-
中文名稱:FAS兔多克隆抗體
-
貨號:CSB-PA06354A0Rb
-
規格:¥440
-
圖片:
-
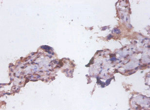
Immunohistochemistry of paraffin-embedded human placenta tissue using CSB-PA06354A0Rb at dilution of 1:100
-
Immunofluorescence staining of A549 cells with CSB-PA06354A0Rb at 1:400, counter-stained with DAPI. The cells were fixed in 4% formaldehyde, permeabilized using 0.2% Triton X-100 and blocked in 10% normal Goat Serum. The cells were then incubated with the antibody overnight at 4°C. The secondary antibody was Alexa Fluor 488-congugated AffiniPure Goat Anti-Rabbit IgG(H+L).
-
-
其他:
產品詳情
-
產品名稱:Rabbit anti-Homo sapiens (Human) FAS Polyclonal antibody
-
Uniprot No.:
-
基因名:
-
別名:FAS; APT1; FAS1; TNFRSF6; Tumor necrosis factor receptor superfamily member 6; Apo-1 antigen; Apoptosis-mediating surface antigen FAS; FASLG receptor; CD antigen CD95
-
宿主:Rabbit
-
反應種屬:Human
-
免疫原:Recombinant Human Tumor necrosis factor receptor superfamily member 6 protein (26-171AA)
-
免疫原種屬:Homo sapiens (Human)
-
標記方式:Non-conjugated
本頁面中的產品,FAS Antibody (CSB-PA06354A0Rb),的標記方式是Non-conjugated。對于FAS Antibody,我們還提供其他標記。見下表:
-
克隆類型:Polyclonal
-
抗體亞型:IgG
-
純化方式:>95%, Protein G purified
-
濃度:It differs from different batches. Please contact us to confirm it.
-
保存緩沖液:Preservative: 0.03% Proclin 300
Constituents: 50% Glycerol, 0.01M PBS, PH 7.4 -
產品提供形式:Liquid
-
應用范圍:ELISA, IHC, IF
-
推薦稀釋比:
Application Recommended Dilution IHC 1:20-1:200 IF 1:50-1:500 -
Protocols:
-
儲存條件:Upon receipt, store at -20°C or -80°C. Avoid repeated freeze.
-
貨期:Basically, we can dispatch the products out in 1-3 working days after receiving your orders. Delivery time maybe differs from different purchasing way or location, please kindly consult your local distributors for specific delivery time.
-
用途:For Research Use Only. Not for use in diagnostic or therapeutic procedures.
引用文獻
- Fermented Protaetia brevitarsis Larvae ameliorates chronic ethanol-induced hepatotoxicity in mice via AMPK and TLR-4/TGF-β1 pathways HL Lee,Journal of microbiology and biotechnology,2024
- Hepatoprotective Effect of Allium ochotense Extracts on Chronic Alcohol-Induced Fatty Liver and Hepatic Inflammation in C57BL/6 Mice MJ Go,International journal of molecular sciences,2024
相關產品
靶點詳情
-
功能:Receptor for TNFSF6/FASLG. The adapter molecule FADD recruits caspase-8 to the activated receptor. The resulting death-inducing signaling complex (DISC) performs caspase-8 proteolytic activation which initiates the subsequent cascade of caspases (aspartate-specific cysteine proteases) mediating apoptosis. FAS-mediated apoptosis may have a role in the induction of peripheral tolerance, in the antigen-stimulated suicide of mature T-cells, or both. The secreted isoforms 2 to 6 block apoptosis (in vitro).
-
基因功能參考文獻:
- that FAS death domain or TP53 DNA-binding domain mutations, down-regulation of FAS receptor expression PMID: 30278467
- CD95-mediated apoptosis induces Pim-1 down-regulation in Burkitt's lymphoma (BL) B-cells, but Pim-1 down-regulation cannot fully eradicate BL and leukaemia. PMID: 27641442
- Fas single-nucleotide polymorphisms rs2234767 and rs1800682 are involved in the pathogenesis of Idiopathic Aplastic Anemia PMID: 29611722
- The mRNA expression of FAS was lower in patients with TP53 mutation than TP53 wild-type. Our findings suggest that TP53 mutation is a potential negative predictor of metastatic melanoma treated with CTLA-4 blockade. PMID: 29793878
- Complete local landscape for a defined molecular function-the alternative splicing of an exon (FAS/CD95 exon 6). The extensive epistasis in the landscape predicts that exonic regulatory sequences may diverge between species even when exon inclusion levels are functionally important and conserved by selection. PMID: 27161764
- Paper analyses results of serum cytokines and lymphocyte apoptosis study in nodular goiter against the background of autoimmune thyroiditis and thyroid adenoma based on the cell preparedness to apoptosis, the number of apoptotic lymphocytes and the content of proapoptotic tumor necrosis factor-alpha, interleukins in serum, considering the polymorphism of BCL-2, CTLA-4 and APO-1 genes. PMID: 29250672
- These results demonstrated that overexpression of ING4 can induce the apoptosis of melanoma cells and CD3+ T cells through signaling pathways such as the Fas/FasL pathway, and that ING4 gene therapy for melanoma treatment is a novel approach. PMID: 29207034
- Tag7 activates lymphocytes capable of Fasl-Fas-dependent contact killing of virus-infected cells. PMID: 29083508
- These results indicated that cMyc and Fas regulated the sensitivity of A549 cells to irradiation by regulating caspase8-mediated Bid activation and the subsequent association with the mitochondrial pathway of apoptosis. PMID: 28849062
- this study characterized in juvenile systemic lupus erythematosus a distinct profile from adult SLE that comprises increased sFas, sTRAIL, and reduced sFasL, notably in patients with active disease and with nephritis. PMID: 28378099
- results from the current study showed that the association of FAS-670A/G SNP with idiopathic azoospermia was not found in a population of men with idiopathic infertility. PMID: 28942044
- The Btk-dependent PIP5K1gamma lipid kinase activation by Fas counteracts FasL-induced cell death. PMID: 28879546
- Study identify genes highly expressed in Kras knockout lung cancer cells, including the Fas receptor gene. Antibodies that activate Fas receptor selectively induced apoptosis in Kras-independent lung cancer cells suggesting that FAS is involved in KRAS-related drug resistance. PMID: 28320962
- The authors observed differential expression of CD95(Fas) in CD27(+) B-cells from cirrhotic patients that was inversely correlated with peripheral CD27(+) B-cell frequency. They conclude that peripheral CD27(+) memory B-cells in cirrhosis exhibit increased sensitivity to Fas-induced apoptosis in an activation-dependent manner to which endotoxin contributes, associated with reduced frequency of circulating memory B-cells. PMID: 27857173
- the analysis of mRNA level showed that disease progression is associated with significantly increased expression of FasR and/or FasL. In conclusion, our observation seems to confirm that spherical model of cancer lines is more reliable for some sophisticated analysis because of their greater resemblance to the CSCs from human CRC samples in comparison to commonly used adherent cells PMID: 28766682
- study indicates FAS-FASL promoter SNPs may promote the production of cross-reactive anti-ganglioside antibodies in GBS PMID: 29432441
- In primary hyperparathyroidism, hyperplasias demonstrated the highest expression of TRAIL and Fas, whereas in adenomas it was increased compared to normal tissue, but lower than in hyperplasias. PMID: 27763797
- Data suggest that Fas and TNFR1 are involved in glaucoma mechanisms in cornea; pro-apoptotic effect of anti-glaucoma medication clonidine on corneal epithelial cells triggers Fas/TNFR1-mediated, mitochondria-dependent signaling pathway. (Fas = Fas cell surface death receptor ; TNFR1 = TNF receptor superfamily member 1A) PMID: 28115640
- These data suggested that YY1 may be important for apoptosis induction via the regulation of Fas during sepsis. Therefore, Fas may be a potential therapeutic target to prevent MOD through regulation of YY1 expression. Furthermore, YY1 and Fas expression in PBMCs may be used to as prognostic markers. PMID: 28447715
- Fas activation rapidly changes the interconversion of PC and PI, which then drives enhanced endocytosis, thus likely propagating death signaling from the cell surface to mitochondria and other organelles PMID: 28299505
- using pifithrin alpha we observed a decrease in apoptosis induced by MG132, and by APO-1 plus MG132, suggesting that restoration of APO-1 sensitivity occurs in part through an increase in both the levels and the activity of p53. The use of small molecules to inhibit the proteasome pathway might permit the activation of cell death, providing new opportunities for CC treatment. PMID: 27766434
- Fas - 670A/G genotypes or alleles were not significantly different between controls and transplant recipients and among transplant recipients with and without acute rejection following pediatric renal transplantation PMID: 27109035
- data suggest miR-374a is a negative regulator of Fas death receptor which is able to enhance the cell survival and protect retinal pigment epithelial cells against oxidative conditions. PMID: 28543858
- CD3(+) CD8(+) NKG2D(+) T Lymphocytes Induce Apoptosis and Necroptosis in HLA-Negative Cells via FasL-Fas Interaction PMID: 28294381
- High-grade gliomas (HGG) showed significantly lower FAS but higher FAS ligand (FAS-L) expression than high-grade gliomas (HGG). PMID: 29187439
- Peripheral CD95 expression higher than 30% could be used among the exclusion criteria in a multicomponent score for mycosis fungoides diagnosis. PMID: 28206666
- anti-apoptotic molecules BclxL and Bcl-2 and the pro-apoptotic factors BAD and BID cooperate to promote migration of triple-negative breast cancer cells stimulated with cl-CD95L. PMID: 27367565
- Knockout (KO) or knockdown of caspase-8, CD95 or FADD prevents activation of Plk3 upon CD95 stimulation, suggesting a requirement of a functional death-inducing signaling complex for Plk3 activation. PMID: 27325299
- STAT1 is a key regulator of the cancer stem cell-inducing activity of CD95. PMID: 28273453
- Two unrelated patients with severe recessive autoimmune lymphoproliferative syndrome had rare splicing defects in exon 6 of FAS. PMID: 28668589
- CD95-induced senescence was caused by chronic DNA damage. PMID: 28300842
- CD95 maintains stem cell-like and non-classical epithelial-mesenchymal transition programs in primary human glioblastoma cells. PMID: 27124583
- Data (including data from studies using tissues from transgenic mice) suggest that IL1B plays dual roles by (1) mediating islet amyloid-induced FAS up-regulation and apoptosis in pancreatic beta-cells and (2) down-regulating IAPP precursor processing thereby potentiating islet amyloid formation. (IL1B = interleukin-1beta; FAS = FAS cell surface death receptor; IAPP = islet amyloid polypeptide) PMID: 28058779
- MACC1 regulates Fas mediated apoptosis through STAT1/3 - Mcl-1 signaling in solid cancers. PMID: 28649004
- no association between the FAS polymorphism (rs1800682) and the susceptibility to persistent precancerous lesions and cervical cancer. PMID: 27899077
- These findings suggest that rs1800682, rs2234767, and rs763110 genotypes are not associated with the presence of HTLV-1-associated myelopathy/tropical spastic paraparesis, but that the FAS-670 AA genotype can promote higher proviral load values in HTLV-1-associated myelopathy/tropical spastic paraparesis patients. PMID: 27603042
- findings showed the variant allele and genotype of the FAS c.-671A>G polymorphism were significantly associated with increased risk of cervical cancer in Malaysian population, particularly those of Malay ethnicity; however, results of meta-analysis showed a lack of association between the polymorphism and cervical cancer risk PMID: 28279307
- Fas cell surface death receptor (FAS) was identified as an independent prognostic marker for recurrence free survival in breast cancer, with large variation in expression by receptor subtypes. PMID: 28121628
- data also demonstrated that the CD154-triggered inhibition of the Fas-mediated cell death response was dependent on a suppression of caspase-8 cleavage, but independent of de novo protein synthesis or alterations in Fas expression on cell surface. PMID: 27391025
- We have identified two single nucleotide polymorphisms in two immune-related genes ( MBL" and CD95) that have an association with severe and potentially life-threatening infection following doxorubicin and cyclophosphamide therapy for breast cancer PMID: 27940354
- With rs7901656 on the FAS gene as a paradigm, we show how allele specific transcription factor complex assembly and disruption by a causal variant contributes to disease and phenotypic diversity PMID: 27616356
- Increased TIM3+CD8+T cells with lower perforin and granzyme B expression and higher CD95 expression in MDS patients were observed. PMID: 27846431
- FAS c.-671AG genotype is not to be a risk factor in familial mediterranean fever. PMID: 28442396
- functional inhibition of miR-29c caused resistance to Fas-mediated apoptosis in lung fibroblasts. PMID: 27765762
- Most of the plasma cells of a paient with a heterozygous germline FAS mutation were Fas-deficient suggesting that Fas signaling plays a role also in the selection of germinal center B cells into the pool of long-lived plasma cells, similar to switched memory B cells. PMID: 26907631
- a substantial subgroup of the ITP patients displayed a defective Fas function; most of them displayed decreased Fas expression in T cells activated in vitro. PMID: 27391055
- Fas gene polymorphism is associated with Hashimoto's thyroiditis. PMID: 27572459
- There is a positive correlation of the serum level of sFasL( Fas/FasL axis ) with uptake index of parotid gland in our expectation. In addition, liver injury involvement in SS patients showed decreased level of sFasL. Furthermore, we here also observed that the protective cytokine IL-10 expression was positively correlated with sFasL expression PMID: 28326325
- The Fas-1377G > A polymorphism is associated with a higher risk of pre-eclampsia. PMID: 27277758
- Fas rs2234767 G/A SNPs might be associated with an increased risk of rheumatoid arthritis. PMID: 26905515
顯示更多
收起更多
-
相關疾病:Autoimmune lymphoproliferative syndrome 1A (ALPS1A)
-
亞細胞定位:[Isoform 1]: Cell membrane; Single-pass type I membrane protein. Membrane raft.; [Isoform 2]: Secreted.; [Isoform 3]: Secreted.; [Isoform 4]: Secreted.; [Isoform 5]: Secreted.; [Isoform 6]: Secreted.
-
組織特異性:Isoform 1 and isoform 6 are expressed at equal levels in resting peripheral blood mononuclear cells. After activation there is an increase in isoform 1 and decrease in the levels of isoform 6.
-
數據庫鏈接:
Most popular with customers
-
-
Phospho-YAP1 (S127) Recombinant Monoclonal Antibody
Applications: ELISA, WB, IHC
Species Reactivity: Human
-
-
-
-
-
-















