SESN2 Antibody
-
中文名稱:SESN2兔多克隆抗體
-
貨號:CSB-PA778940
-
規格:¥1100
-
圖片:
-
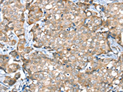
The image on the left is immunohistochemistry of paraffin-embedded Human prostate cancer tissue using CSB-PA778940(SESN2 Antibody) at dilution 1/30, on the right is treated with synthetic peptide. (Original magnification: ×200)
-
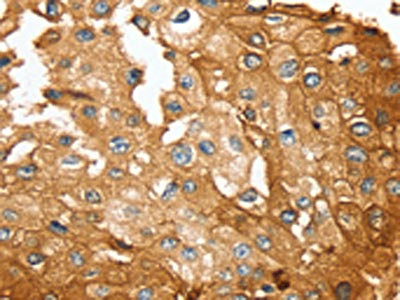
The image on the left is immunohistochemistry of paraffin-embedded Human breast cancer tissue using CSB-PA778940(SESN2 Antibody) at dilution 1/30, on the right is treated with synthetic peptide. (Original magnification: ×200)
-
Gel: 8%SDS-PAGE, Lysate: 40 μg, Lane 1-3: Lovo cells, hela cells, SKOV3 cells, Primary antibody: CSB-PA778940(SESN2 Antibody) at dilution 1/300, Secondary antibody: Goat anti rabbit IgG at 1/8000 dilution, Exposure time: 1 minute
-
-
其他:
產品詳情
-
Uniprot No.:
-
基因名:
-
別名:DKFZp761M0212 antibody; DKFZp761M02121 antibody; Hi95 antibody; Hypoxia induced gene 95 antibody; MGC11758 antibody; OTTHUMP00000003641 antibody; OTTMUSP00000010184 antibody; RP23 63D8.3 antibody; SES2 antibody; SESN 2 antibody; SESN2 antibody; SESN2_HUMAN antibody; SEST2 antibody; Sestrin 2 antibody; Sestrin-2 antibody
-
宿主:Rabbit
-
反應種屬:Human,Mouse
-
免疫原:Synthetic peptide of Human SESN2
-
免疫原種屬:Homo sapiens (Human)
-
標記方式:Non-conjugated
-
抗體亞型:IgG
-
純化方式:Antigen affinity purification
-
濃度:It differs from different batches. Please contact us to confirm it.
-
保存緩沖液:-20°C, pH7.4 PBS, 0.05% NaN3, 40% Glycerol
-
產品提供形式:Liquid
-
應用范圍:ELISA,WB,IHC
-
推薦稀釋比:
Application Recommended Dilution ELISA 1:1000-1:2000 WB 1:200-1:1000 IHC 1:25-1:100 -
Protocols:
-
儲存條件:Upon receipt, store at -20°C or -80°C. Avoid repeated freeze.
-
貨期:Basically, we can dispatch the products out in 1-3 working days after receiving your orders. Delivery time maybe differs from different purchasing way or location, please kindly consult your local distributors for specific delivery time.
-
用途:For Research Use Only. Not for use in diagnostic or therapeutic procedures.
相關產品
靶點詳情
-
功能:Functions as an intracellular leucine sensor that negatively regulates the TORC1 signaling pathway through the GATOR complex. In absence of leucine, binds the GATOR subcomplex GATOR2 and prevents TORC1 signaling. Binding of leucine to SESN2 disrupts its interaction with GATOR2 thereby activating the TORC1 signaling pathway. This stress-inducible metabolic regulator also plays a role in protection against oxidative and genotoxic stresses. May negatively regulate protein translation in response to endoplasmic reticulum stress, via TORC1. May positively regulate the transcription by NFE2L2 of genes involved in the response to oxidative stress by facilitating the SQSTM1-mediated autophagic degradation of KEAP1. May also mediate TP53 inhibition of TORC1 signaling upon genotoxic stress. Moreover, may prevent the accumulation of reactive oxygen species (ROS) through the alkylhydroperoxide reductase activity born by the N-terminal domain of the protein. Was originally reported to contribute to oxidative stress resistance by reducing PRDX1. However, this could not be confirmed.
-
基因功能參考文獻:
- High serum Sestrin 2 levels are associated with metabolic synfrome. PMID: 30099048
- Knockdown of sesn2 aggravates atherosclerotic processes by increasing pro-inflammatory reactions and ER stress in the endothelium via an AMPK-dependent mechanism, suggesting that sesn2 might be a novel therapeutic target for atherosclerosis. PMID: 28215577
- SESN2 is critical to protect cells against detrimental effect of mitochondrial damage and RBX1 is a negative regulator of SESN2 which hampers its stabilization. PMID: 29294217
- Sesn2 ablation increased UVA-induced Nrf2 induction and inhibits UVA-induced ROS production, indicating that Sesn2 acts as an upstream regulator of Nrf2 PMID: 27463837
- tribbles pseudokinase 3(TRB3) and sestrin 2 may contribute to the development of obesity and its complications and can be considered interesting therapeutic target for the treatment of obesity PMID: 28639842
- Overexpression of Sesn2 downregulated the expression of autophagy genes, upregulated pro-apoptotic gene expression, and downregulated specific extracellular matrix markers in stress-induced cells. PMID: 29518770
- These results suggest that sestrin 2 suppresses CRC cell growth through activation of the AMPK/mTORC1 pathway and induction of apoptosis, and could be a novel pharmacological target for the treatment of CRC. PMID: 28525387
- This study shows that differential Sestrin2-mediated regulation of mTORC1 and mTORC2 is necessary for the survival of glutamine-depleted lung cancer cells. PMID: 28723563
- There was significant overexpression of serum sesn2 protein and mRNA levels in the Alzheimer's Disease group compared to Mild Cognitive Impairment and the control group. PMID: 27567861
- isorhapontigenin treatment induces autophagy and inhibits bladder cancer growth through MAPK8-JUN-dependent transcriptional induction of SESN2 PMID: 27171279
- simple analysis of the reported "apo"-Sestrin2 structure reveals the clear presence of prominent, unmodeled electron density in the leucine-binding pocket that exactly accommodates the leucine observed in the higher resolution structure. PMID: 27649739
- Mass spectrometry analysis, western blot and surface plasmon resonance (SPR) of affinity purified sesn1 and sesn2 proteins confirmed their identity; biophysical characteristics were observed using circular dichroism (CD) showing that sesn1 and sesn2 have a predominant a-helical structure. PMID: 28707664
- the results support a model in which leucine selectively promotes dephosphorylation of Sestrin2. PMID: 27010498
- The data are the first to indicate that SESN2 might be a novel prognostic marker for hepatocellular carcinoma PMID: 28118855
- These results highlight Sestrin2 as a novel tumor suppressor, whose downregulation can accelerate both colitis and colon carcinogenesis. PMID: 26913956
- The up-regulation of SESN2 by mitochondrial dysfunction requires binding to ATF4. PMID: 26771712
- Sestrin2 silencing strongly inhibits cytokine-induced cell death. PMID: 26313705
- Sesn2 has two subdomains. The N-terminal domain reduces alkylhydroperoxide radicals through its helix-turn-helix oxidoreductase motif, and the C-terminal domain interacts with GATOR2 and subsequently inhibits mTORC1. PMID: 26612684
- Sestrin2 inhibits mTORC1 through modulation of GATOR complexes PMID: 25819761
- Sestrin2: A Promising Therapeutic Target for Liver Diseases PMID: 26133704
- SESN2-AMPK signaling could exert a protective effect against glucose deprivation-induced cell death and that this effect is mediated by restoration of mitochondrial function. PMID: 25778901
- Sesn2 is a potential tumor suppressor in lung epithelial cells. The expression level of Sesn2 may serve as a prognostic marker for Chinese lung cancer patients in the clinic. PMID: 25962159
- These results indicate that Sestrin2 is a leucine sensor for the mTORC1 pathway. PMID: 26449471
- this study presents the 2.7 angstrom crystal structure of Sestrin2 in complex with leucine. PMID: 26586190
- knockdown of Sestrin2 using small RNA interference promotes cell apoptosis and reactive oxygen species production induced by oxLDL. PMID: 25692450
- The findings suggested that a decreased expression of sestrin 2 is associated with an unfavorable prognosis, which suggests that it is a novel and crucial predictor for colorectal cancer metastasis. PMID: 25572852
- Sestrin2 has a hepatoprotective role against chronic ER stress PMID: 24947615
- an AMPK-independent mechanism of mTORC1 inhibition by Sestrins mediated by their interaction with GATOR2, is reported. PMID: 25457612
- GAA promotes FoxO3 nuclear translocation and binding to the SESN2 enhancer. PMID: 25802279
- Data indicate that inactivation of Sestrin 2 (Sesn2) or nuclear factor erythroid 2-related factor 2 (Nrf2) induced reactive oxygen species-mediated proteasomal inhibition and platelet-derived growth factor receptor beta (Pdgfrbeta) accumulation. PMID: 25716320
- Sesn2 is oncogenic in skin squamous cell carcinoma and melanoma. PMID: 25378405
- knockdown of SESN2 using small RNA interference promotes cellular toxicity of angiotensin II, as well as a reduction in cell viability, exacerbation of oxidative stress, and stimulation of apoptosis. PMID: 24838122
- Data indicate that sestrin2 expression is upregulated by dopamine D2 receptor. PMID: 25024286
- Sestrin2 inhibits uncoupling protein 1 expression through suppressing reactive oxygen species. PMID: 24825887
- results show that ATF4-regulated SESN2 expression presents a new link between ER stress and mTOR inhibition and autophagy. PMID: 23916134
- results imply that SESN2 could serve as both a biomarker and as a drug target in the clinical management of COPD PMID: 24046361
- Sesn2 as a new energetic stress sensor, which appears to be protective against energetic stress-induced apoptosis that integrates the pro-survival function of Akt and the negative regulation of mTOR. PMID: 23238567
- The JNK pathway mediated sestrin 2 expression and contributed to autophagy induction, highlighting the relationship of sestrin 2 and autophagy and the JNK signaling pathway. PMID: 22982090
- Sestrin-2 redistributes to neuronal soma in human immunodeficiency virus (HIV)-associated neurocognitive disorders. PMID: 22450766
- Sesn2 is required for the Nrf2-mediated cytoprotective activity against hydrogen peroxide PMID: 22749810
- In breast cancer cells SESN2 is associated with AMPK. PMID: 22363791
- Signalling by the AMP-activated protein kinase was also involved as a downstream target of sestrin2. PMID: 21418191
- PDGFRbeta accumulation is associated with increased oxidative stress and cellular damage in SESN2 silenced human glioblastoma U87 cells. PMID: 21536039
- results suggest that, unlike Srx, Sesn 2 is not a sulfinic Prx reductase PMID: 19113821
- results show that sestrins, a family of proteins whose expression is modulated by p53, are required for regeneration of peroxiredoxins containing Cys-SO(2)H PMID: 15105503
- depletion of Sestrin2 or Dram failed to affect autophagy in p53-deficient cells PMID: 19377293
顯示更多
收起更多
-
亞細胞定位:Cytoplasm.
-
蛋白家族:Sestrin family
-
組織特異性:Widely expressed.
-
數據庫鏈接:
Most popular with customers
-
-
Phospho-YAP1 (S127) Recombinant Monoclonal Antibody
Applications: ELISA, WB, IHC
Species Reactivity: Human
-
-
-
-
-
-















