CEACAM6
CEACAM6,即癌胚抗原相關細胞黏附分子6,別名NCA、CEAL、CD66c、NCA-50/90。CEACAM6由人類CEACAM6基因編碼,該基因位于19號染色體上。CEACAM6是一種免疫球蛋白超家族蛋白,主要在上皮表面和髓系細胞表達,通過抑制凋亡、促進藥物抗性和促進癌細胞侵襲及轉移,在癌癥進展中發揮重要作用。其作用機制涉及調節上皮間質轉化(EMT)、腫瘤侵襲和轉移,以及通過影響Src/PI3K/Akt信號通路參與腫瘤細胞的黏附和抗藥性。CEACAM6在多種癌癥中的過表達與預后不良相關,包括肺癌、乳腺癌、結直腸癌和肝細胞癌,是一個有前景的癌癥標志物和治療靶點。
熱銷產品
驗證數據
(Tris-Glycine gel) Discontinuous SDS-PAGE (reduced) with 5% enrichment gel and 15% separation gel.
Activity
Measured by its binding ability in a functional ELISA. Immobilized Human CEACAM6 at 2 μg/mL can bind Human CEACAM8 (CSB-MP005168HU), the EC50 is 144.7-223.8 ng/mL.
Activity
Measured by its binding ability in a functional ELISA. Immobilized Human CEACAM6 at 2 μg/mL can bind Anti- CEACAM5/CEACAM6 recombinant antibody (CSB-RA005165MA2HU), the EC50 is 0.9430-1.377 ng/mL.
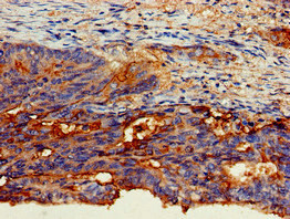
CEACAM6 Antibody (CSB-PA005166LA01HU)
驗證數據
Immunohistochemistry of paraffin-embedded human colon cancer using CSB-PA005166LA01HU at dilution of 1:100
Immunofluorescent analysis of HepG2 cells using CSB-PA005166LA01HU at dilution of 1:100 and Alexa Fluor 488-congugated AffiniPure Goat Anti-Rabbit IgG(H+L)
Human Carcinoembryonic antigen-related cell adhesion molecule 6(CEACAM6) ELISA kit (CSB-EL005166HU)
驗證數據
貨號:CSB-EL005166HU
規格:96T/48T
靈敏度:0.33 ng/mL
檢測范圍:0.83 ng/mL-20 ng/mL
These standard curves are provided for demonstration only. A standard curve should be generated for each set of samples assayed.
CEACAM6 Antibodies
CEACAM6 for Homo sapiens (Human)
| 產品貨號 | 產品名稱 | 種屬反應性 | 應用類型 |
|---|---|---|---|
| CSB-PA999004 | CEACAM6 Antibody | Human | ELISA,IHC |
| CSB-PA832895 | CEACAM6 Antibody | Human | ELISA,IHC |
| CSB-PA005166LA01HU | CEACAM6 Antibody | Human | ELISA, IHC, IF |
CEACAM6 Proteins
CEACAM6 Proteins for Homo sapiens (Human)
| 產品貨號 | 產品名稱 | 來源 |
|---|---|---|
| CSB-YP005166HU CSB-BP005166HU CSB-EP005166HU-B |
Recombinant Human Carcinoembryonic antigen-related cell adhesion molecule 6 (CEACAM6) | Yeast Baculovirus In Vivo Biotinylation in E.coli |
| CSB-EP005166HU | Recombinant Human Carcinoembryonic antigen-related cell adhesion molecule 6 (CEACAM6) | E.coli |
| CSB-MP005166HU | Recombinant Human Carcinoembryonic antigen-related cell adhesion molecule 6 (CEACAM6) (Active) | Mammalian cell |
CEACAM6 ELISA Kit
CEACAM6 ELISA Kit for Homo sapiens (Human)
| 產品貨號 | 產品名稱 | 樣本類型 | 靈敏度 |
|---|---|---|---|
| CSB-EL005166HU | Human Carcinoembryonic antigen-related cell adhesion molecule 6(CEACAM6) ELISA kit | serum, plasma, tissue homogenates | 0.33 ng/mL |






