CACNA1D Antibody
-
中文名稱:CACNA1D兔多克隆抗體
-
貨號:CSB-PA745307
-
規格:¥1100
-
圖片:
-
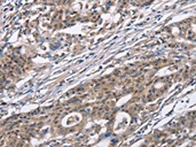
The image on the left is immunohistochemistry of paraffin-embedded Human gastic cancer tissue using CSB-PA745307(CACNA1D Antibody) at dilution 1/30, on the right is treated with synthetic peptide. (Original magnification: ×200)
-
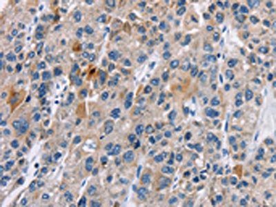
The image on the left is immunohistochemistry of paraffin-embedded Human liver cancer tissue using CSB-PA745307(CACNA1D Antibody) at dilution 1/30, on the right is treated with synthetic peptide. (Original magnification: ×200)
-
-
其他:
產品詳情
-
Uniprot No.:
-
基因名:
-
別名:alpha-1 polypeptide antibody; CAC1D_HUMAN antibody; CACH3 antibody; CACN4 antibody; CACNA 1D antibody; Cacna1d antibody; CACNL1A2 antibody; Calcium channel antibody; Calcium channel L type alpha 1 polypeptide isoform 2 antibody; Calcium channel neuroendocrine/brain type alpha 1 subunit antibody; Calcium channel voltage dependent L type alpha 1 antibody; Calcium channel voltage dependent L type alpha 1D subunit antibody; Cav1.3 antibody; CCHL1A2 antibody; isoform 2 antibody; L type antibody; PASNA antibody; SANDD antibody; Voltage dependent L type calcium channel subunit alpha 1D antibody; Voltage gated calcium channel alpha 1 subunit antibody; Voltage gated calcium channel alpha subunit Cav1.3 antibody; Voltage gated calcium channel subunit alpha Cav1.3 antibody; Voltage-dependent L-type calcium channel subunit alpha-1D antibody; Voltage-gated calcium channel subunit alpha Cav1.3 antibody
-
宿主:Rabbit
-
反應種屬:Human,Rat
-
免疫原:Synthetic peptide of Human CACNA1D
-
免疫原種屬:Homo sapiens (Human)
-
標記方式:Non-conjugated
-
抗體亞型:IgG
-
純化方式:Antigen affinity purification
-
濃度:It differs from different batches. Please contact us to confirm it.
-
保存緩沖液:-20°C, pH7.4 PBS, 0.05% NaN3, 40% Glycerol
-
產品提供形式:Liquid
-
應用范圍:ELISA,IHC
-
推薦稀釋比:
Application Recommended Dilution ELISA 1:1000-1:2000 IHC 1:25-1:100 -
Protocols:
-
儲存條件:Upon receipt, store at -20°C or -80°C. Avoid repeated freeze.
-
貨期:Basically, we can dispatch the products out in 1-3 working days after receiving your orders. Delivery time maybe differs from different purchasing way or location, please kindly consult your local distributors for specific delivery time.
-
用途:For Research Use Only. Not for use in diagnostic or therapeutic procedures.
相關產品
靶點詳情
-
功能:Voltage-sensitive calcium channels (VSCC) mediate the entry of calcium ions into excitable cells and are also involved in a variety of calcium-dependent processes, including muscle contraction, hormone or neurotransmitter release, gene expression, cell motility, cell division and cell death. The isoform alpha-1D gives rise to L-type calcium currents. Long-lasting (L-type) calcium channels belong to the 'high-voltage activated' (HVA) group. They are blocked by dihydropyridines (DHP), phenylalkylamines, and by benzothiazepines.
-
基因功能參考文獻:
- Although both otoferlin and synaptotagmin bind membrane fusion SNARE proteins, only otoferlin interacts with the L-type calcium channel Cav1.3. PMID: 28696301
- Study have showned a significant effect of the autism-associated mutation A760G on the gating of CaV1.3 such that channel activation is significantly left-shifted, Ca(2+)-dependent inactivation is decreased, and deactivation is slowed, resulting in excess Ca2+ entry. However, these effects are mitigated by an increase in voltage-dependent inactivation. Also, A760G mutation differentially affects CaV1.3 splice variants. PMID: 27255217
- Data suggest that p.G403D mutation in CACNA1D causes persistent hyperinsulinaemic hypoglycaemia with heart defects (presenting as aortic valve insufficiency) and severe neuromuscular disease (presenting as hypotonia); this study involves DNA mutational analysis in one patient plus 2 unrelated patients. [CASE REPORT] PMID: 28318089
- These results provide the evidence of a direct regulatory role of Snapin on Cav1.3 channels in atrial myocytes. PMID: 27915047
- Study used structure modeling and MD simulations to predict omega-currents in CaV1.1 and CaV1.3 channel VSDs when one of the first three S4 gating charges harbors a disease-causing mutation. Using site-directed mutagenesis and electrophysiology, experimentally confirmed that the mutation of R3 charge to His in VSD III of CaV1.3 channels results in an omega-current at hyperpolarizing potentials. PMID: 28978442
- CACNA1D mutations predominate in small zona glomerulosa (ZG)-like Aldosterone-producing Adenomas. PMID: 28584012
- The CACNA1C-L762F mutation is associated with development of long QT syndrome through slower channel inactivation and increased sustained and window current. Timothy syndrome -associated mutations localize to specific areas of CACNA1C and are associated with a younger age at presentation, higher QTc, and 2:1 AV block than isolated LQTS-associated mutations. PMID: 27390944
- Mutations in CACNA1D cause the excessive autonomous aldosterone secretion of Aldosterone-producing Adenomas. PMID: 28584016
- While the relative contribution of Cav1.3 to intestinal Ca(2+) absorption and its value as a therapeutic target remain to be established, we postulate that Cav1.3 downregulation in IBD may contribute to the negative systemic Ca(2+) balance, to increased bone resorption, and to reduced bone mineral density in IBD patients. PMID: 27932504
- E2 upregulated the expression of Cav1.3 for Ca2+ influx to promote the expression of p-ERK1/2 for cell proliferation in breast cancer cells PMID: 27572936
- LRP1B, BRD2 and CACNA1D are new candidate genes in fetal metabolic programming of newborns exposed to maternal hyperglycemia. PMID: 26586120
- CACNA1D might not be a risk gene for SCZ in Han Chinese population, which add to the current state of knowledge regarding the susceptibility of CACNA1D to schizophrenia. PMID: 26255836
- patients with CACNA1D mutations displayed characteristics similar to wild-type aldosterone-producing adenomas PMID: 26606680
- Studies indicate the function of L-type calcium channels Cav1.3 in chromaffin cells. PMID: 25966692
- Studies indicate a role for L-type calcium channel Cav1.3 and Cav1.4 in cochlear inner hair cells (IHCs) and retinal photoreceptors (PRs). PMID: 25966695
- Mutations in CACNA1D gene is associated with aldosterone-producing adenomas. PMID: 26285814
- Study found that two de novo CACNA1D missense mutations affect evolutionary highly conserved regions in the channel's activation gate and disrupt normal channel activity by inducing a pronounced gain of channel function PMID: 25620733
- Cav1.3 was overexpressed in atypical hyperplasia and endometrial carcinoma, and the estrogen-induced phosphorylation of downstream molecular ERK1/2 and CREB is the result of activation of the GPER pathway. PMID: 25805831
- A meta-analysis of genome-wide association studies of blood pressure and hypertension in Chinese identified three new loci (CACNA1D, CYP21A2, and MED13L) and a newly discovered variant near SLC4A7. PMID: 25249183
- ablation of Cav1.3 results in a decrease in the protein expression of myosin light chain 2, which interacts and increases the membrane localization of SK2 channels. PMID: 25538241
- CACNA1D gene overexpression is associated with prostate cancer progression and might play an important role in Ca(2+) influx, AR activation, and cell growth in prostate cancer cells PMID: 24054868
- RNA editing of CaV1.3 channels(CDI) acts to modulate CDI in ways that substantiate a recently emerging mechanism where apoCaM begins preassociated with the IQ domain and other channel elements. PMID: 24120865
- in patients with aldosterone-producing adenomas, CACNA1D mutations were associated with smaller adenomas. PMID: 24866132
- Results illustrate that the voltage sensors of Cav1.3 channels respond more sensitively to depolarization than those of Cav1.2 or Cav3.1 PMID: 24703308
- The calcium inflow through Cav1.2 and Cav1.3 channels in murine spiral ganglion neurons. PMID: 24849370
- These findings implicate gain-of-function CACNA1D Ca(2+) channel mutations in adrenal aldosterone-producing adenomas and primary aldosteronism. PMID: 23913001
- A novel mechanism for modulation of the pharmacologic properties of the CaV1.3 channel is identified through posttranscriptional modification of the C terminus. PMID: 23924992
- N-lobe of Ca(2+)-calmodulin binds an N-terminal spatial Ca(2+) transforming element module on the channel amino terminus, whereas the C-lobe binds an EF-hand region upstream of the IQ domain PMID: 23591884
- modulation of Cav1.3 Ca channel by calreticulin may be involved in pathological settings such as autoimmune associated congenital heart block where Cav1.3 Ca channels are downregulated PMID: 23791743
- conclude that the L-type calcium channel Cav1.3 is important in human glucose-induced insulin secretion, and common variants in CACNA1D might contribute to type 2 diabetes. PMID: 23229155
- analysis of functional characterization of alternative splicing in the C terminus of L-type CaV1.3 channels PMID: 21998309
- Functional properties of a newly identified C-terminal splice variant of Cav1.3 L-type Ca2+ channels PMID: 21998310
- A novel pathway for ankyrin-B-dependent regulation of Cav1.3 channel membrane targeting and regulation is found in atrial myocytes. PMID: 21859974
- CaV1.3 channels and intracellular calcium mediate osmotic stress-induced N-terminal c-Jun kinase activation and disruption of tight junctions in Caco-2 CELL MONOLAYERS. PMID: 21737448
- We describe a human channelopathy (termed SANDD syndrome, sinoatrial node dysfunction and deafness) with a cardiac and auditory phenotype that closely resembles that of Cacna1d-/- mice. PMID: 21131953
- These data suggest that RIM2beta contributes to the stabilization of Ca(v)1.3 gating kinetics in immature cochlear inner hair cells. PMID: 20363327
- Ca(v)1.3 was the sole apical channel responsible for the PRL-stimulated transcellular calcium transport in intestine-like Caco-2 monolayer. PMID: 19885716
- demonstrate (1) expression of the alpha1D Ca channel in human fetal heart, (2) inhibition of alpha1D I(Ca-L) by positive IgG, and (3) direct cross-reactivity of positive IgG with the alpha1D Ca channel protein PMID: 15939813
- The modulation of alpha(1D) Ca(2+) channel by PKC was prevented by dialyzing cells with a 35-amino acid peptide mimicking the alpha(1D) NH(2)-terminal region comprising S81. PMID: 16973824
- analysis of Ca2+-dependent gating of CaV1.3 L-type calcium channels by alternative splicing of a C-terminal regulatory domain PMID: 18482979
- Direct interaction of otoferlin with syntaxin 1A, SNAP-25, and the L-type voltage-gated calcium channel Cav1.3. PMID: 19004828
- Enhancement of calcium transport in Caco-2 monolayer through PKCzeta-dependent Cav1.3-mediated transcellular and rectifying paracellular pathways by prolactin. PMID: 19339512
- Overexpression of the intracellular II-III loop domains of Cav1.2, and possibly Cav1.3, can dislodge the corresponding endogenous channels from the lipid raft regions of the membrane in rat insulinoma (INS-1) cells. PMID: 19351867
顯示更多
收起更多
-
相關疾病:Sinoatrial node dysfunction and deafness (SANDD); Primary aldosteronism, seizures, and neurologic abnormalities (PASNA)
-
亞細胞定位:Membrane; Multi-pass membrane protein.
-
蛋白家族:Calcium channel alpha-1 subunit (TC 1.A.1.11) family, CACNA1D subfamily
-
組織特異性:Expressed in pancreatic islets and in brain, where it has been seen in cerebral cortex, hippocampus, basal ganglia, habenula and thalamus. Expressed in the small cell lung carcinoma cell line SCC-9. No expression in skeletal muscle.
-
數據庫鏈接:















