IL36A Antibody
-
中文名稱:IL36A兔多克隆抗體
-
貨號:CSB-PA887028ESR2HU
-
規格:¥440
-
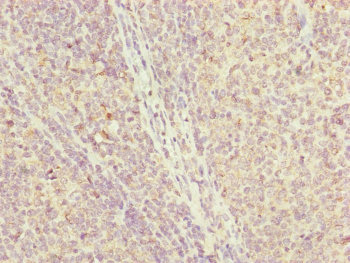
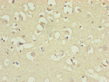
圖片:
-
其他:
產品詳情
-
產品名稱:Rabbit anti-Homo sapiens (Human) IL36A Polyclonal antibody
-
Uniprot No.:
-
基因名:IL36A
-
別名:FIL1 antibody; FIL1 epsilon antibody; FIL1(EPSILON) antibody; FIL1E antibody; IL 1 epsilon antibody; IL 1F6 antibody; IL 1H1 antibody; IL-1 epsilon antibody; IL-1F6 antibody; IL1E antibody; IL1F6 antibody; IL1F6_HUMAN antibody; IL1RP2 antibody; IL36 alpha antibody; IL36A antibody; Interleukin 1 epsilon antibody; Interleukin 1 family member 6 (epsilon) antibody; Interleukin 1 family member 6 antibody; Interleukin 36 alpha antibody; Interleukin-1 epsilon antibody; Interleukin-1 family member 6 antibody; MGC129552 antibody; MGC129553 antibody; MGC151479 antibody; MGC151481 antibody; OTTMUSP00000012798 antibody; RP23-176J12.4 antibody
-
宿主:Rabbit
-
反應種屬:Human
-
免疫原:Recombinant Human Interleukin-36 alpha protein (1-158AA)
-
免疫原種屬:Homo sapiens (Human)
-
標記方式:Non-conjugated
-
克隆類型:Polyclonal
-
抗體亞型:IgG
-
純化方式:Antigen Affinity Purified
-
濃度:It differs from different batches. Please contact us to confirm it.
-
保存緩沖液:PBS with 0.02% sodium azide, 50% glycerol, pH7.3.
-
產品提供形式:Liquid
-
應用范圍:ELISA, IHC
-
推薦稀釋比:
Application Recommended Dilution IHC 1:20-1:200 -
Protocols:
-
儲存條件:Upon receipt, store at -20°C or -80°C. Avoid repeated freeze.
-
貨期:Basically, we can dispatch the products out in 1-3 working days after receiving your orders. Delivery time maybe differs from different purchasing way or location, please kindly consult your local distributors for specific delivery time.
-
用途:For Research Use Only. Not for use in diagnostic or therapeutic procedures.
相關產品
靶點詳情
-
功能:Cytokine that binds to and signals through the IL1RL2/IL-36R receptor which in turn activates NF-kappa-B and MAPK signaling pathways in target cells linked to a pro-inflammatory response. Part of the IL-36 signaling system that is thought to be present in epithelial barriers and to take part in local inflammatory response; similar to the IL-1 system with which it shares the coreceptor IL1RAP. Seems to be involved in skin inflammatory response by acting on keratinocytes, dendritic cells and indirectly on T-cells to drive tissue infiltration, cell maturation and cell proliferation. In cultured keratinocytes induces the expression of macrophage, T-cell, and neutrophil chemokines, such as CCL3, CCL4, CCL5, CCL2, CCL17, CCL22, CL20, CCL5, CCL2, CCL17, CCL22, CXCL8, CCL20 and CXCL1, and the production of proinflammatory cytokines such as TNF-alpha, IL-8 and IL-6. In cultured monocytes upregulates expression of IL-1A, IL-1B and IL-6. In myeloid dendritic cells involved in cell maturation by upregulating surface expression of CD83, CD86 and HLA-DR. In monocyte-derived dendritic cells facilitates dendritic cell maturation and drives T-cell proliferation. May play a role in proinflammatory effects in the lung.
-
基因功能參考文獻:
- serum IL-36alpha levels were higher in active systemic lupus erythematosus patients and correlated with disease activity and arthritis PMID: 29571080
- Data suggest that interleukin-36alpha (IL-36alpha) plays an important role in the pathophysiology of inflammation and fibrosis in the pancreas via an autocrine function. PMID: 28099250
- The data identify a novel role for IL-36 signaling in colonic inflammation and indicate that the IL-36R pathway may represent a novel target for therapeutic intervention. PMID: 26813344
- IL-36a was displayed to be able to suppress the growth of epithelial ovarian cancer cells in our setting, which is suggestive of its druggable potential in curing the epithelial ovarian cancer and that upregulation of IL-36a was found to be capable of inhibiting the growth of epithelial ovarian cancer cells. PMID: 28621240
- Increased Expression of Interleukin-36 is associated with Inflammatory Bowel Disease. PMID: 26752465
- IL-36alpha acts as a pro-inflammatory cytokine at cartilage level, by increasing the expression of markers of inflammation and cartilage catabolism. PMID: 26560022
- Study shows that plasma concentrations of IL-36alpha and IL-36gamma are overexpressed in active systemic lupus erythematosus patients and that IL-36alpha has a substantial pro-inflammatory effect through regulation of IL-6 and CXCL8 production. PMID: 26516833
- increases maturation of monocyte-derived dendritic cells PMID: 25700962
- IL36A-IL36R axis is modulated in patients with primary Sjogren's syndrome. PMID: 25902739
- IL-36alpha was highly expressed in nearly half of all colorectal cancer patients. Low expression level of IL-36alpha correlated with larger tumor size and advanced cancer stage. Low expression of IL-36alpha resulted in a poor prognosis of colorectal cancer patients. PMID: 25550854
- Results show that IL-36alpha expression may play a pivotal role in determining the prognosis of hepatocellular carcinoma (HCC). PMID: 24061617
- The novel cytokine interleukin-36alpha is expressed in psoriatic and rheumatoid arthritis synovium. PMID: 23268368
- Expression of IL-1F6 is increased in human plaque psoriasis skin and in the lesional skin of transgenic mice compared with monotransgenic littermates. PMID: 21242515
- A functional IL-6 polymorphism has been weakly associated with level of peak bone mineral density and the rate of forearm trabecular postmenopausal bone loss in a cohort of women. PMID: 12110411
- Dysregulated expression in transgenic mice can promote cutaneous inflammation, revealing potential novel targets for the treatment of inflammatory skin disorders. PMID: 17908936
- IL-1 epsilon, an interleukin-1 agonist, activates NF-kappa B through the orphan IL-1 receptor-related protein 2 and may constitute part of an independent signaling system present in human epithelial barriers. PMID: 11466363
顯示更多
收起更多
-
亞細胞定位:Cytoplasm. Secreted.
-
蛋白家族:IL-1 family
-
組織特異性:Expressed in immune system and fetal brain, but not in other tissues tested or in multiple hematopoietic cell lines. Predominantly expressed in skin keratinocytes but not in fibroblasts, endothelial cells or melanocytes. Increased in lesional psoriasis sk
-
數據庫鏈接:
Most popular with customers
-
-
Phospho-YAP1 (S127) Recombinant Monoclonal Antibody
Applications: ELISA, WB, IHC
Species Reactivity: Human
-
-
-
-
-
-















