ODC1 Antibody
-
中文名稱:ODC1兔多克隆抗體
-
貨號:CSB-PA818178
-
規格:¥1100
-
圖片:
-
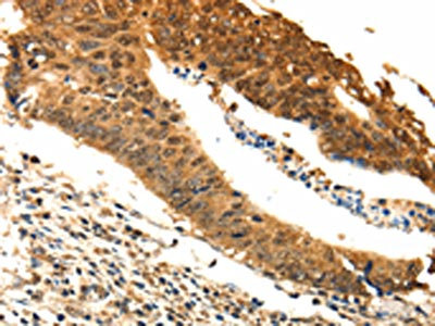
The image on the left is immunohistochemistry of paraffin-embedded Human colon cancer tissue using CSB-PA818178(ODC1 Antibody) at dilution 1/25, on the right is treated with fusion protein. (Original magnification: ×200)
-
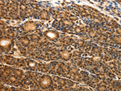
The image on the left is immunohistochemistry of paraffin-embedded Human thyroid cancer tissue using CSB-PA818178(ODC1 Antibody) at dilution 1/25, on the right is treated with fusion protein. (Original magnification: ×200)
-
-
其他:
產品詳情
-
Uniprot No.:
-
基因名:ODC1
-
別名:DCOR_HUMAN antibody; Dodc1 antibody; Odc 1 antibody; ODC antibody; Odc1 antibody; ODC2 antibody; Ornithine decarboxylase 1 antibody; Ornithine decarboxylase 2 antibody; Ornithine decarboxylase antibody; Ornithine decarboxylase structural 1 antibody; RNODC antibody
-
宿主:Rabbit
-
反應種屬:Human,Mouse,Rat
-
免疫原:Fusion protein of Human ODC1
-
免疫原種屬:Homo sapiens (Human)
-
標記方式:Non-conjugated
-
抗體亞型:IgG
-
純化方式:Antigen affinity purification
-
濃度:It differs from different batches. Please contact us to confirm it.
-
保存緩沖液:-20°C, pH7.4 PBS, 0.05% NaN3, 40% Glycerol
-
產品提供形式:Liquid
-
應用范圍:ELISA,IHC
-
推薦稀釋比:
Application Recommended Dilution ELISA 1:1000-1:5000 IHC 1:25-1:100 -
Protocols:
-
儲存條件:Upon receipt, store at -20°C or -80°C. Avoid repeated freeze.
-
貨期:Basically, we can dispatch the products out in 1-3 working days after receiving your orders. Delivery time maybe differs from different purchasing way or location, please kindly consult your local distributors for specific delivery time.
-
用途:For Research Use Only. Not for use in diagnostic or therapeutic procedures.
相關產品
靶點詳情
-
功能:Catalyzes the first and rate-limiting step of polyamine biosynthesis that converts ornithine into putrescine, which is the precursor for the polyamines, spermidine and spermine. Polyamines are essential for cell proliferation and are implicated in cellular processes, ranging from DNA replication to apoptosis.
-
基因功能參考文獻:
- Extracellular polyamines induced proliferation and cancer cell migration by inducing ODC and SSAT expression, and the Akt1-mediated pathway. PMID: 28157137
- Ornithine decarboxylase (ODC) plays a key role in prostate tumorigenesis and that the polyamine pathway is altered as early as high-grade prostate intraepithelial neoplasia (HGPIN). PMID: 27770613
- Findings suggest that targeting ornithine decarboxylase 1 (ODC1) could be an attractive option for molecular therapy of hepatocellular carcinoma (HCC). PMID: 27592554
- Binding of RS1-Reg to ODC1 inhibits the enzymatic activity at low intracellular glucose, which is blunted at high intracellular glucose. PMID: 27555600
- mechanistic study of the molecular interactions between antizyme inhibitor and its interacting proteins CCND1 and ornithine decarboxylase PMID: 26172301
- We earlier presented evidence for a physical interaction between ODC and SPR and we showed that RNAi-mediated knockdown of SPR expression significantly reduced native ODC enzyme activity and impeded Neuroblastoma cell proliferation. PMID: 26093909
- Bag-1 indirectly affects cell survival through c-Myc activated signalling that causes elevation of ornithine decarboxylase levels, leading to an increase of the polyamine content. PMID: 26178413
- High ODC expression is associated with Medulloblastoma. PMID: 26460945
- Data suggest that down-regulation of ODC (using siRNA or pharmacologic inhibitor) in bone marrow-derived mesenchymal stem cells results in reduced intracellular polyamines (putrescine, spermidine, and spermine) and enhanced osteogenesis. PMID: 26140984
- tumor ornithine decarboxylase level heterogeneity increased with increasing tumor malignancy PMID: 17582600
- The results suggested that the ODC gene might act as a prognostic factor for breast cancer and it could be a promising therapeutic target. PMID: 18330478
- BTF3, HINT1, NDRG1 and ODC1 protein over-expression in human prostate cancer tissue PMID: 24386364
- Akt activation by ODC+COX-2 over-expression. PMID: 24260338
- Authors identified SPR as a novel regulator of ODC enzyme activity and, based on clinical evidence, present a model in which SPR drives ODC-mediated malignant progression in neuroblastoma. PMID: 24096079
- ODC overexpression suppresses the expression of tumstatin, which may provide fundamental evidence for the combination of anti-angiogenic therapy and conventional therapy for cancer treatment. PMID: 24002681
- The results of this study suggest that specific genetic variants in a subset of glutamatergic (GRIN2B) and polyaminergic (ODC1) neurosystem genes may be of importance in certain suicidal subjects. PMID: 22850629
- There are five conserved residues in ODC. PMID: 23872168
- Based on the investigation of the polyamine metabolite pathway, these data establish that the downstream metabolites of ornithine are increased, potentially implicating ornithine decarboxylase activity in AD pathology. PMID: 23917584
- Overexpression of antizyme (AZ), an ornithine decarboxylase (ODC) inhibitory protein, suppressed ERalpha expression, suggesting that ODC plays an important role in regulation of ERalpha expression. PMID: 22976807
- Introduction of a fluorine atom at C3 of 3-deazauridine shifts its antimetabolic activity from inhibition of CTP synthetase to inhibition of orotidylate decarboxylase, an early event in the de novo pyrimidine nucleotide biosynthesis pathway. PMID: 22730407
- Variants of the ornithine decarboxylase gene influence risk of colorectal adenoma and aspirin chemoprevention. PMID: 21930798
- the mechanism of formation of the internal aldimine, a common intermediate to most pyridoxal 5'-phosphate (PLP)-dependent enzymes PMID: 21854048
- There was no significant association between ODC G316A and risk of colorectal cancer for either heterozygotes or rare allele homozygotes. PMID: 20456464
- Studies provide lead compounds for inhibitors of ornithine decarboxylase and human histidine decarboxylase. PMID: 21454364
- Gingival ornithine decarboxylase levels were higher in the gingivitis group compared to the periodontitis and healthy groups at baseline. PMID: 20831369
- Overexpression of ODC suppresses thapsigargin-induced apoptosis, blocks caspase-4 activation and PERK phosphorylation,and attenuates CHOP expression. It inhibits Bak increase and maintains Bcl-2 expression, blocking the intrinsic pathway of apoptosis. PMID: 20814750
- Ornithine decarboxylase induces hypomethylation of genome DNA and histone H3 lysine 9 dimethylation in human oral cancer cell line. PMID: 20838441
- ODC activity, which AZIN2 is assumed to regulate, is strongly associated with cell growth and transformation. PMID: 19832840
- Low Ornithine decarboxylase mRNA expression is associated with more aggressive non-small-cell lung cancer. PMID: 20199977
- Overexpression of ornithine decarboxylase enhances endothelial proliferation by suppressing endostatin expression. PMID: 11830503
- ODC activity reflects aggressive growth and malignization in meningiomas. PMID: 15015770
- Data show that expressing whole proteins, protein domains, or peptide ligands fused to the N terminus of ornithine decarboxylase promotes proteasome-dependent degradation of these chimeric fusion proteins and their interacting cellular target proteins. PMID: 16219697
- review of key factors that contribute to the regulation of ornithine decarboxylase levels, which can occur at the levels of transcription, translation, and protein turnover [review] PMID: 16459331
- findings show that antibody-bound amyloid precursor protein induces expression of ornithine decarboxylase PMID: 16469300
- Data suggest that prolaction-mediated induction of ornithine decarboxylase activity enhances expression of Bcl-2 strongly enough to bring about prolactin's anti-apoptotic function. PMID: 16520895
- This is the first report showing the existence of a causal relationship between ornithine decarboxylase expression, Erk and p38 MAP kinase activation, and MMP-2 expression. PMID: 17088079
- no association observed between the ODC ploymorphism and H. pylori seropositivity; results did not support the hypothesis that the different genetic traits in the ODC-polyamine pathway are associated with susceptibility to persistent H. pylori infection PMID: 17378176
- The expression of ornithine decarboxylase is positively correlated with the degree of malignity of gastric mucosa and development of gastric lesions. PMID: 17569126
- Among colorectal cancer patients, ODC activity in cancer tissue was correlated with T factors, lymph node metastasis and stages. PMID: 17957960
- Antisense RNA specifically inhibited the expression of ODC and AdoMetDC and the synthesis of polyamine, while it induced p21 expression, resulting in cell growth arrest in the G1 phase in prostate cancer cells. PMID: 18548481
- Elevated ODC1 (independent of MYCN amplification) was associated with reduced survival in a large independent neuroblastoma cohort. PMID: 19047152
- sporadic breast cancer, the presence of at least one A allele in ornithine decarboxylase is protective against the disease. PMID: 19225907
- The ODC1 SNP may be protective for colon adenoma recurrence and detrimental for survival after colon cancer diagnosis. PMID: 19789310
顯示更多
收起更多
-
蛋白家族:Orn/Lys/Arg decarboxylase class-II family
-
數據庫鏈接:
Most popular with customers
-
-
Phospho-YAP1 (S127) Recombinant Monoclonal Antibody
Applications: ELISA, WB, IHC
Species Reactivity: Human
-
-
-
-
-
-















