MAP2K6 Antibody
-
中文名稱:MAP2K6兔多克隆抗體
-
貨號:CSB-PA895516
-
規格:¥1100
-
圖片:
-
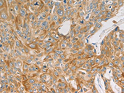
The image on the left is immunohistochemistry of paraffin-embedded Human lung cancer tissue using CSB-PA895516(MAP2K6 Antibody) at dilution 1/20, on the right is treated with fusion protein. (Original magnification: ×200)
-
The image on the left is immunohistochemistry of paraffin-embedded Human esophagus cancer tissue using CSB-PA895516(MAP2K6 Antibody) at dilution 1/20, on the right is treated with fusion protein. (Original magnification: ×200)
-
-
其他:
產品詳情
-
Uniprot No.:
-
基因名:
-
別名:Dual specificity mitogen activated protein kinase kinase 6 antibody; Dual specificity mitogen-activated protein kinase kinase 6 antibody; MAP kinase kinase 6 antibody; MAP2K6 antibody; MAPK/ERK kinase 6 antibody; MAPKK 6 antibody; MAPKK6 antibody; MEK 6 antibody; MEK6 antibody; Mitogen Activated Protein Kinase Kinase 6 antibody; MKK 6 antibody; MKK6 antibody; MP2K6_HUMAN antibody; PRKMK6 antibody; protein kinase antibody; Protein kinase mitogen activated kinase 6 antibody; protein kinase, mitogen-activated, kinase 6 (MAP kinase kinase 6) antibody; SAPK kinase 3 antibody; SAPKK-3 antibody; SAPKK3 antibody; SKK3 antibody; Stress-activated protein kinase kinase 3 antibody
-
宿主:Rabbit
-
反應種屬:Human,Mouse
-
免疫原:Fusion protein of Human MAP2K6
-
免疫原種屬:Homo sapiens (Human)
-
標記方式:Non-conjugated
-
抗體亞型:IgG
-
純化方式:Antigen affinity purification
-
濃度:It differs from different batches. Please contact us to confirm it.
-
保存緩沖液:-20°C, pH7.4 PBS, 0.05% NaN3, 40% Glycerol
-
產品提供形式:Liquid
-
應用范圍:ELISA,IHC
-
推薦稀釋比:
Application Recommended Dilution ELISA 1:2000-1:5000 IHC 1:25-1:100 -
Protocols:
-
儲存條件:Upon receipt, store at -20°C or -80°C. Avoid repeated freeze.
-
貨期:Basically, we can dispatch the products out in 1-3 working days after receiving your orders. Delivery time maybe differs from different purchasing way or location, please kindly consult your local distributors for specific delivery time.
-
用途:For Research Use Only. Not for use in diagnostic or therapeutic procedures.
相關產品
靶點詳情
-
功能:Dual specificity protein kinase which acts as an essential component of the MAP kinase signal transduction pathway. With MAP3K3/MKK3, catalyzes the concomitant phosphorylation of a threonine and a tyrosine residue in the MAP kinases p38 MAPK11, MAPK12, MAPK13 and MAPK14 and plays an important role in the regulation of cellular responses to cytokines and all kinds of stresses. Especially, MAP2K3/MKK3 and MAP2K6/MKK6 are both essential for the activation of MAPK11 and MAPK13 induced by environmental stress, whereas MAP2K6/MKK6 is the major MAPK11 activator in response to TNF. MAP2K6/MKK6 also phosphorylates and activates PAK6. The p38 MAP kinase signal transduction pathway leads to direct activation of transcription factors. Nuclear targets of p38 MAP kinase include the transcription factors ATF2 and ELK1. Within the p38 MAPK signal transduction pathway, MAP3K6/MKK6 mediates phosphorylation of STAT4 through MAPK14 activation, and is therefore required for STAT4 activation and STAT4-regulated gene expression in response to IL-12 stimulation. The pathway is also crucial for IL-6-induced SOCS3 expression and down-regulation of IL-6-mediated gene induction; and for IFNG-dependent gene transcription. Has a role in osteoclast differentiation through NF-kappa-B transactivation by TNFSF11, and in endochondral ossification and since SOX9 is another likely downstream target of the p38 MAPK pathway. MAP2K6/MKK6 mediates apoptotic cell death in thymocytes. Acts also as a regulator for melanocytes dendricity, through the modulation of Rho family GTPases.
-
基因功能參考文獻:
- Data show that miR-625-3p induces oxaliplatin resistance by abrogating MAP2K6-p38-regulated apoptosis and cell cycle control networks. PMID: 27526785
- acts as a repressor of UCP1 expression, suggesting that its inhibition promotes adipose tissue browning and increases organismal energy expenditure PMID: 29021624
- Data indicate that mitogen-activated protein kinase kinase 6 (MKK6) levels were substantially higher in monocytes than in neutrophils. PMID: 25214442
- Data show significant increase in the expression of MKK6 in Esophageal, Stomach, and Colon cancers as compared to controls. PMID: 25019214
- uncover a new mechanism of deactivation of MKK6-p38 and substantiate a novel regulatory role of FBXO31 in stress response PMID: 24936062
- Serine phosphorylation of p66shc is carried out by active MKK6. beta-Amyloid-induced ROS production and apoptosis increased in the presence of MKK6 and p66shc, which directly associate. PMID: 24085465
- The models confirmed the reaction order, revealed processivity in the phosphorylation of MEK6 by ASK1, and suggested that the order of phosphorylation is dictated by both binding and catalysis rates. PMID: 23744074
- crystal structure of human non-phosphorylated MAP2K6 (npMAP2K6) complexed with an ATP analogue was determined at 2.6 A resolution and represents an auto-inhibition state of MAP2K6 PMID: 22383536
- activation by mechanical stretch induces HMGB1 and cytokine expression in A549 cells PMID: 21926646
- Results suggest that the p38alpha, MAPK, and MKK6 play prominent roles in IL-1beta and C/EBP-beta-mediated C3 gene expression in astrocytes. PMID: 21308746
- Impaired cytokine production in natural killer (NK)T cells is demonstrated from MKK3-deficient6+/- mice. PMID: 21368234
- we demonstrated that MKK6 has a role for regulation of dendricity in melanocytes. PMID: 20869211
- MKK6 and other MAP2Ks are a distinct class of cellular redox sensors PMID: 21078955
- MKK6 p38 alpha signaling pathway regulates the expression of RAGE induced by mechanical stretch in A549 cells. PMID: 19846005
- Mechanism of oxidative stress-induced ASK1-catalyzed MKK6 phosphorylation.( PMID: 20364819
- active MKK6 in HepG2 cells enhanced basal activity or IL-6-induced transcriptional activation of a SOCS3 promoter PMID: 11727828
- MKK6 is involved in a positive feedback loop regulating macrophage signaling with p38 MAP kinase PMID: 12509443
- role in cardioprotection PMID: 15492008
- PAK6 kinase activity was repressed by a p38 mitogen-activated protein (MAP) kinase antagonist and could be strongly stimulated by constitutively active MAP kinase kinase 6 (MKK6) PMID: 15550393
- MKK6 promotes the development of cardiomyopathy by activation of a kinase cascade PMID: 15722372
- MEK6E activates p38 and results in phosphorylation of its downstream substrate, heat shock protein 27 PMID: 15790570
- selectivity pocket compounds prevent MKK6-dependent activation of p38alpha in addition to inhibiting catalysis by activated p38alpha PMID: 16342939
- findings show that Yersinia YopJ acted as an acetyltransferase, using acetyl-coenzyme A (CoA) to modify the critical serine and threonine residues in the activation loop of MAPKK6 and thereby blocking phosphorylation PMID: 16728640
- Conditional induction of a dominant active form of MAPK kinase 6, a direct upstream kinase of p38, in Langerhans cells induces up-regulation of costimulatory molecules & enhances their T-cell stimulatory capacity. PMID: 16960152
- Data suggest that sequence variations of ASK1 and MAP2K6 lead to partially sex-specific changes in the levels and/or phosphorylation states of p38 and p38-regulated proteins that might contribute to the observed delaying effects in the age of onset of HD. PMID: 18327563
- Gel filtration and small-angle X-ray scattering analysis confirm that the crystallographically observed ellipsoidal dimer is a feature of MEK6/DeltaN/DD and full-length unphosphorylated wild-type MEK6 in solution PMID: 19141286
顯示更多
收起更多
-
亞細胞定位:Nucleus. Cytoplasm. Cytoplasm, cytoskeleton. Note=Binds to microtubules.
-
蛋白家族:Protein kinase superfamily, STE Ser/Thr protein kinase family, MAP kinase kinase subfamily
-
組織特異性:Isoform 2 is only expressed in skeletal muscle. Isoform 1 is expressed in skeletal muscle, heart, and in lesser extent in liver or pancreas.
-
數據庫鏈接:
Most popular with customers
-
-
Phospho-YAP1 (S127) Recombinant Monoclonal Antibody
Applications: ELISA, WB, IHC
Species Reactivity: Human
-
-
-
-
-
-















