SOS1 Antibody
-
中文名稱:SOS1兔多克隆抗體
-
貨號:CSB-PA726788LA01HU
-
規格:¥440
-
圖片:
-
Western Blot
Positive WB detected in: Rat brain tissue
All lanes: SOS1 antibody at 4.6μg/ml
Secondary
Goat polyclonal to rabbit IgG at 1/50000 dilution
Predicted band size: 153, 37 kDa
Observed band size: 153 kDa -
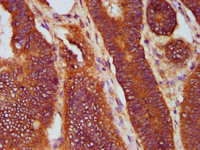
IHC image of CSB-PA726788LA01HU diluted at 1:400 and staining in paraffin-embedded human colon cancer performed on a Leica BondTM system. After dewaxing and hydration, antigen retrieval was mediated by high pressure in a citrate buffer (pH 6.0). Section was blocked with 10% normal goat serum 30min at RT. Then primary antibody (1% BSA) was incubated at 4°C overnight. The primary is detected by a biotinylated secondary antibody and visualized using an HRP conjugated SP system.
-
IHC image of CSB-PA726788LA01HU diluted at 1:400 and staining in paraffin-embedded human placenta tissue performed on a Leica BondTM system. After dewaxing and hydration, antigen retrieval was mediated by high pressure in a citrate buffer (pH 6.0). Section was blocked with 10% normal goat serum 30min at RT. Then primary antibody (1% BSA) was incubated at 4°C overnight. The primary is detected by a biotinylated secondary antibody and visualized using an HRP conjugated SP system.
-
Immunofluorescence staining of Hela cells with CSB-PA726788LA01HU at 1:133, counter-stained with DAPI. The cells were fixed in 4% formaldehyde, permeabilized using 0.2% Triton X-100 and blocked in 10% normal Goat Serum. The cells were then incubated with the antibody overnight at 4°C. The secondary antibody was Alexa Fluor 488-congugated AffiniPure Goat Anti-Rabbit IgG(H+L).
-
-
其他:
產品詳情
-
產品名稱:Rabbit anti-Homo sapiens (Human) SOS1 Polyclonal antibody
-
Uniprot No.:
-
基因名:
-
別名:alternate SOS1 antibody; GF1 antibody; GGF1 antibody; GINGF antibody; gingival fibromatosis antibody; gingival fibromatosis hereditary 1 antibody; Guanine nucleotide exchange factor antibody; HGF antibody; NS4 antibody; Son of sevenless homolog 1 (Drosophila) antibody; Son of sevenless homolog 1 antibody; SOS Ras/Rac guanine nucleotide exchange factor 1 antibody; SOS-1 antibody; Sos1 antibody; SOS1_HUMAN antibody
-
宿主:Rabbit
-
反應種屬:Human, Rat
-
免疫原:Recombinant Human Son of sevenless homolog 1 protein (1140-1281AA)
-
免疫原種屬:Homo sapiens (Human)
-
標記方式:Non-conjugated
本頁面中的產品,SOS1 Antibody (CSB-PA726788LA01HU),的標記方式是Non-conjugated。對于SOS1 Antibody,我們還提供其他標記。見下表:
-
克隆類型:Polyclonal
-
抗體亞型:IgG
-
純化方式:>95%, Protein G purified
-
濃度:It differs from different batches. Please contact us to confirm it.
-
保存緩沖液:Preservative: 0.03% Proclin 300
Constituents: 50% Glycerol, 0.01M PBS, pH 7.4 -
產品提供形式:Liquid
-
應用范圍:ELISA, WB, IHC, IF
-
推薦稀釋比:
Application Recommended Dilution WB 1:500-1:5000 IHC 1:200-1:500 IF 1:50-1:200 -
Protocols:
-
儲存條件:Upon receipt, store at -20°C or -80°C. Avoid repeated freeze.
-
貨期:Basically, we can dispatch the products out in 1-3 working days after receiving your orders. Delivery time maybe differs from different purchasing way or location, please kindly consult your local distributors for specific delivery time.
-
用途:For Research Use Only. Not for use in diagnostic or therapeutic procedures.
相關產品
靶點詳情
-
功能:Promotes the exchange of Ras-bound GDP by GTP. Probably by promoting Ras activation, regulates phosphorylation of MAP kinase MAPK3 in response to EGF. Catalytic component of a trimeric complex that participates in transduction of signals from Ras to Rac by promoting the Rac-specific guanine nucleotide exchange factor (GEF) activity.
-
基因功能參考文獻:
- a distinct role of the C-terminal proline-rich (PR) domain of the full-length son of sevenless homolog 1 (SOS1) protein. PMID: 28452363
- SOS1 was statistically significantly associated with gestational diabetes mellitus risk after adjusting for multiple comparisons PMID: 29233017
- Findings identified p.Ser548Arg missense mutation in Son of Sevenless Homolog 1 (SOS1) in the boy, confirmed in his mother. PMID: 28456002
- We report on a novel pathogenic mutation in the SOS1 gene and a large clinical spectrum in a Noonan syndrome family with ten genetically confirmed affected individuals. PMID: 28884940
- Data indicate dynamic of H-Ras functional cycle as controlled by son of sevenless homolog 1 (Sos). PMID: 27412770
- In summary, patients from two families with history of non-syndromic autosomal-dominant HGF from Malopolska and Mazovia provinces in Poland had not been affected by HGF type 1, caused by a single-cytosine insertion in exon 21 of the SOS-1 gene. PMID: 28425619
- Mutation scanning of the entire coding sequence of SOS1 gene identified seven intronic variants and one new exonic substitution (c.138G > A). The seven common intronic variants were not considered to be of pathogenic importance. The exonic substitution c.138G > A was found to be absent in 100 ethnically matched normal control chromosomes, not expected to have functional significance based on prediction bioinformatics tool PMID: 28433619
- Grb2-independent interactions are sufficient to retain human SOS on the membrane for many minutes, during which a single SOS molecule could processively activate thousands of Ras molecules. PMID: 27501536
- a computational methodology that overlays any variant database onto the somatic mutations in all cancer exomes identified activating SOS1 mutations associated with Noonan syndrome as significantly altered in melanoma PMID: 27304678
- Data show that a heterozygous son of sevenless homolog 1 (SOS1) gene frameshift mutation (c.3266dup or c.3248dup) was identified in each patient. PMID: 26708403
- Ras.GDP weakly binds to the catalytic but not to the allosteric site of Sos. PMID: 26565026
- The present study provides a first evidence of allelic imbalance of SOS1 and pinpoints this condition as a possible mechanism underlying a different penetrance of some SOS1-mutated alleles in unrelated carriers PMID: 25712082
- In non-apoptotic cells, nuclear EGFR induced SOS1 expression by directly binding to the SOS1 promoter. PMID: 25980493
- rs963731 is associated with corticobasal degeneration. PMID: 26077951
- findings suggest that targeting the Src/Abl/Sos1/Rac pathway may represent a double-edged sword to control both cancer-invasive capacities and cancer-related inflammation. PMID: 26447228
- These data demonstrated the negative regulation between miR-146a and SOS1 and between miR-370 and GADD45beta and that these regulations are influenced by enterovirus 71 to induce apoptosis. PMID: 25469565
- Combined rational design and a high throughput screening platform for identifying chemical inhibitors of a Ras-activating enzyme. PMID: 25825487
- SOS1 and Ras regulate epithelial tight junction formation in the human airway through EMP1. PMID: 25394671
- HGF-related mutation g.126,142-126,143insC in exon 21 was not found in any of the 6 affected individuals from three families. PMID: 25062969
- Stabilized alpha helices of son of sevenless 1 directly inhibit wild-type and mutant forms of KRAS. PMID: 25624485
- CIIA functions as a negative modulator of the SOS1-Ras signaling events initiated by peptide growth factors including EGF. PMID: 24522193
- Increased expression of SOS1 increases NFkappaB activation in several types of cancer cells, and ablation of SOS1 inhibits EGF-induced NFkappaB activation in these cells, indicating that SOS1 is a component of the pathway connecting EGFR to NFkappaB activation. PMID: 25071181
- sustained Erk signaling and T-cell activation depend on both Sos1 and RasGRP1. PMID: 24497027
- MiR-124 inhibits the growth of glioblastoma through the downregulation of SOS1. PMID: 23817964
- Although Sos1 and Gab1 recognize two non-overlapping sites within the Grb2 adaptor, allostery promotes the formation of two distinct pools of Grb2-Sos1 and Grb2-Gab1 binary signaling complexes in lieu of a composite Sos1-Grb2-Gab1 ternary complex. PMID: 23334917
- The SOS1 T158A mutation altered the phosphorylation of gene products involved in both RAS/MAPK and PI3K/AKT pathways. PMID: 23528009
- The PR domain displays a highly dynamic conformational basin in agreement with the knowledge that the intrinsically unstructured proteins rapidly interconvert between an ensemble of conformations. PMID: 23528987
- study established that the presence of SOS1, but not its enzymatic activity, is critical for p38 activation PMID: 23589333
- Oncogenic K-Ras promotes the activation of wild-type H- and N-Ras and this activation is mediated by oncogenic K-Ras-dependent allosteric stimulation of Sos. PMID: 23132018
- T-cell antigen receptor (TCR)-mediated Erk activation requires RasGRP1, but not Grb2/Sos. PMID: 22344067
- Modeling and simulation of aggregation of membrane protein LAT with molecular variability in the number of binding sites for cytosolic Grb2-SOS1-Grb2 PMID: 22396725
- We present a stochastic mathematical model describing intra-molecular regulation of hSos1 activity. PMID: 21851854
- multiple binding sites within Sos1 provide a physical route for Grb2 to hop in a flip-flop manner from one site to the next through facilitated diffusion, and such rapid exchange forms the basis of cooperativity driving bivalent binding of Grb2 to Sos1 PMID: 22360309
- SOS1 over-expression may play a role in the regulation of the RAS/mitogen-activated protein kinase pathway in the skin, in the hair follicle proliferation and cell cycle, suggesting new perspectives in understanding the pathogenesis of hirsutism. PMID: 22217993
- CIIA functions as a molecular switch for the GEF activity of SOS1, directing this activity toward Rac1. PMID: 22042618
- The researchers found evidence that there were significant differences between the D2S441 locus in the Maghreb population and other populations. PMID: 21674833
- this report expanded the available information about the molecular diversity of SOS1 mutations underlying Noonan syndrome, and have provided a more comprehensive assessment of the clinical features associated with those molecular lesions. PMID: 21387466
- Comparison of RasGEF expression at different developmental stages showed that relative to Sos2 and RasGRP1, Sos1 is most abundant in DN thymocytes, but least abundant in DP thymocytes. PMID: 21746917
- two unrelated patients with Noonan syndrome carrying the same heterozygous SOS1 missense mutation (c.1867T > A/p.F623I) PMID: 20673819
- A case mimicking CS with SOS1 T158A substitution, which has not been reported previously in CS, revealed the complex relationship between the genotype and phenotype of overlapping syndromes of the RAS/RAF/MEK/ERK pathway. PMID: 20030748
- This study investigated the regulation of the previously uncharacterized SOS1 gene promoter by the aryl hydrocarbon receptor and its ligands in HepG2 cells. PMID: 20950586
- mutation analysis performed on RAF1, SOS1, and GRB2, in 24 Noonan syndrome patients previously found to be negative for PTPN11 and KRAS mutations; SOS1 may have a role of modifier gene that might contribute the variable expressivity of the disease PMID: 20683980
- Noonan syndrome is due to a SOS1 missense mutation and rhabdomyosarcoma. PMID: 20607846
- Multiple decisive phosphorylation sites for the negative feedback regulation of SOS1 via ERK. PMID: 20724475
- Noonan-like/multiple giant cell lesion syndrome with mutations in the SOS1 gene PMID: 20305546
- Based on our results, it is possible that a subtle dysfunction (expression) of the SOS1 gene is involved in the development of the most common male reproductive tract disorder - unilateral or bilateral cryptorchidism PMID: 20389169
- a new crystal structure of SOS at 3.2 A resolution was presented that contains the histone domain and the DH-PH unit in addition to the catalytic segment (SOSHDPC, residues 1-1049). PMID: 20133692
- Sos-histone domain plays a critical role in governing the catalytic output of Sos through the coupling of membrane recruitment to the release of autoinhibition. PMID: 20133694
- First report describing different tumor types in Noonan syndrome with germline SOS1 mutations. PMID: 19953625
- The binding of Grb2 adaptor to its downstream partners Sos1 and Gab1 docker is under tight allosteric regulation. PMID: 20005866
顯示更多
收起更多
-
相關疾病:Fibromatosis, gingival, 1 (GINGF1); Noonan syndrome 4 (NS4)
-
組織特異性:Expressed in gingival tissues.
-
數據庫鏈接:
Most popular with customers
-
-
Phospho-YAP1 (S127) Recombinant Monoclonal Antibody
Applications: ELISA, WB, IHC
Species Reactivity: Human
-
-
-
-
-
-















