AGT Antibody
-
中文名稱:AGT兔多克隆抗體
-
貨號:CSB-PA446811
-
規格:¥1100
-
圖片:
-
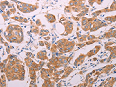
The image on the left is immunohistochemistry of paraffin-embedded Human breast cancer tissue using CSB-PA446811(AGT Antibody) at dilution 1/30, on the right is treated with synthetic peptide. (Original magnification: ×200)
-
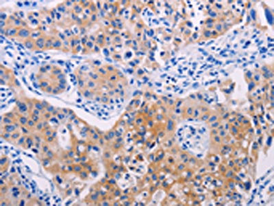
The image on the left is immunohistochemistry of paraffin-embedded Human lung cancer tissue using CSB-PA446811(AGT Antibody) at dilution 1/30, on the right is treated with synthetic peptide. (Original magnification: ×200)
-
Gel: 10%SDS-PAGE, Lysate: 40 μg, Lane: Human liver cancer tissue, Primary antibody: CSB-PA446811(AGT Antibody) at dilution 1/700, Secondary antibody: Goat anti rabbit IgG at 1/8000 dilution, Exposure time: 5 minutes
-
-
其他:
產品詳情
-
Uniprot No.:
-
基因名:
-
別名:Aangiotensinogen (serpin peptidase inhibitor clade A member 8) antibody; AGT antibody; AI265500 antibody; Alpha 1 antiproteinase antitrypsin antibody; Ang antibody; Ang I antibody; Ang II antibody; Ang III antibody; AngII antibody; Angiotensin I antibody; Angiotensin II antibody; Angiotensin III antibody; Angiotensin-3 antibody; Angiotensinogen (PAT) antibody; Angiotensinogen antibody; ANGT_HUMAN antibody; ANHU antibody; ANRT antibody; AT-2 antibody; AT-II antibody; Des-Asp[1]-angiotensin II antibody; FLJ92595 antibody; FLJ97926 antibody; MGC105326 antibody; PAT antibody; Pre angiotensinogen antibody; Serine (or cysteine) proteinase inhibitor antibody; Serpin A8 antibody; Serpin peptidase inhibitor clade A member 8 antibody; SERPINA8 antibody
-
宿主:Rabbit
-
反應種屬:Human,Mouse,Rat
-
免疫原:Synthetic peptide of Human AGT
-
免疫原種屬:Homo sapiens (Human)
-
標記方式:Non-conjugated
-
抗體亞型:IgG
-
純化方式:Antigen affinity purification
-
濃度:It differs from different batches. Please contact us to confirm it.
-
保存緩沖液:-20°C, pH7.4 PBS, 0.05% NaN3, 40% Glycerol
-
產品提供形式:Liquid
-
應用范圍:ELISA,WB,IHC
-
推薦稀釋比:
Application Recommended Dilution ELISA 1:2000-1:5000 WB 1:500-1:2000 IHC 1:25-1:100 -
Protocols:
-
儲存條件:Upon receipt, store at -20°C or -80°C. Avoid repeated freeze.
-
貨期:Basically, we can dispatch the products out in 1-3 working days after receiving your orders. Delivery time maybe differs from different purchasing way or location, please kindly consult your local distributors for specific delivery time.
-
用途:For Research Use Only. Not for use in diagnostic or therapeutic procedures.
相關產品
靶點詳情
-
功能:Essential component of the renin-angiotensin system (RAS), a potent regulator of blood pressure, body fluid and electrolyte homeostasis.; acts directly on vascular smooth muscle as a potent vasoconstrictor, affects cardiac contractility and heart rate through its action on the sympathetic nervous system, and alters renal sodium and water absorption through its ability to stimulate the zona glomerulosa cells of the adrenal cortex to synthesize and secrete aldosterone.; stimulates aldosterone release.; is a ligand for the G-protein coupled receptor MAS1. Has vasodilator and antidiuretic effects. Has an antithrombotic effect that involves MAS1-mediated release of nitric oxide from platelets.
-
基因功能參考文獻:
- Patients with heart failure and type 2 diabetes mellitus with AGT TT + MT genotype had a higher level of ST2 and a higher probability of unfavorable cardiovascular events during 24 months of observation compared with MM genotype carriers. PMID: 29578435
- Unfavorable genotype of polymorphic variants of candidate gene participating in endothelial dysfunction AGT (Thrl74Met and Met23SThr) was associated with changes in levels of their active substances in individuals exposed to mercury. PMID: 30351652
- Angiotensin 1-7 can modulate cell adhesion and epithelial-mesenchymal transition of normal prostate epithelial cells. PMID: 29802847
- These findings reveal the critical role of hypoxia in producing local angiotensin II by a lactate-chymase-dependent mechanism and highlight the importance of local angiotensin II in regulating radioresistance of hypoxic tumor cells. PMID: 28205588
- The reduced urinary AGT/creatinine in Autralian Indigenous pregnant women may reflect subclinical renal dysfunction which limits the ability of the kidney to maintain sodium balance and could indicate an increased risk of pregnancy complications and/or future renal disease. PMID: 29674190
- ACE2 and other enzymes can form ANG-(1-7) directly or indirectly from either the decapeptide ANG I or from ANG II. [review] PMID: 29351514
- The ACE and AGT gene polymorphisms are not associated with the progress of diabetes developing into retinopathy in Chinese patients with type 2 diabetes. PMID: 29378484
- AGT M235T and T174M variants contribute to an increased risk of developing preeclampsia (PE), and for M235T to PE severity. PMID: 29366364
- Data, including data using network analysis, suggest that angiotensinogen (AGT), mitogen-activated protein kinase-14 (MAPK14), and prothrombin (F2) in placental villous tissues are core factors in early embryonic development; these studies involved proteomics and bioinformatics analysis of altered protein expression in placental villous tissue from early recurrent miscarriage patients in comparison to control tissues. PMID: 29277264
- The AGT (M235T) gene polymorphism do not seem to have a significant effect on the development of clinical properties or cardiovascular comordities of acromegalic patients. PMID: 28712073
- Angiotensin II has a role in increasing glomerular permeability by beta-arrestin mediated nephrin endocytosis PMID: 28004760
- After donor nephrectomy, increasing uAGT levels can be the result of activation of the intrarenal renin-angiotensin system affecting the compensatory changes in the remaining kidney. PMID: 28988519
- M235T polymorphism of the AGT gene seems unrelated to the development or the clinical course of endometriosis. PMID: 29303211
- AGT missense polymorphisms are not associated with diabetic nephropathy in our subset of Slovenian type 2 diabetes mellitus patients PMID: 28488548
- Association of AGT single nucleotide polymorphism rs3789678 and gestational hypertension in Chinese population. PMID: 27910864
- Data suggest that angiotensin-II plays important role in development of albuminuria, particularly in subjects with impaired glucose metabolism; here, serum angiotensin-II levels are up-regulated in subjects with prediabetes and type 2 diabetes as compared to subjects with normal glucose metabolism; elevated serum angiotensin-II level may be early biomarker or risk factor for vasculitis. PMID: 28797632
- The T allele of AGT may play a role in the pathogenesis of preeclampsia in South African Black women. PMID: 28641212
- These data indicate that Ang II-AT2R regulates human bone marrow MSC migration by signaling through the FAK and RhoA/Cdc42 pathways. PMID: 28697804
- Data suggest that up-regulaton of Ang-(1-7) levels in follicular fluid correlates with increases in number of mature oocytes retrieved upon ovarian stimulation in preparation for in vitro fertilization. PMID: 28402544
- Urinary angiotensinogen and renin excretion are elevated in CKD patients. Both parameters are negatively associated with eGFR and these associations are independent of urinary albumin excretion PMID: 28395289
- Reduced IL-18 serum concentration in children after HUS with no difference in its urine concentration may indicate a loss of the protective effects of this cytokine on renal function due to previously occurred HUS. PMID: 27982687
- Angiotensin II initiates hepatocyte epithelial-mesenchymal transition by activating the NOX-derived H2O2-mediated NLRP3 inflammasome/IL-1ss/Smad circuit. PMID: 27445100
- angiotensin II induced abdominal aortic aneurysm growth and inflammation is attenuated by imatinib PMID: 27085160
- present study has demonstrated, for the first time, that high glucose augments AGT in human RPTCs through HNF-5, which provides a potential therapeutic target for diabetic nephropathy PMID: 29053707
- AngII-dependent phosphorylation of LCP1 in cultured podocytes was mediated by the kinases ERK, p90 ribosomal S6 kinase, PKA, or PKC. LCP1 phosphorylation increased filopodia formation. PMID: 28768720
- Autosomal dominant polycystic kidney disease (ADPKD), uniquely increases urinary angiotensinogen and renin excretion despite their circulating levels being comparable with those in non-ADPKD chronic kidney disease. PMID: 28747358
- Quaternary interactions and supercoiling modulate the cooperative DNA binding of AGT. PMID: 28575445
- results show that SNPs in the Hap-I of the hAGT gene promote high-fat diet-induced binding of transcription factors GR, CEBP-beta and STAT3, which lead to elevated expression of the hAGT gene in hepatic and adipose tissues PMID: 28467442
- Angiotensinogen import and subsequent trafficking to the mitochondria occurs in proximal kidney tubules. PMID: 27903492
- Transgenic mice expressing human AGT in the subfornical organ AGT and possibly ANG I/ANG II into the cerebral ventricles. PMID: 28490451
- AngII could induce pulmonary injury by triggering endothelial barrier injury, and such process may be related to the dephosphorylation of Y685-VE-cadherin and the endothelial skeletal rearrangement PMID: 28119542
- Renin-angiotensin system transgenic mouse model suggests that renal injury in preeclampsia may be mediated through local VEGF. PMID: 27927648
- endoplasmic reticulum stress induces apoptosis in human alveolar epithelial cells through mediation of unfolded protein response pathways, which in turn regulate the autocrine ANGII/ANG1-7 system. PMID: 27638906
- Angiotensin II stimulates PYY secretion, in turn inhibiting epithelial anion fluxes, thereby reducing net fluid secretion into the colonic lumen. PMID: 27447725
- NOXs had two time-dependent reactions in response to Ang II stimulation via MAPK pathwa PMID: 27807688
- increased Ang-II/Ang-(1-7) ratios may lead to Ang-II over-activation and aggravate atherosclerosis progression. PMID: 27432541
- urinary angiotensinogen could be a prognostic marker of the albuminuria reduction effects of olmesartan in patients with metabolic syndrome PMID: 27801805
- AGT expression is significantly upregulated in human masticatory mucosa during wound healing PMID: 28005267
- Urinary angiotensinogen reflects intrarenal RAS status, and is of value to assess the severity of acute tubular necrosis . PMID: 27788506
- Data suggest that enhanced survival of normal prostate epithelial cells (PNT1A cell line) in presence of either or both angiotensin II (Ang II) and relaxin 2 (RLN2) appears to be associated with increased ratio of BCL2/BAX messenger RNA expression; thus, Ang II and/or RLN2 appear to be involved in regulation of apoptosis in prostate epithelium. PMID: 27119161
- increasing the serum levels of AngII increased the risk of acute myocardial infarction (AMI); the risk of AMI increased when the serum levels of AngII and KLK1 simultaneously increased; individuals with the combined genotypes of ACE DD and KLK1 GG showed increased risk of AMI compared with those with the combined genotypes of ACE II and KLK1 AA PMID: 27329205
- genetic association study and meta-analysis revealed a significant association between M235T polymorphism of angiotensinogen and myocardial infarction risk PMID: 27586550
- significant association between Thr207Met polymorphism and chronic kidney disease progression in autosomal dominant polycystic kidney disease PMID: 26482465
- The aim of this work is to assess the influence of the rs1799752 polymorphism of the angiotensin-converting enzyme (ACE) gene and the rs699 polymorphism of the angiotensinogen (AGT) gene on the in-stent restenosis in Polish patients with stable coronary artery disease. PMID: 27162064
- in cultured H9C2 cells and that CyPA/CD147 signaling pathway inhibition protects against Ang II-induced cardiomyocyte hypertrophy. PMID: 27590243
- The circulating ACE2 and Ang-(1-7) levels were related to neither rs4646155 nor rs879922 in female or male patients.In conclusion, the rs2106809 polymorphism of the ACE2 gene may be a determinant of the circulating Ang-(1-7) level in female patients with hypertension, suggesting a genetic association between circulating Ang-(1-7) levels and ACE2 gene polymorphisms in patients with hypertension. PMID: 27310975
- observed significantly higher prevalence of ACE DD and AGTR1 1166CC genotypes in hypertrophic cardiomyopathy (HCM) and dilated cardiomyopathy (DCM) patients. Also, 235TT genotype of AGT (M235T) was significantly associated with enhanced risk of the disease phenotype in HCM, DCM, and RCM. PMID: 28120210
- Angiotensinogen expression is down regulated in human ileal Crohn's disease, particularly in the presence of inflammation and current cigarette smoking, implicating the mesenteric vasculature and mucosal hypoxia as co-factors in ileal CD pathogenesis. PMID: 27014752
- AGT M235T polymorphism was associated with SAH risk in Caucasian-Brazilians, and no association was detected with CAD PMID: 27019433
- Protective role of g.5855G>A polymorphism in the development of Essential Hypertension in Indian population was reported. The results reflect possibility of ethnic variation in contribution of g.5855G>A polymorphism of the AGT gene to the disease. PMID: 27398822
顯示更多
收起更多
-
相關疾病:Essential hypertension (EHT); Renal tubular dysgenesis (RTD)
-
亞細胞定位:Secreted.
-
蛋白家族:Serpin family
-
組織特異性:Expressed by the liver and secreted in plasma.
-
數據庫鏈接:
Most popular with customers
-
-
Phospho-YAP1 (S127) Recombinant Monoclonal Antibody
Applications: ELISA, WB, IHC
Species Reactivity: Human
-
-
-
-
-
-















