-
中文名稱:EIF3K兔多克隆抗體
-
貨號:CSB-PA866204ESR1HU
-
規格:¥440
-
圖片:
-
Western blot
All lanes: EIF3K antibody at 1.72µg/ml
Lane 1: THP-1 whole cell lysate
Lane 2: HT29 whole cell lysate
Lane 3: 293T whole cell lysate
Lane 4: Hela whole cell lysate
Secondary
Goat polyclonal to rabbit IgG at 1/10000 dilution
Predicted band size: 26, 25 kDa
Observed band size: 26 kDa -
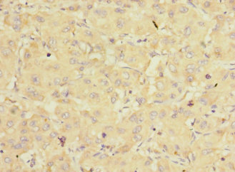
Immunohistochemistry of paraffin-embedded human liver cancer using CSB-PA866204ESR1HU at dilution of 1:100
-
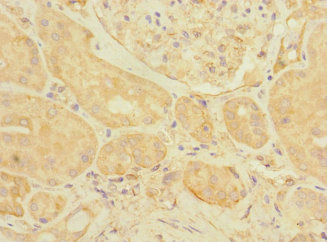
Immunohistochemistry of paraffin-embedded human kidney tissue using CSB-PA866204ESR1HU at dilution of 1:100
-
Immunoprecipitating EIF3K in Hela whole cell lysate
Lane 1: Rabbit control IgG instead of (1µg) instead of CSB-PA866204ESR1HU in Hela whole cell lysate. For western blotting, a HRP-conjugated anti-rabbit IgG, specific to the non-reduced form of IgG was used as the Secondary antibody (1/50000)
Lane 2: CSB-PA866204ESR1HU (4µg) + Hela whole cell lysate (500µg)
Lane 3: Hela whole cell lysate (20µg)
-
-
其他:
產品詳情
-
產品名稱:Rabbit anti-Homo sapiens (Human) EIF3K Polyclonal antibody
-
Uniprot No.:
-
基因名:EIF3K
-
別名:ARG134 antibody; eIF 3 p25 antibody; eIF 3 p28 antibody; eIF-3 p25 antibody; eIF-3 p28 antibody; EIF3-p28 antibody; eif3k antibody; EIF3K_HUMAN antibody; EIF3S12 antibody; Eukaryotic translation initiation factor 3 subunit 12 antibody; Eukaryotic translation initiation factor 3 subunit K antibody; HSPC029 antibody; M9 antibody; MSTP001 antibody; Muscle specific gene M9 protein antibody; Muscle-specific gene M9 protein antibody; PLAC 24 antibody; PLAC-24 antibody; PLAC24 antibody; PRO1474 antibody; PTD001 antibody
-
宿主:Rabbit
-
反應種屬:Human
-
免疫原:Recombinant Human Eukaryotic translation initiation factor 3 subunit K protein (1-218AA)
-
免疫原種屬:Homo sapiens (Human)
-
標記方式:Non-conjugated
-
克隆類型:Polyclonal
-
抗體亞型:IgG
-
純化方式:Antigen Affinity Purified
-
濃度:It differs from different batches. Please contact us to confirm it.
-
保存緩沖液:PBS with 0.02% sodium azide, 50% glycerol, pH7.3.
-
產品提供形式:Liquid
-
應用范圍:ELISA, WB, IHC, IP
-
推薦稀釋比:
Application Recommended Dilution WB 1:1000-1:5000 IHC 1:20-1:200 IP 1:200-1:2000 -
Protocols:
-
儲存條件:Upon receipt, store at -20°C or -80°C. Avoid repeated freeze.
-
貨期:Basically, we can dispatch the products out in 1-3 working days after receiving your orders. Delivery time maybe differs from different purchasing way or location, please kindly consult your local distributors for specific delivery time.
-
用途:For Research Use Only. Not for use in diagnostic or therapeutic procedures.
引用文獻
相關產品
靶點詳情
-
功能:Component of the eukaryotic translation initiation factor 3 (eIF-3) complex, which is required for several steps in the initiation of protein synthesis. The eIF-3 complex associates with the 40S ribosome and facilitates the recruitment of eIF-1, eIF-1A, eIF-2:GTP:methionyl-tRNAi and eIF-5 to form the 43S pre-initiation complex (43S PIC). The eIF-3 complex stimulates mRNA recruitment to the 43S PIC and scanning of the mRNA for AUG recognition. The eIF-3 complex is also required for disassembly and recycling of post-termination ribosomal complexes and subsequently prevents premature joining of the 40S and 60S ribosomal subunits prior to initiation. The eIF-3 complex specifically targets and initiates translation of a subset of mRNAs involved in cell proliferation, including cell cycling, differentiation and apoptosis, and uses different modes of RNA stem-loop binding to exert either translational activation or repression.
-
基因功能參考文獻:
- eIF3K subunit interacts directly with the PML protein. PMID: 24036361
- identification of a novel 24-kDa protein that binds directly to dynein intermediate chain [PLAC-24] PMID: 12006665
- eIF3k has three putative protein-binding surfaces and has potential RNA binding activity PMID: 15180986
- cyclin D3 specifically interacted with eIF3k through its C-terminal domain; eIF3k distributed both in nucleus and cytoplasm and colocalized with cyclin D3 PMID: 15327989
- eIF3k, originally identified as the smallest subunit of eukaryotic translation initiation factor 3 (eIF3) complexes, also localizes to keratin intermediate filaments and physically associates with K18 in epithelial cells. PMID: 18577580
顯示更多
收起更多
-
亞細胞定位:Nucleus. Cytoplasm.
-
蛋白家族:EIF-3 subunit K family
-
組織特異性:Ubiquitous, with the highest levels of expression in brain, testis and kidney.
-
數據庫鏈接:
Most popular with customers
-
Phospho-YAP1 (S127) Recombinant Monoclonal Antibody
Applications: ELISA, WB, IHC
Species Reactivity: Human
-
-
-
-
-
-
-















