MAGEA1 Antibody
-
中文名稱:MAGEA1兔多克隆抗體
-
貨號:CSB-PA013323ESR2HU
-
規格:¥440
-
圖片:
-
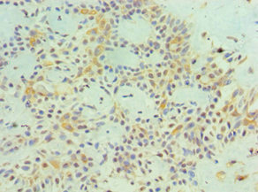
Immunohistochemistry of paraffin-embedded human breast cancer using CSB-PA013323ESR2HU at dilution of 1:100
-
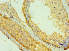
Immunohistochemistry of paraffin-embedded human testis tissue using CSB-PA013323ESR2HU at dilution of 1:100
-
Immunoprecipitating MAGEA1 in Hela whole cell lysate
Lane 1: Rabbit control IgG instead of CSB-PA013323ESR2HU in Hela whole cell lysate. For western blotting, a HRP-conjugated Protein G antibody was used as the secondary antibody (1/2000)
Lane 2: CSB-PA013323ESR2HU (8µg) + Hela whole cell lysate (500µg)
Lane 3: Hela whole cell lysate (10µg)
-
-
其他:
產品詳情
-
產品名稱:Rabbit anti-Homo sapiens (Human) MAGEA1 Polyclonal antibody
-
Uniprot No.:
-
基因名:
-
別名:Antigen MZ2 E antibody; Antigen MZ2-E antibody; Cancer/testis antigen 1.1 antibody; cancer/testis antigen family 1, member 1 antibody; CT1.1 antibody; MAGA1_HUMAN antibody; MAGE 1 antigen antibody; MAGE-1 antigen antibody; MAGE1 antibody; MAGE1A antibody; MAGEA1 antibody; Melanoma antigen 1 antibody; Melanoma antigen family A 1 (directs expression of antigen MZ2 E) antibody; Melanoma antigen family A 1 antibody; Melanoma antigen MAGE 1 antibody; Melanoma associated antigen 1 antibody; Melanoma associated antigen MZ2 E antibody; Melanoma-associated antigen 1 antibody; MGC9326 antibody
-
宿主:Rabbit
-
反應種屬:Human
-
免疫原:Recombinant Human Melanoma-associated antigen 1 protein (1-309AA)
-
免疫原種屬:Homo sapiens (Human)
-
標記方式:Non-conjugated
-
克隆類型:Polyclonal
-
抗體亞型:IgG
-
純化方式:Antigen Affinity Purified
-
濃度:It differs from different batches. Please contact us to confirm it.
-
保存緩沖液:PBS with 0.02% sodium azide, 50% glycerol, pH7.3.
-
產品提供形式:Liquid
-
應用范圍:ELISA, IHC, IP
-
推薦稀釋比:
Application Recommended Dilution IHC 1:20-1:200 IP 1:200-1:2000 -
Protocols:
-
儲存條件:Upon receipt, store at -20°C or -80°C. Avoid repeated freeze.
-
貨期:Basically, we can dispatch the products out in 1-3 working days after receiving your orders. Delivery time maybe differs from different purchasing way or location, please kindly consult your local distributors for specific delivery time.
-
用途:For Research Use Only. Not for use in diagnostic or therapeutic procedures.
相關產品
靶點詳情
-
功能:May be involved in transcriptional regulation through interaction with SNW1 and recruiting histone deactelyase HDAC1. May inhibit notch intracellular domain (NICD) transactivation. May play a role in embryonal development and tumor transformation or aspects of tumor progression. Antigen recognized on a melanoma by autologous cytolytic T-lymphocytes.
-
基因功能參考文獻:
- The expression of MAGE-A genes in peripheral blood may act as a poor prognostic marker in patients with lung cancer. PMID: 29430849
- MAGE-A expression in blood or bone marrow at tumor surgery is an independent predictor of survival in resected non-small cell lung cancer PMID: 27542766
- Authors revealed a novel interaction between MAGEA1 and the intracellular segment of NOTCH1 receptor (NICD1). MAGEA1 reduced NICD1's stability by promoting the ubiquitin modification of NICD1. PMID: 28459460
- In patients with Colon cancer, the expression of MAGE-A(1-6) gene was associated with a poor prognosis. PMID: 28631709
- MAGEA1 was expression in 15% of synovial sarcomas and was not associated with prognosis. PMID: 27993576
- Data show that overall survival (OS) was significantly lower for patients expressing pan-MAGE or MAGE-A1/A3/A4 in both independent cohorts. PMID: 28146422
- These data demonstrate that MAGE-A1-, MAGE-A3-, and NY-ESO-1-specific T cells with antigen-specific cytotoxicity can be cultured from healthy donors and patient-derived cells making adoptive immunotherapy with these cytotoxic T lymphocyte feasible. PMID: 28677424
- up-regulation of MAGE-A1 dramatically promoted proliferation, migration, and invasion of human melanoma cell lines in vitro PMID: 27045082
- The overall survival of laryngeal squamous cell carcinoma patients with positive MAGE-A1, MAGE-A9, or MAGE-A11 expression was lower than the patients without MAGE-A1, MAGE-A9, or MAGE-A11 expression. PMID: 26766421
- MAGE-A is more highly expressed than NY-ESO-1 in a majority of human malignancies PMID: 27070449
- TRIM31 directly binds to NSE4, suggesting the existence of a TRIM31-MAGEA1-NSE4 complex reminiscent of the NSE1-NSE3-NSE4 trimer. PMID: 25590999
- Differential regulation of MAGE-A1 promoter activity by BORIS and Sp1, both interacting with the TATA binding protein. PMID: 25363021
- DNA methylation has a dominant role in the epigenetic hierarchy governing MAGEA1 expression PMID: 23472218
- results show the absence and/or low expression of MAGE A1 transcripts in oral squamous cell carcinoma; presence of hypomethylation at a small level at the promoter site of MAGE A1 was detected in both oral squamous cell carcinoma and normal oral mucosa PMID: 22447174
- Report MAGEA1-A6 expression in sputum suggests presence of lung cancer cells or precancerous cells. PMID: 22134685
- High MAGE-1 is associated with differentiated advanced gastric cancer. PMID: 21042944
- MAGE1 expression mediated by demethylation of MAGE1 promoter induce progression of non-small cell lung cancer. PMID: 21273595
- CCL3 and CCL20-recruited dendritic cells modified by melanoma antigen gene-1 have a role in anti-tumor immunity against gastric cancer PMID: 20420712
- Tumor-specific antigen MAGE may play a role in the occurrence and development of ovarian cancerc and can be used as one of the important indicators for early diagnosis, efficacy evaluation and prognostic determination of ovarian cancer. PMID: 20423514
- MAGE-A peptides and HLA class I molecules are expressed in hepatocellular carcinoma PMID: 20592351
- The high expression rates of MAGE-1 and MAGE-3 genes in IHCC suggests the MAGE-1 and MAGE-3 gene may be a target for immunotherapy in IHCC patients. PMID: 18505125
- Since 37% of patients with operable NSCLC harbored disseminated tumor cells that expressed MAGE-A, only these patients might benefit from adjuvant immunotherapies directed against MAGE-A1 to -A6. PMID: 19467731
- The MAGE-A1 gene expression is not determined solely by methylation status of the promoter region in hematological malignancies. PMID: 12443884
- Spontaneous in vivo priming of MAGE-specific T cell response and high frequency of MAGE1 and MAGE3 expression in hepatocellular carcinoma makes this antigen potential candidate for MAGE-specific immunotherapy in hepatocellular carcinoma. PMID: 14672620
- MAGE-A1 can function as a potent transcriptional repressor via interactions with Ski Interacting Protein and the deacetylase HDAC1. PMID: 15316101
- a novel sequence-specific DNA-protein interaction at the -30 CpG dinucleotide upstream of the gene was found having a vital part to play in the DNA methylation mediated transcription silencing of the MAGE-A1 gene PMID: 15353125
- Present, by immunocytochemistry, in normal prostate, prostatic hypertrophy and prostate cancer. PMID: 16114059
- down-regulation of DNMT1 methyltransferase leads to activation and stable hypomethylation of MAGE-A1 in melanoma cells PMID: 16497664
- Detection of aberrant methylation patterns of MAGEs CpG islands using Methylation-special PCR may be useful for diagnosis of Hepatocellular Carcinoma. PMID: 16516880
- The promoter hypomethylation of MAGE-A1 and MAGE-A3 genes up-regulates its expression in colorectal carcinomas as well as in gastric cancers and might play a significant role in the development and progression of human colorectal carcinomas. PMID: 17007017
- MAGE-A1 and NY-ESO-1 are associated with highly proliferating germ cells, whereas GAGE proteins have a more general function in germ cells unrelated to any specific developmental stage PMID: 17208940
- Results suggest that although MAGE-A1 does not participate directly in the drug-resistant phenotype, the expression of MAGE-A1 could be a marker for the prediction of resistance to taxan-based chemotherapies in patients with gastric cancers. PMID: 17611652
- These data show, for the first time, the involvement of methyl-CpG binding domain proteins in the regulation of the MAGE-A genes. PMID: 17634428
- Report genetic alterations of MAGE A1 in Korean colorectal cancer patients. PMID: 17704924
- demethylation of MAGE-A1 by Mouse embryonic stem cells PMID: 18094622
- Multiple simultaneous detection of MAGE-A [subtypes] more specific and sensitive than detection of single MAGE-A antigen for the diagnostic and prognostic evaluation of oral squamous cell carcinoma PMID: 18197853
- The protective effect of the expression of the MAGE-A1 gene against tumoral progression of neuroblastoma is confirmed. PMID: 18820946
- Treatment of A2780/cp70 with decitabine and belinostat results in a marked increase in expression of epigenetically silenced MLH1 and MAGE-A1 both in vitro and in vivo when compared with decitabine alone. PMID: 19259094
顯示更多
收起更多
-
亞細胞定位:Cytoplasm. Nucleus.
-
組織特異性:Expressed in many tumors of several types, such as melanoma, head and neck squamous cell carcinoma, lung carcinoma and breast carcinoma, but not in normal tissues except for testes. Never expressed in kidney tumors, leukemias and lymphomas.
-
數據庫鏈接:
Most popular with customers
-
Phospho-YAP1 (S127) Recombinant Monoclonal Antibody
Applications: ELISA, WB, IHC
Species Reactivity: Human
-
-
-
-
-
-
-















