IL4 Recombinant Monoclonal Antibody
-
中文名稱:IL4重組抗體
-
貨號:CSB-RA240377A0HU
-
規格:¥1320
-
圖片:
-
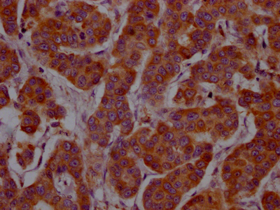
IHC image of CSB-RA240377A0HU diluted at 1:100 and staining in paraffin-embedded human breast cancer performed on a Leica BondTM system. After dewaxing and hydration, antigen retrieval was mediated by high pressure in a citrate buffer (pH 6.0). Section was blocked with 10% normal goat serum 30min at RT. Then primary antibody (1% BSA) was incubated at 4℃ overnight. The primary is detected by a Goat anti-rabbit IgG polymer labeled by HRP and visualized using 0.05% DAB.
-
-
其他:
產品詳情
-
產品描述:CSB-RA240377A0HU IL4重組單克隆抗體是經親和純化制備的高特異性科研工具,靶向白細胞介素4(IL-4)——一種由Th2細胞分泌的關鍵細胞因子。該抗體經嚴格驗證適用于ELISA及免疫組化(IHC)實驗,在IHC應用中推薦使用1:50-1:200的稀釋比例,能特異性識別石蠟包埋組織切片中的內源性IL-4蛋白,呈現清晰的細胞質定位染色效果。實驗數據顯示其具備優異的抗原結合能力和低交叉反應性,適用于探究IL-4在免疫調節、過敏反應及Th2型免疫應答中的作用機制。研究者可將其應用于炎癥性疾病模型、哮喘相關病理分析、B細胞活化研究及感染免疫學等基礎科研領域,為解析IL-4在體液免疫調控、組織修復及自身免疫平衡中的功能提供可靠實驗支持。本產品經多批次質控驗證,確保實驗數據的一致性和可重復性,嚴格限于科學研究使用。
-
Uniprot No.:
-
基因名:
-
別名:Interleukin-4 (IL-4) (B-cell stimulatory factor 1) (BSF-1) (Binetrakin) (Lymphocyte stimulatory factor 1) (Pitrakinra), IL4
-
反應種屬:Human
-
免疫原:A synthesized peptide derived from human IL4
-
免疫原種屬:Homo sapiens (Human)
-
標記方式:Non-conjugated
-
克隆類型:Monoclonal
-
抗體亞型:Rabbit IgG
-
純化方式:Affinity-chromatography
-
克隆號:5D8
-
濃度:It differs from different batches. Please contact us to confirm it.
-
保存緩沖液:Rabbit IgG in 10mM phosphate buffered saline , pH 7.4, 150mM sodium chloride, 0.05% BSA, 0.02% sodium azide and 50% glycerol.
-
產品提供形式:Liquid
-
應用范圍:ELISA, IHC
-
推薦稀釋比:
Application Recommended Dilution IHC 1:50-1:200 -
Protocols:
-
儲存條件:Upon receipt, store at -20°C or -80°C. Avoid repeated freeze.
-
貨期:Basically, we can dispatch the products out in 1-3 working days after receiving your orders. Delivery time maybe differs from different purchasing way or location, please kindly consult your local distributors for specific delivery time.
-
用途:For Research Use Only. Not for use in diagnostic or therapeutic procedures.
相關產品
靶點詳情
-
功能:Participates in at least several B-cell activation processes as well as of other cell types. It is a costimulator of DNA-synthesis. It induces the expression of class II MHC molecules on resting B-cells. It enhances both secretion and cell surface expression of IgE and IgG1. It also regulates the expression of the low affinity Fc receptor for IgE (CD23) on both lymphocytes and monocytes. Positively regulates IL31RA expression in macrophages. Stimulates autophagy in dendritic cells by interfering with mTORC1 signaling and through the induction of RUFY4.
-
基因功能參考文獻:
- IL-33 has a role in the pathogenesis of autoimmune hepatitis (AIH) and affects the expression of IL-4, IL-17A, and of hypergammaglobulinemia PMID: 30034292
- Interleukin-4 induces a CD44high /CD49bhigh PC3 subpopulation with tumor-initiating characteristics. PMID: 29236307
- Allelic polymorphism C590T of the gene IL-4 is the most possible genetic marker of high predisposition to development of recurrent episodes of acute obstructive bronchitis in children. PMID: 30480406
- certain single nucleotide polymorphisms of IL4 gene could predispose individuals to recurrent aphthous stomatitis PMID: 29985726
- Germline variants in IL4 gene are associated with prostate cancer. PMID: 29298992
- The role of IL-4 in psoriasis. PMID: 28064550
- By establishing that IL-4 is posttranslationally regulated by TRX-promoted reduction of a disulfide bond, our findings highlight a novel regulatory mechanism of the type 2 immune response that is specific to IL-4 over IL-13. PMID: 30104382
- IL-4 polymorphisms might be associated with Kawasaki disease in an Iranian population. PMID: 28036156
- association between root resorption and IL4 gene polymorphisms was observed. PMID: 28617966
- these results demonstrated that variable number tandem repeat polymorphism in the IL-4 gene is associated with diabetic peripheral neuropathy in type 2 diabetes patients with coexisting cardiovascular disease PMID: 29182400
- serum antibodies against HP-NAP represent a state of risk, which is further exacerbated in IL-4 -590 T carriers. PMID: 27677314
- Polymorphisms at IL10 (-1082 G>A), IL4 (-589 C>T), CTLA4 (+49A>G), and DAO (+8956 C>G) genes were studied in 55 cases. PMID: 28750137
- Defective sirtuin-1 was found to increase IL-4 expression through acetylation of GATA-3 in patients with severe asthma compared with healthy controls. PMID: 26627546
- The results confirmed that the IL-4-590C/T polymorphism is correlated with the onset of RA and that carrying the T-allele can significantly increase the risk of rheumatoid arthritis in the Chinese Han population. PMID: 28975976
- the IL-4-590 C>T polymorphism does not influence the development of head and neck cancer. PMID: 29185028
- the present study suggests that IL-4 polymorphisms might play a role in susceptibility to inflammatory bowel disease and its major subtypes in the Iranian population PMID: 28872970
- IL-4R plays an important role in regulating hepatocellular carcinoma (HCC)cell survival and metastasis, and regulates the activity of the JAK1/STAT6 and JNK/ERK1/2 signaling pathways. We therefore suggest that IL-4/IL-4R may be a new therapeutic target for HCC PMID: 28665449
- IL-4 rs2227288 and IL-10 rs1800872 may contribute to an increased risk for virus-induced encephalitis. Through use of direct sequencing, we showed that genotypes of IL-4 rs2227288 and IL-10 rs1800872 may have particular host susceptibility to virus-induced encephalitis. IL-4 rs2227283 and IL-10 rs1800871 have no correlation in with risk of virus-induced encephalitis (both P>0.05) PMID: 28935853
- IL-4 and IL-8 genetic polymorphisms determine susceptibility to chronic Aggregatibacter actinomycetemcomitans periodontitis. PMID: 28859277
- The data indicate that USP4 interacts with and deubiquitinates IRF4, and also stabilizes IRF4 protein and promotes IRF4 function to facilitate IL-4 expression in Th2 cells, which may be related to the pathological process of rheumatic heart disease. PMID: 28791349
- Results show that higher levels of black carbon (BC) were associated with lower methylation of IL4 promoter CpG-48 5 days later and increased FeNO. The magnitude of association between BC exposure and demethylation of IL4 CpG-48 measured 5 days later appeared to be greater among seroatopic children, especially those sensitized to cockroach allergens. PMID: 28588744
- Association between the TT-genotype of IL-4 rs2070874 polymorphism and a severe phenotype of viral-induced wheeze further underlines the role IL-4 plays in the inflammation pathway leading to viral respiratory infections. PMID: 28950434
- the effects of IL4 gene polymorphisms on cancer risk may vary by cancer type and by ethnicity. PMID: 28656227
- these results showed that allergy responses further accelerated the IL-4-induced inhibition of tumor development through the activation of STAT6 pathways. PMID: 28587956
- we identified a subgroup of CVID patients with defective IL-4 signaling in T cells, with severe clinical features of inflammation and autoimmunity. PMID: 28476239
- The difference between allelic and genotypic frequencies of interleukin-4 (-590C/T) between patients and controls was not significant (p = 0.46). PMID: 29372577
- Data suggest that miRNA-340/429, which targeted IL-4, might be a potential approach for cancer treatment. PMID: 27895317
- this paper shows that expression of non-secreted IL-4 is associated with histone deacetylase inhibitor-induced cell death, histone acetylation and c-Jun regulation in gamma/delta T-cells PMID: 27556516
- Human CCL1 gene is selectively targeted by AhR in M(IL-4) macrophage. IL-4-induced epigenetic modification potentiates AhR-mediated CCL1 expression. PMID: 27888289
- Liver IL-4 mRNA is downregulated in patients with pancreatic cancer and cachexia. PMID: 27897439
- Low IL4 expression is associated with melanoma. PMID: 26993600
- In this review, we discuss the molecular mechanisms driving IL-4 production in Th2 and Tfh cells. PMID: 27072069
- In this review, we discuss the structural details of IL-4 and IL-4Ralpha subunit and the structural similarities between IL-4 and IL-13. We also describe detailed chemistry of type-I and type-II receptor complexes and their signaling pathways. Furthermore, we elaborate the strength of type-II hetero dimer signals in response to IL-4 and IL-13. PMID: 27165851
- IL-4 and IL-17 modulate the functional activity of phagocytes in the maternal blood, cord blood, and colostrum of diabetic mother. PMID: 29135055
- There was no significant difference in serum level of IL-4 between children with MPP (Mycoplasma pneumoniae pneumonia)and those with non-MPP. Among children with MPP, we found similar level of IL-4 regardless of the personal and family history of allergy and asthma or the presence of wheezing. PMID: 28057814
- The functional promoter polymorphisms IL4-590C/T and IL6-174G/C, which affect the IL-4 and IL-6 levels in north Indian subjects, were associated with kidney dysfunction and CKD PMID: 27996163
- Cellular Differentiation of Human Monocytes Is Regulated by Time-Dependent Interleukin-4 Signaling and the Transcriptional Regulator NCOR2. PMID: 29262348
- CGRP and IL-4 positively regulated APN/CD13 expression and activity in psoriatic fibroblasts. PMID: 28387421
- Results from these two large randomized aerobic exercise intervention trials suggest that aerobic exercise does not alter IL-10 or IL-4 in a manner consistent with chronic disease and cancer prevention. PMID: 27485297
- IL-4 signaling up-regulates the IL-25 axis in human monocytic cells, and IL-25 may provide autocrine signals in monocytes and macrophages to sustain IL-17Rb expression and predispose to alternative activation. PMID: 28421819
- IL4 VNTR B2 allele was only significantly associated with overall adiposity status before adjusting for ethnicity. PMID: 28293435
- Our results showed the role of IL4 in promoting breast cancer aggressiveness PMID: 28400477
- These data identified the IL-4/CXCL12 loop as a previously unrecognized pathway involved in lymphoid stroma polarization and as a potential therapeutic target in Follicular lymphoma patients. PMID: 28202459
- IL-4 genetic variations associated with susceptibility to or protection against chronic periodontitis are directly associated with influencing the response of immune cells to periodontopathogens PMID: 28114408
- in HIV/AIDS patients under antiretroviral therapy, IL-4 and IL-10 levels were significantly lower in lipodystrophy vs. non-lipodystrophy PMID: 28189545
- autologous CD4(+) T cells that are exposed to EVs from CD40/IL-4-stimulated CLL cells exhibit enhanced migration, immunological synapse signaling, and interactions with tumor cells. PMID: 27118451
- IL-4 substantially restores CD79b protein expression, sIgM expression, and BCR signaling. PMID: 27226435
- Tandem repeat polymorphisms of IL4 is associated with the severity of chronic periodontitis. PMID: 28053321
- Keratinocyte gene expression is critically shaped by IL-4, altering cell fate decisions, which are likely important for the clinical manifestations and pathology of allergic skin disease PMID: 27554818
- Inhibition of protein kinase C zeta expression in prostate cancer cells promoted chemotaxis of peripheral macrophages and acquisition of M2 phenotypic features. These results were further supported by the finding that silencing of endogenous protein kinase C zeta promoted the expression of prostate cancer cell-derived interleukin-4 and interleukin-10 PMID: 28631559
顯示更多
收起更多
-
相關疾病:Ischemic stroke (ISCHSTR)
-
亞細胞定位:Secreted.
-
蛋白家族:IL-4/IL-13 family
-
數據庫鏈接:
Most popular with customers
-
YWHAB Recombinant Monoclonal Antibody
Applications: ELISA, WB, IHC, IF, FC
Species Reactivity: Human, Mouse, Rat
-
Phospho-YAP1 (S127) Recombinant Monoclonal Antibody
Applications: ELISA, WB, IHC
Species Reactivity: Human
-
-
-
-
-
-















