DPPA3 Antibody
-
中文名稱:DPPA3兔多克隆抗體
-
貨號:CSB-PA744290LA01HU
-
規格:¥440
-
圖片:
-
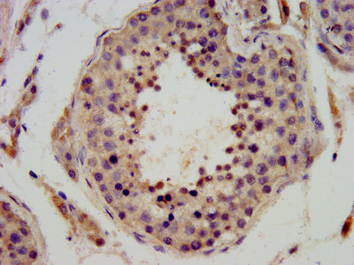
IHC image of CSB-PA744290LA01HU diluted at 1:400 and staining in paraffin-embedded human testis tissue performed on a Leica BondTM system. After dewaxing and hydration, antigen retrieval was mediated by high pressure in a citrate buffer (pH 6.0). Section was blocked with 10% normal goat serum 30min at RT. Then primary antibody (1% BSA) was incubated at 4°C overnight. The primary is detected by a biotinylated secondary antibody and visualized using an HRP conjugated SP system.
-
-
其他:
產品詳情
-
產品名稱:Rabbit anti-Homo sapiens (Human) DPPA3 Polyclonal antibody
-
Uniprot No.:
-
基因名:
-
別名:Compaction associated protein 1 antibody; Developmental pluripotency associated 3 antibody; Developmental pluripotency associated protein 3 antibody; Developmental pluripotency-associated protein 3 antibody; Dppa3 antibody; DPPA3_HUMAN antibody; PGC7 antibody; Stella related protein antibody; Stella-related protein antibody
-
宿主:Rabbit
-
反應種屬:Human
-
免疫原:Recombinant Human Developmental pluripotency-associated protein 3 protein (1-159AA)
-
免疫原種屬:Homo sapiens (Human)
-
標記方式:Non-conjugated
本頁面中的產品,DPPA3 Antibody (CSB-PA744290LA01HU),的標記方式是Non-conjugated。對于DPPA3 Antibody,我們還提供其他標記。見下表:
-
克隆類型:Polyclonal
-
抗體亞型:IgG
-
純化方式:>95%, Protein G purified
-
濃度:It differs from different batches. Please contact us to confirm it.
-
保存緩沖液:Preservative: 0.03% Proclin 300
Constituents: 50% Glycerol, 0.01M PBS, pH 7.4 -
產品提供形式:Liquid
-
應用范圍:ELISA, IHC
-
推薦稀釋比:
Application Recommended Dilution IHC 1:200-1:500 -
Protocols:
-
儲存條件:Upon receipt, store at -20°C or -80°C. Avoid repeated freeze.
-
貨期:Basically, we can dispatch the products out in 1-3 working days after receiving your orders. Delivery time maybe differs from different purchasing way or location, please kindly consult your local distributors for specific delivery time.
-
用途:For Research Use Only. Not for use in diagnostic or therapeutic procedures.
相關產品
靶點詳情
-
功能:Primordial germ cell (PGCs)-specific protein involved in epigenetic chromatin reprogramming in the zygote following fertilization. In zygotes, DNA demethylation occurs selectively in the paternal pronucleus before the first cell division, while the adjacent maternal pronucleus and certain paternally-imprinted loci are protected from this process. Participates in protection of DNA methylation in the maternal pronucleus by preventing conversion of 5mC to 5hmC: specifically recognizes and binds histone H3 dimethylated at 'Lys-9' (H3K9me2) on maternal genome, and protects maternal genome from TET3-mediated conversion to 5hmC and subsequent DNA demethylation. Does not bind paternal chromatin, which is mainly packed into protamine and does not contain much H3K9me2 mark. Also protects imprinted loci that are marked with H3K9me2 in mature sperm from DNA demethylation in early embryogenesis. May be important for the totipotent/pluripotent states continuing through preimplantation development. Also involved in chromatin condensation in oocytogenesis.
-
基因功能參考文獻:
- Super-enhancers at the Nanog locus differentially regulate neighboring pluripotency-associated genes, in particular, DPPA3. PMID: 27681417
- We conclude that heterogeneous population of the HEK293T cells might be easily shifted towards expression of the pluripotency markers by ectopic expression of the SON factors or by growth in serum depleted media. PMID: 27794480
- Data suggest enforced expression of Stella into normal cells induces not only global DNA demethylation but also neoplastic transformation and increases metastatic ability; these changes involve altered regulation of neoplastic gene expression. PMID: 26608031
- Considering that impaired DNA methylation profiles are associated with various developmental or disease phenomena, Stella may be a powerful tool with which to study the biological effects of global DNA hypomethylation PMID: 25280994
- a role for STELLA in facilitating germline and endodermal differentiation of human ES cells PMID: 23457636
- human adult tissue-specific transcripts originate via retrotransposition of the pluripotent cell-specific gene, Dppa3 PMID: 16291741
- These results demonstrate that PGC7/Stella is indispensable for the maintenance of methylation involved in epigenetic reprogramming after fertilization. PMID: 17143267
- In mice, this gene may play a role in oogenesis and primordial germ cell development. PMID: 11900980
- In mice, a targeted mutation results in reduced female fertility and may function as a mammalian maternal effect gene. PMID: 14654002
- In mice, knockout experiments show this gene may be a maternal factor in cleavage stage embryogenesis. PMID: 15018652
顯示更多
收起更多
-
亞細胞定位:Nucleus. Cytoplasm.
-
組織特異性:Low expression in testis, ovary and thymus. Expressed in embryonic stem and carcinoma cells. Highly expressed in testicular germ cell tumors.
-
數據庫鏈接:
Most popular with customers
-
-
Phospho-YAP1 (S127) Recombinant Monoclonal Antibody
Applications: ELISA, WB, IHC
Species Reactivity: Human
-
-
-
-
-
-















