PTHLH Antibody
-
中文名稱:PTHLH兔多克隆抗體
-
貨號:CSB-PA444792
-
規格:¥1100
-
圖片:
-
The image on the left is immunohistochemistry of paraffin-embedded Human liver cancer tissue using CSB-PA444792(PTHLH Antibody) at dilution 1/20, on the right is treated with fusion protein. (Original magnification: ×200)
-
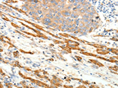
The image on the left is immunohistochemistry of paraffin-embedded Human thyroid cancer tissue using CSB-PA444792(PTHLH Antibody) at dilution 1/20, on the right is treated with fusion protein. (Original magnification: ×200)
-
-
其他:
產品詳情
-
Uniprot No.:
-
基因名:
-
別名:HHM antibody; MGC14611 antibody; Osteostatin antibody; Parathyroid hormon like hormone isoform 2 preproprotein antibody; Parathyroid hormone like hormone antibody; Parathyroid hormone like hormone isoform 1 preproprotein antibody; Parathyroid hormone like protein antibody; Parathyroid hormone like related protein antibody; Parathyroid hormone related protein antibody; Parathyroid hormone-like protein antibody; Parathyroid like protein antibody; PLP antibody; PTH related protein antibody; PTH-rP antibody; PTHLH antibody; PTHR antibody; PTHR_HUMAN antibody; PTHrP antibody; PTHrP[107-139] antibody
-
宿主:Rabbit
-
反應種屬:Human,Mouse,Rat
-
免疫原:Fusion protein of Human PTHLH
-
免疫原種屬:Homo sapiens (Human)
-
標記方式:Non-conjugated
-
抗體亞型:IgG
-
純化方式:Antigen affinity purification
-
濃度:It differs from different batches. Please contact us to confirm it.
-
保存緩沖液:-20°C, pH7.4 PBS, 0.05% NaN3, 40% Glycerol
-
產品提供形式:Liquid
-
應用范圍:ELISA,IHC
-
推薦稀釋比:
Application Recommended Dilution ELISA 1:1000-1:5000 IHC 1:25-1:100 -
Protocols:
-
儲存條件:Upon receipt, store at -20°C or -80°C. Avoid repeated freeze.
-
貨期:Basically, we can dispatch the products out in 1-3 working days after receiving your orders. Delivery time maybe differs from different purchasing way or location, please kindly consult your local distributors for specific delivery time.
-
用途:For Research Use Only. Not for use in diagnostic or therapeutic procedures.
相關產品
靶點詳情
-
功能:Neuroendocrine peptide which is a critical regulator of cellular and organ growth, development, migration, differentiation and survival and of epithelial calcium ion transport. Regulates endochondral bone development and epithelial-mesenchymal interactions during the formation of the mammary glands and teeth. Required for skeletal homeostasis. Promotes mammary mesenchyme differentiation and bud outgrowth by modulating mesenchymal cell responsiveness to BMPs. Upregulates BMPR1A expression in the mammary mesenchyme and this increases the sensitivity of these cells to BMPs and allows them to respond to BMP4 in a paracrine and/or autocrine fashion. BMP4 signaling in the mesenchyme, in turn, triggers epithelial outgrowth and augments MSX2 expression, which causes the mammary mesenchyme to inhibit hair follicle formation within the nipple sheath. Promotes colon cancer cell migration and invasion in an integrin alpha-6/beta-1-dependent manner through activation of Rac1.; Osteostatin is a potent inhibitor of osteoclastic bone resorption.
-
基因功能參考文獻:
- In summary, these results reveal that PTHLH expression is a poor prognosis marker in head and neck squamous cell carcinoma patients, and RUNX2-PTHLH axis contributes to head and neck squamous cell carcinoma tumor growth. PMID: 28120940
- Our study thus demonstrates the dual roles of PTHrP on TGF-b1 signaling and FN up-regulation for the first time in glomerular mesangial cells . These data also provided new insights to guide development of therapy for diabetic kidney disease PMID: 28954822
- these data suggest that PTHrP(12-48) is a bioactive breast cancer-derived peptide that locally regulates the differentiation of hematopoietic cells and the activity of osteoclasts within the tumor-bone marrow microenvironment, perhaps to facilitate tumor control of bone. PMID: 28370412
- RSK activation via ERK modulates human colon cancer cells response to PTHrP. PMID: 28385776
- this is the first time that mutation recurrence has been detected in PTHLH associated with brachydactyly type E and we have observed that, as remarked before, this syndrome has high intrafamilial as well as interfamilial variability PMID: 28211986
- Antagonistic antibodies against the death receptors demonstrated that Apo2L/TRAIL mediated its apoptotic signals through activation of the TRAIL-R2 in PTHrP expressing breast cancer cells PMID: 23822995
- Amino PTHrP and carboxyl PTHrP can vary independently in different lung carcinomas. Carboxyl PTHrP may temper the stimulatory effect of amino PTHrP on cancer progression. PMID: 28342003
- PTHLH is a gastrin-regulated growth factor that might contribute to gastric epithelial cell homeostasis. PMID: 28408643
- Duplication of PTHLH co-segregates with osteochondroplasia with a combined brachydactyly type E/A1 in a three-generation pedigree. PMID: 26733284
- Data shown here expand the knowledge on the phenotypic presentation of PTHLH mutations, highlighting significant clinical variability and incomplete penetrance of the PTHLH-related symptoms. PMID: 26763883
- We showed that the supplementation of the osteogenic differentiation medium with PTHrP inhibited the alkaline phosphatase activity and the expression of the transcription factor DLX3, but the depletion of PTHrP did not support the differentiation of DFCs.We showed that SUFU (Suppressor Of Fused Homolog) was not regulated during the osteogenic differentiation in DFCs PMID: 27368119
- High expression of PTHRP is associated with Tongue squamous cell carcinoma. PMID: 27316348
- No relationship between plasma PTHrP levels and failure of tooth eruption, dental manifestations of pseudohypoparathyroidism or brachydactyly was found. PMID: 26855372
- we report three patients affected with brachydactyly type E, caused by PTHLH mutations expected to result in haploinsufficiency, and discuss our data compared to published reports. PMID: 26640227
- TGF-beta and PTHrP were confirmed to be involved in regulating the malignant progression in breast cancer, and PTHrP expression, to be associated with bone metastasis as a potential prognostic marker in ER negative breast cancer PMID: 26597083
- Data suggest affinity of ligands for binding site on PTH1R/parathyroid hormone 1 receptor, either in GTP-binding protein-dependent or -independent conformation, alters duration of action of ligand in target cells; ligands were peptide fragments of PTHRP. PMID: 26562265
- A novel heterozygous mutation in PTHLH gene was identified in a Chinese pedigree with brachydactyly type E. PMID: 25801215
- PTHLH/PTHrP could play a role in the pathogenesis of oral squamous cell carcinoma by affecting cell proliferation and cell cycle. PMID: 25539663
- PTHrP regulates Caco-2 cell proliferation via several signaling pathways. PMID: 25053227
- Intermittent application of PTHrP represents an important novel means to improve chondrogenesis of MSCs and may be considered as a supporting clinical-treatment mode for MSC-based cartilage defect regeneration PMID: 24836507
- Data show three individuals with duplications of the parathyroid hormone-like hormone (PTHLH) locus leading to a hitherto unrecognized syndrome characterized by acro-osteolysis, cortical irregularity of long bones and metadiaphyseal enchondromata. PMID: 25007883
- PTHrP positively modulates cell cycle progression and changes the expression of proteins involved in cell cycle regulation. PMID: 25051885
- miR-126-5p could directly target PTHrP and have a tumor suppressor function in giant cell tumor. PMID: 24973691
- High PTHLH expression is strongly associated with poor outcome both in overall survival and disease-free survival for patients who underwent standard nephrectomy. PMID: 24861371
- High PTHRP expression is associated with bone destruction in lung and breast cancer. PMID: 25359619
- Threonine at position 107 contributes to the osteogenic actions of PTHrP in osteoblasts. PMID: 24725082
- High PTHRP expression is associated with metastasis in breast cancer. PMID: 25368276
- PTHLH is important during embryonic development. [review] PMID: 25252304
- Data suggest that parathyroid hormone-related protein (PTHrP) may work through epithelial-to-mesenchymal transition (EMT) to promote an aggressive and metastatic phenotype in prostate cancer. PMID: 24465715
- PTHrP mediates energy wasting in fat tissues and contributes to the broader aspects of cancer cachexia; thus, neutralization of PTHrP might hold promise for ameliorating cancer cachexia and improving patient survival PMID: 25043053
- It is a critical physiological regulator of various biological processes, including bone and cartilage metabolism. (review) PMID: 24870837
- PTHrP was found to inhibit DKK1 expression through c-Jun-mediated inhibition of beta-catenin activity on the DKK1 promoter. PMID: 23752183
- Evaluation of clinical breast tumor samples revealed that reduced DLC1 expression was linked to elevated PTHLH expression and organ-specific metastasis to bone. PMID: 24590291
- High PTHRP mRNA expression correlated with lung cancer stage, presence of bone metastasis, and squamous cell carcinoma. PMID: 23810363
- PTHrP expression in human MDA-MB-231 breast cancer cells is critical for tumor growth and survival and osteoblast inhibition. PMID: 23983616
- PTHrP intracellular retention is down-regulated in osteo-differentiating cells whereas the secretion of the protein in the extracellular medium is up-regulated with respect to stem cells. PMID: 23810909
- these results evidence a protective effect of PTHrP under apoptotic conditions in intestinal cells. PMID: 23845990
- Data indicate that expressions of PTHrP, EPO, and VEGF were respectively related to advanced stage of clear cell renal cell carcinoma (ccRCC). PMID: 23780896
- Prostate cancer-derived PTHrP acts in the bone marrow to potentiate CD11b(+)Gr1(+) cells, which are recruited to tumor tissue where they contribute to tumor angiogenesis and growth. PMID: 24072746
- PTHrP excreted by giant cell tumor of bone stromal cells increases bone tumor cell local invasiveness and migration. PMID: 23466453
- new clues to understand the underlying mechanisms whereby PTHrP can increase bone formation. PMID: 23494914
- PTHrP is highly detectable in intermediate and epidermoid cells, and abundant expression of PTHrP in intermediate cells has a significant association with cancer malignancy. PMID: 23588777
- All 3 markers were studied independently and were associated with tumor percentage in metastatic lymph nodes. PVA had the strongest correlation, followed by PTHrP and then TACSTD1. PMID: 23625795
- Parathyroid hormone-related protein is induced by hypoxia and promotes expression of the differentiated phenotype of human articular chondrocytes. PMID: 23662774
- findings represent the initial genetic evidence that PTHrP regulates periosteal/intramembranous bone cell activity on cortical bone surfaces and indicate that PTHrP serves as a load-induced modeling tool in fibrous insertion sites during linear growth PMID: 23109045
- that miR-33a may be a potent tumor suppressor, which inhibits direct and indirect osteoclastogenesis through repression of PTHrP. PMID: 23458685
- PTHrP increases the promoter activity of the integrin alpha6 and beta4 subunits. PMID: 23499737
- Tristetraproline (TTP) is an RNA-binding protein that may be involved in ARE-mediated degradation of parathyroid hormone-related protein. PMID: 22960231
- activated PTHLH coupling feedback phosphoinositide to G-protein receptor signal-induced cell adhesion network in hepatocellular carcinoma PMID: 22997493
- systems theory analysis of PTHLH downstream leukocyte adhesion-mediated protein amino acid N-linked glycosylation coupling Notch and JAK-STAT cascade to iron-sulfur cluster assembly-induced aging network in no-tumor hepatitis/cirrhotic tissues PMID: 22955522
顯示更多
收起更多
-
相關疾病:Brachydactyly E2 (BDE2)
-
亞細胞定位:Cytoplasm. Nucleus. Secreted.
-
蛋白家族:Parathyroid hormone family
-
組織特異性:Ubiquitous. Also expressed in the mammary gland.
-
數據庫鏈接:
Most popular with customers
-
-
Phospho-YAP1 (S127) Recombinant Monoclonal Antibody
Applications: ELISA, WB, IHC
Species Reactivity: Human
-
-
-
-
-
-
VDAC1 Recombinant Monoclonal Antibody
Applications: ELISA, WB, IHC
Species Reactivity: Human, Mouse, Rat















