SLC22A3 Antibody
-
中文名稱:SLC22A3兔多克隆抗體
-
貨號:CSB-PA193383
-
規格:¥1100
-
圖片:
-
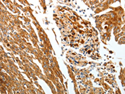
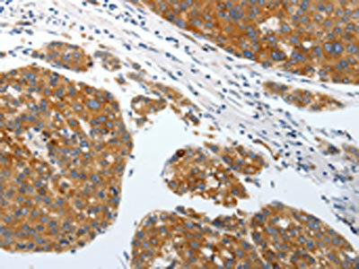
The image on the left is immunohistochemistry of paraffin-embedded Human liver cancer tissue using CSB-PA193383(SLC22A3 Antibody) at dilution 1/25, on the right is treated with synthetic peptide. (Original magnification: ×200)
-
The image on the left is immunohistochemistry of paraffin-embedded Human cervical cancer tissue using CSB-PA193383(SLC22A3 Antibody) at dilution 1/25, on the right is treated with synthetic peptide. (Original magnification: ×200)
-
Gel: 10%SDS-PAGE, Lysate: 40 μg, Lane: Mouse liver tissue, Primary antibody: CSB-PA193383(SLC22A3 Antibody) at dilution 1/400, Secondary antibody: Goat anti rabbit IgG at 1/8000 dilution, Exposure time: 1 minute
-
-
其他:
產品詳情
-
Uniprot No.:
-
基因名:SLC22A3
-
別名:SLC22A3; EMTH; OCT3; Solute carrier family 22 member 3; Extraneuronal monoamine transporter; EMT; Organic cation transporter 3
-
宿主:Rabbit
-
反應種屬:Human,Mouse,Rat
-
免疫原:Synthetic peptide of Human SLC22A3
-
免疫原種屬:Homo sapiens (Human)
-
標記方式:Non-conjugated
-
抗體亞型:IgG
-
純化方式:Antigen affinity purification
-
濃度:It differs from different batches. Please contact us to confirm it.
-
保存緩沖液:-20°C, pH7.4 PBS, 0.05% NaN3, 40% Glycerol
-
產品提供形式:Liquid
-
應用范圍:ELISA,WB,IHC
-
推薦稀釋比:
Application Recommended Dilution ELISA 1:2000-1:5000 WB 1:500-1:2000 IHC 1:25-1:100 -
Protocols:
-
儲存條件:Upon receipt, store at -20°C or -80°C. Avoid repeated freeze.
-
貨期:Basically, we can dispatch the products out in 1-3 working days after receiving your orders. Delivery time maybe differs from different purchasing way or location, please kindly consult your local distributors for specific delivery time.
-
用途:For Research Use Only. Not for use in diagnostic or therapeutic procedures.
相關產品
靶點詳情
-
功能:Mediates potential-dependent transport of a variety of organic cations. May play a significant role in the disposition of cationic neurotoxins and neurotransmitters in the brain.
-
基因功能參考文獻:
- Data show that the common variation in the solute carrier family 22 member 3 (SLC22A3) gene is unlikely to significantly contribute to pancreatic cancer risk, and the rs2504938 single nucleotide polymorphism (SNP) in SLC22A3 significantly associates with an unfavorable prognosis of pancreatic cancer patients. PMID: 28272475
- SNPs in SLC22A3 and H3F3B may influence lipid levels through altering the expression of local genes. PMID: 29894858
- A-to-I RNA editing of SLC22A3 contributes to the early development and progression of familial esophageal squamous cell carcinoma in high-risk individuals. PMID: 28533408
- our study suggests that several PHACTR1 and SLC22A3 gene polymorphisms may exert a protective effect against the CAD in the Chinese Han male population. PMID: 27893421
- SLC22A3 deletion is associated with motor speech disorders, and language delays. PMID: 28767196
- may be a regulator of the concentration of norepinephrine in adipose tissue. PMID: 28034777
- the rs3088442G>A variant as a genetic marker may potentially assist in the identification of individuals at an increased risk of T2D. PMID: 28625319
- The genotype of rs3088442 within the SLC22A3-LPAL2-LPA gene cluster may contribute to regulation of plasma Lp(a) levels and possibly to the severity of coronary artery disease in a Chinese Han population. PMID: 27417586
- Findings suggest that OCT3 plays an important role in the absorption and elimination of metformin and that the transporter is a critical determinant of metformin bioavailability, clearance, and pharmacologic action. PMID: 25920679
- The markers of EMT were detected by using Western blot. PMID: 25322669
- Findings suggest a negative feedback mechanism against inflammatory response by which solute carrier family 22 member 3 (SLC22A3) variant rs3088442 G-->A decreased the risk of coronary heart disease (CHD). PMID: 25561729
- Cultured astroctye line 1321N1 and primary human astrocytes transport monoamines partly through OCT3. PMID: 24471494
- There was no association between rs7758229 in 6q26-q27/SLC22A3 and the risk of colorectal cancer in a Chinese population. PMID: 23555006
- Decreasing expression of OCT3 and MATE1 in human placenta indicates these transporters may play a role in fetal protection preferentially at earlier stages of gestation. PMID: 23303678
- Our studies demonstrate that genetic polymorphisms in the proximal promoter region of OCT3 alter the transcription rate of the gene and may be associated with altered expression levels of OCT3 in human liver. PMID: 22231567
- The increased Wnt3 in the trastuzumab-resistant cells also promoted a partial EMT-like transition. PMID: 23071104
- PDLIM5 (rs17021918,T), SLC22A3 (rs9364554,C) and NKX3-1 (rs1512268,A) SNPs might not be associated with prostate cancer in Chinese men. PMID: 22741436
- The risk for coronary artery disease in a Chinese Han population is not associated with single nucleotide polymorphisms in the SLC22A3-LPAL2-LPA gene cluster. PMID: 23036009
- NUDT11, HNF1B, and SLC22A3 genes have roles in prostate cancer pathogenesis PMID: 22730461
- SLC22A3 was expressed high in the human heart with strongest OCT3 immunoreactivity in vascular endothelial cells. SLC22A3/OCT3 expression was not changed in failing human left ventricular myocardium PMID: 21697722
- OCT3 overexpression significantly increased cisplatin cellular accumulation and cytotoxicity in KB-3-1 cells. PMID: 21905038
- evidence for a new means of downregulating IL-4 production by basophils, both in vitro and in vivo, through OCT3 targeted by 5-HT and pharmacologic ligands. PMID: 21636115
- Genetic association studies indicate 5 SNPs are associated with reduced transport activity of OCT3 (using 5-HT & MPP). PMID: 20562519
- The regulation of EMT-mediated transport by second-messenger phosphorylation/dephosphorylation mechanisms has been characterized in stably transfected HEK293 cells with tritiated 1-methyl-4-phenylpyridinium as substrate. PMID: 11770002
- EMT efficiently translocates agmatine and must be considered for the control of agmatine levels. PMID: 12538837
- Genetic variation of EMT was studied in Caucasians. PMID: 12768439
- EMT is expressed in the area postrema of rat brain and may play a role in physiological functions of this circumventricular organ such as emesis, food intake and the regulation of cardiovascular functions. PMID: 14690517
- organic cation transporter EMT mRNA was mainly detected in the intra lobular septa and also expressed in scattered cells of placental vessel adventitias with lower expression of EMT mRNAs in pre-eclamptic placentae PMID: 15135235
- Ranitidine and famotidine elicited differential inhibitory activities on SLC22A3. PMID: 16141367
- These results suggest that polymorphisms of SLC22A3 are related to the development of polysubstance use in Japanese patients with methamphetamine (MAP) dependence. PMID: 17010131
- PMAT, EMT, and OCT2 transporters are expressed in the endometrial stroma and can potentially regulate reuptake of monoamines in general and histamine in particular. PMID: 17393420
- rare mutations in the EMT gene suggest a causative or modulating role in genetic subtypes of obsessive-compulsive disorder PMID: 17477885
- Confirm the usefulness of Caki-1 cells as a proximal tubule model system for investigations of OCT3. PMID: 18253050
- We conclude that the proliferation of immature germ cells in GB may be due to an interaction between OCT3/4 and accumulated beta-catenin in the nuclei of the immature germ cells. PMID: 18295396
- Identification of the SLC22A3-LPAL2-LPA gene cluster as a strong susceptibility locus for coronary artery disease. PMID: 19198611
顯示更多
收起更多
-
亞細胞定位:Membrane; Multi-pass membrane protein.
-
蛋白家族:Major facilitator (TC 2.A.1) superfamily, Organic cation transporter (TC 2.A.1.19) family
-
組織特異性:Expressed in placenta, skeletal muscle, prostate, aorta, liver, fetal lung, salivary gland, adrenal gland, kidney and brain cortex. No expression detected in spleen.
-
數據庫鏈接:















