CD47 Antibody
-
中文名稱:CD47兔多克隆抗體
-
貨號:CSB-PA445679
-
規格:¥1100
-
圖片:
-
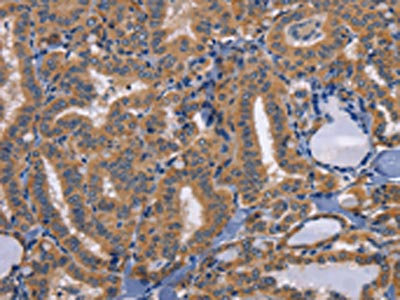
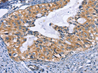
The image on the left is immunohistochemistry of paraffin-embedded Human thyroid cancer tissue using CSB-PA445679(CD47 Antibody) at dilution 1/50, on the right is treated with synthetic peptide. (Original magnification: ×200)
-
The image on the left is immunohistochemistry of paraffin-embedded Human cervical cancer tissue using CSB-PA445679(CD47 Antibody) at dilution 1/50, on the right is treated with synthetic peptide. (Original magnification: ×200)
-
Gel: 8%SDS-PAGE, Lysate: 40 μg, Lane 1-2: SKOV3 cells, Hela cells, Primary antibody: CSB-PA445679(CD47 Antibody) at dilution 1/200, Secondary antibody: Goat anti rabbit IgG at 1/8000 dilution, Exposure time: 20 seconds
-
-
其他:
產品詳情
-
Uniprot No.:
-
基因名:
-
別名:Antigen identified by monoclonal antibody 1D8 antibody; Antigenic surface determinant protein OA3 antibody; CD 47 antibody; CD47 antibody; CD47 antigen (Rh-related antigen; integrin-associated signal transducer) antibody; CD47 antigen antibody; CD47 glycoprotein antibody; CD47 molecule antibody; CD47_HUMAN antibody; IAP antibody; Integrin Associated Protein antibody; Integrin associated signal transducer antibody; Integrin-associated protein antibody; Leukocyte surface antigen CD47 antibody; MER 6 antibody; MER6 antibody; OA 3 antibody; OA3 antibody; OTTHUMP00000041152 antibody; OTTHUMP00000041153 antibody; Protein MER6 antibody; Rh related antigen antibody; Surface antigen identified by monoclonal antibody 1D8 antibody
-
宿主:Rabbit
-
反應種屬:Human
-
免疫原:Synthetic peptide of Human CD47
-
免疫原種屬:Homo sapiens (Human)
-
標記方式:Non-conjugated
-
抗體亞型:IgG
-
純化方式:Antigen affinity purification
-
濃度:It differs from different batches. Please contact us to confirm it.
-
保存緩沖液:-20°C, pH7.4 PBS, 0.05% NaN3, 40% Glycerol
-
產品提供形式:Liquid
-
應用范圍:ELISA,WB,IHC
-
推薦稀釋比:
Application Recommended Dilution ELISA 1:1000-1:5000 WB 1:200-1:1000 IHC 1:50-1:200 -
Protocols:
-
儲存條件:Upon receipt, store at -20°C or -80°C. Avoid repeated freeze.
-
貨期:Basically, we can dispatch the products out in 1-3 working days after receiving your orders. Delivery time maybe differs from different purchasing way or location, please kindly consult your local distributors for specific delivery time.
-
用途:For Research Use Only. Not for use in diagnostic or therapeutic procedures.
相關產品
靶點詳情
-
功能:Has a role in both cell adhesion by acting as an adhesion receptor for THBS1 on platelets, and in the modulation of integrins. Plays an important role in memory formation and synaptic plasticity in the hippocampus. Receptor for SIRPA, binding to which prevents maturation of immature dendritic cells and inhibits cytokine production by mature dendritic cells. Interaction with SIRPG mediates cell-cell adhesion, enhances superantigen-dependent T-cell-mediated proliferation and costimulates T-cell activation. May play a role in membrane transport and/or integrin dependent signal transduction. May prevent premature elimination of red blood cells. May be involved in membrane permeability changes induced following virus infection.
-
基因功能參考文獻:
- results suggest that cancers can evolve SE to drive CD47 overexpression to escape immune surveillance PMID: 28378740
- overexpression of human CD200 in donor pigs could constitute a promising strategy for overcoming xenograft rejection. PMID: 28968355
- High CD47 expression is associated with the increase in the ability of surviving breast cancer cells to evade innate and adaptive immunity. PMID: 29367423
- CD47 expression is decreased on the surface of erythrocytes in obese subjects. These changes in CD47 expression on the erythrocytes surface may be an adaptive response to hyperfibrinogenemia associated with obesity. PMID: 25914268
- Results show that the thrombospondin 1 (TSP1) and its receptor CD47 (CD47) axis selectively regulates NADPH oxidase 1 (Nox1) in the regulation of endothelial senescence and suggest potential targets for controlling the aging process at the molecular level. PMID: 29042481
- CD47 is overexpressed in primary non-small cell lung cancer (NSCLC) tissues and cell lines, suggesting that CD47 is a promising therapeutic target for NSCLC. PMID: 27411490
- Among the various candidate genes involved in acute rejection, CD47 inhibits monocyte/macrophage-mediated phagocytosis by identifying the CD47 signal regulatory protein alpha (SIRP-alpha) as self/non-self. Tissue factor pathway inhibitor (TFPI) is involved in the regulation of the coagulation pathway and is able to bind to another ligand of CD47, thrombospondin-1 (TSP-1). PMID: 28393401
- Blocking CD47 using antibodies could efficiently induce macrophage-mediated phagocytosis of tumor cells and treat cancers. PMID: 27863402
- High CD47 expression is not associated with Fibrolamellar Hepatocellular Carcinoma. PMID: 28801364
- TTI-621 (SIRPalphaFc) is a fully human recombinant fusion protein that blocks the CD47-SIRPalpha axis by binding to human CD47 and enhancing phagocytosis of malignant cells..These data indicate that TTI-621 is active across a broad range of human tumors. PMID: 27856600
- this review highlights the various functions of CD47, discusses anti-tumor responses generated by both the innate and adaptive immune systems as a consequence of administering anti-CD47 blocking antibody, and finally elaborates on the clinical potential of CD47 blockade. PMID: 28077173
- we observed neutrophilic infiltration was slightly increased in anti-CD47 treated tumors compared to IgG control. PMID: 28100392
- In pulmonary hypertension TSP1-CD47 is upregulated, and contributes to pulmonary arterial vasculopathy and dysfunction. PMID: 27742621
- thrombospondin-1 via CD47 inhibits renal tubular epithelial cell recovery after ischemia reperfusion injury through inhibition of proliferation/self-renewal. PMID: 27259369
- Engineering macrophages to eat cancer: from "marker of self" CD47 and phagocytosis to differentiation PMID: 28522599
- the results obtained by combining bioinformatics and preclinical studies strongly suggest that targeting TSP-1/CD47 axis may represent a valuable therapeutic alternative for hampering melanoma spreading. PMID: 27349907
- Results indicated that surgical resection combined with anti-CD47 blocking immunotherapy promoted an inflammatory response and prolonged survival in xenograft animal model, and is therefore an attractive strategy for clinical translation. PMID: 28076333
- Results show that the stronger expression of CD47 by cancer cells and larger number of total macrophages/M2 were independently related to shorter survivals. PMID: 27322955
- Prolongation of transient porcine chimerism via transgenic expression of human CD47 in a primate model is associated with an immune modulating effect, leading to markedly prolonged survival of donor swine skin xenografts. PMID: 27232934
- CD47 is a promising cancer biomarker, and targeting CD47 presents an effective and potential therapeutic strategy through synthesized mechanisms PMID: 26446381
- CD47 seems to mediate fusion mostly through broad contact surfaces between the partners' cell membrane while syncytin-1 mediate fusion through phagocytic-cup like structure. PMID: 27714815
- The results suggested a critical role of CD47 in laryngeal squamous cell carcinoma development. PMID: 27855370
- Data show that anti-human CD47 antibody B6H12 decreased expression of epidermal growth factor receptor (EGFR) and the stem cell transcription factors. PMID: 26840086
- suggest that microglial activation may be partially caused by CD47/signal regulatory protein-alpha- and CD200/CD200R-mediated reductions in the immune inhibitory pathways PMID: 27095555
- Our results highlight an underappreciated contribution of the adaptive immune system to anti-CD47 adjuvant therapy and suggest that targeting both innate and adaptive immune checkpoints can potentiate the vaccinal effect of antitumor antibody therapy. PMID: 27091975
- Data suggest a reduction in the CD47 antigen/signal-regulatory protein alpha (SIRPalpha) pathway by programmed cell death protein 1 (PD-1) blockade, which regulates Myeloid-derived suppressor cells (MDSCs) and tumor associated macrophages (TAMs). PMID: 26573233
- atherogenesis is associated with upregulation of CD47, a key anti-phagocytic molecule that is known to render malignant cells resistant to programmed cell removal, or 'efferocytosis' PMID: 27437576
- CD47 is a critical regulator in the metastasis of osteosarcoma and results suggest that targeted inhibition of this antigen by anti-CD47 may be a novel immunotherapeutic approach in the management of this tumor. PMID: 26093091
- agents that block the CD47:SIRP-alpha engagement are attractive therapeutic targets as a monotherapy or in combination with additional immune-modulating agents for activating antitumor T cells in vivo PMID: 26116271
- CD47 is an adverse prognostic factor and promising therapeutic target in gastric cancer. PMID: 26077800
- study demonstrates that antigen-presenting cells(CD47+) in coculture with human macrophages show a CD47 concentration-dependent inhibition of phagocytosis PMID: 25593301
- CD47 expression contributes to the lethal breast cancer phenotype that is mediated by HIF-1. PMID: 26512116
- CD47 is highly expressed on cancer stem cells, but not on other nonmalignant cells in the pancreas. PMID: 25717063
- CD47 mediates signaling from the extracellular matrix that coordinately regulates basal metabolism and cytoprotective responses to radiation injury PMID: 26311851
- CD47 has a central role in hydrogen sulfate biosynthesis, regulation and signaling in T cells. PMID: 25747479
- Loss of cell surface CD47 clustering formation and binding avidity to SIRPalpha facilitate apoptotic cell clearance by macrophages. PMID: 26085683
- While CD47 expression on circulating AML blasts has been shown to be a negative prognostic marker for a very defined population of AML patients with NK AML, CD47 expression on AML BM blasts is not PMID: 25943033
- Velcro" engineering of high affinity CD47 ectodomain as signal regulatory protein alpha (SIRPalpha) antagonists that enhance antibody-dependent cellular phagocytosis PMID: 25837251
- during translation of CD47, the scaffold function of the 3' UTR facilitates binding of proteins to nascent proteins, to direct their transport or function--and this role of 3' UTRs can be regulated by polyadenylation PMID: 25896326
- Report poor prognosis/survival in luminal breast cancer patients with circulating tumor cells co-expressing MET and CD47. PMID: 25230070
- Staphylococcal SElX and SSL6 proteins bind cell surface receptors PSGL-1 and CD47, respectively. PMID: 24840181
- The thrombospondin-1 receptor CD47 directly or indirectly regulates intercellular communication mediated by the transfer of extracellular vesicles between vascular cells. PMID: 24887393
- expression is induced following EBV infection of B cells; ligation cases G1 arres PMID: 24911792
- CD47 regulates the epigenetic code by targeting UHRF1. PMID: 25550546
- Elevated postinjury thrombospondin 1-CD47 triggering aids differentiation of patients' defective inflammatory CD1a+dendritic cells. PMID: 25001859
- the TSP-derived 4N1K peptide effects on cell adhesion and integrin activation are independent of CD47 PMID: 24848268
- CD47 associates with and regulates VEGFR2 in T cells. CD47 signaling modulates the ability of VEGF to regulate proliferation and TCR signaling, and autocrine production of vascular endothelial growth factor by T cells contributes to this regulation. PMID: 25200950
- Suppression of CD47 by morpholino approach suppressed growth of hepatocellular carcinoma in vivo and exerted a chemosensitization effect through blockade of CTSS/PAR2 signaling. PMID: 24523067
- CD47 plays the pivotal role in the immune evasion of primary effusion lymphoma cells in body cavities. Therapeutic antibody targeting of CD47 could be an effective therapy for PEL. PMID: 24726056
- Data indicate that CD47 in cis interactions regulate LFA-1 (integrin alphaLbeta2) and VLA-4 (integrin alpha4beta1) integrin affinity, and this process plays a substantial role in the adhesion of T-cells. PMID: 24006483
顯示更多
收起更多
-
亞細胞定位:Cell membrane; Multi-pass membrane protein.
-
組織特異性:Very broadly distributed on normal adult tissues, as well as ovarian tumors, being especially abundant in some epithelia and the brain.
-
數據庫鏈接:
Most popular with customers
-
-
Phospho-YAP1 (S127) Recombinant Monoclonal Antibody
Applications: ELISA, WB, IHC
Species Reactivity: Human
-
-
-
-
-
-















