AKR1B1 Antibody
-
中文名稱:AKR1B1兔多克隆抗體
-
貨號:CSB-PA825868
-
規格:¥1100
-
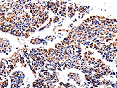
圖片:
-
The image on the left is immunohistochemistry of paraffin-embedded Human lung cancer tissue using CSB-PA825868(AKR1B1 Antibody) at dilution 1/40, on the right is treated with fusion protein. (Original magnification: ×200)
-
Gel: 10%SDS-PAGE, Lysate: 40 μg, Lane 1-2: Hela cells, 293T cells, Primary antibody: CSB-PA825868(AKR1B1 Antibody) at dilution 1/350, Secondary antibody: Goat anti rabbit IgG at 1/8000 dilution, Exposure time: 1 minute
-
-
其他:
產品詳情
-
Uniprot No.:
-
基因名:AKR1B1
-
別名:ADR antibody; AKR1B 1 antibody; Akr1b1 antibody; Aldehyde reductase 1 antibody; Aldehyde reductase antibody; Aldo keto reductase family 1; member B1 antibody; Aldo-keto reductase family 1 member B1 antibody; aldo-keto reductase family 1; member B1 (aldose reductase) antibody; Aldose reductase antibody; aldr 1 antibody; ALDR_HUMAN antibody; aldr1 antibody; ALR2 antibody; AR antibody; Lii5 2 CTCL tumor antigen antibody; Low Km aldose reductase antibody; MGC1804 antibody
-
宿主:Rabbit
-
反應種屬:Human,Mouse,Rat
-
免疫原:Fusion protein of Human AKR1B1
-
免疫原種屬:Homo sapiens (Human)
-
標記方式:Non-conjugated
-
抗體亞型:IgG
-
純化方式:Antigen affinity purification
-
濃度:It differs from different batches. Please contact us to confirm it.
-
保存緩沖液:-20°C, pH7.4 PBS, 0.05% NaN3, 40% Glycerol
-
產品提供形式:Liquid
-
應用范圍:ELISA,WB,IHC
-
推薦稀釋比:
Application Recommended Dilution ELISA 1:1000-1:5000 WB 1:500-1:2000 IHC 1:50-1:200 -
Protocols:
-
儲存條件:Upon receipt, store at -20°C or -80°C. Avoid repeated freeze.
-
貨期:Basically, we can dispatch the products out in 1-3 working days after receiving your orders. Delivery time maybe differs from different purchasing way or location, please kindly consult your local distributors for specific delivery time.
-
用途:For Research Use Only. Not for use in diagnostic or therapeutic procedures.
相關產品
靶點詳情
-
功能:Catalyzes the NADPH-dependent reduction of a wide variety of carbonyl-containing compounds to their corresponding alcohols. Displays enzymatic activity towards endogenous metabolites such as aromatic and aliphatic aldehydes, ketones, monosacharides, bile acids and xenobiotics substrates. Key enzyme in the polyol pathway, catalyzes reduction of glucose to sorbitol during hyperglycemia. Reduces steroids and their derivatives and prostaglandins. Displays low enzymatic activity toward all-trans-retinal, 9-cis-retinal, and 13-cis-retinal. Catalyzes the reduction of diverse phospholipid aldehydes such as 1-palmitoyl-2-(5-oxovaleroyl)-sn -glycero-3-phosphoethanolamin (POVPC) and related phospholipid aldehydes that are generated from the oxydation of phosphotidylcholine and phosphatdyleethanolamides. Plays a role in detoxifying dietary and lipid-derived unsaturated carbonyls, such as crotonaldehyde, 4-hydroxynonenal, trans-2-hexenal, trans-2,4-hexadienal and their glutathione-conjugates carbonyls (GS-carbonyls).
-
基因功能參考文獻:
- Here, we show that treatment of colorectal cancer (CRC) cells with fidarestat increases the efficacy of doxorubicin (DOX)-induced death in HT-29 and SW480 cells and in nude mice xenografts. Aldose reductase inhibition also results in higher intracellular accumulation of DOX and decreases the expression of drug transporter proteins MDR1, MRP1, and ABCG2. PMID: 28600556
- AKR1B1 rs759853 polymorphism had no association with diabetic retinopathy (DR) risk under all genetic models. However, after subgroup analysis by diabetes mellitus; type, the rs759853 polymorphism was a protective factor against the DR onset in patients with type 1 diabetes mellitus; Subgroup analysis by genotyping method suggested that rs759853 was significantly correlated with decreased risk of DR under dominate model PMID: 30201105
- A combined gene expression signature of AKR1B10 (low) and AKR1B1 (high) showed a better prognostic stratification of CRC patients independent of confounding factors. PMID: 28929377
- Data show that cells with higher levels of aldo-keto reductases AKR1B1 and/or AKR1B10 (AKR1Bs) were more sensitive to 2-deoxyglucose (2DG). PMID: 29617059
- genetic association studies in population in north India: Data suggest that an SNP in promoter region of aldose reductase (C-106T) is associated with peripheral neuropathy in patients with type 2 diabetes mellitus in the population studied. PMID: 28495421
- Under hyperglycemic conditions, aldose reductase (AR)-mediated sorbitol formation and associated rise in cell volume, which subsequently results in platelet hyperactivation, occur. PMID: 28820747
- In the Eastern Asians with type 2 diabetes mellitus, the AR gene C-106T gene polymorphism is correlated with an increased risk of diabetic nephropathy; the Eastern Asians with the T allele of AR gene C-106T gene polymorphism might be susceptible to DN PMID: 28651212
- An meta-analysis showed that aldose reductase C-106T variants appear to influence the risk for diabetic retinopathy in Chinese Han persons (meta-analysis). PMID: 26580232
- AKR1B1 as a key modulator of tumor aggressiveness and suggests that pharmacologic inhibition of AKR1B1 has the potential to become a valuable therapeutic strategy for Basal-like breast cancer (BLBC). PMID: 28270406
- inhibiting AR or degrading H2O2 could protect endothelial function and maintain the antioxidant activities of uric acid. PMID: 28057038
- Result indicate that the differential scanning fluorimetry (DSF) method is useful for enzyme inhibitor drug screening for the AKR superfamily, including AKR1B10 and a structurally similar isoform AKR1B1. PMID: 28003428
- The hyperosmotic AR gene expression was dependent on activation of metalloproteinases, autocrine/paracrine TGF-beta signaling, activation of p38 MAPK, ERK1/2, and PI3K signal transduction pathways, and the transcriptional activity of NFAT5. PMID: 27628063
- Aberrant DNA methylation of AKR1B1 could be potential screening markers of colorectal cancer. PMID: 27493446
- -106T allele of AKR1B1 C-106T polymorphism may be associated with increased risk for essential hypertension in Chinese Han population. PMID: 27343777
- These findings suggest a statistically significant association of AKR1B1 -106C>T polymorphism with retinopathy in North Indian patients PMID: 27640118
- mRNA expression in macrophages correlates positively with M1 polarization, and depends on hyperglycemia PMID: 26873505
- Meta-analysis shows that the AR rs759853 polymorphism may correlate with the susceptibility of DN. However, data do not support the association between this DNA variation and the progression of DN. PMID: 25885804
- ALR C(-106)T polymorphism was not associated with an increased risk of Diabetic Retinopathy; subgroup analysis showed a genetic association between ALR C(-106)T polymorphism and the risk of Diabetic Retinopathy of type 1 Diabetes but not Diabetic Retinopathy of type 2 Diabetes(Meta-Analysis) PMID: 25722213
- Higher expression of PLA2G2A, PTGS2, AKR1B1, AKR1C3 and ABCC4 was seen in 22-B endometriosis cells. PMID: 25446850
- Data conclude that AKR1B1 and TM6SF1 may serve as candidate methylation biomarkers for early breast cancer detection. PMID: 25123395
- L-idose is the best alternative to D-glucose in studies on aldose reductase. PMID: 25528584
- role of the human aldose reductase AKR1B1 in prostaglandin (PG) F2 alpha synthesis in human subcutaneous and omental adipose tissue PMID: 24663124
- One of the most striking changes involved sorbitol dehydrogenase, a key enzyme in the polyol pathway. Validation studies revealed dramatically increased sorbitol dehydrogenase concentrations and activity in adenomas and cancer cell lines, along with important changes in the expression of other enzymes in the same (AKR1B1) and related (KHK) pathways. PMID: 24567419
- In type 2 diabetic patients with suboptimal glycaemic control, the z-4 allele of ALR2 (CA)n polymorphism was independently associated with increased susceptibility to cataracts. PMID: 24360973
- prostaglandin F synthase activity of human and bovine aldo-keto reductases PMID: 23747692
- Aldose reductase contributes to diabetes-mediated mitochondrial dysfunction and damage through the activation of p53. PMID: 24474649
- Aldose reductase gene may not be significantly associated with diabetic retinopathy in Chinese patients with type 2 diabetes mellitus. PMID: 24698671
- These studies demonstrated sustained activation of Egr-1 with subsequent induction of its downstream target genes in diabetic mouse aortas and in high glucose-treated primary murine aortic endothelial cells expressing human aldose reductase. PMID: 24186862
- molecular dynamics simulations were carried out to compute the electric field shift in human aldose reductase PMID: 23517423
- A hydrogen bond stabilized active site tryptophan conformation restricts inhibitor access in AKR1B1 compared with the more open AKR1B10 active site. PMID: 24100137
- AR inhibition regulates AKT/PI3K-dependent activation of forkhead transcription factor FOXO3a PMID: 23732517
- these results show a novel role of AR in mediation of growth factor-induced colon Aldose reductase inhibition prevents colon cancer growth by restoring phosphatase and tensin homolog through modulation of miR-21 and FOXO3a. PMID: 22978663
- There were significantly lower mRNA and protein levels of AKR1B1 in cancerous tissues. PMID: 23146748
- aldose reductase C-106T genetic polymorphism is not associated with essential hypertension PMID: 22561432
- Overexpression of aldose reductase in cardiomyocytes leads to cardiac dysfunction with aging and in the setting of reduced fatty acid and increased glucose metabolism. PMID: 23029549
- Data suggest that aldose reductase (AR) plays a mediatory role in ocular neovascularization as seen in diabetic retinopathy; inhibition of AR may have therapeutic potential in diabetic retinopathy. PMID: 22658411
- analysis of the inhibition of aldose reductase by Gentiana lutea extracts PMID: 22844269
- Site-directed mutagenesis of catalytic tetrad of AKR1B1, composed of Tyr, Lys, His and Asp, revealed triad of Asp43, Lys77 and His110, but not Tyr48, acts as a proton donor in most AKR activities, and is crucial for PGD(2) and PGF(2alpha) synthase activities PMID: 21306562
- Molecular dynamics simulation has shown the versatile nature of water molecules in bridge H bonding during interaction. Occupancy and life time of water molecules depend on the type of cocrystallized ligand present in the structure. PMID: 22649481
- AR has a role in regulating iNOS expression induced by TNF-alpha in cultured human mesangial cells, indicating the novel function of AR in glomerulonephritis. PMID: 21637955
- The commonly reported association of AKR1B1 with diabetic retinopathy may be due to an association of the gene with younger age at onset of diabetes. PMID: 20424224
- Aldose reductase C-106T gene polymorphism is associated with diabetic retinopathy in Japanese patients with type 2 diabetes. PMID: 21420193
- Inhibition of AR prevented infiltration of blood cells, invasion, migration and formation of capillary like structures, and expression of blood vessels markers. PMID: 21409599
- ALR2 over-expression is associated with an alteration in the balance between proliferation and apoptosis of epithelial cells in the mouse lens PMID: 21329682
- the enzyme activity of AKR1B10 and AKR1B1 toward alpha, beta-unsaturated carbonyl compounds with cellular and dietary origins PMID: 21329684
- findings suggest that AR plays an important role in the cellular response to oxidative stress by sequestering ROS and reactive aldehydes generated in keratinocytes PMID: 21182935
- study shows that ALR C-106T polymorphism is not associated with carotid atherosclerosis in Chinese patients with type 2 diabetes. PMID: 21294693
- activated hAR arises from oxidative modification of Cys-298, a residue near the nicotinamide binding pocket. PMID: 21084309
- The human aldose reductase AKR1B1 is a highly functional PGF synthase responsible for PGF2alpha production in the human endometrium and a potential target for treatment of menstrual disorders. PMID: 20943776
- AR is a potent regulator of TGF-beta1 induced expression of FN in human mesangial cells. PMID: 19847669
顯示更多
收起更多
-
亞細胞定位:Cytoplasm.
-
蛋白家族:Aldo/keto reductase family
-
組織特異性:Highly expressed in embryonic epithelial cells (EUE) in response to osmotic stress.
-
數據庫鏈接:
Most popular with customers
-
-
Phospho-YAP1 (S127) Recombinant Monoclonal Antibody
Applications: ELISA, WB, IHC
Species Reactivity: Human
-
-
-
-
-
-















