FATE1 Antibody
-
中文名稱:FATE1兔多克隆抗體
-
貨號:CSB-PA839274LA01HU
-
規格:¥440
-
圖片:
-
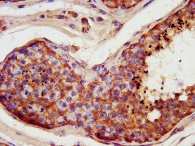
IHC image of CSB-PA839274LA01HU diluted at 1:400 and staining in paraffin-embedded human testis tissue performed on a Leica BondTM system. After dewaxing and hydration, antigen retrieval was mediated by high pressure in a citrate buffer (pH 6.0). Section was blocked with 10% normal goat serum 30min at RT. Then primary antibody (1% BSA) was incubated at 4°C overnight. The primary is detected by a biotinylated secondary antibody and visualized using an HRP conjugated SP system.
-
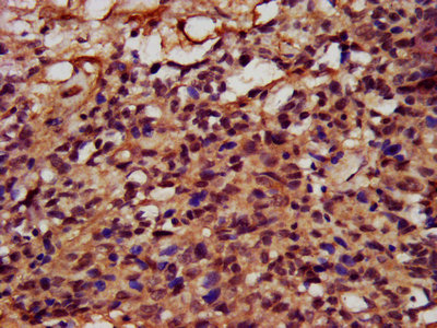
IHC image of CSB-PA839274LA01HU diluted at 1:400 and staining in paraffin-embedded human ovarian cancer performed on a Leica BondTM system. After dewaxing and hydration, antigen retrieval was mediated by high pressure in a citrate buffer (pH 6.0). Section was blocked with 10% normal goat serum 30min at RT. Then primary antibody (1% BSA) was incubated at 4°C overnight. The primary is detected by a biotinylated secondary antibody and visualized using an HRP conjugated SP system.
-
Immunofluorescent analysis of A549 cells using CSB-PA839274LA01HU at dilution of 1:100 and Alexa Fluor 488-congugated AffiniPure Goat Anti-Rabbit IgG(H+L)
-
-
其他:
產品詳情
-
產品名稱:Rabbit anti-Homo sapiens (Human) FATE1 Polyclonal antibody
-
Uniprot No.:
-
基因名:FATE1
-
別名:FATE1; FATE; Fetal and adult testis-expressed transcript protein; Cancer/testis antigen 43; CT43; Tumor antigen BJ-HCC-2
-
宿主:Rabbit
-
反應種屬:Human
-
免疫原:Recombinant Human Fetal and adult testis-expressed transcript protein (1-162AA)
-
免疫原種屬:Homo sapiens (Human)
-
標記方式:Non-conjugated
本頁面中的產品,FATE1 Antibody (CSB-PA839274LA01HU),的標記方式是Non-conjugated。對于FATE1 Antibody,我們還提供其他標記。見下表:
-
克隆類型:Polyclonal
-
抗體亞型:IgG
-
純化方式:>95%, Protein G purified
-
濃度:It differs from different batches. Please contact us to confirm it.
-
保存緩沖液:Preservative: 0.03% Proclin 300
Constituents: 50% Glycerol, 0.01M PBS, PH 7.4 -
產品提供形式:Liquid
-
應用范圍:ELISA, IHC, IF
-
推薦稀釋比:
Application Recommended Dilution IHC 1:200-1:500 IF 1:50-1:500 -
Protocols:
-
儲存條件:Upon receipt, store at -20°C or -80°C. Avoid repeated freeze.
-
貨期:Basically, we can dispatch the products out in 1-3 working days after receiving your orders. Delivery time maybe differs from different purchasing way or location, please kindly consult your local distributors for specific delivery time.
-
用途:For Research Use Only. Not for use in diagnostic or therapeutic procedures.
相關產品
靶點詳情
-
功能:Involved in the regulation of endoplasmic reticulum (ER)-mitochondria coupling. Negatively regulates the ER-mitochondria distance and Ca(2+) transfer from ER to mitochondria possibly implicating it in the regulation of apoptosis. May collaborate with RNF183 to restrain BIK protein levels thus regulating apoptotic signaling.
-
基因功能參考文獻:
- In patients with ACC, FATE1 expression in their tumor is inversely correlated with their overall survival. the ER-mitochondria uncoupling activity of FATE1 is harnessed by cancer cells to escape apoptotic death and resist the action of chemotherapeutic drugs. PMID: 27402544
- FATE1 is a key survival factor in multiple oncogenic backgrounds. FATE1 prevents the accumulation of the stress-sensing BH3-only protein, BCL-2-Interacting Killer (BIK), thereby permitting viability in the presence of toxic stimuli. PMID: 26567849
- This study has shown that only 1.4% of infertile men have mutations in the FATE gene, and that some of these mutations do not singly cause infertility. PMID: 12811541
-
亞細胞定位:Mitochondrion. Mitochondrion outer membrane. Endoplasmic reticulum membrane; Single-pass membrane protein; Cytoplasmic side.
-
組織特異性:Testis-specific in fetus (aged from 6 to 11 weeks). In adult, expressed predominantly in testis, with some expression in lung, heart, kidney, adrenal gland and whole brain. Highly expressed in certain types of cancer tissues such as hepatocellular carcino
-
數據庫鏈接:
Most popular with customers
-
-
Phospho-YAP1 (S127) Recombinant Monoclonal Antibody
Applications: ELISA, WB, IHC
Species Reactivity: Human
-
-
-
-
-
-















