ALOXE3 Antibody
-
中文名稱:ALOXE3兔多克隆抗體
-
貨號:CSB-PA863156ESR1HU
-
規格:¥440
-
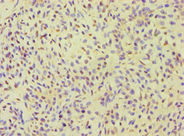
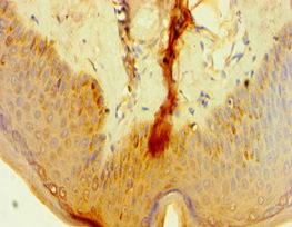
圖片:
-
其他:
產品詳情
-
產品名稱:Rabbit anti-Homo sapiens (Human) ALOXE3 Polyclonal antibody
-
Uniprot No.:
-
基因名:ALOXE3
-
別名:ALOXE3 antibody; Arachidonate lipoxygenase 3 antibody; e LOX 3 antibody; E LOX antibody; e-LOX-3 antibody; eLOX3 antibody; Epidermal lipoxygenase antibody; Epidermis-type lipoxygenase 3 antibody; Lipoxygenase 3 antibody; LOXE3_HUMAN antibody
-
宿主:Rabbit
-
反應種屬:Human
-
免疫原:Recombinant Human Hydroperoxide isomerase ALOXE3 protein (1-280AA)
-
免疫原種屬:Homo sapiens (Human)
-
標記方式:Non-conjugated
-
克隆類型:Polyclonal
-
抗體亞型:IgG
-
純化方式:Antigen Affinity Purified
-
濃度:It differs from different batches. Please contact us to confirm it.
-
保存緩沖液:PBS with 0.02% sodium azide, 50% glycerol, pH7.3.
-
產品提供形式:Liquid
-
應用范圍:ELISA, IHC
-
推薦稀釋比:
Application Recommended Dilution IHC 1:20-1:200 -
Protocols:
-
儲存條件:Upon receipt, store at -20°C or -80°C. Avoid repeated freeze.
-
貨期:Basically, we can dispatch the products out in 1-3 working days after receiving your orders. Delivery time maybe differs from different purchasing way or location, please kindly consult your local distributors for specific delivery time.
-
用途:For Research Use Only. Not for use in diagnostic or therapeutic procedures.
相關產品
靶點詳情
-
功能:Non-heme iron-containing lipoxygenase which is atypical in that it displays a prominent hydroperoxide isomerase activity and a reduced lipoxygenases activity. The hydroperoxide isomerase activity catalyzes the isomerization of hydroperoxides, derived from arachidonic and linoleic acid by ALOX12B, into hepoxilin-type epoxyalcohols and ketones. In presence of oxygen, oxygenates polyunsaturated fatty acids, including arachidonic acid, to produce fatty acid hydroperoxides. In the skin, acts downstream of ALOX12B on the linoleate moiety of esterified omega-hydroxyacyl-sphingosine (EOS) ceramides to produce an epoxy-ketone derivative, a crucial step in the conjugation of omega-hydroxyceramide to membrane proteins. Therefore plays a crucial role in the synthesis of corneocytes lipid envelope and the establishment of the skin barrier to water loss. In parallel, it may have a signaling function in barrier formation through the production of hepoxilins metabolites. Plays also a role in adipocyte differentiation through hepoxilin A3 and hepoxilin B3 production which in turn activate PPARG. Through the production of hepoxilins in the spinal cord, it may regulate inflammatory tactile allodynia.
-
基因功能參考文獻:
- Case Report: ALOXE3 mutation causing congenital ichthyosis and recurrent eczema. PMID: 27868147
- In summary, we have identified three novel sequence variants, one in TGM1 and two in ALOXE3, in three consanguineous families segregating lamellar ichthyosis and congenital ichthyosiform erythroderma types of autosomal recessive congenital ichthyosis. PMID: 26578203
- Case Report: homozygous ALOXE3 mutation causing autosomal recessive congenital ichthyosis. PMID: 25423909
- Loss-of-function mutations in the LOX genes ALOX12B and ALOXE3 have been found to represent the second most common cause of autosomal recessive congenital ichthyosis. [review] PMID: 23954555
- This review covers the background to discovery of the two key lipoxygenases (LOX) involved in epidermal barrier function, 12R-LOX and eLOX3. [review] PMID: 24021977
- Autosomal recessive congenital ichthyosis patients with NIPAL4 mutations and abnormal ichthyin expression showed increased 12R-LOX and eLOX-3 staining and a colocalization signal of these LOXs that was three times the normal intensity. PMID: 22622417
- On the role of molecular oxygen in lipoxygenase activation: comparison and contrast of epidermal lipoxygenase-3 with soybean lipoxygenase-1. PMID: 20923767
- Dioxygenase activity of epidermal lipoxygenase-3 unveiled: typical and atypical features of its catalytic activity with natural and synthetic polyunsaturated fatty acids. PMID: 20921226
- ALOX12B mutations are the leading cause of self-improving collodion ichthyosis in Scandinavia, followed by ALOXE3 mutations, and TGM1 mutations PMID: 19890349
- Lipoxygenase-3 (ALOXE3) and 12(R)-lipoxygenase (ALOX12B) are mutated in non-bullous congenital ichthyosiform erythroderma (NCIE) linked to chromosome 17p13.1. PMID: 11773004
- eLOX-3 hydrolase functions in the normal process of skin differentiation, and that the loss of function mutations are the basis of the LOX-dependent form of Non-bullous congenital ichthyosiform erythroderma. PMID: 15629692
- The substrate preference of mouse eLOX3 and the unique occurrence of an 8S-LOX enzyme in mouse skin point to a potential LOX pathway for the production of epoxyalcohol in murine epidermal differentiation. PMID: 17045234
- Formation of a ligand for the nuclear receptor PPARalpha may be one possibility by which 12R-LOX and eLOX3 contribute to epidermal differentiation. PMID: 17436029
- mutation hotspots in ALOXE3 and allelic heterogeneity in ALOX12B may have roles in autosomal recessive congenital ichthyosis PMID: 19131948
顯示更多
收起更多
-
相關疾病:Ichthyosis, congenital, autosomal recessive 3 (ARCI3)
-
亞細胞定位:Cytoplasm.
-
蛋白家族:Lipoxygenase family
-
組織特異性:Predominantly expressed in skin.
-
數據庫鏈接:
Most popular with customers
-
-
-
-
-
-
-
VDAC1 Recombinant Monoclonal Antibody
Applications: ELISA, WB, IHC
Species Reactivity: Human, Mouse, Rat
-
VCP Recombinant Monoclonal Antibody
Applications: ELISA, WB, IHC, IF, IP
Species Reactivity: Human, Rat















