PELI1 Antibody
-
中文名稱:PELI1兔多克隆抗體
-
貨號:CSB-PA856932ESR1HU
-
規格:¥440
-
圖片:
-
Western blot
All lanes: PELI1 antibody at 7µg/ml
Lane 1: HL60 whole cell lysate
Lane 2: Mouse liver tissue
Lane 3: THP-1 whole cell lysate
Secondary
Goat polyclonal to rabbit IgG at 1/10000 dilution
Predicted band size: 46 kDa
Observed band size: 46 kDa -
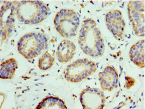
Immunohistochemistry of paraffin-embedded human breast cancer using CSB-PA856932ESR1HU at dilution of 1:100
-
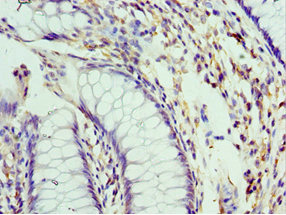
Immunohistochemistry of paraffin-embedded human colon cancer using CSB-PA856932ESR1HU at dilution of 1:100
-
-
其他:
產品詳情
-
產品名稱:Rabbit anti-Homo sapiens (Human) PELI1 Polyclonal antibody
-
Uniprot No.:
-
基因名:PELI1
-
別名:E3 ubiquitin-protein ligase pellino homolog 1 antibody; PELI1 antibody; PELI1_HUMAN antibody; Pellino E3 ubiquitin protein ligase 1 antibody; Pellino homolog 1 antibody; Pellino protein antibody; Pellino-1 antibody; Pellino-related intracellular-signaling molecule antibody; Pellino1 antibody; PRISM antibody; Protein pellino homolog 1 antibody
-
宿主:Rabbit
-
反應種屬:Human, Mouse
-
免疫原:Recombinant Human E3 ubiquitin-protein ligase pellino homolog 1 protein (1-250AA)
-
免疫原種屬:Homo sapiens (Human)
-
標記方式:Non-conjugated
-
克隆類型:Polyclonal
-
抗體亞型:IgG
-
純化方式:Antigen Affinity Purified
-
濃度:It differs from different batches. Please contact us to confirm it.
-
保存緩沖液:PBS with 0.02% sodium azide, 50% glycerol, pH7.3.
-
產品提供形式:Liquid
-
應用范圍:ELISA, WB, IHC
-
推薦稀釋比:
Application Recommended Dilution WB 1:200-1:1000 IHC 1:20-1:200 -
Protocols:
-
儲存條件:Upon receipt, store at -20°C or -80°C. Avoid repeated freeze.
-
貨期:Basically, we can dispatch the products out in 1-3 working days after receiving your orders. Delivery time maybe differs from different purchasing way or location, please kindly consult your local distributors for specific delivery time.
-
用途:For Research Use Only. Not for use in diagnostic or therapeutic procedures.
相關產品
靶點詳情
-
功能:E3 ubiquitin ligase catalyzing the covalent attachment of ubiquitin moieties onto substrate proteins. Involved in the TLR and IL-1 signaling pathways via interaction with the complex containing IRAK kinases and TRAF6. Mediates 'Lys-63'-linked polyubiquitination of IRAK1 allowing subsequent NF-kappa-B activation. Mediates 'Lys-48'-linked polyubiquitination of RIPK3 leading to its subsequent proteasome-dependent degradation; preferentially recognizes and mediates the degradation of the 'Thr-182' phosphorylated form of RIPK3. Negatively regulates necroptosis by reducing RIPK3 expression. Mediates 'Lys-63'-linked ubiquitination of RIPK1.
-
基因功能參考文獻:
- Overexpression of Peli1 inhibits noncanonical NF-kappaB activation and alleviates lupus-like disease. PELI1 levels negatively correlate with disease severity in SLE patients. PMID: 29555915
- Pellino-1 may be critically important for cell survival. PMID: 29860626
- This study demonstrates Pellino 1 (PELI1) as an important modulator that exerts opposite regulatory functions on apoptosis and necroptosis, two distinct forms of regulated cell death mechanisms. PMID: 29078411
- The study demonstrates that cytosolic Pellino-1-mediated K63-linked ubiquitination of IRF5 in M1 macrophages regulates glucose intolerance in obesity, suggesting a cytosolic mediator function of Pellino-1 in TLR4/IFN-gamma receptor-IRF5 axis during M1 polarization. PMID: 28746869
- Pellino 1 expression acts as an inhibitory signal of the homeostatic regulation of mitotic cell cycle and checkpoint, and thus contributes to the initiation and progression of neoplastic chromosome aneuploidy. PMID: 28410192
- Pellino-1 overexpression activated PI3K/Akt and ERK signaling pathways and elicited an epithelial-mesenchymal transition (EMT) phenotype of lung adenocarcinoma cells. Pellino-1-mediated EMT was demonstrated through morphology, the upregulation of Vimentin, Slug and Snail expression and the downregulation of E-cadherin and beta-catenin expression. PMID: 28009353
- Results indicate that Pellino-1 contributes to lung oncogenesis through the overexpression of inhibitor of apoptosis protein 2 (cIAP2) and promotion of cell survival and chemoresistance. PMID: 27248820
- Our results suggest that PELI1 might participate in B-cell maturation or oncogenic activation of aggressive B-cell lymphomas, both during and after germinal center stages PMID: 27469333
- The combination of low Pellino3 levels together with high and inducible Pellino1 expression may be an important determinant of the degree of inflammation triggered upon Toll-like receptor 2 engagement by Helicobacter pylori and/or its components, contributing to Helicobacter pylori-associated pathogenesis by directing the incoming signal toward an NF-kB-mediated proinflammatory response. PMID: 27302665
- Our observations suggested that Peli-1 gene polymorphism rs329498 might contribute to SLE susceptibility in Chinese Han Population. PMID: 27018966
- The study results in the Chinese Han population showed that PELI1 is a member of a constellation of genetic factors that may contribute to the pathogenesis of systemic lupus erythematosus. PMID: 25712248
- Increased PELI1 expression and subsequent induction of BCL6 promotes lymphomagenesis. PMID: 25295537
- Peptide PEL1 derived from the interleukin-1 receptor-associated kinase (IRAK)1-binding motif reveals a distinct phosphothreonine peptide binding preference. PMID: 25027698
- GWAS study found two new SNPs associated with nickel dermatitis; SNPs are located in the NTN4 and PELI1 genes PMID: 23921680
- Pellino1 interacts with the transcription factor Deformed Epidermal Autoregulatory Factor 1 (DEAF1). PMID: 23846693
- incomplete KD, IVIG nonresponsiveness, long febrile days, and the rs7604693 genetic variant in the PELI1 gene are major risk factors for the development of CALs PMID: 22105492
- role in interleukin-1-mediated signalling through interaction with interleukin-1 receptor-associated kinase 4-IRAK-tumor necrosis factor receptor-associated factor 6 complex PMID: 12496252
- Smad6 bound to Pellino-1 promoted TGF-beta-mediated anti-inflammatory effects. PMID: 16951688
- kinase-inactive IRAK proteins can associate with Pellino proteins, thus excluding the possibility that their inability to regulate Pellino degradation is due to lack of association with the Pellino proteins PMID: 17675297
顯示更多
收起更多
-
蛋白家族:Pellino family
-
組織特異性:Expressed at high levels in normal skin but decreased in keratinocytes from toxic epidermal necrolysis (TEN) patients (at protein level).
-
數據庫鏈接:
Most popular with customers
-
-
Phospho-YAP1 (S127) Recombinant Monoclonal Antibody
Applications: ELISA, WB, IHC
Species Reactivity: Human
-
-
-
-
-
-















