ABCG2 Antibody
-
中文名稱:ABCG2兔多克隆抗體
-
貨號:CSB-PA988836
-
規格:¥1100
-
圖片:
-
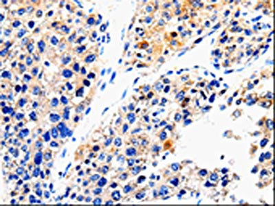
The image on the left is immunohistochemistry of paraffin-embedded Human liver cancer tissue using CSB-PA988836(ABCG2 Antibody) at dilution 1/100, on the right is treated with synthetic peptide. (Original magnification: ×200)
-
Gel: 10%SDS-PAGE, Lysate: 20 μg, Lane: HepG2 cells, Primary antibody: CSB-PA988836(ABCG2 Antibody) at dilution 1/1000, Secondary antibody: Goat anti rabbit IgG at 1/8000 dilution, Exposure time: 10 seconds
-
-
其他:
產品詳情
-
Uniprot No.:
-
基因名:
-
別名:ABCG2; ABCP; BCRP; BCRP1; MXR; Broad substrate specificity ATP-binding cassette transporter ABCG2; ATP-binding cassette sub-family G member 2; Breast cancer resistance protein; CDw338; Mitoxantrone resistance-associated protein; Placenta-specific ATP-binding cassette transporter; Urate exporter; CD antigen CD338
-
宿主:Rabbit
-
反應種屬:Human
-
免疫原:Synthetic peptide of Human ABCG2
-
免疫原種屬:Homo sapiens (Human)
-
標記方式:Non-conjugated
-
抗體亞型:IgG
-
純化方式:Antigen affinity purification
-
濃度:It differs from different batches. Please contact us to confirm it.
-
保存緩沖液:-20°C, pH7.4 PBS, 0.05% NaN3, 40% Glycerol
-
產品提供形式:Liquid
-
應用范圍:ELISA,WB,IHC
-
推薦稀釋比:
Application Recommended Dilution ELISA 1:2000-1:10000 WB 1:1000-1:5000 IHC 1:100-1:300 -
Protocols:
-
儲存條件:Upon receipt, store at -20°C or -80°C. Avoid repeated freeze.
-
貨期:Basically, we can dispatch the products out in 1-3 working days after receiving your orders. Delivery time maybe differs from different purchasing way or location, please kindly consult your local distributors for specific delivery time.
-
用途:For Research Use Only. Not for use in diagnostic or therapeutic procedures.
相關產品
靶點詳情
-
功能:Broad substrate specificity ATP-dependent transporter of the ATP-binding cassette (ABC) family that actively extrudes a wide variety of physiological compounds, dietary toxins and xenobiotics from cells. Involved in porphyrin homeostasis, mediating the export of protoporphyrin IX (PPIX) from both mitochondria to cytosol and cytosol to extracellular space, it also functions in the cellular export of heme. Also mediates the efflux of sphingosine-1-P from cells. Acts as a urate exporter functioning in both renal and extrarenal urate excretion. In kidney, it also functions as a physiological exporter of the uremic toxin indoxyl sulfate. Also involved in the excretion of steroids like estrone 3-sulfate/E1S, 3beta-sulfooxy-androst-5-en-17-one/DHEAS, and other sulfate conjugates. Mediates the secretion of the riboflavin and biotin vitamins into milk. Extrudes pheophorbide a, a phototoxic porphyrin catabolite of chlorophyll, reducing its bioavailability. Plays an important role in the exclusion of xenobiotics from the brain (Probable). It confers to cells a resistance to multiple drugs and other xenobiotics including mitoxantrone, pheophorbide, camptothecin, methotrexate, azidothymidine, and the anthracyclines daunorubicin and doxorubicin, through the control of their efflux. In placenta, it limits the penetration of drugs from the maternal plasma into the fetus. May play a role in early stem cell self-renewal by blocking differentiation.
-
基因功能參考文獻:
- The BCRP knocked-down brought marked reduction in excretion rates of CICT-3-G, whereas MRP1 and MRP4-mediated silencing led to significant decrease in the excretion of CICT-3-G PMID: 30237061
- The SNP loci rs2725220 and rs2231137 of the ABCG2 gene, but not rs2231142, were significantly different between patients with non-phlegm block and phlegm block. In Han and hyperuricemia patients, the rs2725220 allele G was a protective factor and the rs2231137 allele C was a risk factor.ABCG2 gene rs2231137 with more allele C tends to be phlegm-block type and rs2725220 with more allele G tends to be non-phlegm-block type. PMID: 30197413
- This article reviewed the Single Nucleotide Polymorphisms of ABCG2 in clinical relevance about gout, acute myeloid leukemia, solid tumors, and other diseases. [review] PMID: 29964015
- BCRP is expressed on erythrocyte membrane. PMID: 29098941
- High ABCG2 expression is associated with oxidative stress in colorectal cancer. PMID: 30066914
- MiR-655-3p showed a 6.79-fold decrease in expression after 12 h exposure compared to 0 h, was predicted in silico to bind ABCG2 3'-UTR and showed a significant negative correlation (p = 0.01) to ABCG2 expression level. PMID: 28990842
- high expression of ABCG2 in esophageal cancer tissues is involved in the multidrug resistance of esophageal cancer PMID: 30104076
- High ABCG2 expression is associated with chemotherapeutic resistance in gastric cancer. PMID: 30106453
- The interindividual regulation of BCRP expression. PMID: 29386232
- PBPK model analysis enabled quantitative evaluation of alteration in BCRP activity. PMID: 29440178
- Pantoprazole for the assessment of the impact of BCRP on gastrointestinal absorption in nonrodent models. PMID: 29358184
- They could contribute to patient-level variation in ABCG2 expression in the kidney, liver, and intestine. PMID: 29467213
- The present study reported that high incidence rates of hyperuricemia in the Chinese population of the southeast coastal region may be closely associated with the variants of ABCG2rs2231142. PMID: 30015934
- 13-cis-retinoic acid, retinol and retinyl-acetate inhibited the Pgp and ABCG2 mediated substrate transport as well as the substrate stimulated ATPase activity of these transporters. PMID: 28145501
- Genotyping of the ABCG2 gene using Matrix-Associated Laser Desorption/Ionisation, Time-of-Flight Mass Spectrometry PMID: 28940904
- The effect of BCRP should be carefully evaluated in pancreatic cell lines that highly express BCRP. PMID: 29246888
- Results showed that the expression of IGF1R appears to be highly correlated with the expression of ABCG2 in osteosarcoma and with the expression of CD44 in osteosarcoma patients under age of 10. PMID: 29892839
- results indicate that the transmembrane region of ABCG2 is sensitive to amino acid substitution and that patients harboring these ABCG2 variant forms could suffer from unexpected pharmacokinetic events of ABCG2 substrate drugs or have an increased risk for diseases such as gout where ABCG2 is implicated PMID: 28281205
- There were no significant differences in the bosutinib C0 between genotypes for ABCB1, ABCG2, and CYP3A4 polymorphisms. PMID: 29736778
- FOXM1 and ABCG2 may be useful targets and important parameters in the treatment of bladder cancer. PMID: 29397866
- High ABCG2 expression is associated with drug resistance in Breast Cancer. PMID: 29286612
- BCRP is differently expressed in AT2 and AT1-like cells with lower abundance and activity in the latter ones. Nuclear BCRP might play a transcriptional role in distal lung epithelium. In NCI-H441 cells, BCRP is expressed in apical cell membranes and its activity is consistent with the localisation pattern. PMID: 28470471
- Patients prescribed with short-term low-dose atorvastatin and carrying ABCB1 (rs1128503) or ABCG2 (rs2231142) SNPs did not show differences in LDL-C response (P>.05). PMID: 28833323
- Combined exposure to the four high-risk genotypes of ALPK1 and the uric-acid-related loci of ABCG2, SLC2A9, and SLC22A12 was associated with an increased gout risk and a high PPV for gout. PMID: 29215084
- The International Transporter Consortium has identified ABCG2 as a pharmacogene with clinically important polymorphisms . Here, we describe the role of ABCG2 in efflux transport and highlight its pharmacogenetic relationships. PMID: 28858993
- None of the genotypes in ABCB1 1236 C>T, 2677 G>T/A, 3435 C>T, and 4036 A>G correlated with plasma dolutegravir concentration..The speculated peak level of plasma dolutegravir concentration was significantly higher in ABCG2 genetic variant holders, probably, at least in part, because of low expression levels of efflux transporters in the intestines associated with these genetic variants. PMID: 28858994
- Ultrasound reverses chemoresistance in breast cancer stem cell like cells by reducing ABCG2 expression. PMID: 28935760
- ABCG2 plays a significant role in the resistance of A172 glioma cell line to methyl ester pyropheophorbide-a-mediated photodynamic therapy. PMID: 28370217
- Circulating intestine-derived exosomal miR-328 in plasma has potential as a possible biomarker for estimating breast cancer resistance protein (BCRP) function in the intestines. PMID: 27571936
- SLCO1B1 and ABCG2 polymorphisms are better predictors of rosuvastatin exposure than ethnicity alone and could be considered in precision medicine dosing of rosuvastatin. PMID: 28385543
- The rs2054576 in ABCG2 is associated with hyperuricemia susceptible loci that passed a genome-wide significance threshold, adjusted by clinical variables (male, age, BMI, current alcohol, and creatinine). PMID: 28776340
- These findings for the first time show ABCG2-mediated intestinal urate excretion in humans, and indicates the physiological and pathophysiological importance of intestinal epithelium as an excretion pathway besides an absorption pathway. PMID: 27571712
- Our data confirm a negative impact of ABCG2 and CD200 overexpression also in AML patients considered at favorable risk according to ELN cytogenetic/molecular classification. PMID: 28618016
- The high expressions of BCRP mRNA calculated with Pfaffl's rule and FLT3-ITD are independent poor risk factors in adult patients with AML and intermediate or normal karyotype. PMID: 28618074
- role of GLI2-ABCG2 signaling axis for 5Fu resistance in gastric cancer PMID: 28847472
- These results indicate that ABCG2 421A/A and CYP3A5*3 genotypes and renal function are considered potential factors affecting trough concentrations of apixaban. PMID: 28678049
- Posttranscriptional regulation of HuR by miR-133b enhances DTX cytotoxicity through inhibition of ABCG2. PMID: 29327946
- ABCG2+ cells in PDAC in adherent culture are not correlated with stemness and malignant behaviors. PMID: 29444383
- Cholesterol may play a critical role in the post-translational regulation of BCRP in placental lipid rafts. PMID: 28623970
- Study shows that ABCG2 can actively drive expression of stem cell markers and self-renewal in glioma cells but did not affect radiation resistance or tumorigenicity in vivo. These results highlight ABCG2 as a potential driver of glioma stemness. PMID: 27456282
- Several members of a Turkish family with the index individual diagnosed with an alloanti-Jra were studied. Sequencing all exons of the ABCG2 gene revealed a homozygous C-to-T exchange in Exon 4 at Position c.439 in exon 4 in 3 members and heterozygosity in a 4th. PMID: 29106709
- Erythrocytes from a pregnant Pakistani woman and her 2 male siblings were typed for 2 mutations in the ABCG2 gene. Both mutations lead to a frameshift and premature stop codon, which are predicted to cause absence of the protein. Sibling 1 had the same two changes in ABCG2 that were identified in the propositus (c.420_421insA and c.986_987delTA), and Sibling 2 had only the c.986_987delTA change. The woman had both. PMID: 28836283
- The ABCB1 promoter was more frequently methylated in tumor tissues than in tumor-adjacent and tumor-distant tissues, whereas for the ABCG2 promoter, no difference was found between the three tissue specimens. PMID: 27689338
- our study describes the relationship between ABCG2 and OCT-4 expression and the clinicopathological characteristics of RCC patients. ABCG2 and OCT-4 expression was significantly correlated with RCC recurrence, which has a poor prognosis. PMID: 28212529
- study identifies SNPs within regulatory regions of the ABCG2 locus that alter enhancer activity in vitro and in vivo. Several of these SNPs correlate with tissue-specific ABCG2 expression and alter DNA/protein binding. These SNPs could contribute toward reported tissue-specific variability in ABCG2 expression and may influence the correlation between ABCG2 expression and disease risk or the pharmacokinetics and pharmacody PMID: 28930109
- genetic association studies in population in China: Data suggest that SNPs in SLC2A9 (rs11722228, rs3775948) and ABCG2 (rs2231142) are associated with diabetic kidney disease in subjects with type 2 diabetes in the population studied. (SLC2A9 = solute carrier family 2 member 9; ABCG2 = ATP binding cassette subfamily G member 2) PMID: 26993665
- Study validated that ABCG2 was up-regulated in gastric cancer (GC) tissues and cells. The higher level of ABCG2 expression in GC cells was correlated with advanced stages of GC involved with poor prognosis. ABCG2 was a GC promoter affecting cell proliferation and inducing cell apoptosis resistance. PMID: 28029654
- Results found ABCG2 overexpressed in lung cancer side population cells. Its expression is regulated YAP1 at the transcriptional level through binding to its promoterregion. PMID: 27911857
- Interestingly and in contrast with our expectation, we found that the expression level of FBLN-4 and BCRP were downregulated in tumor compared to adjacent normal tissues. FBLN-4 was associated with grade histology and therefore can be considered as a potential prognostic biomarker. PMID: 28282800
- allogeneic SCT does not seem to abrogate the negative prognosis associated with ABCG2 overexpression at diagnosis, specifically in terms of a higher relapse risk PMID: 27178373
顯示更多
收起更多
-
亞細胞定位:Cell membrane; Multi-pass membrane protein. Apical cell membrane; Multi-pass membrane protein. Mitochondrion membrane; Multi-pass membrane protein.
-
蛋白家族:ABC transporter superfamily, ABCG family, Eye pigment precursor importer (TC 3.A.1.204) subfamily
-
組織特異性:Highly expressed in placenta. Low expression in small intestine, liver and colon. Expressed in brain (at protein level).
-
數據庫鏈接:
Most popular with customers
-
-
Phospho-YAP1 (S127) Recombinant Monoclonal Antibody
Applications: ELISA, WB, IHC
Species Reactivity: Human
-
-
-
-
-
-















