signaling was regulated by oxidative stress-induced stabilization and relocation. PMID: 20856817
- vasoconstrictor TP receptor and MaxiK-channel direct interaction facilitates G-protein-independent TP to MaxiK trans-inhibition, which would promote vasoconstriction. PMID: 20959415
- mediates tumor growth and angiogenesis in human lung cancer cells PMID: 19853959
- possibility of ligand-free constitutive TBXA2R signaling through Galphaq binding PMID: 20590159
- These data establish WT1 as a critical repressor of thromboxane A2 receptor promoter Prm1, suppressing TPalpha expression. PMID: 19067769
- D304N substitution causes clinically significant platelet dysfunction by reducing ligand binding establishes the importance of the NPXXY motif for TxA(2)R function in vivo PMID: 19828703
- Prostaglandin endoperoxides and thromboxane A2 activate the same receptor isoforms in human platelets. PMID: 11848439
- Mapping of a ligand-binding site for the human thromboxane A2 receptor protein. PMID: 11877412
- These results suggest TXA2 receptor polymorphism strongly interacts with IL-4R alpha polymorphism as a major determinant of high serum immunoglobulin E levels in atopic dermatitis. PMID: 11922633
- The role of TXA2R 5' UTR in differential isoform expression was studied. Exons E1 & E1b associated with TXA2R transcript(s), but their expression was mutually exclusive. Major transcription initiation sites were between -115 & -92 in E1 & at -99 in E1b. PMID: 12180983
- Transcriptional activity of the 5'flanking region PMID: 12213432
- analysis of third extracellular loop of human thromboxane A2 receptor PMID: 12781781
- Thromboxane A2 (TXA2)-mediated platelet secretion and aggregation are important in thrombosis and the stable TXA2 analogue, U46619, induces two waves of platelet secretion, each of which precedes a distinct wave of platelet aggregation PMID: 12796499
顯示更多
收起更多
-
相關疾病:Bleeding disorder, platelet-type 13 (BDPLT13)
-
亞細胞定位:Cell membrane; Multi-pass membrane protein.
-
蛋白家族:G-protein coupled receptor 1 family
-
數據庫鏈接:
Most popular with customers
-
-
Phospho-YAP1 (S127) Recombinant Monoclonal Antibody
Applications: ELISA, WB, IHC
Species Reactivity: Human
-
-
-
-
-
-















