LAMA3 Antibody
-
中文名稱:LAMA3兔多克隆抗體
-
貨號:CSB-PA623096LA01HU
-
規格:¥440
-
圖片:
-
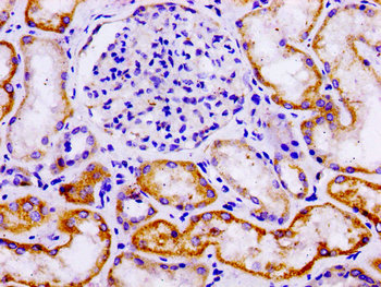
IHC image of CSB-PA623096LA01HU diluted at 1:100 and staining in paraffin-embedded human kidney tissue performed on a Leica BondTM system. After dewaxing and hydration, antigen retrieval was mediated by high pressure in a citrate buffer (pH 6.0). Section was blocked with 10% normal goat serum 30min at RT. Then primary antibody (1% BSA) was incubated at 4°C overnight. The primary is detected by a biotinylated secondary antibody and visualized using an HRP conjugated SP system.
-
-
其他:
產品詳情
-
產品名稱:Rabbit anti-Homo sapiens (Human) LAMA3 Polyclonal antibody
-
Uniprot No.:
-
基因名:
-
別名:E170 antibody; Epiligrin 170 kDa subunit antibody; Epiligrin subunit alpha antibody; Kalinin B1 chain antibody; Kalinin subunit alpha antibody; LAMA3 antibody; LAMA3_HUMAN antibody; LAMB3 antibody; LAMC2 antibody; Laminin gamma 2 antibody; Laminin 5 beta 3 antibody; Laminin 5 gamma 2 subunit antibody; Laminin beta 3 antibody; Laminin subunit alpha-3 antibody; Laminin subunit beta 3 antibody; Laminin subunit gamma 2 antibody; Laminin-5 subunit alpha antibody; Laminin-6 subunit alpha antibody; Laminin-7 subunit alpha antibody; Nicein subunit alpha antibody
-
宿主:Rabbit
-
反應種屬:Human
-
免疫原:Recombinant Human Laminin subunit alpha-3 protein (1570-1796AA)
-
免疫原種屬:Homo sapiens (Human)
-
標記方式:Non-conjugated
本頁面中的產品,LAMA3 Antibody (CSB-PA623096LA01HU),的標記方式是Non-conjugated。對于LAMA3 Antibody,我們還提供其他標記。見下表:
-
克隆類型:Polyclonal
-
抗體亞型:IgG
-
純化方式:>95%, Protein G purified
-
濃度:It differs from different batches. Please contact us to confirm it.
-
保存緩沖液:Preservative: 0.03% Proclin 300
Constituents: 50% Glycerol, 0.01M PBS, pH 7.4 -
產品提供形式:Liquid
-
應用范圍:ELISA, IHC
-
推薦稀釋比:
Application Recommended Dilution IHC 1:20-1:200 -
Protocols:
-
儲存條件:Upon receipt, store at -20°C or -80°C. Avoid repeated freeze.
-
貨期:Basically, we can dispatch the products out in 1-3 working days after receiving your orders. Delivery time maybe differs from different purchasing way or location, please kindly consult your local distributors for specific delivery time.
-
用途:For Research Use Only. Not for use in diagnostic or therapeutic procedures.
相關產品
靶點詳情
-
功能:Binding to cells via a high affinity receptor, laminin is thought to mediate the attachment, migration and organization of cells into tissues during embryonic development by interacting with other extracellular matrix components.; Laminin-5 is thought to be involved in (1) cell adhesion via integrin alpha-3/beta-1 in focal adhesion and integrin alpha-6/beta-4 in hemidesmosomes, (2) signal transduction via tyrosine phosphorylation of pp125-FAK and p80, (3) differentiation of keratinocytes.
-
基因功能參考文獻:
- The study has identified two mutations in two large consanguineous pedigrees. Identification of novel variants in the LAMA3 and PLEC genes will expand the mutation spectrum and also help in genetic counselling of patients in the Pakistani population. PMID: 29797489
- Seventeen percent of the patients were compound heterozygous or homozygous for mutations in the gene LAMA3, 59% carried mutations in both alleles of LAMB3, and 12% were homozygous for mutations in LAMC2. In nine patients with severe generalized JEB, detection of two mutations in one of the genes LAMA3, LAMB3, or LAMC2 was not possible, so the molecular basis of disease could not be clarified completely PMID: 27375110
- Both parents had offspring affected with JEB and displayed subtle enamel pitting of secondary dentition without any sign of skin blistering. The reported enamel abnormality in LAMA3 mutation carriers could be attributed to a half dose effect of the laminin a3 chain PMID: 27827380
- Loss of the normal basement membrane organization of alpha3 laminin observed in fibrotic regions from the lungs of patients with pulmonary fibrosis contributes to their disease progression. PMID: 25188360
- Two of the six genes (LAMA3 and DST) validated by quantitative RT-PCR for tumor-specific alternative splicing events PMID: 24675808
- LAMNA variants have been identified in atrial fibrillation cohort studies, demonstrating abnormalities in cardiac excitation - supra ventricular tachycardia and atrial fibrillation. PMID: 25443231
- We established the LAMA3 gene as novel potential susceptibility gene for atopic dermatitis. PMID: 25363238
- Expression of a3, beta3 and beta2 cannot predict the prognosis. However, high expression of beta2 mRNA in HCC/non-cancerous liver correlated significantly with the absence of complete encapsulation, which is an important tumor invasiveness factor. PMID: 21940345
- Results describe a new pedigree identifying a novel mutation of LAMA3 in LOC syndrome PMID: 23869449
- A male patient with Herlitz junctional epidermolysis bullosa with a novel homozygosity for insertion LAMA3 Premature Termination Codon mutation is described. Both parents and his sibling were shown to be heterozygous carriers. PMID: 22963541
- High LAMA3 expression is associated with gastric cancer. PMID: 23907728
- proteolytic processing of laminin-5 influences its interaction with alpha3beta1 integrin PMID: 14612440
- The uncoordinated production of chains of ln-5 in allergic asthma could have a bearing on the poor epithelial cell anchorage in these patients. PMID: 16179086
- tumor cell migration on laminin-5 is inhibited by HYD1, a biologically active integrin-targeting peptide PMID: 16537560
- Laminin-5 alone stimulates global changes in gene/protein expression in mesenchymal stem cells that lead to commitment of these cells to the osteogenic phenotype, and this correlates with extracellular matrix production. PMID: 17137774
- LM-332 is a crucial motility-promoting factor for B-CLL lymphocytes and is a potential constituent favoring the dissemination of B-CLL lymphocytes through vascular basement membranes and possibly lymph node compartments. PMID: 17482449
- The major contributions of laminin-5 to the resistance of the epidermis against frictional stress but also for basement membrane regeneration and repair of damaged skin are reflected by the phenotype of Herlitz junctional epidermolysis bullosa. PMID: 17000025
- Letter/Case Report: report novel LAMA3 mutations leading to enamel defects in epidermolysis bullosa. PMID: 22434185
- Data show laminin-332 (alpha3ss3gamma2)(Lm332) matrix supported adhesion of keratinocytes much more strongly and stably than purified Lm332. PMID: 22563463
- results suggest that Lm3B11/3B21 may be required for normal mature vessels and interfere with tumor angiogenesis PMID: 21276136
- the LAMA3 LG45 domain may trigger different signals toward keratinocytes depending on its interaction with syndecan-1 or -4. PMID: 22351752
- Cell surface COL17 can interact with laminin 332 and, together, participate in the adherence of a cell to the extracellular matrix. PMID: 21034821
- SEMA3F, CLEC16A, LAMA3, and PCSK2 variants have roles in myocardial infarction in Japanese individuals PMID: 20036365
- Bisecting GlcNAc residues on laminin-332 down-regulate galectin-3-dependent keratinocyte motility. PMID: 19940114
- the alpha3 subunit of laminins-332, -321, and -311 plays an important role in mediating epidermal-dermal integrity and is essential for the skin to withstand mechanical stresses PMID: 19945619
- a hypoxia related splice variant of LAMA3 may have a role in progression of head and neck cancers PMID: 19936049
- Characterization of morphological and cytoskeletal changes in MCF10A breast epithelial cells plated on laminin-5: comparison with breast cancer cell line MCF7. PMID: 11775027
- Neurite outgrowth promoting sites have been identified on the laminin alpha 3 chain LG4 module. PMID: 12196012
- In all developing organs investigated, the mRNA of the alpha3 chain of laminin is strictly of epithelial origin and the corresponding protein localised in the underlying basement membrane zones PMID: 12382139
- These results suggest that the G3 domain of laminin 5 alpha 3 contains two distinct regions that differently regulate cell adhesion and migration. PMID: 12532327
- laminin alpha 3 LG4 module may play an important role in tissue remodeling by inducing MMP-1 expression during wound healing PMID: 12826666
- a missense mutation in the adhesion G domain of laminin-5 causes mild junctional epidermolysis bullosa PMID: 12943669
- results demonstrate that the laminin alpha3 LG4/5 modules within unprocessed laminin-5 permit its cell binding activity through heparan and chondroitin sulfate chains of syndecan-1 PMID: 12947106
- LAMA3 promoter methylation is associated with increased breast tumor stage and tumor size PMID: 14695139
- Characterization of laminin 5B and NH2-terminal proteolytic fragment of its alpha3B chain PMID: 15044476
- co-cultures of epithelial cells and fibroblasts were studied to analyse the processing of laminin 5 alpha3, beta3, and gamma2 chains PMID: 15149852
- The G4/5 domain in the alpha3 chain facilitates deposition of precursor laminin 5 into the PBM in epidermal wounds PMID: 15316072
- Premature termination codon mutations in both alleles of LAMB3 or LAMC2 genes were found in nine of the 11 H junctional epidermolysis bullosa patients PMID: 15373767
- the LG4-5 domain synergistically enhances integrin signaling as it is released from the precursor LN5 PMID: 15695818
- the absolute mRNA levels generated from the laminin 5 genes do not determine the translated protein levels of the laminin 5 chains in keratinocytes; the expression of the laminin 5 genes may be controlled by common regulation mechanisms PMID: 15854126
- Suppression of laminin-5 alpha 3-chain expression in human mammary epithelial cells results in loss of reconstituted extracellular matrix-mediated growth control and apoptosis. PMID: 16219677
- The hinge region between subdomains G3 and G4 of laminin alpha 3 carries the proteolytic cleavage sites but proteolytic processing plays no role in kerocyte migration. PMID: 16297184
- Laminin-5 may contribute to the development of bone tissues by promoting the proliferation and by suppressing the chondrogenic differentiation of MSCs. PMID: 17071854
- These results suggest a new possible approach to repairing SCI and, in general, a model which will be useful for other multidisciplinary procedures for complex neurological situations. PMID: 17466943
- These results suggest that Crk is required for early attachment to laminin, cell motility, and growth of glioblastoma cell line KMG4. PMID: 17825249
- the alpha3 chain can assemble with only beta3-gamma2 heterodimer to form a heterotrimer via disulfide bonds PMID: 18603785
- Alpha3- and alpha5-laminins, but not other laminin isoforms, mediate mast cell adhesion via alpha3beta1 integrin. PMID: 19752234
- immunofluorescence analyses revealed a basement membrane staining in epithelial tissue for LaNt alpha3 and LaNt alpha3 localized along the substratum-associated surface of cultured keratinocytes. PMID: 19773554
顯示更多
收起更多
-
相關疾?。?/div>Epidermolysis bullosa, junctional, Herlitz type (H-JEB); Laryngoonychocutaneous syndrome (LOCS)亞細胞定位:Secreted, extracellular space, extracellular matrix, basement membrane. Note=Major component.組織特異性:Skin; respiratory, urinary, and digestive epithelia and in other specialized tissues with prominent secretory or protective functions. Epithelial basement membrane, and epithelial cell tongue that migrates into a wound bed. A differential and focal expres數據庫鏈接:
Most popular with customers
-
-
Phospho-YAP1 (S127) Recombinant Monoclonal Antibody
Applications: ELISA, WB, IHC
Species Reactivity: Human
-
-
-
-
-
-















