ITGA7 Antibody
-
中文名稱:ITGA7兔多克隆抗體
-
貨號:CSB-PA066101
-
規格:¥1100
-
圖片:
-
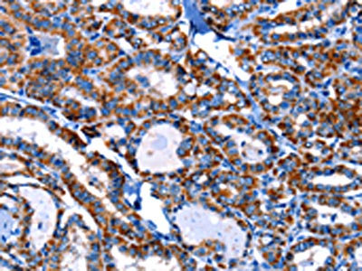
The image on the left is immunohistochemistry of paraffin-embedded Human thyroid cancer tissue using CSB-PA066101(ITGA7 Antibody) at dilution 1/10, on the right is treated with synthetic peptide. (Original magnification: ×200)
-
The image on the left is immunohistochemistry of paraffin-embedded Human esophagus cancer tissue using CSB-PA066101(ITGA7 Antibody) at dilution 1/10, on the right is treated with synthetic peptide. (Original magnification: ×200)
-
-
其他:
產品詳情
-
Uniprot No.:
-
基因名:
-
別名:alpha 7 antibody; FLJ25220 antibody; Integrin alpha 7 antibody; Integrin alpha 7 chain antibody; Integrin alpha 7 heavy chain antibody; Integrin alpha 7 light chain antibody; Integrin alpha-7 70 kDa form antibody; ITA7_HUMAN antibody; ITGA 7 antibody; Itga7 antibody
-
宿主:Rabbit
-
反應種屬:Human,Mouse,Rat
-
免疫原:Synthetic peptide of Human ITGA7
-
免疫原種屬:Homo sapiens (Human)
-
標記方式:Non-conjugated
-
抗體亞型:IgG
-
純化方式:Antigen affinity purification
-
濃度:It differs from different batches. Please contact us to confirm it.
-
保存緩沖液:-20°C, pH7.4 PBS, 0.05% NaN3, 40% Glycerol
-
產品提供形式:Liquid
-
應用范圍:ELISA,IHC
-
推薦稀釋比:
Application Recommended Dilution ELISA 1:1000-1:2000 IHC 1:10-1:50 -
Protocols:
-
儲存條件:Upon receipt, store at -20°C or -80°C. Avoid repeated freeze.
-
貨期:Basically, we can dispatch the products out in 1-3 working days after receiving your orders. Delivery time maybe differs from different purchasing way or location, please kindly consult your local distributors for specific delivery time.
-
用途:For Research Use Only. Not for use in diagnostic or therapeutic procedures.
相關產品
靶點詳情
-
功能:Integrin alpha-7/beta-1 is the primary laminin receptor on skeletal myoblasts and adult myofibers. During myogenic differentiation, it may induce changes in the shape and mobility of myoblasts, and facilitate their localization at laminin-rich sites of secondary fiber formation. It is involved in the maintenance of the myofibers cytoarchitecture as well as for their anchorage, viability and functional integrity. Isoform Alpha-7X2B and isoform Alpha-7X1B promote myoblast migration on laminin 1 and laminin 2/4, but isoform Alpha-7X1B is less active on laminin 1 (In vitro). Acts as Schwann cell receptor for laminin-2. Acts as a receptor of COMP and mediates its effect on vascular smooth muscle cells (VSMCs) maturation. Required to promote contractile phenotype acquisition in differentiated airway smooth muscle (ASM) cells.
-
基因功能參考文獻:
- Speculate that the postnatal splicing of alpha7A to alpha7B and of beta1A to beta1D integrins is delayed, altering spontaneous descent of the testes in the first months of life. PMID: 30089289
- As knockdown of Integrin alpha7 (ITGA7) can effectively reduce the stemness of oesophageal squamous cell carcinoma (OSCC) cells, ITGA7 could be a potential therapeutic target in OSCC treatment. PMID: 27924820
- targeting of ITGA7 by RNAi or blocking mAbs impaired laminin-induced signaling, and it led to a significant delay in tumor engraftment plus a strong reduction in tumor size and invasion. PMID: 28602620
- Taken together, these results further support the use of a7 integrin as a potential therapy for Duchenne muscular dystrophy PMID: 26076707
- Data indicate that S100 calcium binding protein P (S100P) increased lung cancer cell migration by binding integrin alpha7. PMID: 26320193
- Data suggest that ITGA7 is an epigenetically regulated tumour suppressor gene and a prognostic factor in human malignant pleural mesothelioma. PMID: 26011651
- ITGA7 binds to tissue inhibitor of metalloproteinase 3 (TIMP3) in prostate cancer cells. PMID: 23830872
- The absence of either alpha7beta1 integrin or alpha6beta1 integrin impairs the ability of Schwann cells to spread and to bind laminin. PMID: 24227711
- Digenic mutational inheritance of the integrin alpha 7 and the myosin heavy chain 7B genes causes congenital myopathy with left ventricular non-compact cardiomyopathy. [ITGA7] PMID: 23800289
- Alpha7beta1D integrin modifies Ca2+ regulatory pathways and offers a means to protect the myocardium from ischemic injury. PMID: 24091324
- This report provides a novel insight into the mechanism, involving interaction with high temperature requirement A2, by which ITGA7 acts as a tumor suppressor. PMID: 20651226
- ILK interaction with MCM7 and MCM7 phosphorylation may be a critical event in ITGA7 signaling pathway, leading to tumor suppression. PMID: 20460506
- conclude that secondary integrin alpha 7 deficiency is rather common in muscular dystrophy/myopathy of unknown etiology PMID: 12057917
- FHL2 and FHL3, respectively, are colocalized with alpha(7)beta(1) integrin receptor at the periphery of Z-discs, suggesting a role in mechanical stabilization of muscle cells PMID: 15117962
- alpha7-expressing fetal myoblasts are capable of differentiation to osteoblast lineage with a coordinated switch in integrin profiles and may represent a mechanism that promotes homing and recruitment of myogenic stem cells for tissue remodeling. PMID: 17054947
- Integrin alpha7 mutations are associated with prostate cancer, liver cancer, glioblastoma multiforme, and leiomyosarcoma PMID: 17551147
- analysis of how distinct acidic clusters and hydrophobic residues in the alternative splice domains X1 and X2 of alpha7 integrins define specificity for laminin isoforms PMID: 17618648
- Alpha7B is a novel marker of the contractile phenotype, and alpha7 expression is essential for human airway smooth muscle cell maturation, which is a laminin-dependent process. PMID: 17641293
- cleavage is a novel mechanism that regulates alpha7 integrin functions in skeletal muscle, and that the generation of such cleavage sites is another evolutionary mechanism for expanding and modifying protein functions. PMID: 18940796
- laminin-111 (alpha(1), beta(1), gamma(1)), which is expressed during embryonic development but absent in normal or dystrophic skeletal muscle, increased alpha(7)-integrin expression in mouse and DMD patient myoblasts PMID: 19416897
顯示更多
收起更多
-
相關疾病:Muscular dystrophy congenital due to integrin alpha-7 deficiency (MDCI)
-
亞細胞定位:Membrane; Single-pass type I membrane protein.
-
蛋白家族:Integrin alpha chain family
-
組織特異性:Isoforms containing segment A are predominantly expressed in skeletal muscle. Isoforms containing segment B are abundantly expressed in skeletal muscle, moderately in cardiac muscle, small intestine, colon, ovary and prostate and weakly in lung and testes
-
數據庫鏈接:
Most popular with customers
-
-
Phospho-YAP1 (S127) Recombinant Monoclonal Antibody
Applications: ELISA, WB, IHC
Species Reactivity: Human
-
-
-
-
-
-















