AKT3 Antibody
-
中文名稱:AKT3兔多克隆抗體
-
貨號:CSB-PA983294
-
規格:¥1100
-
圖片:
-
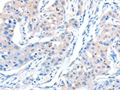
The image on the left is immunohistochemistry of paraffin-embedded Human gastic cancer tissue using CSB-PA983294(AKT3 Antibody) at dilution 1/30, on the right is treated with synthetic peptide. (Original magnification: ×200)
-
The image on the left is immunohistochemistry of paraffin-embedded Human lung cancer tissue using CSB-PA983294(AKT3 Antibody) at dilution 1/30, on the right is treated with synthetic peptide. (Original magnification: ×200)
-
-
其他:
產品詳情
-
Uniprot No.:
-
基因名:
-
別名:Akt3 antibody; AKT3 kinase antibody; AKT3_HUMAN antibody; DKFZp434N0250 antibody; MPPH antibody; PKB gamma antibody; PKBG antibody; PRKBG antibody; Protein kinase Akt-3 antibody; Protein Kinase AKT3 antibody; Protein kinase B gamma antibody; RAC gamma antibody; RAC gamma serine/threonine protein kinase antibody; RAC-gamma serine/threonine-protein kinase antibody; RAC-PK-gamma antibody; RACPK Gamma antibody; Serine threonine protein kinase Akt 3 antibody; Serine threonine protein kinase Akt3 antibody; STK 2 antibody; STK-2 antibody; STK2 antibody; V akt murine thymoma viral oncogene homolog 3 (protein kinase B; gamma) antibody; V akt murine thymoma viral oncogene homolog 3 antibody; V akt murine thymoma viral oncogene homolog 3 protein kinase B gamma antibody
-
宿主:Rabbit
-
反應種屬:Human,Mouse,Rat
-
免疫原:Synthetic peptide of Human AKT3
-
免疫原種屬:Homo sapiens (Human)
-
標記方式:Non-conjugated
-
抗體亞型:IgG
-
純化方式:Antigen affinity purification
-
濃度:It differs from different batches. Please contact us to confirm it.
-
保存緩沖液:-20°C, pH7.4 PBS, 0.05% NaN3, 40% Glycerol
-
產品提供形式:Liquid
-
應用范圍:ELISA,IHC
-
推薦稀釋比:
Application Recommended Dilution ELISA 1:1000-1:5000 IHC 1:25-1:100 -
Protocols:
-
儲存條件:Upon receipt, store at -20°C or -80°C. Avoid repeated freeze.
-
貨期:Basically, we can dispatch the products out in 1-3 working days after receiving your orders. Delivery time maybe differs from different purchasing way or location, please kindly consult your local distributors for specific delivery time.
-
用途:For Research Use Only. Not for use in diagnostic or therapeutic procedures.
相關產品
靶點詳情
-
功能:AKT3 is one of 3 closely related serine/threonine-protein kinases (AKT1, AKT2 and AKT3) called the AKT kinase, and which regulate many processes including metabolism, proliferation, cell survival, growth and angiogenesis. This is mediated through serine and/or threonine phosphorylation of a range of downstream substrates. Over 100 substrate candidates have been reported so far, but for most of them, no isoform specificity has been reported. AKT3 is the least studied AKT isoform. It plays an important role in brain development and is crucial for the viability of malignant glioma cells. AKT3 isoform may also be the key molecule in up-regulation and down-regulation of MMP13 via IL13. Required for the coordination of mitochondrial biogenesis with growth factor-induced increases in cellular energy demands. Down-regulation by RNA interference reduces the expression of the phosphorylated form of BAD, resulting in the induction of caspase-dependent apoptosis.
-
基因功能參考文獻:
- The authors have found that overexpression of RIZ1 in HEK293 cells reduced the expression of Akt3 protein. PMID: 29367689
- Akt3 isoform expression in triple negative breast cancer.AKT3 splice variant lacking serine-472 phosphorylation site promotes apoptosis and suppresses mammary tumorigenesis. PMID: 29038347
- FEZF1-AS1 promoted multiple myeloma cells proliferation through regulating miR-610/Akt3 axis. PMID: 29864963
- these results suggested that this newly identified miR497/AKT3 signaling pathway may contribute to papillary thyroid cancer (PTC)occurrence and progression. These findings provide novel potential therapeutic targets for the therapy of PTC PMID: 28849051
- miR-30a-3p may be a promising biomarker for the early screening of high-risk populations and early diagnosis of Lung adenocarcinoma (LUAD). Our studies provide insights into identifying novel potential biomarkers for diagnosis and prognosis of LUAD PMID: 28791371
- these findings illustrated that cir-ZNF609 took part in the onset of HSCR through the crosstalk with AKT3 by competing for shared miR-150-5p. PMID: 27903978
- Results found that TR4 promotes the AKT3 expression through transcriptional regulation to drive the EMT phenotype and enhance the seminoma cell proliferation and invasion. PMID: 29197138
- Akt1-Akt3 activity (according to Thr308 phosphorylation) is not associated with proliferative processes in the tumor tissue of the thyroid. PMID: 29235817
- The results of this study indicated AKT isoforms have different roles and downstream substrates in glioblastoma. and they indicate AKT3 delays tumor progression. PMID: 27422127
- Report frequency of genetic variation in Akt3 and discuss link to disease. PMID: 28931550
- AKT3 Splice Variants are associated with HPV-Positive Oropharyngeal Cancers. PMID: 28733453
- Results show that AKT3 influences outcome of pneumococcal meningitis in human patients; validated the findings in a mouse experimental pneumococcal meningitis model. PMID: 27193124
- High AKT3 expression is associated with triple-negative breast cancer. PMID: 28160548
- This study showed that activating mutations of AKT3 are associated with a much broader spectrum of developmental brain disorders in children, with several clinical phenotypes determined partially by the type of mutation and level of mosaicism. PMID: 28969385
- MiR-511-3p may serve as a prognostic factor and tumor suppressor in prostate cancer, very likely through inverse regulation of its downstream target gene of AKT3. PMID: 28624527
- Studies found AKT3 to be important in coordinating mitochondrial biogenesis with growth factor-induced increase in cellular energy demands. This isoform also plays an important role in platelet activation and thrombosis. [review] PMID: 26953242
- miR-29b prevents angiogenesis/tumorigenesis in breast cancer cell by targeting Akt3 and inducing VEGF and C-myc arrest in breast cancer cells. PMID: 28365400
- AKT3 expression is markedly upregulated in AKT inhibitor-resistant cells. Induction of AKT3 is regulated epigenetically by the bromodomain and extra terminal domain proteins. Importantly, knockdown of AKT3, but not AKT1 or AKT2, in resistant cells restores sensitivity to MK2206. PMID: 27297869
- miR-15b-5p is a critical regulator of human EC proliferation and migration by targeting the AKT3 pathway. PMID: 28254819
- Akt3 constitutively suppresses macropinocytosis in macrophages through a novel WNK1/SGK1/Cdc42 pathway. PMID: 28389565
- partial co-localization of AKT3 with AURKB was observed during anaphase. Overall, this study suggests that AKT3 could repress the antiproliferative effects of AURKi, with a novel activity particularly suppressing the aneuploidy induction. PMID: 28028179
- A C119S Akt3 mutant was hypomorphic for all downstream phenotypes shown by wild-type Akt3. This study documents isozyme-specific and chemical redox signal-personalized physiological responses. PMID: 28114274
- the mitochondrial oxygen consumption rate was significantly reduced in Akt3-knockdown cancer cell lines PMID: 26972278
- our findings indicate that the expression levels of P-GP, MYC, caspase-8, and AKT3 are candidate biomarkers of cell sensitivity to PLKis. PMID: 27699933
- miR-29a could act as a tumor suppressor in PTC by targeting AKT3 and that miR-29a may potentially serve as an anti-tumor agent in the treatment of papillary thyroid carcinoma. PMID: 26482618
- showed that miR-20b was down-regulated in the retina and retinal endothelial cells in diabetic rats, with a correlated up-regulation of VEGF and AKT3 PMID: 27421659
- The siRNA-induced AKT3 and PI3KCA mRNA knockdown. PMID: 26902608
- Bioinformatics analysis further revealed cyclin D2 (CCND2) and AKT3, putative tumor promoters, as potential targets of miR610. Data from reporter assays showed that miR610 directly binds to the 3'untranslated PMID: 26782072
- Data show that elevated expression of DNA-dependent protein kinase catalytic subunit (DNA-PKcs), Akt3 protein, and tumor suppressor protein p53 (p53) in ovarian serous adenocarcinoma tissues are an indication of more advanced disease and worse prognosis. PMID: 27629740
- Perhaps Bcl-2 down-regulation and Akt-3 up-regulation can be linked with survival signals in A549 cell line. We can conclude that Bcl-2 and Akt-3 might be therapeutic targets to inhibit cell proliferation in NSCLC. PMID: 27072269
- High AKT3 expression is associated with ovarian cancer. PMID: 26512921
- AKT3 has a role in prostate cancer proliferation through regulation of Akt, B-Raf, and TSC1/TSC2 PMID: 26318033
- mirn424 has a role in inhibiting Akt3/E2F3 axis and tumor growth in hepatocellular carcinoma PMID: 26315541
- Akt1 and Akt2 activated both SREBP-1 and SREBP-2, whereas Akt3 upregulated SREBP-1 to enhance hepatitis C virus translation. PMID: 26855332
- Flot-2 exerts a pro-neoplastic role in NPC and is involved in tumor progression and metastasis. Moreover, Flot-2 exerts its role through NF-kappaB and PI3K/Akt3 signaling. PMID: 26206082
- Downregulation of AKT3 increases migration and metastasis in triple negative breast cancer cells by upregulating S100A4. PMID: 26741489
- These findings indicate that AKT3 upregulation may cause focal malformations of cortical development. PMID: 25091978
- These findings suggest a central AKT-FOXG1-reelin signaling pathway in focal malformations of cortical development and support pathway inhibitors as potential treatments or therapies for some forms of focal epilepsy. PMID: 26523971
- Data show that both serine/threonine phosphatases PHLPP and dephosphorylated the physiological substrates of Akt1 and Akt3 with similar efficiencies. PMID: 26427440
- miR-582-5p regulated the progression of hepatocellular carcinoma through directly inhibiting the expression of CDK1 and AKT3, and indirectly inhibiting the expression of cyclinD1 PMID: 26002580
- A 1q44 deletion involving only AKT3 in a boy and his father, is reported. PMID: 25424989
- MiR-22 induces EPC senescence by downregulating AKT3 expression. PMID: 25323119
- findings identify PI3K/AKT pathway mutations as an important cause of epileptogenic brain malformations and establish megalencephaly, hemimegalencephaly, and focal cortical dysplasia as part of a single pathogenic spectrum. PMID: 25722288
- AKT3, PI3KCA, and VEGFR2 silencing reduces the invasiveness of glioblastoma multiforme T98G cells. PMID: 25501707
- The individual contribution of each Akt isoform in p120 RasGAP fragment N-mediated cell protection against Fas ligand induced cell death, was investigated. PMID: 25246356
- Data suggest that three isoforms of the serine/threonine protein kinase Akt (Akt1, Akt2, Akt3) regulate cell survival, cell growth, cell proliferation, and cell metabolism in breast cancer cells. [REVIEW] PMID: 25233414
- Akt3-expressing human glioblastoma cells had enhanced activation of DNA repair proteins, leading to increased DNA repair and subsequent resistance to radiation and temozolomide. PMID: 25737557
- The PI3K/AKT/mTOR pathway is distinguishable in SCLC genomic alterations. Therefore, a sequencing-based comprehensive analysis could stratify SCLC patients by potential therapeutic targets. PMID: 25122428
- Akt3 is a negative regulator of IGFBP-3 protein. PMID: 24942865
- Our study revealed AKT-3 amplification and deletions in 11% (9/82) and 13% (11/82) of triple-negative breast cancers, respectively. PMID: 24138071
顯示更多
收起更多
-
相關疾病:Megalencephaly-polymicrogyria-polydactyly-hydrocephalus syndrome 2 (MPPH2)
-
亞細胞定位:Nucleus. Cytoplasm. Membrane; Peripheral membrane protein. Note=Membrane-associated after cell stimulation leading to its translocation.
-
蛋白家族:Protein kinase superfamily, AGC Ser/Thr protein kinase family, RAC subfamily
-
組織特異性:In adult tissues, it is highly expressed in brain, lung and kidney, but weakly in heart, testis and liver. In fetal tissues, it is highly expressed in heart, liver and brain and not at all in kidney.
-
數據庫鏈接:
Most popular with customers
-
-
Phospho-YAP1 (S127) Recombinant Monoclonal Antibody
Applications: ELISA, WB, IHC
Species Reactivity: Human
-
-
-
-
-
-















