P2RX2 Antibody
-
中文名稱:P2RX2兔多克隆抗體
-
貨號:CSB-PA211403
-
規格:¥1100
-
圖片:
-
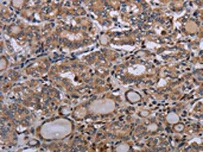
The image on the left is immunohistochemistry of paraffin-embedded Human thyroid cancer tissue using CSB-PA211403(P2RX2 Antibody) at dilution 1/50, on the right is treated with synthetic peptide. (Original magnification: ×200)
-
The image on the left is immunohistochemistry of paraffin-embedded Human cervical cancer tissue using CSB-PA211403(P2RX2 Antibody) at dilution 1/50, on the right is treated with synthetic peptide. (Original magnification: ×200)
-
Gel: 8%SDS-PAGE, Lysate: 40 μg, Lane: Mouse brain tissue, Primary antibody: CSB-PA211403(P2RX2 Antibody) at dilution 1/300, Secondary antibody: Goat anti rabbit IgG at 1/8000 dilution, Exposure time: 1 minute
-
-
其他:
產品詳情
-
Uniprot No.:
-
基因名:
-
別名:ATP receptor antibody; MGC129601 antibody; P2RX 2 antibody; P2RX2 antibody; P2RX2_HUMAN antibody; P2X purinoceptor 2 antibody; P2X Receptor subunit 2 antibody; P2X2 antibody; P2X2a antibody; Purinergic receptor antibody; Purinergic receptor P2X ligand gated ion channel 2 antibody; Purinergic receptor P2X2 isoform A antibody; Purinergic receptor P2X2 isoform B antibody; Purinergic receptor P2X2 isoform C antibody; Purinergic receptor P2X2 isoform D antibody; Purinergic receptor P2X2 isoform H antibody; Purinergic receptor P2X2 isoform I antibody
-
宿主:Rabbit
-
反應種屬:Human,Mouse
-
免疫原:Synthetic peptide of Human P2RX2
-
免疫原種屬:Homo sapiens (Human)
-
標記方式:Non-conjugated
-
抗體亞型:IgG
-
純化方式:Antigen affinity purification
-
濃度:It differs from different batches. Please contact us to confirm it.
-
保存緩沖液:-20°C, pH7.4 PBS, 0.05% NaN3, 40% Glycerol
-
產品提供形式:Liquid
-
應用范圍:ELISA,WB,IHC
-
推薦稀釋比:
Application Recommended Dilution ELISA 1:2000-1:5000 WB 1:500-1:2000 IHC 1:50-1:200 -
Protocols:
-
儲存條件:Upon receipt, store at -20°C or -80°C. Avoid repeated freeze.
-
貨期:Basically, we can dispatch the products out in 1-3 working days after receiving your orders. Delivery time maybe differs from different purchasing way or location, please kindly consult your local distributors for specific delivery time.
-
用途:For Research Use Only. Not for use in diagnostic or therapeutic procedures.
相關產品
靶點詳情
-
功能:Ion channel gated by extracellular ATP involved in a variety of cellular responses, such as excitatory postsynaptic responses in sensory neurons, neuromuscular junctions (NMJ) formation, hearing, perception of taste and peristalsis. In the inner ear, regulates sound transduction and auditory neurotransmission, outer hair cell electromotility, inner ear gap junctions, and K(+) recycling. Mediates synaptic transmission between neurons and from neurons to smooth muscle.
-
基因功能參考文獻:
- identified P2RX2, KCNQ5, ERBB3 and SOCS3 to be associated with the progression of age-related hearing impairment PMID: 29325454
- These findings indicate that the CaMKII-mediated GluA1 phosphorylation of S567 and S831 is critical for P2X2-mediated AMPAR internalization and ATP-driven synaptic depression. PMID: 27624155
- Data show that monoclonal antibodies directed against human P2X3 (12D4) potentiated the slow inactivating current mediated by the heteromeric purinergic receptor hP2X2/3 channel. PMID: 27129281
- Results demonstrate that the stoichiometry of the heterotrimeric hP2X2/3 receptor is not fixed, but determined by the relative availability of P2X2 and P2X3 subunits PMID: 26184350
- The results from this study demonstrate that there is a significant difference in the expression of the purinergic P2X2, P2X3 and P2X7 receptors in the different histological layers of the human urinary bladder. PMID: 26253104
- A novel mutation in the P2RX2 gene was identified in a MELAS family. PMID: 25788561
- The locus designated DFNA41 maps to a 15 cM region on chromosome 12q24.32-qter, proximal to the marker D12S1609. PMID: 12161595
- Molecular analyses of P2RX2 identified a novel missense mutation. PMID: 24211385
- Data indicate that the P2X2(I328C) receptor was activated by propyl-methanethiosulfonate (MTS) as effectively as by ATP. PMID: 24273165
- Data indicate that MgATP2- activates P2X1 and P2X3, but not P2X2 and P2X4 receptors. PMID: 23959888
- the contribution of the extracellular, transmembrane, and intracellular segments to recovery from desensitization PMID: 23740251
- analysis of dominantly inherited, progressive sensorineural hearing loss DFNA41 in a six-generation kindred revealed a rare heterozygous allele, P2RX2 c.178G > T (p.V60L), at chr12:133,196,029, which cosegregated with fully penetrant hearing loss PMID: 23345450
- trimeric P2X receptors containing only two intact binding sites can be readily activated by ATP. PMID: 22828800
- High potency zinc modulation of human P2X2 receptors and low potency zinc modulation of rat P2X2 receptors share a common molecular mechanism PMID: 22556417
- one subunit of P2X2 and two subunits of P2X3 form P2X2/3 heteromeric receptors, whereas two subunits of P2X2 and one subunit of P2X6 constitute P2X2/6 receptors PMID: 22378790
- Studies indicate that P2X1, P2X2, and P2X4 receptors are detected in preglomerular microvessels. PMID: 21768526
- analysis of agonists trapped in ATP-binding sites of the P2X2 receptor PMID: 21576497
- GABA(A) receptor dynamics are regulated by interaction with purinergic P2X(2) receptors PMID: 21343285
- Data suggest that interactions between alpha3beta4 nAChRs and P2X2 receptors may modulate transmission at enteric synapses that use ATP and acetylcholine as co-transmitters. PMID: 20426799
- Lipid raft association and cholesterol sensitivity of P2X1-4 receptors for ATP PMID: 20699225
- Whole-cell voltage clamp recordings functionally correlated immunolocalisation of ATP-gated ion channels in isolated hair cells and supporting cells. P2X immunoreactivity was widespread throughout the epithelial lining of the cochlea. PMID: 12395104
- Data provide biochemical evidence that in addition to the rapidly desensitising P2X1 and P2X3 receptors, the slowly desensitising subtypes P2X2, P2X4, and P2X5 are trimers of identical subunits. PMID: 15313628
- Effect of acute hypoxia on cloned homo- and heteromeric P2X2 receptors expressed in human embryonic kidney 293 cells. PMID: 15331767
- P2X(2) receptors are trimers, whereas the P2X(6) receptor subunits do not form stable oligomers PMID: 15657042
- support a common site of ATP action at P2X receptors and suggest that non-conserved residues also play a regulatory role in agonist action PMID: 18487206
- VILIP1 constitutively binds to P2X2 receptors and displays enhanced interactions in an activation- and calcium-dependent manner owing to exposure of its binding segment in P2X2 receptors PMID: 18922787
- Specimens (12/15) from patients with spinal cord lesions and specimens (8/11) demonstrated strong staining for P(2)X(2) receptors in the detrusor muscle and the urothelium. PMID: 19104511
- Intracellular cysteine430 residue mediates the potentiation of P2X2 receptor activity by reactive oxygen species. PMID: 19793987
顯示更多
收起更多
Most popular with customers
-
-
Phospho-YAP1 (S127) Recombinant Monoclonal Antibody
Applications: ELISA, WB, IHC
Species Reactivity: Human
-
-
-
-
-
-















