AMH Antibody
-
中文名稱:AMH兔多克隆抗體
-
貨號:CSB-PA12639A0Rb
-
規格:¥440
-
圖片:
-
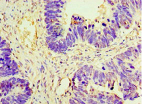
Immunohistochemistry of paraffin-embedded human ovarian cancer using CSB-PA12639A0Rb at dilution of 1:100
-
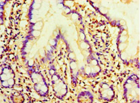
Immunohistochemistry of paraffin-embedded human small intestine tissue using CSB-PA12639A0Rb at dilution of 1:100
-
Immunofluorescent analysis of MCF-7 cells using CSB-PA12639A0Rb at dilution of 1:100 and Alexa Fluor 488-congugated AffiniPure Goat Anti-Rabbit IgG(H+L)
-
Western Blot
Positive WB detected in: A549 whole cell lysate
All lanes: AMH antibody at 2.8µg/ml
Secondary
Goat polyclonal to rabbit IgG at 1/50000 dilution
Predicted band size: 60 kDa
Observed band size: 60 kDa -
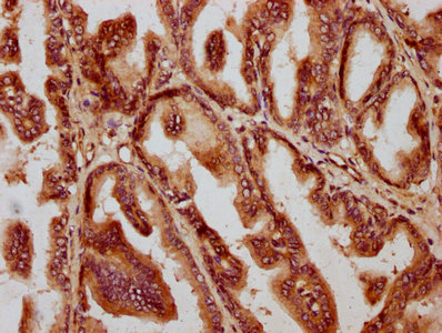
IHC image of CSB-PA12639A0Rb diluted at 1:1400 and staining in paraffin-embedded human prostate tissue performed on a Leica BondTM system. After dewaxing and hydration, antigen retrieval was mediated by high pressure in a citrate buffer (pH 6.0). Section was blocked with 10% normal goat serum 30min at RT. Then primary antibody (1% BSA) was incubated at 4°C overnight. The primary is detected by a biotinylated secondary antibody and visualized using an HRP conjugated SP system.
-
-
其他:
產品詳情
-
產品名稱:Rabbit anti-Homo sapiens (Human) AMH Polyclonal antibody
-
Uniprot No.:
-
基因名:
-
別名:AMH antibody; MIF antibody; Muellerian-inhibiting factor antibody; Anti-Muellerian hormone antibody; AMH antibody; Muellerian-inhibiting substance antibody; MIS antibody
-
宿主:Rabbit
-
反應種屬:Human
-
免疫原:Recombinant Human Muellerian-inhibiting factor protein (26-560AA)
-
免疫原種屬:Homo sapiens (Human)
-
標記方式:Non-conjugated
本頁面中的產品,AMH Antibody (CSB-PA12639A0Rb),的標記方式是Non-conjugated。對于AMH Antibody,我們還提供其他標記。見下表:
-
克隆類型:Polyclonal
-
抗體亞型:IgG
-
純化方式:>95%, Protein G purified
-
濃度:It differs from different batches. Please contact us to confirm it.
-
保存緩沖液:Preservative: 0.03% Proclin 300
Constituents: 50% Glycerol, 0.01M PBS, PH 7.4 -
產品提供形式:Liquid
-
應用范圍:ELISA, WB, IHC, IF
-
推薦稀釋比:
Application Recommended Dilution WB 1:500-1:5000 IHC 1:100-1:1500 IF 1:50-1:200 -
Protocols:
-
儲存條件:Upon receipt, store at -20°C or -80°C. Avoid repeated freeze.
-
貨期:Basically, we can dispatch the products out in 1-3 working days after receiving your orders. Delivery time maybe differs from different purchasing way or location, please kindly consult your local distributors for specific delivery time.
-
用途:For Research Use Only. Not for use in diagnostic or therapeutic procedures.
相關產品
靶點詳情
-
功能:This glycoprotein, produced by the Sertoli cells of the testis, causes regression of the Muellerian duct. It is also able to inhibit the growth of tumors derived from tissues of Muellerian duct origin.
-
基因功能參考文獻:
- Women with higher testosterone and AMH had more frequent anovulatory cycles but there were marginal impacts on time to pregnancy or pregnancy loss. PMID: 29428315
- These findings indicate a pregnancy-associated AMH-decline independent of pre-pregnancy elevated AMH levels. PMID: 30146442
- serum AMH levels were negatively correlated with age. AMH concentrations approximately 31.1% depended on age and descended by an average of 6.2% per year. Around 25, 35 and 40 years, the decrease of AMH values accelerated. PMID: 29671678
- AMH is a poor independent predictor of live birth outcome in either fresh or frozen embryo transfer. PMID: 29331235
- AMH, IGF1 and leptin levels in follicular fluid have no relation to the fertility disorders caused by endometriosis or fallopian tube damage, though they are biomarkers for anovulatory fertility disorders. PMID: 29595066
- serum levels between women with insulin resistance and without insulin resistance in polycystic ovary syndrome were not significantly different PMID: 29605710
- Data suggest that serum levels of AMH are down-regulated during second half of gestation in (1) women with gestational diabetes, (2) pregnant women with type 2 diabetes, and (3) control pregnant women. A positive association between AMH and testosterone levels was observed in all groups. Also, serum AMH levels are negatively associated with maternal age in the population studied. PMID: 28758808
- Data confirm that serum levels of AMH decline as function of age (not menstrual cycle) in women ages 20-50; here, results of ELISA assays of serum levels of AMH vary according to kit used. These studies were conducted at a fertility clinic in Poland; serum AMH is proposed as biomarker for ovarian reserve. PMID: 28792788
- AMH single nucleotide polymorphism is associated with Endometriosis-associated infertility. PMID: 28831646
- This study demonstrated the existence of an AMH-FOXL2 relationship in hGCs. AMH is capable of increasing both gene and protein expression of FOXL2. Because FOXL2 induces AMH transcription, these ovarian factors could be finely regulated by a positive feedback loop mechanism to preserve the ovarian follicle reserve. PMID: 28660501
- Data suggest that circulating AMH influences development of human brain; high levels of circulating AMH are unique to developing boys; here, boys age 5-6 years exhibit up-regulation of circulating AMH but are delayed in maturity index (judged by drawings) as compared to girls age 5-6 years. This study was conducted in New Zealand. PMID: 28593614
- The combination of GDF9 + BMP15 potently stimulates AMH expression in primary cumulus cells. PMID: 28874516
- serum level elevated in polycystic ovary syndrome PMID: 27899014
- Surface plasmon resonance analysis showed no significant association between FS288 and AMHC , suggesting that FS288 indirectly regulates AMH signaling. Activin A, a direct target of FS288, did not itself induce reporter activity in P19 cells, but did prevent the FS288-induced increase in AMH signaling. Hence, local concentrations of FS288 and Activin A may influence the response of some cell types to AMH. PMID: 28500669
- The current study showed no significant difference in AMH level between Sudanese women with preeclampsia and the controls. AMH level was not associated with age, parity, gestational and body mass index. PMID: 28646929
- In a 46,XY phenotypically female patient bearing testes in inguinal canal, and diagnosed with complete androgen insensitivity syndrome, the dysfunctioning of AR by mutation enhanced AMH expression which ultimately leads to the failure in maturation of Sertoli cells. PMID: 28299491
- These findings underscore the importance of screening young females with AMH for possible occult primary ovarian insufficiency. PMID: 29176793
- Women with unexplained infertility did not show evidence of decreased ovarian reserve as measured by AMH and antral follicle count. PMID: 29202959
- An undetectable AMH level in women aged <40 at the end of chemotherapy for early stage breast cancer gave a good prediction that ovarian function would not return. PMID: 29117576
- In granulosa cells from women with PCOS, the regulation of AMH and AMHR2 expression is altered in a way that promotes the overexpression of the AMH/AMHR2 system, and could contribute to the follicular arrest observed in these patients. PMID: 28938480
- genetic variants of AMH or AMHR2 were not found to be associated with a higher risk for polycystic ovaries syndrome. PMID: 27664518
- Strong positive age-independent relationship between AMH level and the rate of euploid blastocysts I in vitro fertilization/intracytoplasmic sperm injection was found. PMID: 28987789
- The ratio of inactive proAMH precursor to receptor-competent AMHN,C differs in women with polycystic ovary syndrome relative to unaffected controls indicating that AMH signaling mechanisms may be altered in women with PCOS. PMID: 29079276
- Study found 24 rare AMH variants in patients with PCOS and control subjects; 18 variants were specific to women with PCOS. Seventeen of 18 (94%) PCOS-specific variants had significantly reduced AMH signaling, whereas none of 6 variants observed in control subjects showed significant defects in signaling. PMID: 28505284
- In the obese polycystic ovary syndrome group, anti-mullerian hormone was associated with ghrelin levels independent of age, insulin, and total testosterone. There was no association between total ghrelin and anti-mullerian hormone levels in non-obese women with polycystic ovary syndrome, non-obese controls, or obese controls. PMID: 28004236
- Data suggest that young men and young women initially have similar levels of circulating levels of AMH, but women lose their AMH in parallel with the decrease in their ovarian reserve. Circulating AMH in men is negatively associated with all-cause mortality; men with higher levels of AMH may outlive men with lower levels of AMH. [EDITORIAL] PMID: 27819112
- In young women with polycystic ovary syndrome, low AMH levels predict a greater risk of metabolic syndrome. PMID: 27842995
- MIS/AMH inhibits ovarian cancer by deregulating the Wnt signal pathway via the beta-catenin interacting protein (ICAT). MIS/AMH upregulated ICAT in ovarian cancer cell line which caused decreased cell viability, cell cycle arrest and apoptosis. PMID: 28197641
- The AMH level peaked at or before ovulation in most women, trended down with natural pregnancies, and consistently increased or decreased in women with a viable pregnancy after therapy. Nonviable pregnancies showed erratic AMH patterns. PMID: 27565260
- Before 35 years of age, women with type 1 diabetes have lower AMH levels than women without diabetes. PMID: 27475411
- Report variations in antimullerian hormone levels during the menstrual cycle. PMID: 27351446
- Suggest that activation of AMH by proteolytic enzymes is largely stable throughout the ovarian cycle. However, there is a subtle but robust decrease in the level of proAMH relative to AMHN,C in the acute postovulatory period. PMID: 27362611
- Age is correlated with AMH, but it accounts for only a portion of the variation seen in reproductive age African American women. PMID: 27114331
- AMH was inversely correlated with age in both the fertile and infertile populations and there was no significant difference between the fertile and infertile populations in terms of AMH. PMID: 27499425
- Data suggest that, in adolescents (as with adults) with PCOS (polycystic ovary syndrome), serum levels of 17-hydroxyprogesterone are variable as a characteristic of the disorder; 17-hydroxyprogesterone responsiveness to r-hCG (recombinant human chorionic gonadotropin, a fertility agent) is not correlated to serum levels of AMH (anti-Mullerian hormone). PMID: 27166718
- Anti-Mullerian hormone (AMH) and inhibin-A (INH-A) levels were found to be significantly higher in the polycystic ovary syndrome (PCOS) group compared to the controls. PMID: 27125339
- a significant positive correlation between serum asymmetric dimethylarginine and AMH levels in primary dysmenorrhea, is reported. PMID: 27523455
- Data suggest that the serum AMH level (a biomarker of ovarian reserve) in adolescent girls newly diagnosed with Hashimoto's thyroiditis (HT) is up-regulated compared to age- and BMI-matched control subjects; serum AMH levels are negatively correlated with serum biomarkers of oxidative stress in HT. PMID: 27343736
- Significantly lower serum AMH concentration was found in the regularly menstruating CKD women on hemodialysis in comparison with the healthy controls. 2. Serum AMH decreased significantly after successful kidney transplantation. PMID: 27553045
- AMH levels in serum and seminal plasma in healthy men and men with sperm pathology PMID: 27110929
- Genotyping of the AMH c.146G>T and AMHR2 -482A>G polymorphisms does not provide additional useful information as a predictor of ovarian reserve or ovarian response and treatment outcomes. PMID: 27142041
- The aim of this study was to investigate the density and distribution of single nucleotide polymorphisms (SNPs) anti-Mullerian hormone (AMH) and AMHRII receptors in cryptorchid patients. PMID: 27162065
- No evidence of significant associations of Ile49Ser and -482A>G with reproductive outcomes and polycystic ovary syndrome. PMID: 27832628
- Different phenotypes for polycystic ovary syndrome were identified with each related to different levels of anti-mullerian hormone. PMID: 26718304
- Data from a longitudinal, observational study suggest that, among women with type 1 diabetes, AMH levels in serum decline in manner similar to that previously reported in women without diabetes; thus, it is possible that AMH may be used to risk-stratify women with type 1 diabetes at risk for diminished ovarian reserve and poor reproductive outcomes in a similar manner as used in healthy women. PMID: 26798983
- Ile(49)Ser genotype not associated with estradiol levels, ovarian parameters, menstrual cycle length, or pregnancy outcomes in healthy Singapore women PMID: 26633196
- High serum Anti-Mullerian Hormone levels are associated with Polycystic Ovary Syndrome. PMID: 26761944
- Women with systemic lupus erythematosus demonstrated similar AMH levels as healthy controls, suggesting preserved ovarian reserve in this population. PMID: 26223296
- These findings contribute in clarifying the relationship between hormones regulating the early phase of steroidogenesis confirming that AMH is playing a suppressive role on CYP19A1 expression stimulated by gonadotropin in hGCs. Furthermore, a similar inhibitory effect for AMH was observed on P450scc gene expression when activated by gonadotropin treatment. PMID: 26631403
- The AMH and AMHRII gene polymorphisms were not found a significant difference in non-IR-PCOS and normal groups. To IR-PCOS women, genotypes of AMH were closely related to the serum levels of LH (P = 0.000), testosterone (P = 0.000) and HOMA-IR (P = 0.038), while in the non-IR-PCOS and normal groups, no relationship was found PMID: 26732661
顯示更多
收起更多
-
相關疾病:Persistent Muellerian duct syndrome 1 (PMDS1)
-
亞細胞定位:Secreted.
-
蛋白家族:TGF-beta family
-
數據庫鏈接:
Most popular with customers
-
-
Phospho-YAP1 (S127) Recombinant Monoclonal Antibody
Applications: ELISA, WB, IHC
Species Reactivity: Human
-
-
-
-
-
-















