-
中文名稱:CDH11兔多克隆抗體
-
貨號:CSB-PA005036ESR1HU
-
規格:¥440
-
圖片:
-
Western blot
All lanes: CDH11 antibody at 6μg/ml + Jurkat whole cell lysate
Secondary
Goat polyclonal to rabbit IgG at 1/10000 dilution
Predicted band size: 88, 77 kDa
Observed band size: 88 kDa -
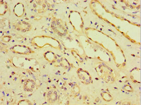
Immunohistochemistry of paraffin-embedded human kidney tissue using CSB-PA005036ESR1HU at dilution of 1:100
-
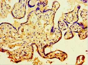
Immunohistochemistry of paraffin-embedded human placenta tissue using CSB-PA005036ESR1HU at dilution of 1:100
-
Immunoprecipitating CDH11 in SH-SY5Y whole cell lysate
Lane 1: Rabbit control IgG instead of CSB-PA005036ESR1HU in SH-SY5Y whole cell lysate. For western blotting, a HRP-conjugated Protein G antibody was used as the secondary antibody (1/5000)
Lane 2: CSB-PA005036ESR1HU (8μg) + SH-SY5Y whole cell lysate (500μg)
Lane 3: SH-SY5Y whole cell lysate (20μg)
-
-
其他:
產品詳情
-
產品名稱:Rabbit anti-Homo sapiens (Human) CDH11 Polyclonal antibody
-
Uniprot No.:
-
基因名:
-
別名:CDH11; Cadherin-11; OSF-4; Osteoblast cadherin; OB-cadherin
-
宿主:Rabbit
-
反應種屬:Human
-
免疫原:Recombinant Human Cadherin-11 protein (637-796AA)
-
免疫原種屬:Homo sapiens (Human)
-
標記方式:Non-conjugated
-
克隆類型:Polyclonal
-
抗體亞型:IgG
-
純化方式:Antigen Affinity Purified
-
濃度:It differs from different batches. Please contact us to confirm it.
-
保存緩沖液:PBS with 0.02% sodium azide, 50% glycerol, pH7.3.
-
產品提供形式:Liquid
-
應用范圍:ELISA, WB, IHC, IP
-
推薦稀釋比:
Application Recommended Dilution WB 1:500-1:2000 IHC 1:20-1:200 IP 1:200-1:2000 -
Protocols:
-
儲存條件:Upon receipt, store at -20°C or -80°C. Avoid repeated freeze.
-
貨期:Basically, we can dispatch the products out in 1-3 working days after receiving your orders. Delivery time maybe differs from different purchasing way or location, please kindly consult your local distributors for specific delivery time.
-
用途:For Research Use Only. Not for use in diagnostic or therapeutic procedures.
引用文獻
- Expression signature and molecular basis of CDH11 in OSCC detected by a combination of multiple methods Y Wei,BMC medical genomics,2023
相關產品
靶點詳情
-
功能:Cadherins are calcium-dependent cell adhesion proteins. They preferentially interact with themselves in a homophilic manner in connecting cells; cadherins may thus contribute to the sorting of heterogeneous cell types.
-
基因功能參考文獻:
- Elevated levels of PLAUR, a validated target gene, and CDH11 were confirmed in gastric tumors with low expression of miR-335. The 3'UTR of CDH11 was identified to be directly targeted by miR-335. PMID: 29075357
- This study reveals loss-of-function mutations in CDH11 as a probable cause of Elsahy-Waters syndrome phenotype. PMID: 28988429
- the observed CDH11 expression in active MM patients' peripheral blood was carried by circulating plasma cell clone(s), outgoing from an osteoblastic niche, conferring the disease transformation into symptomatic MM or its relapse. PMID: 27118219
- data show that ErbB2 and Akt are important for CNC migration and implicate other ErbB receptors and Akt-independent signaling pathways. Our findings provide the first example of a functional interaction between the extracellular domain of a type II classical cadherin and growth factor receptors PMID: 29190819
- Chemoresistant B-ALL patients are associated with increased methylation in ADAMTSL5 and CDH11. PMID: 28292214
- engagement of CDH11 through homophilic interactions, led to swift activation of the TGF-beta and ROCK pathways as evidenced by phosphorylation of downstream effectors. PMID: 27311482
- Cad-11 expression was significantly increased in pancreatic stellate cells and pancreatic cancer cells. PMID: 27855278
- Upregulation of miR-27b significantly accelerated the proliferation, cell cycle transition from G1 to S phase, migration and invasion of C33A cells, while downregulation of miR-27b suppressed the proliferation and invasion of HeLa cells PMID: 26706910
- observations suggest that clathrin-mediated internalization of Cad11 regulates surface trafficking of Cad11 and that dynamic turnover of Cad11 regulates the migratory function of Cad11 in prostate cancer cells. PMID: 26519476
- that U87-p75(NTR) cells express higher levels of Cdh-11 protein and that siRNA-mediated knockdown of Cdh-11 resulted in a significant decrease in p75(NTR)-mediated glioblastoma cell migration PMID: 26476273
- Invasive cancer cells had increased expression of mesenchymal markers cadherin 2 and 11 that localized with stromal cell cadherin 11, suggesting that these molecules are involved in stromal cell engraftment. PMID: 26046821
- Data suggest methylation status of gene promoters for CDH11 (cadherin 11) and BASP1 (brain abundant membrane attached signal protein 1) in tumor, skin, and metastatic tumor tissue may serve as prognostic biomarkers in patients with advanced melanoma. PMID: 25919928
- Cadherin-11 may be hyper-expressed in the peripheral blood of diffuse systemic scleroderma patients. PMID: 26121083
- Our results demonstrate that parathyroid hormone stimulates hematopoiesis through promoting the upregulation of CDH11 expression in bone marrow mesenchymal stromal cells PMID: 24648356
- High Cad-11 expression is associated with bone metastases of Ewing sarcoma. PMID: 26092671
- evidence for the involvement of CDH11 in Autism Spectrum Disorder which is consistent with the association of other cadherins with Autism Spectrum Disorder and neuropsychiatric diseases PMID: 24839052
- Cadherin 11, a miR-675 target, induces N-cadherin expression and epithelial-mesenchymal transition in melasma. PMID: 24940649
- This study evaluated the expression of CAD11 in the peripheral blood of rheumatoid arthritis patients and normal controls. PMID: 25173800
- High Cadherin-11 expression is associated with breast cancer. PMID: 24681547
- Data indicate that knockdown of CDH11 expression in primary human glioblastoma cells inhibits TGFbeta-stimulated migration. PMID: 23951053
- These data demonstrate that Cad-11 is a mediator of dermal fibrosis and TGFbeta production and suggest that Cad-11 may be a therapeutic target in systemic sclerosis. PMID: 24757152
- Data indicate that the interaction of mesenchymal stem cells (MSC) with fibroblast-like synoviocytes (FLS) via cadherin-11 may contribute to angiogenesis and chronic synovitis by enhancing the secretion of placental growth factor (PlGF). PMID: 24574497
- Thus, our results indicated abnormal expression of CD44V6, CDH11, and beta-catenin in osteosarcomas and osteochondromas, which may provide important indicators for further research. PMID: 23971040
- Results indicate the necessity of cadherin-11 for dystrophic calcific nodule formation, which proceeds through an Erk1/2-dependent pathway. PMID: 23162011
- The study of CDH11 5'-CpG island hypermethylation in primary tumours and lymph node metastases of cancer patients showed this epigenetic alteration to be significantly confined to the disseminated cells. PMID: 22374749
- Data indicate that CDH11 as a functional tumor suppressor and an important antagonist of Wnt/beta-catenin signaling, with frequent epigenetic inactivation in common carcinomas. PMID: 22139084
- These results show the functional significance of cadherin-11 expression in glioblastoma multiforme. PMID: 22267545
- CDH11 as a novel glioma invasion-associated candidate gene that likely contribute to the invasive phenotype of malignant gliomas. PMID: 21722156
- CDH11 expression was assessed in lung tissue from idiopathic pulmonary fibrosis patients. PMID: 21990376
- increased expression in patients with rheumatoid arthritis PMID: 21798287
- cad-11 modulates synovial fibroblasts to evoke inflammatory factors that may contribute to the inflammatory process in RA. PMID: 21536877
- suppression of MUC1 by miR-145 causes a reduction of beta-catenin as well as the oncogenic cadherin 11 PMID: 19996288
- The intracellular domain of cadherin-11 is not required for the induction of cell aggregation, adhesion or gap-junction formation PMID: 11775026
- CADH11 was evaluated as a biomarker at the protein level and was found to have increased expression in xenograft tumors after S11248 treatment. PMID: 14985702
- A 2.62 Mbp minimal region of genomic loss of chromosome 16q22 was found in retinoblastoma which contains a hotspot CDH11, implicating CDH11as a potential tumor suppressor gene in retinoblastoma. PMID: 15383628
- primary aneurysmal bone cysts are mesenchymal neoplasms exhibiting USP6 and/or CDH11 oncogenic rearrangements PMID: 15509545
- Review. Cadherin-11 expression confers upon cells a fundamental change in cellular behavior. Its expression on fibroblast-like synoviocytes may determine their behavior & differentiation. PMID: 15743489
- Together, these studies implicate cadherin-11 in synovial tissue and lining layer formation and provide an in vitro system to model fibroblast-like synoviocyte behavior and function in organizing the synovial tissue. PMID: 16651616
- Cadherin-11 is involved in the intercellular physical coupling of detrusor smooth muscle bladder cells and also of myofibroblasts. PMID: 17292535
- Overexpression of osteoblast cadherin is associated with breast cancer cell metastatic potential PMID: 18193170
- The results indicate that CDH11 may be useful as a prognostic marker of disease progression and survival in osteosarcoma. PMID: 18359978
- cadherin-11 promotes homing and migration to bone and osteoclastogenesis through mediating the homophilic interactions of breast cancer cells with marrow stromal/osteoblastic cells, thereby enhancing bone metastases. PMID: 18575746
- These findings suggest that cadherin-11 is involved in the metastasis of prostate cancer cells to bone. PMID: 18708358
- Tumor necrosis factor alpha drives cadherin 11 expression in rheumatoid inflammation PMID: 18821672
- Cadherin-11 and fascin might be useful markers for recurrence of pleomorphic adenomas. PMID: 19133007
- Cadherin-11 mRNA and protein levels are regulated by the activity of GSK3beta and a significant degree of this regulation is exerted by the GSK3 target, beta-catenin, at the level of the cadherin-11 3'UTR PMID: 19274078
顯示更多
收起更多
-
相關疾病:A chromosomal aberration involving CDH11 is a common genetic feature of aneurysmal bone cyst, a benign osseous neoplasm. Translocation t(16;17)(q22;p13) with USP6. The translocation generates a fusion gene in which the strong CDH11 promoter is fused to the entire USP6 coding sequence, resulting in USP6 transcriptional up-regulation.
-
亞細胞定位:Cell membrane; Single-pass type I membrane protein.
-
組織特異性:Expressed mainly in brain but also found in other tissues. Expressed in neuroblasts.
-
數據庫鏈接:
Most popular with customers
-
-
Phospho-YAP1 (S127) Recombinant Monoclonal Antibody
Applications: ELISA, WB, IHC
Species Reactivity: Human
-
-
-
-
-
-















