-
中文名稱:PRSS16兔多克隆抗體
-
貨號:CSB-PA882073LA01HU
-
規格:¥440
-
圖片:
-
Western Blot
Positive WB detected in: Rat liver tissue, Mouse liver tissue
All lanes: PRSS16 antibody at 3.2μg/ml
Secondary
Goat polyclonal to rabbit IgG at 1/50000 dilution
Predicted band size: 56 kDa
Observed band size: 56 kDa -
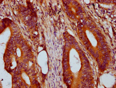
IHC image of CSB-PA882073LA01HU diluted at 1:400 and staining in paraffin-embedded human colon cancer performed on a Leica BondTM system. After dewaxing and hydration, antigen retrieval was mediated by high pressure in a citrate buffer (pH 6.0). Section was blocked with 10% normal goat serum 30min at RT. Then primary antibody (1% BSA) was incubated at 4°C overnight. The primary is detected by a biotinylated secondary antibody and visualized using an HRP conjugated SP system.
-
Immunofluorescence staining of Hela cells with CSB-PA882073LA01HU at 1:133, counter-stained with DAPI. The cells were fixed in 4% formaldehyde, permeabilized using 0.2% Triton X-100 and blocked in 10% normal Goat Serum. The cells were then incubated with the antibody overnight at 4°C. The secondary antibody was Alexa Fluor 488-congugated AffiniPure Goat Anti-Rabbit IgG(H+L).
-
-
其他:
產品詳情
-
產品名稱:Rabbit anti-Homo sapiens (Human) PRSS16 Polyclonal antibody
-
Uniprot No.:
-
基因名:PRSS16
-
別名:PRSS16 antibody; TSSP antibody; Thymus-specific serine protease antibody; EC 3.4.-.- antibody; Serine protease 16 antibody
-
宿主:Rabbit
-
反應種屬:Human, Mouse, Rat
-
免疫原:Recombinant Human Thymus-specific serine protease protein (352-489AA)
-
免疫原種屬:Homo sapiens (Human)
-
標記方式:Non-conjugated
本頁面中的產品,PRSS16 Antibody (CSB-PA882073LA01HU),的標記方式是Non-conjugated。對于PRSS16 Antibody,我們還提供其他標記。見下表:
-
克隆類型:Polyclonal
-
抗體亞型:IgG
-
純化方式:>95%, Protein G purified
-
濃度:It differs from different batches. Please contact us to confirm it.
-
保存緩沖液:Preservative: 0.03% Proclin 300
Constituents: 50% Glycerol, 0.01M PBS, pH 7.4 -
產品提供形式:Liquid
-
應用范圍:ELISA, WB, IHC, IF
-
推薦稀釋比:
Application Recommended Dilution WB 1:500-1:5000 IHC 1:200-1:500 IF 1:50-1:200 -
Protocols:
-
儲存條件:Upon receipt, store at -20°C or -80°C. Avoid repeated freeze.
-
貨期:Basically, we can dispatch the products out in 1-3 working days after receiving your orders. Delivery time maybe differs from different purchasing way or location, please kindly consult your local distributors for specific delivery time.
-
用途:For Research Use Only. Not for use in diagnostic or therapeutic procedures.
引用文獻
相關產品
靶點詳情
-
功能:Protease that may play a role in T-cell development.
-
基因功能參考文獻:
- the level of TSSP expression by thymic dendritic cells may modify the risk factors for multiple sclerosis conferred by some MHC class II haplotypes PMID: 29061767
- The genes HIST1H2BJ, PRSS16, and PGBD1 were not associated with Japanese patients with schizophrenia. PMID: 22488895
- ZNF804a regulates expression of the schizophrenia-associated genes PRSS16, COMT, PDE4B, and DRD2 PMID: 22384243
- The gene encoding thymus-specific serine protease (PRSS16) maps to the extended HLA complex, which harbours several genes predisposing for autoimmune diseases. PMID: 12140752
- data suggest that it is unlikely that polymorphisms within the PRSS16 gene are involved in the predisposition to diabetes type 1 PMID: 17584581
- our results identify PRSS16 and BTN3A2, two genes thought to play important roles in regulating the immune response, as potentially novel susceptibility genes for Type I diabetes. PMID: 19295542
顯示更多
收起更多
-
亞細胞定位:Cytoplasmic vesicle. Note=Vesicular, either lysosomal or endosomal.
-
蛋白家族:Peptidase S28 family
-
組織特異性:Expressed predominantly in cortical thymic epithelial cells.
-
數據庫鏈接:
Most popular with customers
-
-
Phospho-YAP1 (S127) Recombinant Monoclonal Antibody
Applications: ELISA, WB, IHC
Species Reactivity: Human
-
-
-
-
-
-















