PPP1R12A Antibody
-
中文名稱:PPP1R12A兔多克隆抗體
-
貨號:CSB-PA270132
-
規格:¥1100
-
圖片:
-
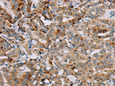
The image on the left is immunohistochemistry of paraffin-embedded Human thyroid cancer tissue using CSB-PA270132(PPP1R12A Antibody) at dilution 1/25, on the right is treated with fusion protein. (Original magnification: ×200)
-
Gel: 6%SDS-PAGE, Lysate: 40 μg, Lane 1-4: NIH/3T3 cells, A172 cells, hela cells, PC3 cells, Primary antibody: CSB-PA270132(PPP1R12A Antibody) at dilution 1/350, Secondary antibody: Goat anti rabbit IgG at 1/8000 dilution, Exposure time: 40 seconds
-
-
其他:
產品詳情
-
Uniprot No.:
-
基因名:
-
別名:M130 antibody; MBS antibody; Myosin binding subunit antibody; Myosin phosphatase target subunit 1 antibody; Myosin phosphatase targeting subunit 1 antibody; Myosin phosphatase-targeting subunit 1 antibody; MYPT1 antibody; MYPT1_HUMAN antibody; PPP1R12A antibody; Protein phosphatase 1 regulatory inhibitor subunit 12A antibody; Protein phosphatase 1 regulatory subunit 12A antibody; Protein phosphatase 1, regulatory (inhibitor) subunit 12A antibody; Protein phosphatase myosin binding subunit antibody; Protein phosphatase myosin-binding subunit antibody
-
宿主:Rabbit
-
反應種屬:Human,Mouse,Rat
-
免疫原:Fusion protein of Human PPP1R12A
-
免疫原種屬:Homo sapiens (Human)
-
標記方式:Non-conjugated
-
抗體亞型:IgG
-
純化方式:Antigen affinity purification
-
濃度:It differs from different batches. Please contact us to confirm it.
-
保存緩沖液:-20°C, pH7.4 PBS, 0.05% NaN3, 40% Glycerol
-
產品提供形式:Liquid
-
應用范圍:ELISA,WB,IHC
-
推薦稀釋比:
Application Recommended Dilution ELISA 1:2000-1:10000 WB 1:1000-1:5000 IHC 1:25-1:100 -
Protocols:
-
儲存條件:Upon receipt, store at -20°C or -80°C. Avoid repeated freeze.
-
貨期:Basically, we can dispatch the products out in 1-3 working days after receiving your orders. Delivery time maybe differs from different purchasing way or location, please kindly consult your local distributors for specific delivery time.
-
用途:For Research Use Only. Not for use in diagnostic or therapeutic procedures.
相關產品
靶點詳情
-
功能:Key regulator of protein phosphatase 1C (PPP1C). Mediates binding to myosin. As part of the PPP1C complex, involved in dephosphorylation of PLK1. Capable of inhibiting HIF1AN-dependent suppression of HIF1A activity.
-
基因功能參考文獻:
- PP2A dephosphorylates MYPT1(pThr696) and thereby stimulates MP activity inducing dephosphorylation of eNOS(pThr497) and the 20 kDa myosin II light chains. PMID: 28300193
- he phosphorylation of the MP inhibitory MYPT1(T850) and the regulatory PRMT5(T80) residues as well as the symmetric dimethylation of H2A/4 were elevated in human hepatocellular carcinoma and in other types of cancers. PMID: 28074910
- Results indicated that MYPT1 was down-regulated in GC tissues and cells, and is related to clinical stages and overall survival of GC. Functional research demonstrated that overexpression of MYPT1 can inhibit cell proliferation, cell cycle progression, and migration and invasion of GC cells. PMID: 29687789
- Thus, Cyclin A/Cdk1 phosphorylation primes MYPT1 for Plk1 binding. These data demonstrate cross-regulation between Cyclin A/Cdk1-dependent and Plk1-dependent phosphorylation of substrates during mitosis to ensure efficient correction of kinetochore microtubule attachment errors necessary for high mitotic fidelity. PMID: 29154753
- NO-induced cGMP signaling modulated RhoA/ROCK signaling in platelets, leading to the disinhibition of MLCP to control the phosphorylation of MLC and remodeling of platelet actin cytoskeleton. PMID: 28509344
- The authors call the mutual sequestration mechanism through which pCPI-17 and myosin light-chain phosphatase interact inhibition by unfair competition: myosin light-chain phosphatase protects pCPI-17 from other phosphatases, while pCPI-17 blocks other substrates from the active site of myosin light-chain phosphatase. PMID: 28387646
- Myosin light chain phosphatase (MLCP) is a master regulator of smooth muscle responsiveness to stimuli. (review) PMID: 28260704
- BLT2 ligation facilitates F-actin assembly with the upregulated phosphorylation of MYPT1. PMID: 26896822
- miR-30d and/or its target gene MYPT1 may serve as novel prognostic markers of PCa. miR-30d promotes tumor angiogenesis of PCa through MYPT1/c-JUN/VEGFA pathway. PMID: 28241827
- Study revealed the presence of two MYPT1 isoforms, full length and variant 2 in human intestinal (Caco-2) epithelial cells and isolated intestinal epithelial cells from mice. PMID: 27129938
- These results indicate that PPP1R12A indeed plays a role in skeletal muscle insulin signaling PMID: 24972320
- the relative expression of LZ+/LZ- MYPT1 isoforms, in part, defines the vascular response to NO and NO based vasodilators, and therefore, plays a role in the regulation of vascular tone in both health and disease PMID: 25168281
- Expression of NUAK1 is controlled by cyclin-dependent kinase, PLK1, and the SCFbetaTrCP (Skp, Cullin and F-boxbetaTrCP) E3 ubiquitin ligase complex. PMID: 24785407
- distinct roles of two inhibitory phosphorylation sites of MYPT1 PMID: 24712327
- in apoptotic cells, the myosin-binding domain of myosin phosphatase targeting subunit 1 is cleaved by caspase-3, and the cleaved MYPT1 is strongly phosphorylated at Thr-696 and Thr-853, phosphorylation of which is known to inhibit myosin II binding PMID: 23345589
- results suggested that during atherosclerosis progression oxidative stress mediates the downregulation of MYPT1, which may inhibit smooth muscle cell migration and contribute to the aberrant contractility PMID: 23419712
- Calcineurin may modulate the phosphorylation level of MLC20 by influencing the phosphorylation state of MYPT1 to regulate endothelial barrier function. PMID: 22869619
- Mypt1 colocalizes outside the nucleus with Nkx2.5 in a manner dependent on Wnt signaling and Rho-associated protein kinase. PMID: 23168335
- These findings provide evidence for the involvement of a particular PP1 complex, PPP1R12A/PP1cdelta, in insulin signaling. PMID: 22728334
- Site-specific phosphorylation of protein phosphatase 1 regulatory subunit 12A stimulated or suppressed by insulin. PMID: 22516431
- Phosphorylation of MYPT1 (Thr853) changes dynamically with each contraction of the myometrium regulated by Rho-kinase. PMID: 22155728
- It found deoxyribonucleic acid (DNA) damage-induced LATS1 activation caused PLK1 suppression via the phosphorylation of MYPT1 S445. PMID: 22641346
- MYPT1 variant 2 shows decreased binding affinity compared to MYPT1 long for radixin (novel MLCP substrate and a member of ERM family proteins). PMID: 21678426
- the defective protein level of MYPT1 in the diabetes mellitus (DM) group can partially explain the poor patency of saphenous vein graft harvested from patients with DM. PMID: 21821002
- Myosin phosphatase-targeting subunit 1 controls chromatid segregation. PMID: 21252232
- hHS-M(21) is a heart-specific effector of ROCK and plays a regulatory role in the MYPT1 phosphorylation at Thr-696 by ROCK PMID: 20801872
- cAMP/PKA regulates the endothelial barrier via inhibition of the contractile machinery, mainly by the activation of MLCP via inhibition of CPI-17 and RhoA/Rock. PMID: 20202976
- Findings define a new conserved pathway in which sexual development and pregnancy mediate smooth and striated muscle adaptations through SMTNL1 and MYPT1. PMID: 20634291
- Solution structure of the inhibitory phosphorylation domain of myosin phosphatase targeting subunit 1 PMID: 19701943
- The ability of myosin phosphatase to modulate myosin light chain might be regulated by the degradation of its targeting subunit MYPT1 through the SIAH2-ubiquitin-proteasomal pathway. PMID: 19744480
- Integrin-linked kinase phosphorylates the myosin phosphatase target subunit at the inhibitory site in platelet cytoskeleton. PMID: 11931630
- Proper expression of MYPT1 or variant 2 is critical for RLC phosphorylation and actin assembly, thus maintaining normal cellular functions by simultaneously controlling cytoskeletal architecture and actomyosin activation. PMID: 15748895
- Stable transfection of HEK 293 cells with GFP-MYPT1 was obtained. MYPT1 and its N-terminal mutants bound to retinoblastoma protein (Rb), raising the possibility that Rb is implicated in the effects caused by overexpression of MYPT1. PMID: 15999227
- the leucine-zipper motif of PKG binds to that of MYPT1 to form a heterodimer; when the leucine-zipper motif of MYPT1 is absent, the PKG leucine-zipper motif binds to the coiled coil region and upstream segments of MYPT1 via formation of a heterotetramer PMID: 17904578
- These data suggests different phosphorylation and regulation of MYPT1 activity by NUAK2. PMID: 18023418
- both eEF1A and MYPT1 have roles in EGCG signaling for cancer prevention through 67LR PMID: 18079119
- These results identify a previously unrecognized role for MYPT1 in regulating mitosis by antagonizing PLK1. PMID: 18477460
- MYPT1 may regulate the phosphorylation level of pRb, thereby it may be involved in the control of cell cycle progression and in the mediation of chemoresistance of leukemic cells. PMID: 18755268
- Apolipoprotein(a), through its strong lysine-binding site in KIV(10'), mediates increased endothelial cell contraction and permeability via a Rho/Rho kinase/MYPT1-dependent pathway. PMID: 18776185
- Results show that expression of MYPT1 enhances HIF-CAD activity in a manner consistent with competition for FIH and that this property extends to other ARD proteins. PMID: 19245366
- MYPT1 phosphorylation at Thr-696 and Thr-853 causes an autoinhibition of MLCP that accounts for Ca(2+) sensitization of smooth muscle force PMID: 19531490
顯示更多
收起更多
-
亞細胞定位:Cytoplasm. Cytoplasm, cytoskeleton, stress fiber.
-
組織特異性:Expressed in striated muscles, specifically in type 2a fibers (at protein level).
-
數據庫鏈接:
Most popular with customers
-
-
Phospho-YAP1 (S127) Recombinant Monoclonal Antibody
Applications: ELISA, WB, IHC
Species Reactivity: Human
-
-
-
-
-
-















