FGFR3
FGFR3,全稱為成纖維細胞生長因子受體3,別名包括ACH、CD333、CEK2等。該蛋白通過激活下游信號通路,如PI3K/AKT、MAPK/ERK、STAT等,參與調控細胞生長和存活。FGFR3蛋白的過表達或突變可導致信號傳導異常,從而促進腫瘤細胞的增殖和存活。
FGFR3蛋白與多種疾病的發生發展密切相關,其中包括多發性骨髓瘤、尿路上皮癌、骨肉瘤等。研究表明,FGFR3蛋白的表達水平或突變狀態可作為這些疾病的診斷、預后評估和治療方案選擇的參考指標。
針對FGFR3蛋白的靶向治療藥物研發已取得顯著進展。例如,TYRA-300是一種口服選擇性FGFR3抑制劑,在治療FGFR3突變轉移性尿路上皮癌患者中表現出優異的療效和良好的安全性。此外,還有多種FGFR3靶向抗體偶聯藥物、酪氨酸激酶抑制劑等藥物正在臨床前研究和臨床試驗中,有望為FGFR3相關疾病患者提供新的治療選擇。
熱銷產品
Recombinant Human Fibroblast growth factor receptor 3 (FGFR3), partial (Active) (CSB-MP008646HU)
驗證數據
(Tris-Glycine gel) Discontinuous SDS-PAGE (reduced) with 5% enrichment gel and 15% separation gel.
Activity
Measured by its binding ability in a functional ELISA. Immobilized Human FGFR3 at 2 μg/ml can bind Anti-FGFR3 recombinant antibody (CSB-RA008646MA1HU). The EC50 is 0.6767-0.8946 ng/mL.
The purity of FGFR3 was greater than 95% as determined by SEC-HPLC
Recombinant Human Fibroblast growth factor receptor 3 (FGFR3), partial (Active) (CSB-MP008646HU(F2))
驗證數據
(Tris-Glycine gel) Discontinuous SDS-PAGE (reduced) with 5% enrichment gel and 15% separation gel.
Activity
Measured by its binding ability in a functional ELISA. Immobilized Human FGFR3 at 2 μg/ml can bind Anti-FGFR3 recombinant antibody (CSB-RA008646MA1HU). The EC50 is 3.364-3.827 ng/mL.
The purity of FGFR3 was greater than 95% as determined by SEC-HPLC
驗證數據
(Tris-Glycine gel) Discontinuous SDS-PAGE (reduced) with 5% enrichment gel and 15% separation gel.
Activity
Measured by its binding ability in a functional ELISA. Immobilized Human FGFR3 at 2 μg/ml can bind Anti-FGFR3 recombinant antibody (CSB-RA008646MA1HU). The EC50 is 0.7264-1.525 ng/mL.
FGFR3 Antibody (CSB-PA008646LA01HU)
驗證數據
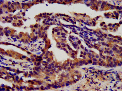
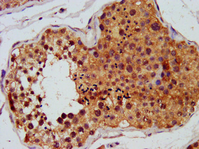
IHC image of CSB-PA008646LA01HU diluted at 1:450 and staining in paraffin-embedded human testis tissue performed on a Leica BondTM system. After dewaxing and hydration, antigen retrieval was mediated by high pressure in a citrate buffer (pH 6.0). Section was blocked with 10% normal goat serum 30min at RT. Then primary antibody (1% BSA) was incubated at 4°C overnight. The primary is detected by a biotinylated secondary antibody and visualized using an HRP conjugated SP system.
IHC image of CSB-PA008646LA01HU diluted at 1:450 and staining in paraffin-embedded human lung cancer performed on a Leica BondTM system. After dewaxing and hydration, antigen retrieval was mediated by high pressure in a citrate buffer (pH 6.0). Section was blocked with 10% normal goat serum 30min at RT. Then primary antibody (1% BSA) was incubated at 4°C overnight. The primary is detected by a biotinylated secondary antibody and visualized using an HRP conjugated SP system.
Immunofluorescence staining of Hela cells with CSB-PA008646LA01HU at 1:150, counter-stained with DAPI. The cells were fixed in 4% formaldehyde, permeabilized using 0.2% Triton X-100 and blocked in 10% normal Goat Serum. The cells were then incubated with the antibody overnight at 4°C. The secondary antibody was Alexa Fluor 488-congugated AffiniPure Goat Anti-Rabbit IgG(H+L).
FGFR3 Antibodies
FGFR3 for Homo sapiens (Human)
| 產品貨號 | 產品名稱 | 種屬反應性 | 應用類型 |
|---|---|---|---|
| CSB-PA008646LA01HU | FGFR3 Antibody | Human | ELISA, IHC, IF |
| CSB-PA008646LC01HU | FGFR3 Antibody, FITC conjugated | Human | |
| CSB-PA008646LD01HU | FGFR3 Antibody, Biotin conjugated | Human | ELISA |
| CSB-PA164777 | FGFR3 Antibody | Human,Mouse,Rat | ELISA,WB,IHC |
| CSB-PA008248 | FGFR3 Antibody | Human,Mouse,Rat | WB, IHC, ELISA |
| CSB-PA114336 | FGFR3 Antibody | Human,Mouse | ELISA,IHC |
| CSB-RA555849A0HU | FGFR3 Recombinant Monoclonal Antibody | Human | ELISA, IF |
| CSB-RA966627A0HU | FGFR3 Recombinant Monoclonal Antibody | Human | ELISA, WB |
| CSB-RA008646MA1HU | FGFR3 Recombinant Monoclonal Antibody | Human | ELISA, FC |
FGFR3 Proteins
FGFR3 Proteins for Gallus gallus (Chicken)
| 產品貨號 | 產品名稱 | 來源 |
|---|---|---|
| CSB-YP008646CH1 CSB-EP008646CH1 CSB-BP008646CH1 CSB-MP008646CH1 CSB-EP008646CH1-B |
Recombinant Chicken Fibroblast growth factor receptor 3 (FGFR3), partial | Yeast E.coli Baculovirus Mammalian cell In Vivo Biotinylation in E.coli |
| CSB-CF008646CH | Recombinant Chicken Fibroblast growth factor receptor 3 (FGFR3) | in vitro E.coli expression system |
FGFR3 Proteins for Homo sapiens (Human)
| 產品貨號 | 產品名稱 | 來源 |
|---|---|---|
| CSB-YP008646HU | Recombinant Human Fibroblast growth factor receptor 3 (FGFR3 IIIc), partial | Yeast |
| CSB-EP008646HU | Recombinant Human Fibroblast growth factor receptor 3 (FGFR3 IIIc), partial | E.coli |
| CSB-YP008646HU(A4) | Recombinant Human Fibroblast growth factor receptor 3 (FGFR3 IIIc), partial | Yeast |
| CSB-BP008646HU CSB-EP008646HU-B |
Recombinant Human Fibroblast growth factor receptor 3 (FGFR3 IIIc), partial | Baculovirus In Vivo Biotinylation in E.coli |
| CSB-EP008646HU(A4) | Recombinant Human Fibroblast growth factor receptor 3 (FGFR3 IIIc), partial | E.coli |
| CSB-BP008646HU(A4) CSB-MP008646HU(A4) CSB-EP008646HU(A4)-B |
Recombinant Human Fibroblast growth factor receptor 3 (FGFR3 IIIc), partial | Baculovirus Mammalian cell In Vivo Biotinylation in E.coli |
| CSB-AP003871HU | Recombinant Human Fibroblast growth factor receptor 3 (FGFR3), partial (Active) | Mammalian cell |
| CSB-MP008646HU | Recombinant Human Fibroblast growth factor receptor 3 (FGFR3), partial (Active) | Mammalian cell |
FGFR3 Proteins for Xenopus laevis (African clawed frog)
| 產品貨號 | 產品名稱 | 來源 |
|---|---|---|
| CSB-YP008646XBE CSB-EP008646XBE CSB-BP008646XBE CSB-MP008646XBE CSB-EP008646XBE-B |
Recombinant Xenopus laevis Fibroblast growth factor receptor 3 (fgfr3), partial | Yeast E.coli Baculovirus Mammalian cell In Vivo Biotinylation in E.coli |
FGFR3 Proteins for Mus musculus (Mouse)
| 產品貨號 | 產品名稱 | 來源 |
|---|---|---|
| CSB-YP008646MO CSB-EP008646MO CSB-BP008646MO CSB-MP008646MO CSB-EP008646MO-B |
Recombinant Mouse Fibroblast growth factor receptor 3 (Fgfr3), partial | Yeast E.coli Baculovirus Mammalian cell In Vivo Biotinylation in E.coli |
FGFR3 Proteins for Pleurodeles waltl (Iberian ribbed newt)
| 產品貨號 | 產品名稱 | 來源 |
|---|---|---|
| CSB-YP008646EWZ CSB-EP008646EWZ CSB-BP008646EWZ CSB-MP008646EWZ CSB-EP008646EWZ-B |
Recombinant Pleurodeles waltl Fibroblast growth factor receptor 3 (FGFR3), partial | Yeast E.coli Baculovirus Mammalian cell In Vivo Biotinylation in E.coli |
FGFR3 Proteins for Danio rerio (Zebrafish) (Brachydanio rerio)
| 產品貨號 | 產品名稱 | 來源 |
|---|---|---|
| CSB-YP008646DIL CSB-EP008646DIL CSB-BP008646DIL CSB-MP008646DIL CSB-EP008646DIL-B |
Recombinant Danio rerio Fibroblast growth factor receptor 3 (fgfr3), partial | Yeast E.coli Baculovirus Mammalian cell In Vivo Biotinylation in E.coli |
FGFR3 ELISA Kit
FGFR3 ELISA Kit for Homo sapiens (Human)
| 產品貨號 | 產品名稱 | 樣本類型 | 靈敏度 |
|---|---|---|---|
| CSB-EL008646HU | Human Fibroblast growth factor receptor 3(FGFR3) ELISA kit | serum, plasma, tissue homogenates | 15.6 pg/mL |






