-
中文名稱:IFIT1兔多克隆抗體
-
貨號:CSB-PA011018LA01HU
-
規格:¥3900
-
圖片:
-
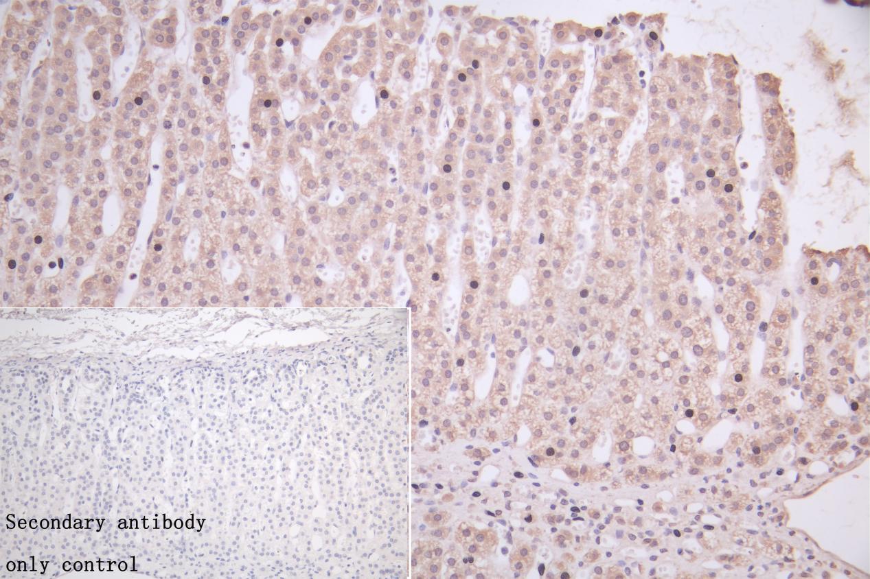
IHC image of CSB-PA011018LA01HU diluted at 1:50 and staining in paraffin-embedded human adrenal gland tissue performed on a Leica BondTM system. After dewaxing and hydration, antigen retrieval was mediated by high pressure in a citrate buffer (pH 6.0). Section was blocked with 10% normal goat serum 30min at RT. Then primary antibody (1% BSA) was incubated at 4°C overnight. The primary is detected by a Goat anti-rabbit polymer IgG labeled by HRP and visualized using 0.05% DAB. Secondary antibody only control: uses 1% BSA instead of primary antibody.
-
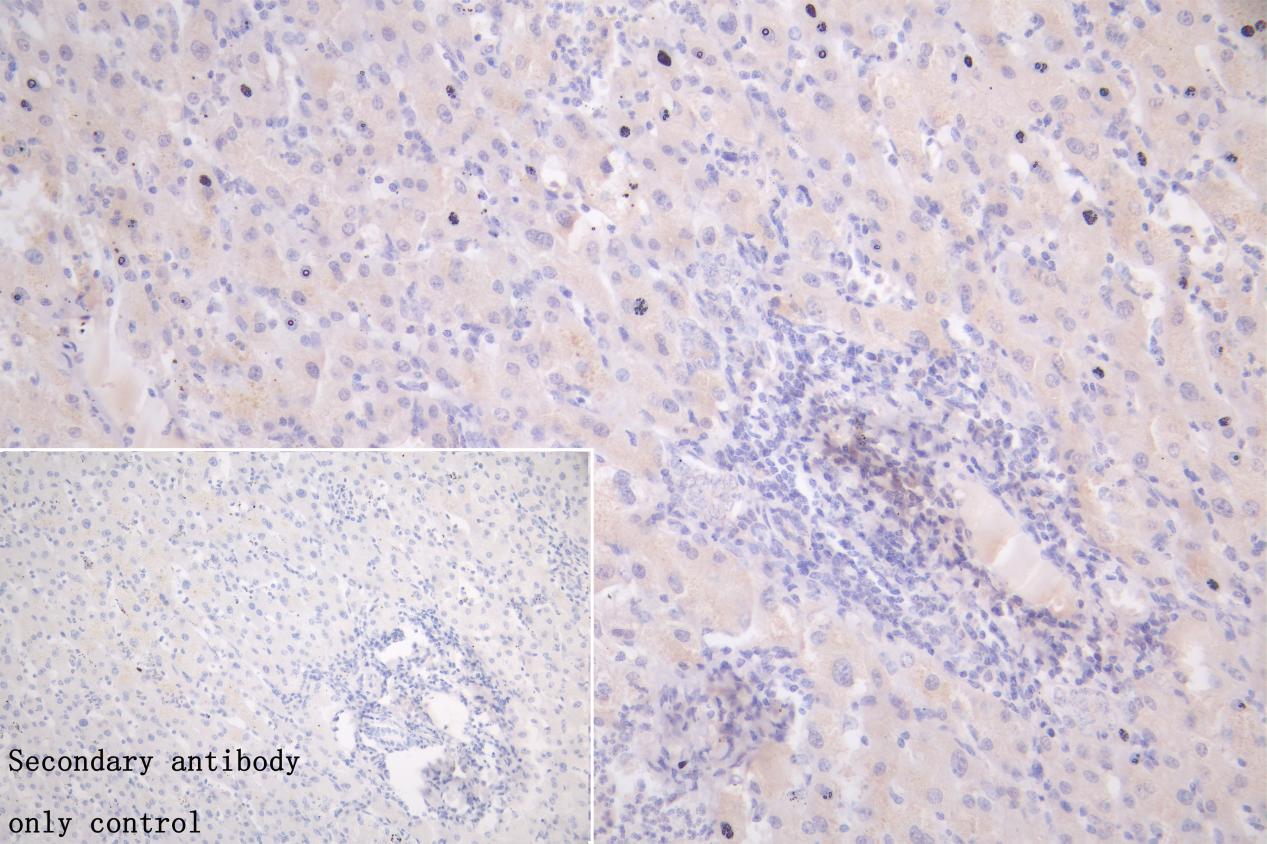
IHC image of CSB-PA011018LA01HU diluted at 1:50 and staining in paraffin-embedded human liver cancer performed on a Leica BondTM system. After dewaxing and hydration, antigen retrieval was mediated by high pressure in a citrate buffer (pH 6.0). Section was blocked with 10% normal goat serum 30min at RT. Then primary antibody (1% BSA) was incubated at 4°C overnight. The primary is detected by a Goat anti-rabbit polymer IgG labeled by HRP and visualized using 0.05% DAB. Secondary antibody only control: uses 1% BSA instead of primary antibody.
-
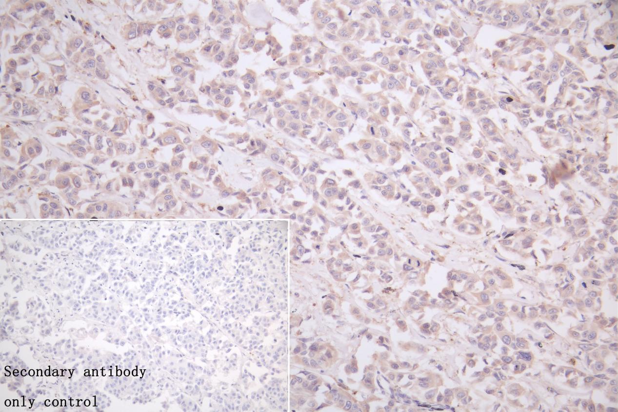
IHC image of CSB-PA011018LA01HU diluted at 1:50 and staining in paraffin-embedded human breast cancer performed on a Leica BondTM system. After dewaxing and hydration, antigen retrieval was mediated by high pressure in a citrate buffer (pH 6.0). Section was blocked with 10% normal goat serum 30min at RT. Then primary antibody (1% BSA) was incubated at 4°C overnight. The primary is detected by a Goat anti-rabbit polymer IgG labeled by HRP and visualized using 0.05% DAB. Secondary antibody only control: uses 1% BSA instead of primary antibody.
-
Western Blot
Positive WB detected in: Hela whole cell lysate, Mouse Liver tissue lysate, Rat Liver tissue lysate
All lanes: IFIT1 antibody at 1:1000
Secondary
Goat polyclonal to rabbit IgG at 1/50000 dilution
Predicted band size: 56 kDa
Observed band size: 56 kDa -
Western Blot
Positive WB detected in: untreated Hela whole cell lysate, IFN beta treated Hela whole cell lysate
All lanes: IFIT1 antibody at 1:1000
Secondary
Goat polyclonal to rabbit IgG at 1/50000 dilution
Predicted band size: 56 kDa
Observed band size: 56 kDa
-
-
其他:
產品詳情
-
產品描述:
IFIT1 antibody CSB-PA011018LA01HU was produced in the rabbits immunized by using the recombinant human IFIT1 protein (1-18aa) as the immunogen. The target protein IFIT1 recognizes viral RNA and inhibits viral replication, playing a crucial role in innate immune defense against viral infections. IFIT1 has also been shown to modulate the inflammatory response to viral infections by regulating the expression of pro-inflammatory cytokines. Aberrant expression or activity of IFIT1 has been implicated in various diseases, including viral infections and autoimmune disorders.
This rabbit anti-human IFIT1 polyclonal antibody was tested in the ELISA, WB, IHC, and IF applications. The non-conjugated IgG got purified by protein G and reached up to 95% in purity. It reacts with the IFIT1 proteins from human, mouse, and rat samples.
-
產品名稱:Rabbit anti-Homo sapiens (Human) IFIT1 Polyclonal antibody
-
Uniprot No.:
-
基因名:IFIT1
-
別名:C56 antibody; G10P1 antibody; GARG 16 antibody; GARG16 antibody; IFI 56 antibody; IFI 56K antibody; IFI-56K antibody; IFI56 antibody; IFIT-1 antibody; Ifit1 antibody; IFIT1_HUMAN antibody; IFNAI1 antibody; Interferon alpha inducible protein (MW 56kD) antibody; Interferon induced 56 kDa protein antibody; Interferon induced protein 56 antibody; Interferon inducible mRNA 561 antibody; Interferon-induced 56 kDa protein antibody; Interferon-induced protein with tetratricopeptide repeats 1 antibody; ISG56 antibody; OTTHUMP00000020062 antibody; P56 antibody; RNM561 antibody
-
宿主:Rabbit
-
反應種屬:Human, Mouse, Rat
-
免疫原:Recombinant Human Interferon-induced protein with tetratricopeptide repeats 1 protein
-
免疫原種屬:Homo sapiens (Human)
-
標記方式:Non-conjugated
本頁面中的產品,IFIT1 Antibody (CSB-PA011018LA01HU),的標記方式是Non-conjugated。對于IFIT1 Antibody,我們還提供其他標記。見下表:
-
克隆類型:Polyclonal
-
抗體亞型:IgG
-
純化方式:Antigen Affinity purified
-
濃度:It differs from different batches. Please contact us to confirm it.
-
保存緩沖液:Preservative: 0.02% sodium azide Constituents: PBS containing 50% glycerol pH 7.3
-
產品提供形式:Liquid
-
應用范圍:ELISA, WB, IHC
-
推薦稀釋比:
Application Recommended Dilution WB 1:1000-1:5000 IHC 1:20-1:200 -
Protocols:
-
儲存條件:Upon receipt, store at -20°C or -80°C. Avoid repeated freeze.
-
貨期:Basically, we can dispatch the products out in 1-3 working days after receiving your orders. Delivery time maybe differs from different purchasing way or location, please kindly consult your local distributors for specific delivery time.
-
用途:For Research Use Only. Not for use in diagnostic or therapeutic procedures.
引用文獻
- Cancer-associated fibroblast-derived CXCL11 modulates hepatocellular carcinoma cell migration and tumor metastasis through the circUBAP2/miR-4756/IFIT1/3 axis Shuang-Jian Qiu,Cell Death & Disease,2021
相關產品
靶點詳情
-
功能:Interferon-induced antiviral RNA-binding protein that specifically binds single-stranded RNA bearing a 5'-triphosphate group (PPP-RNA), thereby acting as a sensor of viral single-stranded RNAs and inhibiting expression of viral messenger RNAs. Single-stranded PPP-RNAs, which lack 2'-O-methylation of the 5' cap and bear a 5'-triphosphate group instead, are specific from viruses, providing a molecular signature to distinguish between self and non-self mRNAs by the host during viral infection. Directly binds PPP-RNA in a non-sequence-specific manner. Viruses evolved several ways to evade this restriction system such as encoding their own 2'-O-methylase for their mRNAs or by stealing host cap containing the 2'-O-methylation (cap snatching mechanism). Exhibits antiviral activity against several viruses including human papilloma and hepatitis C viruses.
-
基因功能參考文獻:
- Induction of IFIT1 in response to H9N2 virus infection or viral particle inoculation was more sensitive in HUVECs than in BEAS-2Bs. Data offers new insight into the innate immune response of endothelial cells to H9N2 virus infection. PMID: 29629559
- Human IFIT1 and mouse IFIT1B have divergent antiviral specificities: only IFIT1 proteins inhibit a virus encoding a cap 2'O-methyltransferase. PMID: 27240734
- Taken together, this study revealed that IFIT1 played an important antiviral role in human cytomegalovirus infected fetal astrocytes. PMID: 27589693
- Glioblastoma patients with high IFIT1 and low MGMT expression have an improved prognosis. PMID: 26980050
- IFIT1 significantly inhibited human parainfluenza virus type 3, whereas IFIT2, IFIT3, and IFIT5 were less effective or not at all. PMID: 27707917
- All the rubulaviruses tested were sensitive to the antiviral action of ISG56/IFIT1. PMID: 27512068
- IFIT1 is involved in the regulation of IFNalpha treatment for chronic hepatitis B and its polymorphism rs303218 can predict the end point virological response. PMID: 27956805
- IFIT1 is not a dominant restriction factor against three different families of negative-sense RNA viruses. PMID: 26157117
- Reovirus T3D infection induced STAT-1, ISG-15, IFIT-1, Mx1, and IFIT-3 expression. PMID: 25905045
- protein expression is inhibited by hepatitis C virus PMID: 23529855
- The specificity of IFIT1 for 2'O-unmethylated RNA serves as potent antiviral mechanism against viruses lacking 2'O-methyltransferase activity and at the same time allows unperturbed progression of the antiviral program in infected cells. PMID: 24098121
- TLR4 signaling, induced by LPS, increases the expression of melanoma differentiation-associated gene 5 (MDA5) and interferon PMID: 23684765
- ISG56 may play a role in immune and inflammatory reactions induced by toll-like receptor 3 signaling in human mesangial cells. PMID: 23363937
- Results indicate that miR-203 is an interferon-inducible miRNA that can negatively regulate a number of cellular mRNAs, including an interferon-stimulated gene target, IFIT1/ISG56, by destabilizing its mRNA transcript. PMID: 23785202
- Data suggested that PIV5 mRNAs are methylated at the 2'-hydroxyl group and that ISG56/IFIT1 inhibits the translation of PIV5 mRNA by some unrecognized mechanism. Also ISG56/IFIT1 is primarily responsible for the IFN-induced inhibition of PIV5. PMID: 23052390
- crystal structures of human IFIT5, its complex with PPP-RNAs, and an amino-terminal fragment of IFIT1 PMID: 23334420
- Hepatitis C virus infection suppresses the upregulation of a subset of effector molecules, including ISG56 and IFITM1. PMID: 21976647
- ISG56 interacts with ribosomal protein L15 in gastric cancer cells. PMID: 21612406
- Expression of ifi56 is enhanced significantly when the differentiation of APL cells was induced by all-trans retinoic acid. PMID: 21129252
- IFIT1 bound PPP-RNA antagonizes viruses by sequestering specific viral nucleic acids. PMID: 21642987
- The authors present evidence that P56 (ISG56 protein), the expression of which is strongly induced by IFN, double-stranded RNA and viruses, mediates the anti-HPV effect of IFN. PMID: 19008854
- ISG56 is a mediator of negative-feedback regulation of virus-triggered induction of type I IFNs and cellular antiviral responses PMID: 19416887
顯示更多
收起更多
-
亞細胞定位:Cytoplasm.
-
蛋白家族:IFIT family
-
數據庫鏈接:
Most popular with customers
-
-
Phospho-YAP1 (S127) Recombinant Monoclonal Antibody
Applications: ELISA, WB, IHC
Species Reactivity: Human
-
-
-
-
-
-















