H2AFY Antibody
-
中文名稱:H2AFY兔多克隆抗體
-
貨號:CSB-PA010098DSR1HU
-
規格:¥440
-
圖片:
-
Western blot
All lanes: H2AFY antibody at 1.43µg/ml + Hela whole cell lysate
Secondary
Goat polyclonal to rabbit IgG at 1/10000 dilution
Predicted band size: 40 kDa
Observed band size: 40 kDa -
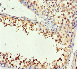
Immunohistochemistry of paraffin-embedded human testis tissue using CSB-PA010098DSR1HU at dilution of 1:100
-
Immunohistochemistry of paraffin-embedded human thyroid tissue using CSB-PA010098DSR1HU at dilution of 1:100
-
-
其他:
產品詳情
-
產品名稱:Rabbit anti-Homo sapiens (Human) H2AFY Polyclonal antibody
-
Uniprot No.:
-
基因名:
-
別名:Core histone macro h2a.1 antibody; Core histone macro-H2A.1 antibody; H2A histone family member Y antibody; H2A.y antibody; H2A/y antibody; H2AF12M antibody; H2AFJ antibody; H2afy antibody; H2AY_HUMAN antibody; Histone H2A.Y antibody; Histone macroH2A1 antibody; Histone macroH2A1.1 antibody; Histone macroH2A1.2 antibody; Macroh2a1 antibody; MACROH2A1.1 antibody; MacroH2A1.2 antibody; Medulloblastoma antigen MU MB 50.205 antibody; Medulloblastoma antigen MU-MB-50.205 antibody; mH2a antibody; mH2A1 antibody
-
宿主:Rabbit
-
反應種屬:Human
-
免疫原:Recombinant Human Core histone macro-H2A.1 protein (123-372AA)
-
免疫原種屬:Homo sapiens (Human)
-
標記方式:Non-conjugated
-
克隆類型:Polyclonal
-
抗體亞型:IgG
-
純化方式:Antigen Affinity Purified
-
濃度:It differs from different batches. Please contact us to confirm it.
-
保存緩沖液:PBS with 0.02% sodium azide, 50% glycerol, pH7.3.
-
產品提供形式:Liquid
-
應用范圍:ELISA, WB, IHC
-
推薦稀釋比:
Application Recommended Dilution WB 1:1000-1:5000 IHC 1:20-1:200 -
Protocols:
-
儲存條件:Upon receipt, store at -20°C or -80°C. Avoid repeated freeze.
-
貨期:Basically, we can dispatch the products out in 1-3 working days after receiving your orders. Delivery time maybe differs from different purchasing way or location, please kindly consult your local distributors for specific delivery time.
-
用途:For Research Use Only. Not for use in diagnostic or therapeutic procedures.
相關產品
靶點詳情
-
功能:Variant histone H2A which replaces conventional H2A in a subset of nucleosomes where it represses transcription. Nucleosomes wrap and compact DNA into chromatin, limiting DNA accessibility to the cellular machineries which require DNA as a template. Histones thereby play a central role in transcription regulation, DNA repair, DNA replication and chromosomal stability. DNA accessibility is regulated via a complex set of post-translational modifications of histones, also called histone code, and nucleosome remodeling. Involved in stable X chromosome inactivation. Inhibits the binding of transcription factors, including NF-kappa-B, and interferes with the activity of remodeling SWI/SNF complexes. Inhibits histone acetylation by EP300 and recruits class I HDACs, which induces a hypoacetylated state of chromatin.; Binds ADP-ribose and O-acetyl-ADP-ribose, and may be involved in ADP-ribose-mediated chromatin modulation. Increases the expression of genes involved in redox metabolism, including SOD3.; Represses SOD3 gene expression.
-
基因功能參考文獻:
- This article points to a splicing-regulated, proto-oncogenic role for the macroH2A1.2 variant and suggests manipulation of macroH2A1.2 expression as a potential therapeutic means to interfere with tumorigenesis. PMID: 29249653
- The Skp2-mH2A1-CDK8 axis has a critical role in breast cancer development via dysregulation of the G2/M transition, polyploidy, cell growth dysregulation, and loss of tumor suppression. PMID: 25818643
- We show that composite nucleosomes containing mH2A and NRF-1 are stably positioned on gene regulatory regions and can buffer transcriptional noise associated with antiviral responses PMID: 25959814
- High MacroH2A1 expression is associated with epigenetic markers for activation of lipogenic genes in fat-induced steatosis. PMID: 25526730
- macroH2A1.1 expression correlates with poor survival of triple-negative breast cancer patients PMID: 24911873
- MacroH2A1.1 and PARP-1 cooperate to regulate transcription by promoting CBP-mediated H2B acetylation. PMID: 25306110
- MacroH2A1 specifically recruits PELP1 to the promoters of macroH2A1 target genes, but macroH2A1 occupancy occurs independent of PELP1. This recruitment allows macroH2A1 and PELP1 to cooperatively regulate gene expression outcomes. PMID: 24752897
- The results demonstrate that macroH2A1 is a new factor involved in the regulation of rDNA transcription. PMID: 24071584
- macro histone variants (macroH2A) are expressed at low levels in stem cells and are up-regulated during differentiation PMID: 23595991
- Both macroH2A1 isoforms may play a role in hepatocellular carcinoma pathogenesis and may be considered as novel diagnostic markers for human hepatocellular carcinoma. PMID: 23372727
- MacroH2A1 splicing isoforms differentially regulate the transcription of a set of genes involved in redox metabolism. PMID: 23022728
- The histone variant macroH2A1.1 is recruited to DNA double-strand breaks through a mechanism involving PARP1. PMID: 23031826
- Within the macro domain of mH2A1.2, a trinucleotide insertion (-EIS-) sequence not found in mH2A1.1 was essential for the interaction between HER-2 and mH2A1.2 as well as mH2A1.2-induced HER-2 expression and cell proliferation. PMID: 22589551
- ATRX (alpha-thalassemia/MR, X-linked) is a novel macroH2A-interacting protein PMID: 22391447
- H2AFY is specifically overexpressed in the blood and frontal cortex of patients with Huntington disease compared with controls PMID: 21969577
- macroH2A can play either a positive or negative role in transcriptional regulation in a context-dependent manner. Additionally, macroH2A has been linked to the control of the cell cycle and cell proliferation. PMID: 20543561
- significant inverse correlation between mH2A and CDK8 expression levels exists in melanoma patient samples PMID: 21179167
- distributed during the maintainance phase of x inactivation throughout cell cycle PMID: 12082075
- MACROH2A1 deposition is regulated by the CULLIN3/SPOP ligase complex and is actively involved in stable X inactivation. PMID: 15897469
- A specific interaction between mH2A1.1 and PARP-1 was demonstrated and found to be associated with inactivation of PARP-1 enzymatic activity. PMID: 17158748
- multiple short sequences dispersed along the macroH2A1 histone domain individually supported enrichment on the inactive X chromosome when introduced into H2A PMID: 17570398
- A phosphorylation site, S137ph, was identified in mH2A1;S137ph is enriched in mitosis. PMID: 18227505
- expression of histone macroH2A1.1 and macroH2A2 predicts lung cancer recurrence. PMID: 19648962
- show that distinct macrodomains, including those of histone macroH2A1.1, are recruited to sites of PARP1 activation induced by laser-generated DNA damage. PMID: 19680243
- an unexpected role for macroH2A1 in the escape from heterochromatin-associated silencing and the enhancement of autosomal gene transcription PMID: 20008927
顯示更多
收起更多
-
亞細胞定位:Nucleus. Chromosome.
-
組織特異性:Widely expressed.
-
數據庫鏈接:
Most popular with customers
-
-
Phospho-YAP1 (S127) Recombinant Monoclonal Antibody
Applications: ELISA, WB, IHC
Species Reactivity: Human
-
-
-
-
-
-















