-
中文名稱:MITF兔多克隆抗體
-
貨號:CSB-PA014595LA01HU
-
規格:¥440
-
圖片:
-
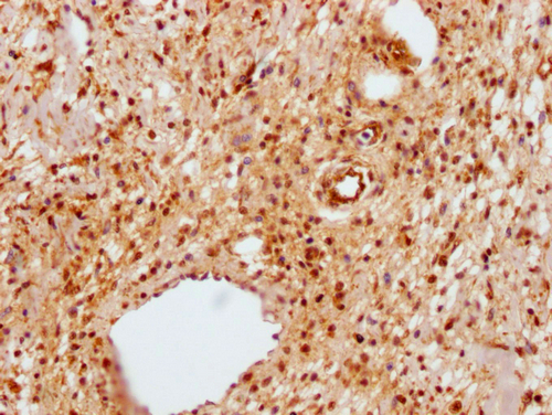
IHC image of CSB-PA014595LA01HU diluted at 1:100 and staining in paraffin-embedded human skin tissue performed on a Leica BondTM system. After dewaxing and hydration, antigen retrieval was mediated by high pressure in a citrate buffer (pH 6.0). Section was blocked with 10% normal goat serum 30min at RT. Then primary antibody (1% BSA) was incubated at 4°C overnight. The primary is detected by a Goat anti-rabbit polymer IgG labeled by HRP and visualized using 0.05% DAB.
-
-
其他:
產品詳情
-
產品名稱:Rabbit anti-Homo sapiens (Human) MITF Polyclonal antibody
-
Uniprot No.:
-
基因名:
-
別名:Microphthalmia-associated transcription factor (Class E basic helix-loop-helix protein 32) (bHLHe32), MITF, BHLHE32
-
宿主:Rabbit
-
反應種屬:Human
-
免疫原:Recombinant Human Microphthalmia-associated transcription factor protein (40-269aa)
-
免疫原種屬:Homo sapiens (Human)
-
標記方式:Non-conjugated
本頁面中的產品,MITF Antibody (CSB-PA014595LA01HU),的標記方式是Non-conjugated。對于MITF Antibody,我們還提供其他標記。見下表:
-
克隆類型:Polyclonal
-
抗體亞型:IgG
-
純化方式:>95%, Protein G purified
-
濃度:It differs from different batches. Please contact us to confirm it.
-
保存緩沖液:Preservative: 0.03% Proclin 300
Constituents: 50% Glycerol, 0.01M PBS, pH 7.4 -
產品提供形式:Liquid
-
應用范圍:ELISA, IHC
-
推薦稀釋比:
Application Recommended Dilution IHC 1:100-1:500 -
Protocols:
-
儲存條件:Upon receipt, store at -20°C or -80°C. Avoid repeated freeze.
-
貨期:Basically, we can dispatch the products out in 1-3 working days after receiving your orders. Delivery time maybe differs from different purchasing way or location, please kindly consult your local distributors for specific delivery time.
-
用途:For Research Use Only. Not for use in diagnostic or therapeutic procedures.
引用文獻
相關產品
靶點詳情
-
功能:Transcription factor that regulates the expression of genes with essential roles in cell differentiation, proliferation and survival. Binds to M-boxes (5'-TCATGTG-3') and symmetrical DNA sequences (E-boxes) (5'-CACGTG-3') found in the promoters of target genes, such as BCL2 and tyrosinase (TYR). Plays an important role in melanocyte development by regulating the expression of tyrosinase (TYR) and tyrosinase-related protein 1 (TYRP1). Plays a critical role in the differentiation of various cell types, such as neural crest-derived melanocytes, mast cells, osteoclasts and optic cup-derived retinal pigment epithelium.
-
基因功能參考文獻:
- Results show that MITF is highly expressed in myeloma cells and regulates cdk2 expression to drive cell resistance to both BRAF and Hsp90 inhibitors. PMID: 29507054
- Data show that glycogen synthase kinase 3 (GSK3) and proto-oncogene proteins B-raf (BRAF)/MAPK signaling converges to control microphthalmia-associated transcription factor MITF (MITF) nuclear export. PMID: 30150413
- Our results provide a new molecular insights into how MITF mutations can lead to different phenotypes of WS2 through Wnt/beta-catenin signaling pathway. PMID: 29531335
- The present study reports a novel mutation, c.718C>G; p. (Arg240Gly) in the melanogenesis associated transcription factor gene, in Han people with hearing loss. PMID: 29484430
- Studied microphthalmia-associated transcription factor (Mitf) upregulation and melanogenesis enhanced by Cymbopogon schoenanthus phenol extracts. PMID: 29359158
- the essential melanocyte-specific transcription factor MITF regulates expression of the MYO5A gene, which encodes the molecular motor myosin-Va. PMID: 27939378
- The above observations support the idea that primary and metastatic melanomas comprise not only MITF-high and MITF-low cells, but also subpopulations expressing markers of both signatures. Combinations of the three cell populations may be adjacent or intermixed contributing to the spatial heterogeneity of the tumors. PMID: 28855355
- The SH3BP4 is transcriptionally regulated by MITF as its direct target. PMID: 28819321
- demonstrate that the FANC pathway acts downstream MiTF and establish the existence of an epistatic relationship between MiTF and the FANC pathway PMID: 27827420
- MITF expression levels may be determined in hepatic cancer cells by the balance between the Hedgehog signaling and the cellular stress. PMID: 28794318
- Data strongly suggest that glucose deprivation suppresses MITF expression through reactive oxygen species-induced ATF4 up-regulation, which in turn results in reduced melanoma cell proliferation. PMID: 28380427
- Authors showed that overexpression of MITF-A leads to a substantial increase of nephron number and bigger kidneys, whereas Mitfa deficiency results in reduced nephron number. PMID: 29240767
- MITF may play a role in the development of acquired drug resistance through hyper-activation of the PI3K pathway. PMID: 27391157
- Mutations in MITF gene is associated with Waardenburg syndrome type 2A . PMID: 29094203
- A sumoylation-defective germline mutation in microphthalmia-associated transcription factor (MITF), a master regulator of melanocyte homeostasis, is associated with the development of melanoma. [review] PMID: 28825724
- Single Nucleotide Polymorphism in MITF gene is associated with facial solar lentigines. PMID: 27327535
- Phosphorylation of MITF by AKT affects its downstream targets and causes TP53-dependent cell senescence PMID: 27702651
- we identified two novel MITF mutations in patients with TS/WS2A. Our results suggest that posterior microphthalmos might be part of the clinical characteristics of Tietz/Waardenburg syndrome type 2A and expand both the clinical and molecular spectrum of the disease. PMID: 27604145
- Data show that poly(ADP-ribose) polymerase 1 (PARP1)-mediated senescence rescue was accompanied by transcriptional activation of the melanocyte-lineage survival oncogene MITF, indicating a role for PARP1 in melanomagenesis. PMID: 28759004
- MITF is a direct target of miR-137. PMID: 26845432
- Study found in melanoma cell lines that ILEI is highly expressed in MITF-low invasive cells, and that phenotype switching between the MITF-low invasive state and the MITF-high proliferative state can alter ILEI expression. PMID: 28545079
- Suppression of MITF activity by UCHL1 via protein degradation might aid in the development of new therapeutic approaches for melanoma or dyspigmentation disorders. PMID: 28392346
- The results of the present study have provided new and surprising insights into the effect of Bcl-2 overexpression in melanoma cells, namely that Bcl-2 modulates MITF nuclear activity. PMID: 26599548
- Insight into molecular interactions between CRD-BP and MITF mRNA. PMID: 28182633
- Our data uncover novel mechanisms linking MITF-dependent inhibition of invasion to suppression of guanylate metabolism. PMID: 27181209
- our results demonstrate that AR can promote melanoma metastasis via altering the miRNA-539-3p/USP13/MITF/AXL signal and targeting this newly identified signal with AR degradation enhancer ASC-J9 may help us to better suppress the melanoma metastasis. PMID: 27869170
- Basic functions of MITF in melanocytes and melanoma are reviewed. PMID: 28263292
- Our results demonstrate that MITF-E318K reduces the program of senescence to potentially favor melanoma progression in vivo. PMID: 28376192
- The germline variant MITF, p.E318K is associated with an increased risk of other neural crest-derived tumors such as PCC/PGL. PMID: 27680874
- microenvironmental cues, including inflammation-mediated resistance to adoptive T-cell immunotherapy, transcriptionally repress MITF via ATF4 in response to inhibition of translation initiation factor eIF2B PMID: 28096186
- GPER enhances melanogenesis via PKA by upregulating microphthalmia-related transcription factor-tyrosinase in melanoma PMID: 27378491
- Data show that TFAP2A binds many of the same regulatory elements as MITF in melanocytes. PMID: 28249010
- description of a syndrome, termed COMMAD, characterized by coloboma, osteopetrosis, microphthalmia, macrocephaly, albinism, and deafness; COMMAD is associated with biallelic MITF mutant alleles and hence suggests a role for MITF in regulating processes such as optic-fissure closure and bone development or homeostasis, which go beyond what is usually seen in individuals carrying monoallelic MITF mutations PMID: 27889061
- Data indicate that NFIB protein increases EZH2 protein expression downstream of BRN2 protein, which further decreases MITF protein levels. PMID: 28119061
- Overall, in melanoma lymph node metastases, MITF protein expression was not tightly correlated with its gene targets. PMID: 27515936
- DRD4 antagonist has an antimelanogenic effect that is related to downregulation of MITF transcription through the activation of the ERK PMID: 26782007
- Akt modulates nuclear translocation of MITF. PMID: 28165011
- Our studies have established that the cooperative antiproliferative effects of aspirin and I3C in human melanoma cells trigger a significant downregulation of MITF-M gene expression and disruption of MITF-M promoter activity. results demonstrate that aspirin-regulated Wnt signaling and I3C-targeted signaling pathways converge at distinct DNA elements in the MITF-M promoter to cooperatively disrupt MITF-M expression PMID: 27055402
- Addition of MITF>/=50% into the logistic regression analysis significantly improves the accuracy of the melanoma nomogram in prediction of regional nodal spread PMID: 27919990
- The MITF p.E318K mutation does not appear to play a major role in sporadic renal cell carcinoma carcinogenesis, but is possibly restricted to a rare subpopulation of inherited renal cell carcinoma PMID: 26999813
- Overexpression of MITF is associated with melanoma cell survival and progression. PMID: 27185926
- We conclude that the expression of Rlbp1 and Rdh5 critically depends on functional Mitf in the RPE and suggest that MITF has an important role in controlling retinoid processing in the RPE. PMID: 26876013
- A concomitant AURKA/BRAF and AURKA/MEK targeting overcame MAPK signaling activation-associated resistance signature in BRAF- and NRAS-mutated melanomas, respectively, and elicited heightened anti-proliferative activity and apoptotic cell death. PMID: 26962685
- Results show that Mitf, probably including Mitf-M, is expressed in the mitral cells and tufted cells that transmit the information derived from olfactory sensory neurons to the olfactory cortex. PMID: 26522736
- SOX5 has a strong inhibitory effect on MITF expression and seems to have a decisive clinical impact on melanoma during tumor progression. PMID: 26927636
- In addition to melanoma risk, MITF p.E318K is associated with a high nevi count and could play a role in fast-growing melanomas. PMID: 26650189
- expression of the molecular marker Mitf in primary cutaneous melanomas is a useful tool in assessing lymph node status. PMID: 26317170
- an MITF-CEACAM1 axis is suggested as a potential determinant of melanoma progression. PMID: 26301891
- LEF-1 and MITF regulate tyrosinase gene transcription in vitro via binding to its promoter. PMID: 26580798
- Here we show that MITF-A mRNA is predominantly expressed in all three human liver cancer cell lines examined. PMID: 26773496
顯示更多
收起更多
-
相關疾病:Waardenburg syndrome 2A (WS2A); Waardenburg syndrome 2, with ocular albinism, autosomal recessive (WS2-OA); Tietz albinism-deafness syndrome (TADS); Melanoma, cutaneous malignant 8 (CMM8); Coloboma, osteopetrosis, microphthalmia, macrocephaly, albinism, and deafness (COMMAD)
-
亞細胞定位:Nucleus. Cytoplasm.
-
蛋白家族:MiT/TFE family
-
組織特異性:Expressed in melanocytes (at protein level).; [Isoform A2]: Expressed in the retinal pigment epithelium, brain, and placenta. Expressed in the kidney.; [Isoform C2]: Expressed in the kidney and retinal pigment epithelium.; [Isoform H1]: Expressed in the k
-
數據庫鏈接:















