SLC7A11 Antibody
-
中文名稱:SLC7A11兔多克隆抗體
-
貨號:CSB-PA145393
-
規格:¥1100
-
圖片:
-
The image on the left is immunohistochemistry of paraffin-embedded Human brain tissue using CSB-PA145393(SLC7A11 Antibody) at dilution 1/35, on the right is treated with synthetic peptide. (Original magnification: ×200)
-
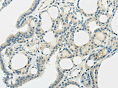
The image on the left is immunohistochemistry of paraffin-embedded Human thyroid cancer tissue using CSB-PA145393(SLC7A11 Antibody) at dilution 1/35, on the right is treated with synthetic peptide. (Original magnification: ×200)
-
Gel: 8%SDS-PAGE, Lysate: 40 μg, Lane 1-2: K562 and hepg2 cell, Primary antibody: CSB-PA145393(SLC7A11 Antibody) at dilution 1/300 dilution, Secondary antibody: Goat anti rabbit IgG at 1/8000 dilution, Exposure time: 30 seconds
-
-
其他:
產品詳情
-
Uniprot No.:
-
基因名:
-
別名:SLC7A11; Cystine/glutamate transporter; Amino acid transport system xc-; Calcium channel blocker resistance protein CCBR1; Solute carrier family 7 member 11; xCT
-
宿主:Rabbit
-
反應種屬:Human,Mouse
-
免疫原:Synthetic peptide of Human SLC7A11
-
免疫原種屬:Homo sapiens (Human)
-
標記方式:Non-conjugated
-
抗體亞型:IgG
-
純化方式:Antigen affinity purification
-
濃度:It differs from different batches. Please contact us to confirm it.
-
保存緩沖液:-20°C, pH7.4 PBS, 0.05% NaN3, 40% Glycerol
-
產品提供形式:Liquid
-
應用范圍:ELISA,WB,IHC
-
推薦稀釋比:
Application Recommended Dilution ELISA 1:2000-1:5000 WB 1:500-1:2000 IHC 1:20-1:100 -
Protocols:
-
儲存條件:Upon receipt, store at -20°C or -80°C. Avoid repeated freeze.
-
貨期:Basically, we can dispatch the products out in 1-3 working days after receiving your orders. Delivery time maybe differs from different purchasing way or location, please kindly consult your local distributors for specific delivery time.
-
用途:For Research Use Only. Not for use in diagnostic or therapeutic procedures.
相關產品
靶點詳情
-
功能:Sodium-independent, high-affinity exchange of anionic amino acids with high specificity for anionic form of cystine and glutamate.
-
基因功能參考文獻:
- the over-expression of SLC7A11, or supplementation with sufficiently cystine, or treatment with N-acetylcysteine significantly decreased P-gp expression and activity. It was suggested that ROS and SLC7A11/cystine were the two relevant factors responsible for the expression and function of P-gp, and that SLC7A11 might be a potential target modulating ADR resistance. PMID: 28630426
- In some breast cancer cells, xCT antiporter expression is upregulated through the antioxidant transcription factor Nrf2 and contributes to their requirement for glucose as a carbon source. PMID: 28429737
- accumulated mutant-p53 protein suppresses the expression of SLC7A11, a component of the cystine/glutamate antiporter, system xC(-), through binding to the master antioxidant transcription factor NRF2. PMID: 28348409
- System xC(-)-mediated TrkA activation therefore presents a promising target for therapeutic intervention in cancer pain treatment. PMID: 29761734
- High expression of cystine-glutamate antiporter SLC7A11 is associated with advanced pathological stages of liver carcinoma. SLC7A11 overexpression is a novel biomarker and a potential unfavorable prognostic factor as well as a potential therapeutic target for liver carcinoma. PMID: 29528250
- the level of antisense SLC7A11 was markedly reduced in epithelial ovarian cancer tissues and cell lines compared with those of normal control; reduction of antisense SLC7A11 level prompted ovarian cancer cell migration mainly by suppressing the expression of SLC7A11 PMID: 29441937
- CD44v9 in tumor specimens has potential as a novel indicator for identifying a cisplatin-chemoresistant population among urothelial cancer patients. CD44v8-10 contributes to reactive oxygen species defenses, which are involved in chemoresistance, by promoting the function of xCT, which adjusts the synthesis of glutathione. PMID: 29385995
- Oncogenic PIK3CA alters methionine and cysteine utilization, partly by inhibiting xCT to contribute to the methionine dependency phenotype in human breast cancer cells. PMID: 29259101
- these observations suggest that SLC7A11 may be a vital biomarker for the diagnosis and prognosis in human laryngeal squamous cell carcinoma (LSCC) and targeting SLC7A11 appears to be a potentially significant method for LSCC treatment. PMID: 29048627
- Aberrant neuronal or neuroendocrine system may be involved in the suppressed reproductive performance in xCT deficient male mice. PMID: 28974116
- overexpression of SLC7A11 in the context of glioblastoma multiforme may contribute to tumor progression. PMID: 28610554
- miR-375 served as a tumor suppressor via regulating SLC7A11. PMID: 28627030
- As targets of oncogenes with intrinsic tyrosine kinase activity, STAT3 and STAT5 become constitutively active in hematologic neoplasms and solid tumors, promoting cell proliferation and survival and modulating redox homeostasis via regulation xCT expression. (Review) PMID: 28202313
- Authors found that the xCT expression was increased in peripheral blood monocyte of active tuberculosis. xCT expression in macrophage was induced by Mycobacterium tuberculosis (Mtb) through TLR2/Akt- and p38-dependent signaling pathway. PMID: 27129162
- Genetic and pharmacological inhibition of xCT potentiated the cytotoxic effects of aspirin plus sorafenib; this effect was diminished by xCT overexpression. Low-dose aspirin plus sorafenib enhanced the cytotoxicity of cisplatin in resistant HNC cells through xCT inhibition and oxidant and DNA damage. PMID: 28057599
- MUC1-C binds directly with CD44v and in turn promotes stability of xCT in the cell membrane PMID: 26930718
- simultaneous mutations at all four acetylation sites completely abolish its ability to regulate metabolic targets, such as TIGAR and SLC7A11. Moreover, p53(4KR) is still capable of inducing the p53-Mdm2 feedback loop, but p53-dependent ferroptotic responses are markedly abrogated PMID: 27705786
- ARF inhibits tumor growth by suppressing the ability of NRF2 to transcriptionally activate its target genes, including SLC7A11, a component of the cystine/glutamate antiporter that regulates reactive oxygen species (ROS)-induced ferroptosis. PMID: 28985506
- Mechanistically, CD44v interacts with and stabilizes xCT and thereby promotes the uptake of cysteine for glutathione synthesis and stimulates side-population cell enrichment. PMID: 27279909
- ATF4 expression fosters the malignancy of primary brain tumors and increases proliferation and tumor angiogenesis; experiments revealed that ATF4-dependent tumor promoting effects are mediated by transcriptional targeting the glutamate antiporter xCT PMID: 28553953
- Identify mTORC2 as a critical regulator of amino acid metabolism in cancer via phosphorylation of the cystine-glutamate antiporter xCT. mTORC2 phosphorylates serine 26 at the cytosolic N terminus of xCT, inhibiting its activity. PMID: 28648777
- Data suggest that glucose starvation of various neoplasm cell lines induces SLC7A11 expression; SLC7A11 overexpression decreases intracellular glutamate, an alternative source of metabolic energy; provision of alpha-ketoglutarate, a key downstream metabolite of glutamate, restores survival in SLC7A11-overexpressing neoplasm cell lines under glucose starvation. PMID: 28630042
- Results suggest that expression of SLC7A11 in the context of glioma contributes to tumorigenesis, tumor progression, and resistance to standard chemotherapy. PMID: 27658422
- High SLC7A11 expression is associated with glioma. PMID: 26980765
- The most frequent SLC7A7 mutation in Japanese LPI patients is p.R410*, which is a founder effect mutation in northern Japan. PMID: 26865117
- While the transsulfuration pathway plays a primary role in supplying Cys to the redox system in the liver, xCT is induced in cases of emergencies, by compensating for Cys supply systems. PMID: 28081640
- Although LCN2 increased intracellular iron concentrations, LCN2-induced GSH may catalyze and override oxidative stress via CD44 and xCT, and subsequently enhance the survival of clear cell carcinoma tumor cells in oxidative stress-rich environment. PMID: 26729415
- Study demonstrated that the mRNA expression levels of the two system xc- subunits, SLC7A11 and SLC3A2, in peripheral white blood cells are lowered in patients with schizophrenia than healthy individuals PMID: 26540405
- the rate of cystine uptake was significantly faster than the rate of glutamate release in human glioma cells. PMID: 26252954
- increased SLC7A11 expression predicted shorter malignant glioma patient survival. PMID: 26019222
- We discovered that many genes involved in oxidative stress/antioxidant defense system, apoptosis/anti-apoptosis/cell death, and cellular response to unfolded proteins/topologically incorrect proteins are potentially regulated by xCT. PMID: 25860939
- Data indicate that cystine-glutamate exchange transporter protein SLC7A11 mRNA is regulated by cellular stress and nonsense-mediated RNA decay (NMD). PMID: 25399695
- Sulfasalazine, a relatively non-toxic drug that targets cystine transporter, may, in combination with CDDP, be an effective therapy for colorectal cancer. PMID: 26254540
- These observations suggest that the expression of xCT in esophageal squamous cell carcinoma (ESCC) cells might affect the G1/S checkpoint and impact on the prognosis of ESCC patients PMID: 23771433
- Our findings indicate that miRNA-27a negatively regulates SLC7A11 in cisplatin-resistant bladder cancer, and shows promise as a marker for patients likely to benefit from cisplatin-based chemotherapy PMID: 24516043
- Results show that Nrf2 and ATF4 were upregulated by proteasome inhibition and cooperatively enhance human xCT gene expression upon proteasome inhibition. PMID: 25002527
- IGF-I regulates cystine uptake and cellular redox status by activating the expression and function of xCT in estrogen receptor-positive (ER(+)) breast cancer cells by a mechanism that relies on the IGF receptor substrate-1 (IRS-1). PMID: 24686172
- the xCT antiporter, which is expressed on one-third of triple-negative breast tumors in this study, may have a role in glutamine updake and dependence PMID: 24094812
- These findings suggest that xCT is an independent predictive factor in glioblastomas PMID: 23096413
- The pathways modify system activity beyond the level of xCT transcription, including regulation on the level of membrane trafficking and substrate availability, especially the regulation by glutamate transport through excitatory amino acid transporters. PMID: 21369940
- Both IGF-1 and TGF-beta stimulated system xc-mediated cystine uptake in dental pulp cells. PMID: 21689549
- Results reveal that increased expression of the cystine/glutamate antiporter system xCT in multiple sclerosis provides a link between inflammation and excitotoxicity in demyelinating diseases. PMID: 21639880
- SLC7A11 is a functional target gene of the BACH1 transcription factor according to ChIP-seq and knockdown analysis in HEK 293 cells. PMID: 21555518
- Data show that SLC7A11 is the direct target of miR-26b and its expression is remarkably increased in both breast cancer cell lines and clinical samples. PMID: 21510944
- Review discusses system xc- function in vitro and in vivo, its role as an ambivalent drug target, and the relevance of oxytosis mediated by inhibition of xCT for identification of neuroprotective proteins and signaling pathways. PMID: 20053169
- The cystine/glutamate antiporter demonstrates its major role of cystine and glutamate transport while modulating intracellular glutathione content and efflux in dendritic cells during cell differentiation and cross-presentation in a transgenic system. PMID: 20733204
- x(c)(-) transporter provides a useful target for glioma therapy. PMID: 20007406
- Cys(327) is a functionally important residue accessible to the aqueous extracellular environment and is structurally linked to the permeation pathway and/or the substrate binding site PMID: 14722095
- topological model for xCT of 12 transmembrane domains with the N and C termini located inside the cell PMID: 15151999
- Expression of Tat led to decrease in glutathione and increase in gamma-glutamyl transpeptidase. The transport function of xc-was upregulated and was accompanied by increases in mRNAs for xCT and 4F2hc and in corresponding protein levels. PMID: 15326101
顯示更多
收起更多
-
亞細胞定位:Membrane; Multi-pass membrane protein.
-
蛋白家族:Amino acid-polyamine-organocation (APC) superfamily, L-type amino acid transporter (LAT) (TC 2.A.3.8) family
-
數據庫鏈接:
Most popular with customers
-
-
Phospho-YAP1 (S127) Recombinant Monoclonal Antibody
Applications: ELISA, WB, IHC
Species Reactivity: Human
-
-
-
-
-
-















