BID Antibody
-
中文名稱:BID兔多克隆抗體
-
貨號:CSB-PA787438
-
規格:¥1100
-
圖片:
-
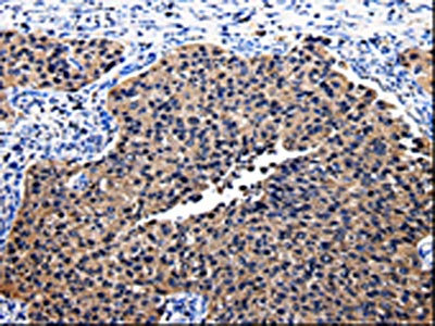
The image on the left is immunohistochemistry of paraffin-embedded Human renal cancer tissue using CSB-PA787438(BID Antibody) at dilution 1/25, on the right is treated with fusion protein. (Original magnification: ×200)
-
Gel: 12%SDS-PAGE, Lysate: 30 μg, Lane 1-4: Human fetal brain tissue, Human liver tissue, HT29 cells, HepG2 cells, Primary antibody: CSB-PA787438(BID Antibody) at dilution 1/260, Secondary antibody: Goat anti rabbit IgG at 1/8000 dilution, Exposure time: 10 seconds
-
-
其他:
產品詳情
-
Uniprot No.:
-
基因名:
-
別名:Apoptic death agonist antibody; Apoptotic death agonist BID antibody; BH3 interacting domain death agonist antibody; BH3 interacting domain death agonist p11 antibody; BH3 interacting domain death agonist p13 antibody; BH3 interacting domain death agonist p15 antibody; BH3-interacting domain death agonist p11 antibody; BID antibody; BID isoform ES(1b) antibody; BID isoform L(2) antibody; BID isoform Si6 antibody; BID_HUMAN antibody; Desmocollin type 4 antibody; FP497 antibody; Human BID coding sequence antibody; MGC15319 antibody; MGC42355 antibody; p11 BID antibody; p13 BID antibody; p15 BID antibody; p22 BID antibody
-
宿主:Rabbit
-
反應種屬:Human
-
免疫原:Fusion protein of Human BID
-
免疫原種屬:Homo sapiens (Human)
-
標記方式:Non-conjugated
-
抗體亞型:IgG
-
純化方式:Antigen affinity purification
-
濃度:It differs from different batches. Please contact us to confirm it.
-
保存緩沖液:-20°C, pH7.4 PBS, 0.05% NaN3, 40% Glycerol
-
產品提供形式:Liquid
-
應用范圍:ELISA,WB,IHC
-
推薦稀釋比:
Application Recommended Dilution ELISA 1:1000-1:5000 WB 1:200-1:2000 IHC 1:25-1:100 -
Protocols:
-
儲存條件:Upon receipt, store at -20°C or -80°C. Avoid repeated freeze.
-
貨期:Basically, we can dispatch the products out in 1-3 working days after receiving your orders. Delivery time maybe differs from different purchasing way or location, please kindly consult your local distributors for specific delivery time.
-
用途:For Research Use Only. Not for use in diagnostic or therapeutic procedures.
相關產品
靶點詳情
-
功能:Induces caspases and apoptosis. Counters the protective effect of BCL2.; Induces caspase activation and apoptosis. Allows the release of cytochrome c.; Induces ICE-like proteases and apoptosis.; Induces ICE-like proteases and apoptosis.; Does not induce apoptosis.; Induces ICE-like proteases and apoptosis.
-
基因功能參考文獻:
- results suggest that histone modifications in the promoter region of miR-500a may be responsible for the increased expression of miR-500a in Hepatocellular carcinoma (HCC), which promotes cancer progression by targeting BID, indicating that miR-500a may be a potential prognostic predictor and therapeutic target for HCC patients. PMID: 29969781
- The caspase-8/Bid/cytochrome c axis links signals from death receptors to mitochondrial reactive oxygen species production. PMID: 28888620
- administration of SMAC or BH3 mimetics following short-term paclitaxel treatment could be an effective therapeutic strategy for TNBC, while only BH3-mimetics could effectively overcome long-term paclitaxel resistance PMID: 28187446
- caspase-10 was dispensable for enhancement of cisplatin/LA-12 and TRAIL combination-induced cell death and stimulation of Bid cleavage PMID: 29182622
- an oligomeric arrangement of Bid, Bax, and possibly other members of the Bcl-2 family of proteins that form a self-propagating network that permeabilizes the outer-mitochondrial membrane. PMID: 27763642
- Combined therapy with Seliciclib((R)) and Belinostat((R)) results in eradication of non-small cell lung cancer via apoptosis induction and BID activation. PMID: 27461583
- Results from genome-wide DNA methylation, functional network analysis and pyrosequencing, show selective CpG sites (NOS1AP, BID, and GABRB1) differentially methylated in smokers and chronic obstructive pulmonary disease patients compared to nonsmokers. PMID: 28416970
- The adenovirus-mediated truncated Bid overexpression induced by the Cre/LoxP system can effectively eliminate CD133+ ovarian cancer stem cells, representing a novel therapeutic strategy for the treatment of ovarian cancer. PMID: 27878291
- MiR-20a-directed regulation of BID in colorectal cancer. PMID: 28004114
- the results establish that cleavage by caspase 8 and the subsequent association with the outer mitochondrial membrane are two critical events that activate Bid during death receptor-mediated apoptosis. PMID: 27053107
- The results indicate that BID-independent pathways are responsible for FAS-dependent human islet cell death in Type 1 diabetes. PMID: 26758067
- The BID-MTCH2 axis regulates the differentiation/apoptosis of stem cells and mitochondrial metabolism. (Review) PMID: 26827940
- Data suggest, in models of spatial propagation of mitochondrial permeabilization during apoptosis, there appears to be requirement for cooperative signaling involving truncated-BID and ROS (reactive oxygen species) for efficient/ robust propagation. PMID: 26699404
- this study emphasizes that the coordinated action of hGzmB-activated p53 and GzmB-cleaved Bid is important for GzmB-induced cell death and for cytotoxic lymphocyte/Natural Killer Cell-mediated killing of target cells. PMID: 25404359
- Tax confers apoptosis resistance to HTLV-1-infected T cells by suppressing the expression of Bim and Bid. PMID: 25522269
- EG also activated the death receptor-dependent pathway of apoptosis by enhancing the expression of caspases-8, -9, and -3 and the Bcl-2 interacting domain (Bid). PMID: 23109891
- Inhibition of NANOGP8 or NANOG enhances the cytotoxicity of BH3 mimetics. PMID: 25208882
- JNK1/2 regulate Bid by direct phosphorylation at Thr59. PMID: 25077544
- Association of BID gene polymorphisms with proteinuria of immunoglobulin A nephropathy PMID: 24621205
- The extrinsic apoptotic pathway and BID are activated in adenomas from NSAID-treated patients. NSAIDS only activate BID in cells with APC deficiency and ensuing c-Myc activation. PMID: 25368155
- Gli1 has a role in regulating the S-phase checkpoint in tumor cells via Bid protein, and its inhibition sensitizes to DNA topoisomerase 1 inhibitors PMID: 25253693
- Bid is phosphorylated during mitosis within its regulatory loop and sensitizes mitochondria for mitochondrial outer membrane permeabilization if mitotic exit is delayed. PMID: 24767991
- BID expression was found in 53.6% of gastric cancer patients. PMID: 24741635
- BID is associated with ossification of the posterior longitudinal ligament , and both the G allele of a missense SNP (rs8190315, Ser10Gly) and C allele of a synonymous SNP (rs2072392, Asp60Asp) are risk factors for the development of ossification PMID: 24398548
- Reduced Bid expression is associated with endometrial cancer. PMID: 24645842
- FTY720 induces apoptosis of chronic myelogenous leukemia cells via dual activation of BIM and BID and overcomes various types of resistance to tyrosine kinase inhibitors. PMID: 23851982
- structural details on the membrane-associated state of tBid and the functional implications of its membrane-associated BH3 domain PMID: 24158446
- GrH induced cell death via a Bcl-2-sensitive mitochondrial pathway without direct processing of Bid. PMID: 23352961
- Caspase-8 binding to cardiolipin in giant unilamellar vesicles provides a functional docking platform for bid PMID: 23418437
- Three cathepsin D-specific cleavage sites in Bid, Phe24, Trp48, and Phe183, were identified. PMID: 22964611
- Patients with Parkinson disease have an activated Bid-mediated destructive signal pathway via tumor necrosis factor death receptor I (TNFRI) in the temporal cortex. PMID: 23019260
- Molecular basis of the interaction between proapoptotic truncated BID (tBID) protein and mitochondrial carrier homologue 2 (MTCH2) protein PMID: 22416135
- Results suggest that truncated BID specifically interacts with phosphatidylserine/cardiolipin and decreases membrane integrity without the aid of other pro-apoptotic proteins. PMID: 22189507
- 14-3-3 theta/tau and tBID have roles as predictive biomarkers of neoadjuvant chemotherapy resistance in breast cancer PMID: 22115752
- Decreased apoptosis and expression of Bid, increased level of Bcl-Xl may play some important roles in human jejunal stromal tumors, and Bcl-Xl/Bid ratio may be as a new potentially associated index. PMID: 22339673
- Bid engages a ROS-dependent, local intermitochondrial potentiation mechanism that amplifies the apoptotic signal as a wave PMID: 22393005
- critical for controlling cell viability regulated by IFN-alpha in ovarian adenocarcinoma cells PMID: 22130162
- chronic ethanol increases CYP2E1 activity in adipose, leading to Bid-mediated apoptosis and activation of complement via C1q PMID: 21856753
- show that due to the high affinity of BAX for BCL-2, BCL-w and A1, and of BAK for BCL-X(L), MCL-1 and A1, only a subset of BH3-only proteins, including BID, could be expected to free BAX or BAK from the antiapoptotic BCL-2 proteins to elicit apoptosis PMID: 21060336
- a direct role for the BH3 interacting domain death agonist acting at the level of the DNA damage sensor complex to amplify the Atr-directed cellular response to replicative damage PMID: 21113148
- Data show that the expression of apoptosis proteins caspase-3,-8,-9, and Bid in the RNP of the disc and the SNP was different in each patient. PMID: 21178828
- Cells stabilize active caspase-8 on the mitochondria in order to specifically target mitochondria-associated BID. PMID: 21072056
- When tBid was introduced into the HIV-1 LTR-based, Tat- and Rev-dependent transgene expression vector pLRed(INS)2R, very efficient induction of apoptosis was observed within 24 hours,but only in the presence of both HIV-1 regulatory proteins Tat and Rev. PMID: 21223573
- tBID and other BCL-2 proteins have a role in osteosarcoma [commentary] PMID: 19029793
- In rheumatoid arthritis fibroblast like synovial cells phosphorylation of Akt protects against Fas-induced apoptosis through inhibition of Bid cleavage. PMID: 20187936
- The interface between apoptosis initiation and execution by determining caspase-8 activation, Bid cleavage and mitochondrial engagement (onset of mitochondrial depolarisation) in individual HeLa, was analysed. PMID: 20356928
- Data revealed that the level of tBid expression in breast cancer cells were nearly 11 times more than normal cells because of the cancer specific promoters. PMID: 19918914
- Bid may serve as a critical integrating factor of the death receptor and mitochondrial pathway in alpha-tocopheryl succinate-mediated apoptosis. PMID: 19640637
- tBid-induced permeabilization of the outer membrane permits release of cytochrome c and Smac/DIABLO from all domains of intermembrane space. tBid-induced loss of DeltaPsi(m) occurs after cytochrome c release and reflects impairment of oxidative metabolism PMID: 11741882
- Cytochrome c release upon Fas receptor activation on translocation of full-length bid PMID: 11790791
顯示更多
收起更多
-
亞細胞定位:Cytoplasm. Mitochondrion membrane. Mitochondrion outer membrane.; [BH3-interacting domain death agonist p15]: Mitochondrion membrane.; [BH3-interacting domain death agonist p13]: Mitochondrion membrane.; [Isoform 1]: Cytoplasm.; [Isoform 3]: Cytoplasm.; [Isoform 2]: Mitochondrion membrane.
-
組織特異性:[Isoform 2]: Expressed in spleen, pancreas and placenta (at protein level).; [Isoform 3]: Expressed in lung, pancreas and spleen (at protein level).; [Isoform 4]: Expressed in lung and pancreas (at protein level).
-
數據庫鏈接:
Most popular with customers
-
-
Phospho-YAP1 (S127) Recombinant Monoclonal Antibody
Applications: ELISA, WB, IHC
Species Reactivity: Human
-
-
-
-
-
-















