蛋白
Western blot(WB)是分子生物學和免疫學中常用的一種分析蛋白質的技術。它通過電泳將不同蛋白質分離,然后將其轉移到膜上,再使用特異性
查看詳情
組蛋白去甲基化酶(Histone demethylase,HDM)是一類酵素,可以移除組蛋白上的甲基修飾(包括單甲基和二甲基)并還原為非甲基化狀態。這
查看詳情
PPAR(全稱為過氧化物酶體增殖物激活受體)信號通路包括多個蛋白質,其中最重要的蛋白質是PPAR本身,其它關鍵蛋白包括:RXR(維甲酸X受體):PA
查看詳情
無細胞蛋白質組學(cell-free proteomics)是一種新興的診斷篩查技術,它利用血液等生物體液中的游離蛋白質,通過質譜分析等技術,檢測出
查看詳情
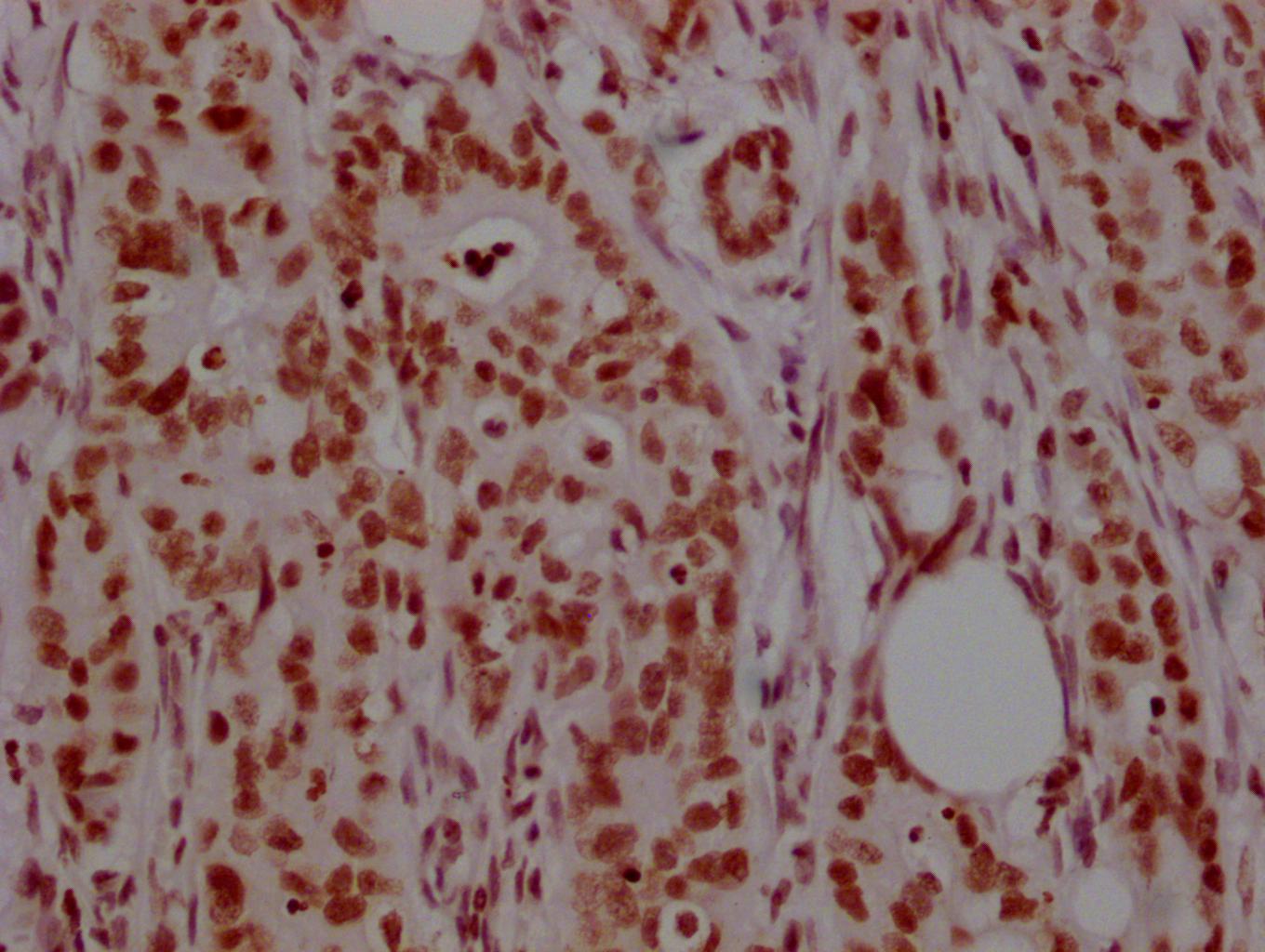
ROR1是一種I型跨膜蛋白,它是一種受體酪氨酸激酶。ROR1在多種組織和細胞類型中都有表達,包括胚胎干細胞、神經元、成骨細胞和B細胞。ROR1的
查看詳情
FAM18B2(Family with sequence similarity 18 member B2)蛋白是一種新近發現的膜蛋白,也稱為Mfge8-L 它在多個組織和器官中廣泛
查看詳情
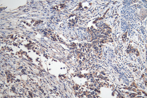
MAL2(Myelin and Lymphocyte protein 2)是一種膜結合蛋白,廣泛存在于多種細胞類型中,包括神經元、肝細胞、腎細胞等。MAL2主要
查看詳情
ATP結合盒轉運蛋白超家族(ATP-binding cassette transporters, ABC轉運蛋白)是一類廣泛存在于真核生物中的膜蛋白家族,包含48個成
查看詳情
ITA3蛋白是一種細胞表面受體,屬于整合素家族的一員,其全稱為Integrin alpha 3(整合素α3亞單位)。ITA3蛋白主要表達于多種細
查看詳情
重組蛋白定制的過程通常包括以下幾個步驟:基因克隆:將目標基因克隆到適當的表達載體中,以便在表達宿主中產生目標蛋白。蛋白表達:將表達載體導入表達宿主中,利用宿主的表達機制使其表達目標蛋白。蛋白純化:通過離心、層析、電泳等方法將目標蛋白從表達宿主中分離純化鑒定
查看詳情
趨化因子受體是一類能夠感知趨化因子信號的跨膜蛋白質,它們廣泛存在于細胞膜上,并參與了多種生物學過程,如免疫細胞的趨化、組織細胞的增殖和遷移等。GPCRs由七個跨膜結構域組成,其C端在胞質中含有G蛋白結合位點,通過與G蛋白的相互作用,可以傳導趨化因子的信號
查看詳情






