-
中文名稱:COPB2兔多克隆抗體
-
貨號:CSB-PA529993ESR1HU
-
規格:¥440
-
圖片:
-
Western blot
All lanes: COPB2 antibody at 2.51μg/ml
Lane 1: Human placenta tissue
Lane 2: MCF-7 whole cell lysate
Lane 3: Hela whole cell lysate
Lane 4: HepG2 whole cell lysate
Lane 5: Jurkat whole cell lysate
Secondary
Goat polyclonal to rabbit IgG at 1/10000 dilution
Predicted band size: 103, 100 kDa
Observed band size: 103 kDa -
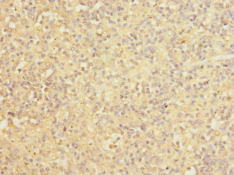
Immunohistochemistry of paraffin-embedded human spleen tissue using CSB-PA529993ESR1HU at dilution of 1:100
-
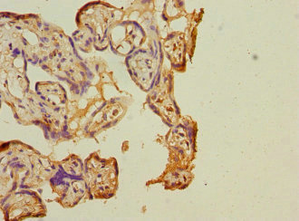
Immunohistochemistry of paraffin-embedded human placenta tissue using CSB-PA529993ESR1HU at dilution of 1:100
-
-
其他:
產品詳情
-
產品描述:
To produce the COPB2 polyclonal antibody, a rabbit was immunized with the recombinant human COPB2 protein (657-906aa), followed by the collection of the rabbit anti-serum. The COPB2 antibody was purified through antigen affinity chromatography.
The rabbit anti-human COPB2 polyclonal antibody's specificity was verified by ELISA, WB, and IHC applications.It only reacts with human COPB2 protein. The COPB2 target protein plays a specific role in the formation of COPI-coated vesicles, which are responsible for transporting cargo retrogradely from the Golgi to the endoplasmic reticulum (ER).
-
產品名稱:Rabbit anti-Homo sapiens (Human) COPB2 Polyclonal antibody
-
Uniprot No.:
-
基因名:COPB2
-
別名:Beta'-coat protein antibody; Beta'-COP antibody; Coatomer subunit beta' antibody; Copb2 antibody; COPB2_HUMAN antibody; p102 antibody
-
宿主:Rabbit
-
反應種屬:Human
-
免疫原:Recombinant Human Coatomer subunit beta\' protein (657-906AA)
-
免疫原種屬:Homo sapiens (Human)
-
標記方式:Non-conjugated
-
克隆類型:Polyclonal
-
抗體亞型:IgG
-
純化方式:Antigen Affinity Purified
-
濃度:It differs from different batches. Please contact us to confirm it.
-
保存緩沖液:PBS with 0.02% sodium azide, 50% glycerol, pH7.3.
-
產品提供形式:Liquid
-
應用范圍:ELISA, WB, IHC
-
推薦稀釋比:
Application Recommended Dilution WB 1:1000-1:5000 IHC 1:20-1:200 -
Protocols:
-
儲存條件:Upon receipt, store at -20°C or -80°C. Avoid repeated freeze.
-
貨期:Basically, we can dispatch the products out in 1-3 working days after receiving your orders. Delivery time maybe differs from different purchasing way or location, please kindly consult your local distributors for specific delivery time.
-
用途:For Research Use Only. Not for use in diagnostic or therapeutic procedures.
引用文獻
- Identification of the Wnt signal peptide that directs secretion on extracellular vesicles U Gurriaran-Rodriguez, D Datzkiw, LG Radusky,Science Advances,2024
- Wnt binding to Coatomer proteins directs secretion on exosomes independently of palmitoylation U Gurriaran-Rodriguez,bioRxiv,2023
相關產品
靶點詳情
-
功能:The coatomer is a cytosolic protein complex that binds to dilysine motifs and reversibly associates with Golgi non-clathrin-coated vesicles, which further mediate biosynthetic protein transport from the ER, via the Golgi up to the trans Golgi network. Coatomer complex is required for budding from Golgi membranes, and is essential for the retrograde Golgi-to-ER transport of dilysine-tagged proteins. In mammals, the coatomer can only be recruited by membranes associated to ADP-ribosylation factors (ARFs), which are small GTP-binding proteins; the complex also influences the Golgi structural integrity, as well as the processing, activity, and endocytic recycling of LDL receptors.; This coatomer complex protein, essential for Golgi budding and vesicular trafficking, is a selective binding protein (RACK) for protein kinase C, epsilon type. It binds to Golgi membranes in a GTP-dependent manner.
-
基因功能參考文獻:
- The increased expression of COPB2 was significantly correlated with the progression of lung adenocarcinoma. PMID: 29674272
- High expression of COPB2 was found in prostate cancer tissue and was related to poor overall survival based on a public dataset. Cell proliferation was significantly inhibited in COPB2-knockdown CWR22RV1 cells, as demonstrated by CCK8 and colony formation assays. PMID: 29129687
- COPB2 significantly promoted PC-3 cell proliferation and colony formation through the cell cycle and apoptosis pathway. COPB2 showed a clinical correlation and may serve as a biomarker for the detection for prostate cancer. PMID: 27986120
- these data suggest that beta-COP plays a critical role in the forward transport of TREK1 channel to the plasma membrane. PMID: 20362547
-
亞細胞定位:Cytoplasm, cytosol. Golgi apparatus membrane; Peripheral membrane protein; Cytoplasmic side. Cytoplasmic vesicle, COPI-coated vesicle membrane; Peripheral membrane protein; Cytoplasmic side.
-
蛋白家族:WD repeat COPB2 family
-
數據庫鏈接:
Most popular with customers
-
-
Phospho-YAP1 (S127) Recombinant Monoclonal Antibody
Applications: ELISA, WB, IHC
Species Reactivity: Human
-
-
-
-
-
-















