SSTR3 Antibody
-
中文名稱:SSTR3兔多克隆抗體
-
貨號:CSB-PA130335
-
規格:¥1100
-
圖片:
-
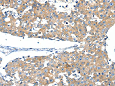
The image on the left is immunohistochemistry of paraffin-embedded Human breast cancer tissue using CSB-PA130335(SSTR3 Antibody) at dilution 1/40, on the right is treated with synthetic peptide. (Original magnification: ×200)
-
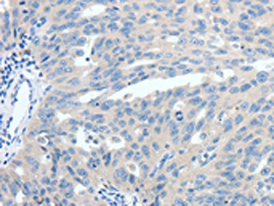
The image on the left is immunohistochemistry of paraffin-embedded Human ovarian cancer tissue using CSB-PA130335(SSTR3 Antibody) at dilution 1/40, on the right is treated with synthetic peptide. (Original magnification: ×200)
-
-
其他:
產品詳情
-
Uniprot No.:
-
基因名:SSTR3
-
別名:SSTR3; Somatostatin receptor type 3; SS-3-R; SS3-R; SS3R; SSR-28
-
宿主:Rabbit
-
反應種屬:Human
-
免疫原:Synthetic peptide of Human SSTR3
-
免疫原種屬:Homo sapiens (Human)
-
標記方式:Non-conjugated
-
抗體亞型:IgG
-
純化方式:Antigen affinity purification
-
濃度:It differs from different batches. Please contact us to confirm it.
-
保存緩沖液:-20°C, pH7.4 PBS, 0.05% NaN3, 40% Glycerol
-
產品提供形式:Liquid
-
應用范圍:ELISA,IHC
-
推薦稀釋比:
Application Recommended Dilution ELISA 1:1000-1:5000 IHC 1:25-1:100 -
Protocols:
-
儲存條件:Upon receipt, store at -20°C or -80°C. Avoid repeated freeze.
-
貨期:Basically, we can dispatch the products out in 1-3 working days after receiving your orders. Delivery time maybe differs from different purchasing way or location, please kindly consult your local distributors for specific delivery time.
-
用途:For Research Use Only. Not for use in diagnostic or therapeutic procedures.
相關產品
靶點詳情
-
功能:Receptor for somatostatin-14 and -28. This receptor is coupled via pertussis toxin sensitive G proteins to inhibition of adenylyl cyclase.
-
基因功能參考文獻:
- the C-terminal phosphorylation motif of the human sst3 receptor that regulates its agonist-promoted phosphorylation, beta-arrestin recruitment, and internalization of this clinically relevant receptor, is reported. PMID: 27101376
- findings provide new insights in understanding the antiproliferative role of SSTR3 in breast tumor biology. PMID: 26112183
- In conclusions, in CNFAs, high expression of somatostatin receptors is much less common than that of D2R PMID: 25536318
- constitutive SSTR3 activity mediates transcriptional repression of GH. PMID: 24606125
- High SSTR3 expression is associated with gallbladder cancer. PMID: 23991955
- Determination of the expression of SSTR3 in an attempt to establish correlations and/or associations with clinical characteristics of patients with nonfunctioning pituitary adenomas. PMID: 22419713
- mRNA levels of SSTR2a, SSTR3 and SSTR5 in neuroendocrine lung cancer affected patients, were determined PMID: 21503779
- The cigarettes smoking and H. pylori infection are independent factors leading to decreasing of the SSTR3 mRNA level in gastric mucosa of patients with functional dyspepsia. PMID: 20570798
- There was a positive correlation between the percentage of tumor reduction by octreotide-lar and SSTR3 expression. PMID: 19330452
- expression of somatostatin (SS) and SS receptor (SSR) subtype 1 (sst1), sst2A, and sst3 in normal human thymic tissue PMID: 12376335
- localization and expression in human prostatic tissue and prostate cancer cell lines. PMID: 12474541
- Reduced SSTR3 expression is associated with gastric cancers PMID: 15197339
- Density of the SSTR3 receptor is decreased in gastric adenocarcinoma. H. pylori infection related reduction of the SSTR3 density in the antrum mucosa speaks for the need of eradication of these bacteria in the prevention of distal gastric cancer. PMID: 17679363
- Determine the influence of H. pylori infection and a family history of gastric cancer on the expression of SSTR3 in the gastric mucosa of non-cancer patients with dyspepsia. PMID: 17683502
- There was very little expression of SSTR3 in benign, premalignant, and cancerous laryngeal specimens; thus SSTR3 does not have an important role in laryngeal patholgy. PMID: 18066572
- Immunohistochemistry stufy of SSTR3 in prostate tissue from patients with bladder outlet obstruction showed that greatest proportion of basal cells showed a moderate intensity, strong immunoreactivity being observed only in 15.8% of cells. PMID: 18936524
- An interaction between the human somatostatin receptor 3 and the multiple PDZ protein MUPP1 was identified. PMID: 19071123
顯示更多
收起更多
-
亞細胞定位:Cell membrane; Multi-pass membrane protein.
-
蛋白家族:G-protein coupled receptor 1 family
-
組織特異性:Brain, pituitary and pancreas.
-
數據庫鏈接:
Most popular with customers
-
-
Phospho-YAP1 (S127) Recombinant Monoclonal Antibody
Applications: ELISA, WB, IHC
Species Reactivity: Human
-
-
-
-
-
-















