IRAK4 Antibody
-
中文名稱:IRAK4兔多克隆抗體
-
貨號:CSB-PA793788
-
規格:¥1100
-
圖片:
-
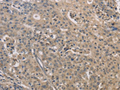
The image on the left is immunohistochemistry of paraffin-embedded Human liver cancer tissue using CSB-PA793788(IRAK4 Antibody) at dilution 1/40, on the right is treated with fusion protein. (Original magnification: ×200)
-
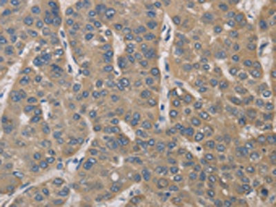
The image on the left is immunohistochemistry of paraffin-embedded Human gastric cancer tissue using CSB-PA793788(IRAK4 Antibody) at dilution 1/40, on the right is treated with fusion protein. (Original magnification: ×200)
-
-
其他:
產品詳情
-
Uniprot No.:
-
基因名:
-
別名:IL-1 receptor-associated kinase 4 antibody; Interleukin 1 receptor associated kinase 4 mutant form 1 antibody; Interleukin-1 receptor-associated kinase 4 antibody; Interleukin1 receptor associated kinase 4 antibody; IPD1 antibody; IRAK 4 antibody; IRAK-4 antibody; IRAK4 antibody; IRAK4 mutated form 1 antibody; IRAK4_HUMAN antibody; LOC 51135 antibody; NY REN 64 antibody; NY REN 64 antigen antibody; NY-REN-64 antibody; REN64 antibody; Renal carcinoma antigen NY-REN-64 antibody
-
宿主:Rabbit
-
反應種屬:Human,Mouse
-
免疫原:Fusion protein of Human IRAK4
-
免疫原種屬:Homo sapiens (Human)
-
標記方式:Non-conjugated
-
抗體亞型:IgG
-
純化方式:Antigen affinity purification
-
濃度:It differs from different batches. Please contact us to confirm it.
-
保存緩沖液:-20°C, pH7.4 PBS, 0.05% NaN3, 40% Glycerol
-
產品提供形式:Liquid
-
應用范圍:ELISA,IHC
-
推薦稀釋比:
Application Recommended Dilution ELISA 1:2000-1:5000 IHC 1:50-1:200 -
Protocols:
-
儲存條件:Upon receipt, store at -20°C or -80°C. Avoid repeated freeze.
-
貨期:Basically, we can dispatch the products out in 1-3 working days after receiving your orders. Delivery time maybe differs from different purchasing way or location, please kindly consult your local distributors for specific delivery time.
-
用途:For Research Use Only. Not for use in diagnostic or therapeutic procedures.
相關產品
靶點詳情
-
功能:Serine/threonine-protein kinase that plays a critical role in initiating innate immune response against foreign pathogens. Involved in Toll-like receptor (TLR) and IL-1R signaling pathways. Is rapidly recruited by MYD88 to the receptor-signaling complex upon TLR activation to form the Myddosome together with IRAK2. Phosphorylates initially IRAK1, thus stimulating the kinase activity and intensive autophosphorylation of IRAK1. Phosphorylates E3 ubiquitin ligases Pellino proteins (PELI1, PELI2 and PELI3) to promote pellino-mediated polyubiquitination of IRAK1. Then, the ubiquitin-binding domain of IKBKG/NEMO binds to polyubiquitinated IRAK1 bringing together the IRAK1-MAP3K7/TAK1-TRAF6 complex and the NEMO-IKKA-IKKB complex. In turn, MAP3K7/TAK1 activates IKKs (CHUK/IKKA and IKBKB/IKKB) leading to NF-kappa-B nuclear translocation and activation. Alternatively, phosphorylates TIRAP to promote its ubiquitination and subsequent degradation. Phosphorylates NCF1 and regulates NADPH oxidase activation after LPS stimulation suggesting a similar mechanism during microbial infections.
-
基因功能參考文獻:
- synthetic routes with moderate to high yields have been developed to produce the reference standard 9, demethylated precursor 8 and target tracer [11C]9. The radiosynthesis employed [11C]CH3OTf for N-[11C]methylation at the piperazin position of the desmethyl precursor, followed by product purification and isolation using a semi-preparative RP HPLC combined with SPE. [11C]9 was obtained in high radiochemical yield, radioc PMID: 29127936
- The high mRNA levels of IRAK1 and IRAK4 were correlated with the development of Behcet's disease, which suggested that IRAK1 and IRAK4 might participate in the pathogenesis of Behcet's disease PMID: 28780618
- IRAK-4 Arg12 is also essential for Myddosome assembly and signalling and we propose that phosphorylated Ser8 induces the N-terminal loop to fold into an alpha-helix. This conformer is stabilised by an electrostatic interaction between phospho-Ser8 and Arg12 and would destabilise a critical interface between IRAK-4 and MyD88. PMID: 27876844
- Our data established IRAK4 as a novel therapeutic target for PDAC treatment. Development of potent IRAK4 inhibitors is needed for clinical testing. PMID: 27702822
- Data suggest that IRAK4 activity regulates activation of IRF5, TAK1, and IKKB in monocytes; IRAK4 activation of TAK1-IKKB-IRF5 axis leads to induction of cytokines and interferons following TLR7/TLR8 stimulation. (IRAK4 = interleukin-1 receptor-associated kinase 4; IRF5 = interferon regulatory factor-5; TAK1 = MAPK kinase kinase 7; IKKB = I-kappa B kinase; TLR = toll-like receptor) PMID: 28924041
- AMPK activation inhibited IL-1beta-stimulated CXCL10 secretion, associated with reduced interleukin-1 receptor associated kinase-4 (IRAK4) phosphorylation. PMID: 27840174
- By CRISPR/Cas9-induced inactivation of TLR9, MyD88, IRAK4 and IRAK1 we confirm that BZLF1 repression is dependent on functional TLR9 and MyD88 signaling, and identify IRAK4 as an essential element for TLR9-induced repression of BZLF1 expression upon BCR cross-linking PMID: 29088270
- the polymorphisms in TLR-MyD88-NF-kappaB signaling pathway confer genetic susceptibility to Type 2 diabetes mellitus and diabetic nephropathy. PMID: 27062898
- data show that in pericytes, MyD88 and IRAK4 are key regulators of 2 major injury responses: inflammatory and fibrogenic. PMID: 27869651
- Data suggest that, in monocytes and macrophages, the interleukin-1B- (IL1B)-stimulated trans-autophosphorylation of IRAK4 is initiated by MYD88- (myeloid differentiation primary response gene 88)-induced dimerization of IRAK4. In contrast, IRAK1 (interleukin-1 receptor-associated kinase 1) is inactive in unstimulated monocytes/macrophages and is converted to an active protein kinase in response to IL1B. PMID: 28512203
- IRAK4 - Gene involved in innate immunity that have been associated with Chronic Rhinosinusitis. PMID: 27888910
- The estimated prevalence of IRAK4 gene polymorphism found in a Portuguese Caucasian population was 26.8 % (CI 95%) [20.1, 34.7 %]. A model to predict the inflammatory response in the maxillary sinus in the presence etiological factors of dental origin was constructed. PMID: 25707370
- missense mutation results in immunological deficiency phenotype PMID: 26472314
- Siblings with compound heterozygosity for two mutations: a frameshift mutation at one allele (c.1146delT (p.G383fs)), and an in-frame duplication variant at the other (c.255_260dup6 (p.D86_L87dup)) leading to fatal pneumococcal meningitis is described. PMID: 26698383
- This is the first study to show an association between single nucleotide polymorphisms in IRAK1, IRAK4 and MyD88, and the presence of severe invasive pneumococcal disease. PMID: 26075815
- Src, Syk, IRAK1, and IRAK4 have roles in anti-inflammatory responses mediated by dietary flavonoid Kaempferol PMID: 25922567
- findings suggest that rare, functional variants in MYD88, IRAK4 or IKBKG do not significantly contribute to IPD susceptibility in adults at the population level PMID: 25886387
- High mRNA levels of IRAK1 and IRAK4 correlated with VKH disease activity. PMID: 24690905
- Studies indicate that interleukin-1 receptor-associated kinase 4 protein (IRAK4), a serine/threonine kinase, plays a key role in both inflammation and oncology diseases. PMID: 25479567
- by bolstering the IgM(+)IgD(+)CD27(+) B-cell subset, IRAK-4 and MyD88 promote optimal T-independent IgM antibody responses against bacteria in humans. PMID: 25320238
- delineation of the latter responses identified a narrow repertoire of transcriptional programs affected by loss of MyD88 function or IRAK4 function PMID: 25344726
- Data show that dimerization is crucial for IRAK4 autophosphorylation in vitro and ligand dependent signaling in cells. PMID: 25201411
- these studies suggest that not only the loss of protein expression but also the defect of Myddosome formation couldcause IRAK4 and MyD88 deficiency syndromes. PMID: 24316379
- IRAK4 is regulated by Interleukin 1/Toll-like receptor-induced autophosphorylation PMID: 24567333
- Studied the TMZ-induced changes in the proteome of the glioma-derived cell line (U251) by 2D DIGE. We found 95 protein spots to be significantly altered in their expression after TMZ treatment. PMID: 23595970
- Dominant negative mutants of IRAK4 and GAK show strong apoptotic effects in A498 cells under anoxia. PMID: 23591012
- these data highlight an unexpected role of IRAK4, Akt, and mTOR in the regulation of tolerance in human monocytes PMID: 23519847
- The results indicated that IRAK-4 gene silencing in MG63 cells inhibited cell proliferation and function and increase apoptosis, which may be related to the decreased Bcl-2/Bax ratio and inhibition of the protein expression. PMID: 22606974
- Evaluates the effects of stimulating or inhibiting the TLR/IL-1 receptor-associated kinases IRAK-1 and IRAK-4 in melanoma cells where their functions are largely unexplored. PMID: 23041547
- During bacterial infection, PGN-mediated TLR2 signaling induces miR-132/-212 to downregulate IRAK4. PMID: 23264652
- The IRAK4 SNPs rs3794262 and rs4251481 were associated with allergy to dust mites, but not other types of allergic rhinitis. PMID: 22932140
- IgM(+)IgD(+)CD27(+) but not switched B cells were strongly reduced in MYD88-, IRAK-4-, and TIRAP-deficient patients, but not UNC-93B-deficient patients. PMID: 23002119
- Experimental and natural infections in MyD88- and IRAK-4-deficient mice and humans. PMID: 23255009
- We report the association of two tag SNPS (i.e., rs1461567 and rs4251513) distributed in the IRAK4 gene with brain and ocular alterations in congenital toxoplasmosis. PMID: 23027530
- This study demonstrated that IRAK4 activation acts normally to regulate microglial activation status and influence amyloid homeostasis in the brain. PMID: 23100432
- investigation of signaling components that induce activation of post-transcriptional mechanism for IkappaB-zeta induction/activation: Activation of IRAK1 or IRAK4, but not TRAF6, is sufficient. PMID: 22059479
- genetic polymorphism is associated with increased prevalence of gram-positive infection and decreased response to toll-like receptor ligands PMID: 21576904
- The results demonstrated a gender- and allergen-dependant association pattern between polymorphisms in IRAK-4 and AR in Chinese population. PMID: 21738793
- These results indicate that IL-1beta-induced IL-6 production in A549 cells is mediated by both PI3K and IRAK4 and suggest that involvement of PI3K in the IL-1-induced IL-6 production is cell type specific. PMID: 21166654
- evidence that the structure-function similarities that we have identified between LYK3 and IRAK-4 may be more widely applicable to plant RLKs in general. PMID: 21205819
- LPS-induced activation of IRAK4 and TAK1, K63-linked polyubiquitination of IRAK1 and TRAF6, and disrupted IRAK1-TRAF6 and IRAK1-IKKgamma assembly associated with increased A20 expression PMID: 21220427
- Two variants found in the MyD88 death domain, S34Y and R98C, showed severely reduced NF-kappaB activation due to reduced homo-oligomerization and IRAK4 interaction PMID: 20966070
- Although IRAK4 kinase activity is essential for human plasmacytoid dendritic cell activation, it is dispensable in B, T, dendritic, and monocytic cells, which is in contrast with an essential active kinase role in comparable mouse cell types. PMID: 21160042
- IRAK-4-deficient patients have defects in T-cell activation. PMID: 20621347
- Data demonstrate that the vast majority of LPS-responsive genes in IRAK4-deficient monocytes were greatly suppressed, an observation that is consistent with the described role for IRAK4 as an essential component of TLR4 signalling. PMID: 20105294
- Mal is a substrate for IRAK1 and IRAK4 with phosphorylation promoting ubiquitination and degradation of Mal, which may serve to negatively regulate signaling by TLR2 and TLR4 PMID: 20400509
- the crystal structure of the MyD88-IRAK4-IRAK2 death domain (DD) complex, which surprisingly reveals a left-handed helical oligomer that consists of 6 MyD88, 4 IRAK4 and 4 IRAK2 DDs PMID: 20485341
- A detailed kinetic characterization of the phosphoryl transfer activity of IRAK-4 toward a peptide substrate derived from the activation loop of IRAK-1 is described. IRAK-4 obeys a sequential kinetic pathway. PMID: 20104875
- a novel member of the IRAK family with the properties of an IRAK-kinase PMID: 11960013
- Gene targeting studies show that IRAK-4 has an essential role in mediating signals initiated by IL-1R and TLR engagement. Review. PMID: 12297423
顯示更多
收起更多
-
相關疾病:Recurrent isolated invasive pneumococcal disease 1 (IPD1); IRAK4 deficiency (IRAK4D)
-
亞細胞定位:Cytoplasm.
-
蛋白家族:Protein kinase superfamily, TKL Ser/Thr protein kinase family, Pelle subfamily
-
數據庫鏈接:
Most popular with customers
-
-
Phospho-YAP1 (S127) Recombinant Monoclonal Antibody
Applications: ELISA, WB, IHC
Species Reactivity: Human
-
-
-
-
-
-















