STUB1 Antibody
-
中文名稱:STUB1兔多克隆抗體
-
貨號:CSB-PA892480LA01HU
-
規格:¥440
-
圖片:
-
Western Blot
Positive WB detected in: A549 whole cell lysate, Rat brain tissue, Mouse brain tissue
All lanes: STUB1 antibody at 2μg/ml
Secondary
Goat polyclonal to rabbit IgG at 1/50000 dilution
Predicted band size: 35, 28 kDa
Observed band size: 35, 28 kDa -
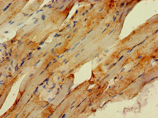
Immunohistochemistry of paraffin-embedded human skeletal muscle tissue using CSB-PA892480LA01HU at dilution of 1:100
-
Immunofluorescent analysis of MCF-7 cells using CSB-PA892480LA01HU at dilution of 1:100 and Alexa Fluor 488-congugated AffiniPure Goat Anti-Rabbit IgG(H+L)
-
-
其他:
產品詳情
-
產品名稱:Rabbit anti-Homo sapiens (Human) STUB1 Polyclonal antibody
-
Uniprot No.:
-
基因名:
-
別名:Antigen NY CO 7 antibody; Antigen NY-CO-7 antibody; C terminus of Hsp70-interacting protein antibody; Carboxy terminus of Hsp70 interacting protein antibody; Carboxy terminus of Hsp70-interacting protein antibody; Carboxy terminus of Hsp70p interacting protein antibody; CHIP antibody; CHIP_HUMAN antibody; CLL associated antigen KW 8 antibody; CLL-associated antigen KW-8 antibody; E3 ubiquitin protein ligase CHIP antibody; E3 ubiquitin-protein ligase CHIP antibody; Heat shock protein A binding protein 2 (c terminal) antibody; HSPABP2 antibody; NY CO 7 antibody; PP1131 antibody; SDCCAG7 antibody; Serologically defined colon cancer antigen 7 antibody; STIP1 homology and U Box containing protein 1 antibody; STIP1 homology and U box containing protein 1 E3 ubiquitin protein ligase antibody; STIP1 homology and U box-containing protein 1 antibody; STUB 1 antibody; STUB1 antibody; UBOX 1 antibody; UBOX1 antibody
-
宿主:Rabbit
-
反應種屬:Human, Mouse, Rat
-
免疫原:Recombinant Human E3 ubiquitin-protein ligase CHIP protein (1-48AA)
-
免疫原種屬:Homo sapiens (Human)
-
標記方式:Non-conjugated
本頁面中的產品,STUB1 Antibody (CSB-PA892480LA01HU),的標記方式是Non-conjugated。對于STUB1 Antibody,我們還提供其他標記。見下表:
-
克隆類型:Polyclonal
-
抗體亞型:IgG
-
純化方式:>95%, Protein G purified
-
濃度:It differs from different batches. Please contact us to confirm it.
-
保存緩沖液:Preservative: 0.03% Proclin 300
Constituents: 50% Glycerol, 0.01M PBS, pH 7.4 -
產品提供形式:Liquid
-
應用范圍:ELISA, WB, IHC, IF
-
推薦稀釋比:
Application Recommended Dilution WB 1:500-1:5000 IHC 1:20-1:200 IF 1:50-1:200 -
Protocols:
-
儲存條件:Upon receipt, store at -20°C or -80°C. Avoid repeated freeze.
-
貨期:Basically, we can dispatch the products out in 1-3 working days after receiving your orders. Delivery time maybe differs from different purchasing way or location, please kindly consult your local distributors for specific delivery time.
-
用途:For Research Use Only. Not for use in diagnostic or therapeutic procedures.
相關產品
靶點詳情
-
功能:E3 ubiquitin-protein ligase which targets misfolded chaperone substrates towards proteasomal degradation. Collaborates with ATXN3 in the degradation of misfolded chaperone substrates: ATXN3 restricting the length of ubiquitin chain attached to STUB1/CHIP substrates and preventing further chain extension. Ubiquitinates NOS1 in concert with Hsp70 and Hsp40. Modulates the activity of several chaperone complexes, including Hsp70, Hsc70 and Hsp90. Mediates transfer of non-canonical short ubiquitin chains to HSPA8 that have no effect on HSPA8 degradation. Mediates polyubiquitination of DNA polymerase beta (POLB) at 'Lys-41', 'Lys-61' and 'Lys-81', thereby playing a role in base-excision repair: catalyzes polyubiquitination by amplifying the HUWE1/ARF-BP1-dependent monoubiquitination and leading to POLB-degradation by the proteasome. Mediates polyubiquitination of CYP3A4. Ubiquitinates EPHA2 and may regulate the receptor stability and activity through proteasomal degradation. Acts as a co-chaperone for HSPA1A and HSPA1B chaperone proteins and promotes ubiquitin-mediated protein degradation. Negatively regulates the suppressive function of regulatory T-cells (Treg) during inflammation by mediating the ubiquitination and degradation of FOXP3 in a HSPA1A/B-dependent manner. Likely mediates polyubiquitination and downregulates plasma membrane expression of PD-L1/CD274, an immune inhibitory ligand critical for immune tolerance to self and antitumor immunity. Negatively regulates TGF-beta signaling by modulating the basal level of SMAD3 via ubiquitin-mediated degradation. May regulate myosin assembly in striated muscles together with UBE4B and VCP/p97 by targeting myosin chaperone UNC45B for proteasomal degradation. Mediates ubiquitination of RIPK3 leading to its subsequent proteasome-dependent degradation.
-
基因功能參考文獻:
- Data suggest that the molecular basis of genetic defects in CHIP that cause SCAR16 is that most mutations observed in patients with SCAR16 result in destabilization of CHIP leading to down-regulation of it's biquitination function. (SCAR16 = spinocerebellar ataxia autosomal recessive type 16) PMID: 29317501
- these findings suggest that CHIP plays a role in negative regulation of PINK1 stability and may suppress PINK1's cytoprotective effect during staurosporine-induced mammalian cell death. PMID: 29242192
- Results identified a new role of CHIP in adipocyte differentiation. CHIP interacts with and mediates the ubiquitylation of PPARgamma , which results in negative effects on adipogenesis. PMID: 28059128
- The overexpression of CHIP significantly increased the migration and invasion of the DU145 cells, which is possible due to activation of the AKT signaling pathway and upregulation of vimentin. The expression level of CHIP was observed to be increased in human prostate cancer tissues compared with the adjacent normal tissue. PMID: 29693147
- Here the authors show that the mammalian ubiquitin ligase C-terminal Hsp70-interacting protein (CHIP), if freed from chaperones during acute stress, can dock on cellular membranes thus performing a proteostasis sensor function. PMID: 29091030
- These results suggest that in the early response to stressful stimuli, MLK4beta-MLK3 binding is important for regulating MLK3 activity and MAPK signalling, and after prolonged periods of stress exposure, MLK4beta and MLK3 proteins decline via CHIP-dependent degradation. PMID: 28757353
- Prostate cancer cells expressing an S273A mutant of CHIP have attenuated AR degradation upon 2-ME treatment compared with cells expressing wild-type CHIP, supporting the idea that CHIP phosphorylation by Aurora A activates its E3 ligase activity for the AR PMID: 28536143
- CHIP role in lung cancer radioresistance.p21 is a bona fide ubiquitylation substrate for CHIP. PMID: 28232384
- PC-1 works in conjunction with E3 ligase CHIP to regulate androgen receptor stability and activity. PMID: 27835608
- Some STUB1 mutations known to cause spinocerebellar ataxia, autosomal recessive 16 have a profound impact on the protein structure, stability, and ability of CHIP to dimerize in vitro. PMID: 28396517
- These findings provide clinical and imaging support for the notion that CHIP is a crucial converging point of manifold neurodegenerative processes, corresponding with its universal biological function in neurodegeneration and reveal the second STUB1 family with ataxia plus hypogonadism. PMID: 28193273
- the CHIP/CLEC-2 axis may play an important role in the modulation of immune response. PMID: 27443248
- The overexpression of CHIP is a potent prognostic factor of a good prognosis in ER-positive breast cancer patients in the postmenopausal phase. PMID: 27334118
- these findings indicate that the stability of the DDIAS protein is regulated by CHIP/HSP70-mediated proteasomal degradation and that CHIP overexpression stimulates the apoptosis of lung cancer cells in response to DNA-damaging agents PMID: 28079882
- Study reveals a mechanism that the Warburg effect is regulated by CHIP through its function as an E3 ligase, which mediates the degradation of PKM2 during tumor progression. PMID: 28346425
- The E3 ubiquitin ligase STUB1 is a negative regulator of both RUNX1 and RUNX1-RUNX1T1. Activation of STUB1 could be a promising therapeutic strategy for RUNX1-RUNX1T1 leukemia. PMID: 28536267
- Low CHIP expression is associated with metastasis of glioblastoma. PMID: 27546621
- Data show that carboxyl-terminus of Hsp70-interacting protein (CHIP) promotes polyubiquitination of transglutaminase 2 (TG2) and its subsequent proteasomal degradation. PMID: 26568304
- Consistent with reduced transcription factor EB (TFEB) activity, accumulation of phosphorylated TFEB in STUB1-deficient cells resulted in reduced autophagy and reduced mitochondrial biogenesis. These studies reveal that the ubiquitin-proteasome pathway participates in regulating autophagy and lysosomal functions by regulating the activity of TFEB. PMID: 28754656
- we report the identification of an unconventional p14ARF degradation pathway induced by the chaperone HSP90 in association with the E3 ubiquitin ligase C-terminus of HSP70-interacting protein (CHIP). PMID: 27793846
- C terminus of Hsc70-interacting protein (CHIP) selectively interacted with epidermal growth factor receptor (EGFR) mutants and simultaneously induced their ubiquitination and proteasomal degradation. PMID: 27475501
- Study reveals an important function of CHIP-mediated proteolysis in insulin and IGF1 signaling; upon proteotoxic stress conditions and during aging, CHIP is recruited toward disposal of misfolded proteins, reducing its capacity to degrade the INSR; identify a degradation pathway that controls the level of active DAF-2/INSR in C. elegans, Drosophila and human cells. PMID: 28431247
- Overexpression of CHIP decreased intracellular protein levels of both G2385R mutant and wild-type LRRK2, while short interfering RNA CHIP knockdown had the opposite effect PMID: 28320779
- CHIP directly regulates the stability of CD166 protein through the ubiquitin proteasome system. PMID: 28279658
- Data show that BAG2 Inhibits CHIP-Mediated HSP72 ubiquitination in aged cells. PMID: 28042827
- Data show that transcription factor regulatory factor X 1 (RFX1) protein expression can be tightly regulated by polyubiquitination-mediated proteosomal degradation via STIP1 homology and U-box containing protein 1 (STUB1). PMID: 27283392
- CHIP may serve as a promising prognostic biomarker for non-small cell lung cancer (NSCLC] patients and it may be involved in NSCLC angiogenesis through regulating VEGF secretion and expression of VEGFR2. PMID: 27392029
- Cdk5-mediated phosphorylation of CHIP negatively regulates its neuroprotective function, thereby contributing to neuronal cell death progression following neurotoxic stimuli. PMID: 26206088
- CHIP is a bona fide negative regulator of the RIPK1-RIPK3 necrosome formation leading to desensitization of TNF-mediated necroptosis PMID: 26900751
- Protein-protein interactions modulate the docking-dependent E3-ubiquitin ligase activity of CHIP. PMID: 26330542
- CHIP is required for protein quality control (PQC) and CHIP knockdown diminished cellular PQC capacity in lens cells. PMID: 26321754
- Data show that the E3 ubiquitin ligase CHIP interacts with protein arginine methyltransferase-5 (PRMT5) both in vivo and in vitro. PMID: 26658161
- These results indicate that CHIP decreases the Kv1.5 protein level and functional channel by facilitating its degradation in concert with chaperone Hsc70 PMID: 26232501
- Data suggest that CHIP plays roles in the regulation of autophagic flux. PMID: 26219223
- detailed and systematic investigation to characterize if there are significant differences in the CHIP in vitro ubiquitination of human Hsp70 and Hsc70. PMID: 26010904
- CHIP stabilizes amyloid precursor protein via proteasomal degradation and p53-mediated trans-repression of BACE1. PMID: 25773675
- Our findings demonstrate for the first time that CHIP may be involved in RCC angiogenesis through regulating VEGF secretion and expression of VEGFR2. PMID: 26021863
- High expression of CHIP is associated with HBV-related Hepatocellular Carcinoma. PMID: 25987026
- results indicate that the post-endocytic ubiquitination of CFTR by CHIP is a critical step in the peripheral quality control of cell surface DeltaF508 CFTR PMID: 25879443
- these observations provide functional evidence for CHIP behaviors as a tumor suppressor in gastric cancer. PMID: 25672477
- CHIP docks onto Hsp70/Hsc70 and defines a bipartite mode of interaction between TPR domains and their binding partners. PMID: 25684577
- CHIP masks genetic variations to suppress heterogeneous Bcl-2 expression levels and prevents augmentation of the anticancer drug-resistant population of breast cancer cells. PMID: 25435366
- miR-1178 acts as an oncomiR in pancreatic cancer cells by inhibiting CHIP expression. PMID: 25635996
- CHIP/TRAF3/NIK interactions recruit NIK to E3 ligase complexes for ubiquitination and degradation, thus maintaining NIK at low levels PMID: 25792747
- Whether the clinical heterogeneity seen in STUB1 ARCA can be related to the location of the mutations remains to be understood PMID: 25258038
- These observations indicate that CHIP serves as a novel tumor suppressor by downregulating EGFR pathway in pancreatic cancer cells, decreased expression of CHIP was associated with poor prognosis in pancreatic cancer. PMID: 24722501
- CHIP-mediated ubiquitination of IRE1 contributes to the dynamic regulation of the unfolded protein response. PMID: 25225294
- From our results, we propose that inhibition of CSC properties may be one of the functions of CHIP as a suppressor of cancer progression. PMID: 25234599
- CHIP interacted with eIF5A and mediated its ubiquitination for degradation. PMID: 24509416
- Ebp1 p42 isoform regulates the proteasomal degradation of the p85 regulatory subunit of PI3K by recruiting a chaperone-E3 ligase complex HSP70/CHIP. PMID: 24651434
顯示更多
收起更多
-
相關疾病:Spinocerebellar ataxia, autosomal recessive, 16 (SCAR16)
-
亞細胞定位:Cytoplasm. Nucleus.
-
組織特異性:Expressed in differentiated myotubes (at protein level). Highly expressed in skeletal muscle, heart, pancreas, brain and placenta. Detected in kidney, liver and lung.
-
數據庫鏈接:
Most popular with customers
-
-
Phospho-YAP1 (S127) Recombinant Monoclonal Antibody
Applications: ELISA, WB, IHC
Species Reactivity: Human
-
-
-
-
-
-















