IL20 Antibody
-
中文名稱:IL20兔多克隆抗體
-
貨號:CSB-PA270025
-
規格:¥1100
-
圖片:
-
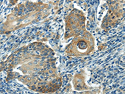
The image on the left is immunohistochemistry of paraffin-embedded Human cervical cancer tissue using CSB-PA270025(IL-20 Antibody) at dilution 1/35, on the right is treated with synthetic peptide. (Original magnification: ×200)
-
The image on the left is immunohistochemistry of paraffin-embedded Human thyroid cancer tissue using CSB-PA270025(IL-20 Antibody) at dilution 1/35, on the right is treated with synthetic peptide. (Original magnification: ×200)
-
-
其他:
產品詳情
-
Uniprot No.:
-
基因名:
-
別名:Cytokine Zcyto10 antibody; Four alpha helix cytokine antibody; IL-20 antibody; IL10D antibody; IL20 antibody; IL20_HUMAN antibody; Interleukin 20 antibody; Interleukin-20 antibody; MGC96907 antibody; UNQ852/PRO1801 antibody; ZCYTO10 antibody
-
宿主:Rabbit
-
反應種屬:Human
-
免疫原:Synthetic peptide of Human IL-20
-
免疫原種屬:Homo sapiens (Human)
-
標記方式:Non-conjugated
-
抗體亞型:IgG
-
純化方式:Antigen affinity purification
-
濃度:It differs from different batches. Please contact us to confirm it.
-
保存緩沖液:-20°C, pH7.4 PBS, 0.05% NaN3, 40% Glycerol
-
產品提供形式:Liquid
-
應用范圍:ELISA,IHC
-
推薦稀釋比:
Application Recommended Dilution ELISA 1:2000-1:5000 IHC 1:25-1:100 -
Protocols:
-
儲存條件:Upon receipt, store at -20°C or -80°C. Avoid repeated freeze.
-
貨期:Basically, we can dispatch the products out in 1-3 working days after receiving your orders. Delivery time maybe differs from different purchasing way or location, please kindly consult your local distributors for specific delivery time.
-
用途:For Research Use Only. Not for use in diagnostic or therapeutic procedures.
相關產品
靶點詳情
-
功能:Proinflammatory and angiogenic cytokine that may be involved in epidermal function and psoriasis. Angiogenic and proliferative activities are antagonized by IL10. May act through STAT3.
-
基因功能參考文獻:
- Authors demonstrated that ER(alpha), GATA3 and FOXA1 form a transcriptional complex with Ell3 to regulate IL-20 expression in ER(+) breast cancer cells. FOXA1 represses IL-20 expression, whereas GATA3 and ER(alpha) activate it. PMID: 28514748
- The authors results indicate that genetic variants of the immunomodulatory IL10 and IL20 genes may offer a protective effect in Europeans from Russia. PMID: 28150860
- data showed that IL-20 is independently associated with rheumatoid arthritis disease activity and may be triggered by TLR ligands at local sites of inflammation PMID: 28662439
- IL-20 is a multifunctional cytokine with potent inflammatory, angiogenic, chemoattractive, and osteoclastogenic effects, and is involved in the many phases of rheumatic arthritis progression. [Review] PMID: 26297177
- Data suggest that HGF, IL-20, and IL-22 in the serum and bronchoalveolar lavage fluid (BALF) of non-small cell lung cancer (NSCLC) patients before chemotherapy may be a prognostic of cancer progression. PMID: 27573644
- The current study provides evidence that IL-20 directly targets and inhibits key inflammatory functions of neutrophils during infection with S. aureus. PMID: 28424238
- Results found that IL-20 is more specifically associated with ER-positive breast cancer and is epigenetically regulated by estrogen via the specific recruitment of KMT2B by ERalpha. PMID: 27806114
- Coincident diabetes mellitus type 2 in either pulmonary or latent tuberculosis is characterized by decreased production of the IL-20 subfamily of cytokines. PMID: 26354610
- IL-20 serum levels were increased in patients with active multiple myeloma compared to both healthy controls and responders to bortezomib-based treatment.IL-20 participate actively in the pathophysiology of multiple myeloma progression. PMID: 25631632
- Overexpression of IL-20 was detected in the airway epithelium collected from patients with asthma. PMID: 25028099
- IL-20 may play a patho-physiologic role in the Th2 immune response in human asthma and may be a potential biomarker of asthma severity. PMID: 25543042
- IL-20 is produced by keratinocytes, released into the epidermis and then possibly taken up by papillary mononuclear cells PMID: 24628979
- Decreased interleukin-20 expression in scleroderma skin contributes to cutaneous fibrosis. PMID: 24470401
- We observed that IL-20 which is an IL-10 group angiogenesis indicator was suppressed in systemic sclerosis, suggesting abnormal angiogenesis. PMID: 23812620
- This study demonstrates that rs1713239 and infection may have potential synergetic effect on modulating the transcriptional activity of IL-20. PMID: 23892591
- The mRNA levels of p40, IL-20 and IL-21 at baseline may serve as potential predictors of treatment response to ustekinumab treatment in psoriasis. PMID: 22930279
- IL-10-- and IL-20--expressing epithelial and inflammatory cells are increased in patients with ulcerative colitis. PMID: 23207823
- the GG genotypes of the IL-20 polymorphisms (rs2981573 and rs2232360) might have an important role in the development of UC in the Mexican population. PMID: 23183096
- A blood test for discrimination of patients with acute cellular rejection from transplanted kidney is based on simultaneous quantification of three analytes: IL-1 receptor antagonist, IL-20 and soluble CD40 ligand. PMID: 22948742
- Interleukin-20 promotes migration of bladder cancer cells through extracellular signal-regulated kinase (ERK)-mediated MMP-9 protein expression leading to nuclear factor (NF-kappaB) activation by inducing the up-regulation of p21(WAF1) protein expression PMID: 23271730
- Elevated expression of inflammatory cytokines (IL-5, IL-20, and IL-28A) is associated with bladder cancer development. PMID: 22962576
- crystallographic asymmetric unit contains one IL-20-IL-20R1-IL-20R2 complex, corresponding to a solvent content of approximately 54% PMID: 22232181
- IL-20 & its receptors were epigenetically regulated through histone post-translational modifications and DNA CpG residue methylation. Also, treatment with recombinant IL-20 resulted in decreased expression of the VEGF family members at the mRNA level. PMID: 21565488
- The G allele of the IL-20 -1723C to G polymorphism may contribute to a genetic susceptibility to psoriasis in the Chinese Han population, particularly in patients with psoriasis triggered or exacerbated by an upper respiratory tract infection. PMID: 21109726
- in premenopausal obese women, interleukin-20 levels are higher than matched normal weight control women, are associated with body weight and waist-hip ratio, and are reduced by weight loss PMID: 19481430
- Essentially identical phenotypes in transgenic mouse models for IL-20, IL-22, and IL-24 suggest that the three related cytokines play a redundant role in keratinocyte differentiation and proliferation. PMID: 20061404
- human IL-20 enhanced colony formation by CD34+ multipotential progenitors, buthad no effect on erythroid, granulocyte-macrophage, or megakaryocyte progenitors. PMID: 12855566
- IL-19 and IL-20 are synthesized by a distinct population of keratinocytes. PMID: 14675174
- Altogether our findings revealed that IL-20 is a negative modulator of COX-2/PGE(2) and inhibits angiogenesis. PMID: 15950941
- IL-20 is a pleiotropic cytokine and promotes angiogenesis. PMID: 16511554
- IL-20 may influence inflammation through IFN-like effects. These data indicate that IL-20 may be an important effector cytokine in psoriasis, and that its inhibition may represent a potential therapeutic target. PMID: 16645593
- Ultraviolet light with photosensitizing agents had little effect or decreased epithelial keratinocyte il-20 levels. PMID: 16709143
- IL-20 is a proatherogenic cytokine that contributes to the progression of atherosclerosis. PMID: 16778121
- IL-20 protein is expressed in 30 non-neoplastic tissue types and five major cell types: epithelial cells, myoepithelial cells, endothelial cells, macrophages, skeletal muscle cells, and several types of tumor cells. PMID: 16908179
- p38 mitogen-activated protein kinase (MAPK) as well as inhibitory kappaB kinase-NF-kappaB signaling pathways are crucial for IL-20 expression in keratinocytes PMID: 17255956
- Review. The role of IL-20 in the pathogenesis of inflammatory diseases is reviewed. PMID: 17465720
- Activation of toll-like receptors 2 and 3 show keratinocytes in the simultaneous presence of IL-20 and IL-29. PMID: 18281438
- results suggest that IL10 and IL20 gene variants influence hepatitis B virus infection outcome PMID: 18479293
- IL-20 plays an important role in the pathogenesis of disc herniation. PMID: 18758357
- novel effects of IL-20 on mesangial cells and its association with lupus nephritis. PMID: 18771958
- IL-20 was responsive to hypoxia in vitro and in the ischemic stroke model and that up-regulation of IL-20 in the ischemic brain may contribute to brain injury PMID: 19342680
- Data show that in lesional skin of psoriasis patients, highly elevated IL-20 levels strongly correlated with IL-22, and to a lesser extent, with IL-17A and TNF-alpha. PMID: 19830738
顯示更多
收起更多
-
亞細胞定位:Secreted.
-
蛋白家族:IL-10 family
-
組織特異性:Expressed in most tissues and five major cell types: epithelial cells (primarily skin, buccal mucosa, tongue, nasal mucosa, lung, ureter, breast, prostate, fallopian tube, and adrenal gland), myoepithelial cells (mainly prostate), endothelial cells (mainl
-
數據庫鏈接:
Most popular with customers
-
-
-
-
-
-
-
VDAC1 Recombinant Monoclonal Antibody
Applications: ELISA, WB, IHC
Species Reactivity: Human, Mouse, Rat
-
VCP Recombinant Monoclonal Antibody
Applications: ELISA, WB, IHC, IF, IP
Species Reactivity: Human, Rat















