Recombinant Human CD70 antigen (CD70), partial (Active)
In Stock Promotion-
品名簡稱:Recombinant Human CD70 protein, partial (Active)
-
貨號:CSB-MP004954HU1
-
說明書:
-
規格:¥828
-
圖片:
-
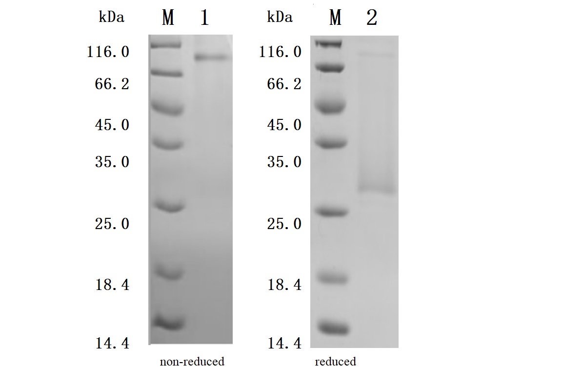
(Tris-Glycine gel) Discontinuous SDS-PAGE (reduced/non-reduced) with 5% enrichment gel and 15% separation gel.
-
Activity
Measured by its binding ability in a functional ELISA. Immobilized Human CD70 at 2 μg/ml can bind Anti-CD70 antibody, the EC50 is 2.414-3.196 ng/mL. Biological Activity Assay
-
-
促銷:
-
其他:
產品詳情
-
純度:Greater than 92.5% as determined by SDS-PAGE.
-
內毒素:Less than 1.0 EU/ug as determined by LAL method.
-
生物活性:①Measured by its binding ability in a functional ELISA. Immobilized Human CD70 at 2 μg/mL can bind Anti-CD70 antibody, the EC50 is 2.414-3.196 ng/mL.
-
基因名:
-
Uniprot No.:
-
別名:(CD27 ligand) (CD27-L)(CD27L)(CD27LG)(TNFSF7)
-
種屬:Homo sapiens (Human)
-
蛋白長度:Partial
-
來源:Mammalian cell
-
分子量:22.7 kDa
-
表達區域:52-193aa
-
氨基酸序列SLGWDVAELQLNHTGPQQDPRLYWQGGPALGRSFLHGPELDKGQLRIHRDGIYMVHIQVTLAICSSTTASRHHPTTLAVGICSPASRSISLLRLSFHQGCTIASQRLTPLARGDTLCTNLTGTLLPSRNTDETFFGVQWVRP
-
蛋白標簽:N-terminal 10xHis-tagged
-
產品提供形式:Lyophilized powder
Note: We will preferentially ship the format that we have in stock, however, if you have any special requirement for the format, please remark your requirement when placing the order, we will prepare according to your demand. -
緩沖液:Lyophilized from a 0.2 μm filtered 20 mM Tris-HCl, 0.5 M NaCl, 6% Trehalose, pH 8.0
-
復溶:We recommend that this vial be briefly centrifuged prior to opening to bring the contents to the bottom. Please reconstitute protein in deionized sterile water to a concentration of 0.1-1.0 mg/mL. We recommend to add 5-50% of glycerol (final concentration) and aliquot for long-term storage at -20℃/-80℃. Our default final concentration of glycerol is 50%. Customers could use it as reference.
-
儲存條件:Store at -20°C/-80°C upon receipt, aliquoting is necessary for mutiple use. Avoid repeated freeze-thaw cycles.
-
保質期:The shelf life is related to many factors, storage state, buffer ingredients, storage temperature and the stability of the protein itself.
Generally, the shelf life of liquid form is 6 months at -20°C/-80°C. The shelf life of lyophilized form is 12 months at -20°C/-80°C. -
貨期:Basically, we can dispatch the products out in 3-7 working days after receiving your orders. Delivery time may differ from different purchasing way or location, please kindly consult your local distributors for specific delivery time.
-
注意事項:Repeated freezing and thawing is not recommended. Store working aliquots at 4°C for up to one week.
-
Datasheet & COA:Please contact us to get it.
相關產品
靶點詳情
-
功能:Cytokine which is the ligand for CD27. The CD70-CD27 pathway plays an important role in the generation and maintenance of T cell immunity, in particular during antiviral responses. Upon CD27 binding, induces the proliferation of costimulated T-cells and enhances the generation of cytolytic T-cells.
-
基因功能參考文獻:
- This dose-escalation phase I trial provides evidence of good tolerability of ARGX-110, pharmacokinetics, and preliminary antitumor activity at all dose levels in generally heavily pretreated patients with advanced CD70-positive malignancies PMID: 28765328
- Results show that CD70 promoter region methylation and expression are regulated by MBD4. Indeed, the study shows that downregulation of MBD4 contributed to overexpression and hypomethylation of the CD70 gene in CD4+ T cells from patients from systemic lupus erythematosus. PMID: 29018507
- CD70 mitigates atherosclerosis at least in part by modulating macrophage function. PMID: 27786334
- This study demonstrated that Expression of CD70 (CD27L) Is Associated With Epithelioid and Sarcomatous Features in IDH-Wild-Type Glioblastoma. PMID: 28789475
- CD27 is engaged by CD70 cross-presented by other AML blasts or stem/progenitor cells in a paracrine manner. PMID: 28031480
- human CD70-CD27 interactions therefore play a nonredundant role in T and B cell-mediated immunity, especially for protection against EBV and humoral immunity. PMID: 28011864
- These data demonstrate the important role of the CD70/CD27 axis in immune responses in HTLV-1 carriers and ATL patients. PMID: 26077361
- CD70: An emerging target in cancer immunotherapy PMID: 26213107
- Both monomeric and trimeric forms of CD70 were detected in tumour cell membrane fractions, whereas cytoplasmic fractions contained almost exclusively monomeric CD70 PMID: 26671750
- CD70 is overexpressed in systemic lupus erythematosus CD4+ T cells, but expression is not linked to the typical clinical and serological parameters associated with the disease. PMID: 24238281
- CD70-blocking of alphaDC1s from both controls and patients with chronic lymphocytic leukaemia had a negative influence on the production of both IL-12p70 and the Th1 cytokine IFN-gamma. PMID: 24684541
- CD70 acts as a functional receptor binding to soluble CD27, resulting in lymphoma progression and that immunotherapy using anti-CD70 antibody may be a potential candidate for treatment for NNKTL. PMID: 23206232
- The mean expression of CD70 was almost twice as high in renal cell carcinoma relative to normal kidney tissue PMID: 22401771
- Regulation of Langerhans cell CD70 expression is important in enhancing immunity against cutaneous epithelial pathogens and cancer. PMID: 22377764
- Findings suggest that demethylation of CD70 promoter region contributes to the overexpression of CD70 in CD4+ T cells and may contribute to autoimmune response in systemic sclerosis (SSc). PMID: 22306512
- These findings indicate that aberrant histone modifications within the TNFSF7 promoter may contribute to the development of lupus by increasing CD70 expression in CD4(+) T cells. PMID: 21865261
- CD70 and CD11a facilitate the survival of T and B lymphocytes and indirectly enhance the destruction of platelets in immune thrombocytopenia. PMID: 21541792
- data indicate that the virus-induced selective upregulation of CD70 by Langerhans cells is the critical feature that enhances their capacity to induce effector CD8+ T cell responses compared with virus-primed dermal dendritic cells that lack CD70 PMID: 21880979
- concluded DNA methyltransferases(DNMTs) functioned as demethylases as MBD2, while increased DNMTs and MBD2 may cause demethylation and over expression of CD70 in CD4(+) T cells, potentially contributing to the pathogenesis of immune thrombocytopenia PMID: 21550117
- Th1 cell-specific CD70 expression may be involved in an amplification loop for polarized Th1-type immune responses through T cell-T cell interactions. PMID: 21490618
- Stimulation of T cells expressing CD70-specific chimeric antigen receptors resulted in CD27 costimulation and recognition of CD70-positive tumor cell lines and primary tumor cells, as shown by IFN-gamma and IL-2 secretion and by tumor cell killing. PMID: 21304103
- RFX1 recruits SUV39H1 to the promoter regions of the CD11a and CD70 genes in CD4(+) T cells, thereby regulating local H3K9 tri-methylation levels. PMID: 21192791
- In this review, CD27 and CD70 constitute a unique pair ligand and receptor pair which can activate innate and adaptive immunity as well as regulate immunity versus tolerance. PMID: 20699361
- CD70 expression was significantly elevated and correlated with a decrease in CD70 promoter methylation in T4 lymphocytes from Sjogren's syndrome patients as compared to levels in controls. PMID: 20724115
- Epigenetic silencing of the TNFSF7 gene via hypermethylation of its proximal region may allow the benign and invasive MCF10 variants to escape immune surveillance. PMID: 20119871
- the CD70-CD27 interaction may play an important role in inducing effective immune responses in dendritic cell-based immunotherapy. PMID: 20201989
- CD70 is an important factor in the regulation of B-cell growth and differentiation by plasmacytoid dendritic cells. PMID: 20139096
- Data confirm previous observations of higher expression of CD70 in CD4+ T cells from patients with SLE, and suggest that increased Fyn protein content in CD4+ T cells can be associated with high SLE disease activity. PMID: 19955046
- Identification of CD70-mediated apoptosis of immune effector cells as a novel immune escape pathway of human glioblastoma PMID: 11980654
- intragraft gene expression is not a risk factor for acute cardiac allograft rejection PMID: 12009595
- Systemic lupus erythematosus T cells and T cells treated with DNA methyltransferase inhibitors and ERK pathway inhibitors overexpress CD70. PMID: 15188362
- Immunocytochemical analysis demonstrated that binding of an anti-CD70 antibody to CD70(TNFSF7), endogenously expressed on the surface of A498 and 786-O cell lines resulted in the rapid internalisation of the antibody-receptor complex. PMID: 16892042
- Apoptosis mediated by exposure to the CD70 secreted by tumor cells may contribute to the failure of renal cell carcinoma patients to develop an effective lymphocyte-mediated antitumor response PMID: 17132225
- reveal a novel role for non-Hodgkin lymphoma B cells in the development of intratumoral regulatory T cells PMID: 17615291
- CD27-CD70 interactions in the pathogenesis of Waldenstrom macroglobulinemia. PMID: 18216294
- CD70 gene was upregulated more than 1,000-fold and the enhanced expression of the CD70 molecule was confirmed by laser flow cytometry for various HTLV-1-carrying T-cell lines and primary CD4(+) T cells isolated from acute-type ATL patients. PMID: 18256142
- Dendritic cells matured in the presence of PGE(2) induced the expression of OX40, OX40L, and CD70 on T cells facilitating T-cell/T-cell interaction that warrant long-lasting costimulation. PMID: 19029446
- CD70 not only contributes to the activation of cytotoxic T cells in B cell precursor acute lymphoblastic leukemia but is a critical signal during the expansion phase of the cytotoxic T cell response. PMID: 19109206
- Constitutive expression of CD70 transgene is sufficient to deregulate the CD8 T cell differentiation pathway of acute infection reminiscent of events in chronic infection. PMID: 19380782
- Data showed that the CD70, perforin and KIR2DL4 promoters are demethylated in CD4(+)CD28(-) T cells, and that DNA methyltransferase 1 (Dnmt1) and Dnmt3a levels are decreased in this subset. PMID: 19394279
顯示更多
收起更多
-
亞細胞定位:Membrane; Single-pass type II membrane protein.
-
蛋白家族:Tumor necrosis factor family
-
數據庫鏈接:
Most popular with customers
-
Express system: Mammalian cell
Species: Homo sapiens (Human)
-
Recombinant Human Angiopoietin-2 (ANGPT2) (Active)
Express system: Mammalian cell
Species: Homo sapiens (Human)
-
Express system: Mammalian cell
Species: Macaca fascicularis (Crab-eating macaque) (Cynomolgus monkey)
-
Recombinant Macaca fascicularis CD93 molecule (CD93), partial (Active)
Express system: Mammalian cell
Species: Macaca fascicularis (Crab-eating macaque) (Cynomolgus monkey)
-
Recombinant Human Tumor-associated calcium signal transducer 2 (TACSTD2), partial (Active)
Express system: Mammalian cell
Species: Homo sapiens (Human)
-
Recombinant Mouse Gastric inhibitory polypeptide receptor (Gipr), partial (Active)
Express system: Mammalian cell
Species: Mus musculus (Mouse)
-
Recombinant Macaca fascicularis Gastric inhibitory polypeptide receptor (GIPR), partial (Active)
Express system: yeast
Species: Macaca fascicularis (Crab-eating macaque) (Cynomolgus monkey)
-
Recombinant Human Tyrosine-protein kinase receptor UFO(AXL),partial (Active)
Express system: Mammalian cell
Species: Homo sapiens (Human)



-AC1.jpg)












