SMAD9 Antibody
-
中文名稱:SMAD9兔多克隆抗體
-
貨號:CSB-PA948873
-
規格:¥1100
-
圖片:
-
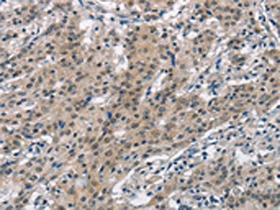
The image on the left is immunohistochemistry of paraffin-embedded Human thyroid cancer tissue using CSB-PA948873(SMAD9 Antibody) at dilution 1/30, on the right is treated with synthetic peptide. (Original magnification: ×200)
-
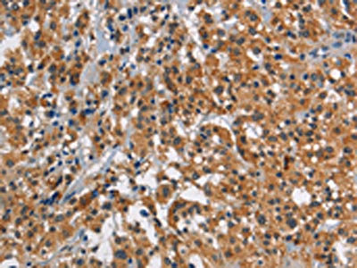
The image on the left is immunohistochemistry of paraffin-embedded Human gastric cancer tissue using CSB-PA948873(SMAD9 Antibody) at dilution 1/30, on the right is treated with synthetic peptide. (Original magnification: ×200)
-
Gel: 8%SDS-PAGE, Lysate: 40 μg, Lane: Mouse heart tissue, Primary antibody: CSB-PA948873(SMAD9 Antibody) at dilution 1/290, Secondary antibody: Goat anti rabbit IgG at 1/8000 dilution, Exposure time: 3 minutes
-
-
其他:
產品詳情
-
Uniprot No.:
-
基因名:
-
別名:MAD homolog 9 antibody; Madh6 antibody; Mothers against decapentaplegic antibody; Mothers against decapentaplegic homolog 9 antibody; Mothers against DPP homolog 9 antibody; SMAD 9 antibody; SMAD family member 9 antibody; SMAD, mothers against DPP homolog 9 (Drosophila) antibody; SMAD8A antibody; SMAD8B antibody; Smad9 antibody; SMAD9_HUMAN antibody
-
宿主:Rabbit
-
反應種屬:Human,Mouse
-
免疫原:Synthetic peptide of Human SMAD9
-
免疫原種屬:Homo sapiens (Human)
-
標記方式:Non-conjugated
-
抗體亞型:IgG
-
純化方式:Antigen affinity purification
-
濃度:It differs from different batches. Please contact us to confirm it.
-
保存緩沖液:-20°C, pH7.4 PBS, 0.05% NaN3, 40% Glycerol
-
產品提供形式:Liquid
-
應用范圍:ELISA,WB,IHC
-
推薦稀釋比:
Application Recommended Dilution ELISA 1:1000-1:2000 WB 1:200-1:1000 IHC 1:25-1:100 -
Protocols:
-
儲存條件:Upon receipt, store at -20°C or -80°C. Avoid repeated freeze.
-
貨期:Basically, we can dispatch the products out in 1-3 working days after receiving your orders. Delivery time maybe differs from different purchasing way or location, please kindly consult your local distributors for specific delivery time.
-
用途:For Research Use Only. Not for use in diagnostic or therapeutic procedures.
相關產品
靶點詳情
-
功能:Transcriptional modulator activated by BMP (bone morphogenetic proteins) type 1 receptor kinase. SMAD9 is a receptor-regulated SMAD (R-SMAD).
-
基因功能參考文獻:
- Our results exclude a significant role for the SMAD9v90m mutation in juvenile polyposis syndrome PMID: 28424237
- Mutations in SMAD9 gene encoding for transforming growth factor (TGF)-[beta] superfamily have been identified in Pulmonary Arterial Hypertension. PMID: 28582316
- Phosphorylated Smad1/5/8/9 specifically bound to the BREs of Smad8/9 gene. The present study reveals that Smad8/9 is a unique R-Smad regulated through the BMP pathway at the mRNA level. PMID: 26748560
- Case Report: hamartomatous olyposis and gastrointestinal ganglioneuromas with SMAD9 germline mutation that reduces PTEN expression. PMID: 26122142
- ATP production by NaF promotes hypertrophy-like changes via activation of phospho-Smad8 PMID: 23384547
- CREBZF, a novel Smad8-binding protein. PMID: 22707059
- Study described the first mutation in SMAD8 in a patient with IPAH, and suggested the involvement of SMAD8 in the pathogenesis of PAH. PMID: 19211612
顯示更多
收起更多
-
相關疾病:Pulmonary hypertension, primary, 2 (PPH2)
-
亞細胞定位:Cytoplasm. Nucleus.
-
蛋白家族:Dwarfin/SMAD family
-
組織特異性:Expressed in heart, brain, placenta, lung, skeletal muscle, prostate, testis, ovary and small intestine. Also expressed in fetal brain, lung and kidney.
-
數據庫鏈接:
Most popular with customers
-
-
Phospho-YAP1 (S127) Recombinant Monoclonal Antibody
Applications: ELISA, WB, IHC
Species Reactivity: Human
-
-
-
-
-
-















