SLC26A4 Antibody
-
中文名稱:SLC26A4兔多克隆抗體
-
貨號:CSB-PA021527LA01HU
-
規格:¥440
-
圖片:
-
Western Blot
Positive WB detected in: U87 whole cell lysate, SH-SY5Y whole cell lysate, 293T whole cell lysate, 293 whole cell lysate, Colo320 whole cell lysate
All lanes: SLC26A4 antibody at 5.7µg/ml
Secondary
Goat polyclonal to rabbit IgG at 1/50000 dilution
Predicted band size: 86, 40 kDa
Observed band size: 86 kDa -
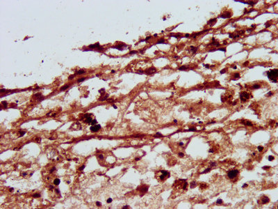
IHC image of CSB-PA021527LA01HU diluted at 1:500 and staining in paraffin-embedded human melanoma performed on a Leica BondTM system. After dewaxing and hydration, antigen retrieval was mediated by high pressure in a citrate buffer (pH 6.0). Section was blocked with 10% normal goat serum 30min at RT. Then primary antibody (1% BSA) was incubated at 4°C overnight. The primary is detected by a biotinylated secondary antibody and visualized using an HRP conjugated SP system.
-
Immunofluorescence staining of HepG2 cells with CSB-PA021527LA01HU at 1:166, counter-stained with DAPI. The cells were fixed in 4% formaldehyde, permeabilized using 0.2% Triton X-100 and blocked in 10% normal Goat Serum. The cells were then incubated with the antibody overnight at 4°C. The secondary antibody was Alexa Fluor 488-congugated AffiniPure Goat Anti-Rabbit IgG(H+L).
-
-
其他:
產品詳情
-
產品名稱:Rabbit anti-Homo sapiens (Human) SLC26A4 Polyclonal antibody
-
Uniprot No.:
-
基因名:
-
別名:deafness; autosomal recessive 4 antibody; DFNB4 antibody; EVA antibody; NSRD4 antibody; PDS antibody; Pendred syndrome antibody; Pendred syndrome homolog antibody; Pendrin antibody; S26A4_HUMAN antibody; SLC26A4 antibody; Sodium independent chloride/iodide transporter antibody; Sodium-independent chloride/iodide transporter antibody; Solute carrier family 26 member 4 antibody
-
宿主:Rabbit
-
反應種屬:Human
-
免疫原:Recombinant Human Pendrin protein (592-655AA)
-
免疫原種屬:Homo sapiens (Human)
-
標記方式:Non-conjugated
本頁面中的產品,SLC26A4 Antibody (CSB-PA021527LA01HU),的標記方式是Non-conjugated。對于SLC26A4 Antibody,我們還提供其他標記。見下表:
-
克隆類型:Polyclonal
-
抗體亞型:IgG
-
純化方式:>95%, Protein G purified
-
濃度:It differs from different batches. Please contact us to confirm it.
-
保存緩沖液:Preservative: 0.03% Proclin 300
Constituents: 50% Glycerol, 0.01M PBS, pH 7.4 -
產品提供形式:Liquid
-
應用范圍:ELISA, WB, IHC, IF
-
推薦稀釋比:
Application Recommended Dilution WB 1:500-1:5000 IHC 1:500-1:1000 IF 1:50-1:200 -
Protocols:
-
儲存條件:Upon receipt, store at -20°C or -80°C. Avoid repeated freeze.
-
貨期:Basically, we can dispatch the products out in 1-3 working days after receiving your orders. Delivery time maybe differs from different purchasing way or location, please kindly consult your local distributors for specific delivery time.
-
用途:For Research Use Only. Not for use in diagnostic or therapeutic procedures.
相關產品
靶點詳情
-
功能:Sodium-independent transporter of chloride and iodide.
-
基因功能參考文獻:
- The mutation frequencies of GJB2, SLC26A4, GJB3, and mitochondrial genes were 3.04%, 3.51%, 0.16%, and 0.88%, respectively among the Hakka population of Southern China PMID: 30235673
- This study suggested considerable genetic heterogeneity in the causation of hearing loss in Dhadkai. Recessive mutations were observed in at least three genes causing hearing loss: OTOF (p.R708X), SLC26A4 (p.Y556X) and CLDN14 (p.V85D). Mutation p.R708X appeared to be the major cause of hearing impairment in Dhadkai. PMID: 29434063
- Mutation in SLC26A4 gene is associated with deafness. PMID: 29634755
- The functional and molecular defects of variant p.V577A of SLC26A4 appeared more severe in terms of loss in ion transport function, complete retention in the endoplasmic reticulum, and dramatic reduction of expression compatible with the pathological phenotype of the patient. PMID: 29320412
- Hsc70 and DNAJC14 are required for the unconventional trafficking of H723R-pendrin. PMID: 27109633
- Increased pendrin density in early-onset preeclampsia could be a pathogenetic mechanism in or a part of the adaptational response to the development of the hypertension. PMID: 28949777
- the reduced or complete loss of SLC26A4 function was the direct cause of hearing loss in the two patients. PMID: 28990112
- genetical variations in SLC26A4 gene could play an important role in development of nonautoimmune adult hypothyroidism. PMID: 28718179
- Compared with previous studies, we found that the c.109G>A mutation allele of GJB2 was relatively lower in the profound Chinese nonsyndromic sensorineural hearing loss population in comparison to the moderate-to-profound ones, and the c.1174A>T mutation allele of SLC26A4 was relatively higher. PMID: 28786104
- the CEVA haplotype causally contributes to most cases of Caucasian M1 EVA (enlargement of the vestibular aqueduct) and, possibly, some cases of M0 EVA; the CEVA haplotype of SLC26A4 defines the most common allele associated with hereditary hearing loss in Caucasians PMID: 28780564
- novel mutation c.2110G>C (p.Glu704Gln) in compound heterozygosity with c.1673 A>T (p.Asn558Ile) in the SLC26A4 gene corresponds to the EVA in this family PMID: 29501320
- the evaluation of SLC26A4 CpG site methylation reflected an increased risk of presbycusis among the male participants. PMID: 28498466
- Molecular analysis of human solute carrier SLC26A2, SLC26A3, and SLC26A4 anion transporter disease-causing mutations using 3-dimensional homology modeling has been presented. PMID: 28941661
- DFNB4 shows vestibular dysfunction, which is strongly linked to hearing loss at low frequencies without any allelic or anatomical predisposing factor PMID: 26900070
- We performed simultaneous hearing screening and genetic screening targeting four common deafness mutations (p.V37I and c.235delC of GJB2, c.919-2A>G of SLC26A4, and the mitochondrial m.1555A>G) in 5173 newborns at a tertiary hospital between 2009 and 2015,We delineated the longitudinal auditory features of the highly prevalent GJB2 p.V37I mutation on a general population basis PMID: 27308839
- A range of SLC26A4 variants without a common recurrent mutation underlies SLC26A4-related hearing loss in Turkey, Iran, and Mexico. PMID: 28964290
- a later onset of hearing loss is usually related to EVA, in absence of SLC26A4 gene mutations PMID: 28780189
- A novel SLC26A4 point mutation is associated with enlarge vestibular aqueduct syndrome. PMID: 28604962
- we hypothesize that SLC26A4 coding mutations are genetic causes for nonsyndromic hearing impairment in patients bearing heterozygous GJB2 35delG mutations. PMID: 27861301
- Ears with EVA and zero or one mutant allele of SLC26A4 have less severe hearing loss, no difference in prevalence of fluctuation, and a lower prevalence of cochlear implantation in comparison to ears with two mutant alleles of SLC26A4. PMID: 27859305
- These studies implicate the involvement of pendrin-facilitated chloride-bicarbonate exchange in the regulation of airway surface liquid volume and suggest the utility of pendrin inhibitors in inflammatory lung diseases. PMID: 26932931
- data suggest that many patients with SLC26A4 mutations have significant residual hearing at birth, and that the hearing deterioration in these patients occurs before 3 years of age. After age 3 years, the residual hearing was relatively stable and did not tend to deteriorate PMID: 26650914
- Familial enlarged vestibular aqueduct can demonstrate a variety of atypical segregation patterns. Pseudodominant inheritance of SLC26A4 mutations or recessive alleles of other hearing loss genes may be more likely to occur in families in which deaf individuals have intermarried. PMID: 26485571
- The prevalence of SLC26A4 pathogenic variants was 4% among studied Chinese patients with congenital hypothyroidism. Our study expanded the SLC26A4 mutation spectrum, provided the best estimation of SLC26A4 mutation rate for Chinese CH patients and indicated the rarity of Pendred syndrome as a cause of congenital hypothyroidism. PMID: 26886089
- patients with impaired pendrin function are likely to be resistant to high blood pressure due to enhanced urinary Na(+) /Cl(-) excretion. These results suggest that pendrin may regulate blood pressure through increased urinary salt excretion. PMID: 27090054
- Result of molecular genetic studies, four out of the 20 patients were found to carry six recessive mutations of the SLC26A4 gene in the compound heterozygous and one such gene in the homozygous state which confirmed the hereditary nature of Pendred syndrome in the Russian population. PMID: 28091472
- Intronic c.1002-9A > C , c.1545-5T > G and c.1544 + 9C > T enhance mRNA splicing in hybrid minigene assay. PMID: 28389359
- We attempted to identify the genetic epidemiology of hereditary hearing loss among the Chinese Han population using next-generation sequencing The entire length of the genes GJB2, SLC26A4, and GJB3 were sequenced from 116 individuals suffering from hearing loss. In our study, SLC26A4 and GJB2 were the most frequently affected genes among the Chinese Han population with hearing loss. PMID: 27610647
- The results of the present study indicated that combined heterozygous mutations of the SLC264 and GJB3 genes may result in severe hearing loss. These results contribute to the understanding of clinical phenotype of deaf patients carrying combined mutations in the SLC26A4 and GJB3 genes. PMID: 27176802
- A novel splice site mutation of c.1001 + 5G > C was identified, and the novel compound heterozygote of two splice site mutations, c.1001 + 5G > C and c.919-2A > G, in the SLC26A4 gene has been linked to hearing impairment in enlarged vestibular aqueduct patients. PMID: 27729126
- This study revealed a novel heterozygous mutation c.2118C>A (p.C706X) compound with c.919-2A>G in SLC26A4 gene in a patient with enlarged vestibular aqueduct syndrome and family members. PMID: 27240500
- The heterozygous mutations of p.I188T, p.L582LfsX4 and p.E704K in SLC26A4 gene were responsible for the Large vestibular aqueduct syndrome of the affected individual. PMID: 27863619
- The SLC26A4 genotypes associated with enlarged vestibular aqueduct malformation in south Italian children with sensorineural hearing loss. PMID: 26894580
- Data show that 147 known pathogenic mutations were mapped on the solute carrier family 26 member 4 (pendrin) model and analyzed. PMID: 27771369
- Twenty-two of 156 deafness cases due to SLC26A4 mutations PMID: 27066914
- SLC26A4 mutation was identified in 2.02% of Chinese newborns with congenital hearing loss. PMID: 25649612
- 48.67% of the patients were identified with hereditary hearing loss caused by mutations in GJB2, SLC26A4, and mtDNA12SrRNA. PMID: 27247933
- Mutations in RAI1, OTOF, and SLC26A4 may have roles in nonsyndromic hearing loss in Altaian families in Siberia PMID: 27082237
- A homozygous c.-2071_307+3801del7666 deletion of SLC26A4 was identified in patient D1467-1. This novel genomic deletion was subsequently identified in 18% (4/22) of the Chinese Han EVA probands. PMID: 26549381
- GJB2 and SLC26A4 mutations are associated with good post-implant outcomes. PMID: 26397989
- Anoctamin and pendrin are two plausible candidates as mediators of apical iodide efflux--{review} PMID: 26313899
- Data suggest that ombined hearing screening and genetic screening of gap junction protein beta 2 (GJB2), mtDNA 12srRNA and solute carrier family 26, member 4 protein SLC26A4 mutations can improve the rate of detection. PMID: 26663044
- Increased expression of the epithelial anion transporter pendrin/SLC26A4 in nasal polyps of patients with chronic rhinosinusitis PMID: 26143180
- c.1331+2T>C was found in 12 homozygous hearing-impaired Roma patients, more frequently in Hungarian than in Slovak patients. The identified common haplotype was defined by 18 SNPs. 14 common SNPs were shared among Pakistani and Roma homozygotes. PMID: 25885414
- codon 723 was a hot-spot region in SLC26A4 with a significant impact on the structure and function of pendrin, and acted as one of the genetic factors responsible for the development of hearing loss. PMID: 26035154
- The prevalence of SLC26A4 mutations was 12.39%, 8.84%, and 8.57% in Han Chinese, Hui people, and Tibetan participants, respectively. The c.919-2 A>G mutation was the most common form, accounting for 60.47% of all SLC26A4 mutant alleles. PMID: 25761933
- Presence of mono-allelic mutations of SLC26A4 in non-syndromic enlarged vestibular aqueduct patients is etiologically associated with this disorder. PMID: 26100058
- Based on the results of our two studies, the c.965insA mutation has only been described in Iranian families from northwest Iran, so there is evidence for a founder mutation originating in this part of Iran. PMID: 25239229
- We experienced a congenitally deaf 6-year-old boy with a rare p.Thr410Met homozygous mutation in SLC26A4 PMID: 25468468
- An absence of GJB6 mutations and low frequency of SLC26A4 mutations suggest that additional genetic factors may contribute to nonsyndromic hearing loss in India. PMID: 26188157
顯示更多
收起更多
-
相關疾病:Pendred syndrome (PDS); Deafness, autosomal recessive, 4 (DFNB4)
-
亞細胞定位:Membrane; Multi-pass membrane protein. Cell membrane; Multi-pass membrane protein.
-
蛋白家族:SLC26A/SulP transporter (TC 2.A.53) family
-
組織特異性:High expression in adult thyroid, lower expression in adult and fetal kidney and fetal brain. Not expressed in other tissues.
-
數據庫鏈接:
Most popular with customers
-
-
Phospho-YAP1 (S127) Recombinant Monoclonal Antibody
Applications: ELISA, WB, IHC
Species Reactivity: Human
-
-
-
-
-
-















